JavaScript is disabled in your browser. Please enable JavaScript to view this website.
AB264519

Anti-Tubulin antibody [YL1/2] - BSA and Azide free

Be the first to review this product! Submit a review

|

(1 Publication)

Rat Monoclonal Alpha-tubulin 1 acetyl K40 antibody. Carrier free. Suitable for Flow Cyt (Intra), WB, IHC-P, ICC/IF and reacts with Human, Rat, Mouse samples. Cited in 1 publication.

View Alternative Names

Tubulin alpha-1B chain, Alpha-tubulin ubiquitous, Tubulin K-alpha-1, Tubulin alpha-ubiquitous chain, TUBA1B

4 Images
Immunocytochemistry/ Immunofluorescence - Anti-Tubulin antibody [YL1/2] - BSA and Azide free (AB264519)
  • ICC/IF

Supplier Data

Immunocytochemistry/ Immunofluorescence - Anti-Tubulin antibody [YL1/2] - BSA and Azide free (AB264519)

ICC/IF image of ab6160 stained HeLa (Human epithelial cell line from cervix adenocarcinoma) cells.

The cells were fixed in 100% methanol 5 minutes, permeabilized with 0.1% Triton X-100 for 5 minutes and then incubated in 1% BSA / 10% normal goat serum / 0.3M glycine in 0.1% PBS-Tween for 1 hour to block non-specific protein-protein interactions. The cells were then incubated with the antibody (ab6160, 1/1000 dilution) overnight at +4°C. The secondary antibody (green) was ab150165 Alexa Fluor® 488 goat anti-rat IgG (H+L) pre-adsorbed, used at a 1/1000 dilution for 1 hour. DAPI was used to stain the cell nuclei (blue) at a concentration of 1.43μM.

The negative control (inset) is a secondary-only assay to demonstrate low non-specific binding of the secondary antibody.

This product also gave a positive signal under the same testing conditions in HeLa cells fixed with 4% formaldehyde (10 minutes).

This data was developed using the same antibody clone in a different buffer formulation containing PBS, L-arginine and sodium azide (ab6160).

Flow Cytometry (Intracellular) - Anti-Tubulin antibody [YL1/2] - BSA and Azide free (AB264519)
  • Flow Cyt (Intra)

Supplier Data

Flow Cytometry (Intracellular) - Anti-Tubulin antibody [YL1/2] - BSA and Azide free (AB264519)

Overlay histogram showing HeLa (Human epithelial cell line from cervix adenocarcinoma) cells stained with ab6160 (red line).

The cells were fixed with 80% methanol (5 minutes) and then permeabilized with 0.1% PBS-Tween for 20 minutes. The cells were then incubated in 1x PBS / 10% normal goat serum / 0.3M glycine to block non-specific protein-protein interactions followed by the antibody (ab6160, 1 μg/1x106 cells) for 30 minutes at 22°C. The secondary antibody used was DyLight® 488 goat anti-rat IgG (H+L) (ab98386) at 1/500 dilution for 30 minutes at 22°C. Isotype control antibody (black line) was rat IgG2a [aRTK2758] (ab18450, 1 μg/1x106 cells) used under the same conditions.

Acquisition of >5,000 events was performed.

This data was developed using the same antibody clone in a different buffer formulation containing PBS, L-arginine and sodium azide (ab6160).

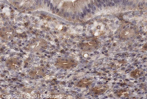
Immunohistochemistry (Formalin/PFA-fixed paraffin-embedded sections) - Anti-Tubulin antibody [YL1/2] - BSA and Azide free (AB264519)
  • IHC-P

Supplier Data

Immunohistochemistry (Formalin/PFA-fixed paraffin-embedded sections) - Anti-Tubulin antibody [YL1/2] - BSA and Azide free (AB264519)

IHC image of Tubulin staining in human colon formalin fixed paraffin embedded tissue section*, performed on a Leica Bond™ system using the standard protocol F.

The section was pre-treated using heat mediated antigen retrieval with sodium citrate buffer pH 6 for 20 minutes. The section was then incubated with ab6160, 5 μg/ml, for 15 minutes at room temperature and detected using an HRP conjugated compact polymer system. DAB was used as the chromogen. The section was then counterstained with haematoxylin and mounted with DPX.

For other IHC staining systems (automated and non-automated) customers should optimize variable parameters such as antigen retrieval conditions, primary antibody concentration and antibody incubation times.

*Tissue obtained from the Human Research Tissue Bank, supported by the NIHR Cambridge Biomedical Research Centre

This data was developed using the same antibody clone in a different buffer formulation containing PBS, L-arginine and sodium azide (ab6160).

Immunocytochemistry/ Immunofluorescence - Anti-Tubulin antibody [YL1/2] - BSA and Azide free (AB264519)
  • ICC/IF

Supplier Data

Immunocytochemistry/ Immunofluorescence - Anti-Tubulin antibody [YL1/2] - BSA and Azide free (AB264519)

This image was kindly supplied as part of the review submitted by Marko Kallio. ab6160 was used for immunofluorescence on male rat testis samples in order to visualize microtubules of meiotically deviding cells. The samples were fixed with 2% paraformaldehyde and 0.8% glutaraldehyde and the antibody was used at a dilution 1 : 2500 (red - tubulin, blue - DNA stained with DAPI).

This data was developed using the same antibody clone in a different buffer formulation containing PBS, L-arginine and sodium azide (ab6160).

  • HRP

    HRP Anti-Tubulin antibody [YL1/2] - Loading Control

  • 519 Alexa Fluor® 488

    Alexa Fluor® 488 Anti-Tubulin antibody [YL1/2] - Microtubule Marker

Key facts

Host species

Rat

Clonality

Monoclonal

Clone number

YL1/2

Isotype

IgG2a

Carrier free

Yes

Reacts with

Mouse, Rat, Human

Applications

Flow Cyt (Intra), ICC/IF, WB, IHC-P

applications

Immunogen

The exact immunogen used to generate this antibody is proprietary information.

Epitope

The YL1/2 monoclonal epitope has been mapped to the last 8 residues (GEEEGEEY) at the carboxy terminus of alpha tubulin when tyrosinated (PubMed IDs: 6415068, 6204858).

Reactivity data

{ "title": "Reactivity Data", "filters": { "stats": ["", "Species", "Dilution Info", "Notes"], "tabs": { "all-applications": {"fullname" : "All Applications", "shortname": "All Applications"}, "FlowCytIntra" : {"fullname" : "Flow Cytometry (Intracellular)", "shortname":"Flow Cyt (Intra)"}, "WB" : {"fullname" : "Western blot", "shortname":"WB"}, "IHCP" : {"fullname" : "Immunohistochemistry (Formalin/PFA-fixed paraffin-embedded sections)", "shortname":"IHC-P"}, "ICCIF" : {"fullname" : "Immunocytochemistry/ Immunofluorescence", "shortname":"ICC/IF"} }, "product-promise": { "all": "all", "testedAndGuaranteed": "tested", "guaranteed": "expected", "predicted": "predicted", "notRecommended": "not-recommended" } }, "values": { "Human": { "FlowCytIntra-species-checked": "testedAndGuaranteed", "FlowCytIntra-species-dilution-info": "", "FlowCytIntra-species-notes": "<p><a href='/en-us/products/primary-antibodies/rat-igg2a-kappa-monoclonal-rtk2758-isotype-control-ab18450'>ab18450</a> - Rat monoclonal IgG2a, is suitable for use as an isotype control with this antibody.</p>", "WB-species-checked": "testedAndGuaranteed", "WB-species-dilution-info": "", "WB-species-notes": "<p></p>", "IHCP-species-checked": "testedAndGuaranteed", "IHCP-species-dilution-info": "", "IHCP-species-notes": "<p></p>", "ICCIF-species-checked": "testedAndGuaranteed", "ICCIF-species-dilution-info": "", "ICCIF-species-notes": "<p>(see PMID: 16230461)</p>" }, "Mouse": { "FlowCytIntra-species-checked": "guaranteed", "FlowCytIntra-species-dilution-info": "", "FlowCytIntra-species-notes": "", "WB-species-checked": "testedAndGuaranteed", "WB-species-dilution-info": "", "WB-species-notes": "<p></p>", "IHCP-species-checked": "guaranteed", "IHCP-species-dilution-info": "", "IHCP-species-notes": "", "ICCIF-species-checked": "guaranteed", "ICCIF-species-dilution-info": "", "ICCIF-species-notes": "" }, "Rat": { "FlowCytIntra-species-checked": "guaranteed", "FlowCytIntra-species-dilution-info": "", "FlowCytIntra-species-notes": "", "WB-species-checked": "testedAndGuaranteed", "WB-species-dilution-info": "", "WB-species-notes": "<p></p>", "IHCP-species-checked": "guaranteed", "IHCP-species-dilution-info": "", "IHCP-species-notes": "", "ICCIF-species-checked": "guaranteed", "ICCIF-species-dilution-info": "", "ICCIF-species-notes": "" }, "African green monkey": { "FlowCytIntra-species-checked": "predicted", "FlowCytIntra-species-dilution-info": "", "FlowCytIntra-species-notes": "", "WB-species-checked": "predicted", "WB-species-dilution-info": "", "WB-species-notes": "", "IHCP-species-checked": "predicted", "IHCP-species-dilution-info": "", "IHCP-species-notes": "", "ICCIF-species-checked": "predicted", "ICCIF-species-dilution-info": "", "ICCIF-species-notes": "" }, "Caenorhabditis elegans": { "FlowCytIntra-species-checked": "predicted", "FlowCytIntra-species-dilution-info": "", "FlowCytIntra-species-notes": "", "WB-species-checked": "predicted", "WB-species-dilution-info": "", "WB-species-notes": "", "IHCP-species-checked": "predicted", "IHCP-species-dilution-info": "", "IHCP-species-notes": "", "ICCIF-species-checked": "predicted", "ICCIF-species-dilution-info": "", "ICCIF-species-notes": "" }, "Drosophila melanogaster": { "FlowCytIntra-species-checked": "predicted", "FlowCytIntra-species-dilution-info": "", "FlowCytIntra-species-notes": "", "WB-species-checked": "predicted", "WB-species-dilution-info": "", "WB-species-notes": "", "IHCP-species-checked": "predicted", "IHCP-species-dilution-info": "", "IHCP-species-notes": "", "ICCIF-species-checked": "predicted", "ICCIF-species-dilution-info": "", "ICCIF-species-notes": "" }, "Mammals": { "FlowCytIntra-species-checked": "predicted", "FlowCytIntra-species-dilution-info": "", "FlowCytIntra-species-notes": "", "WB-species-checked": "predicted", "WB-species-dilution-info": "", "WB-species-notes": "", "IHCP-species-checked": "predicted", "IHCP-species-dilution-info": "", "IHCP-species-notes": "", "ICCIF-species-checked": "predicted", "ICCIF-species-dilution-info": "", "ICCIF-species-notes": "" }, "Pig": { "FlowCytIntra-species-checked": "predicted", "FlowCytIntra-species-dilution-info": "", "FlowCytIntra-species-notes": "", "WB-species-checked": "predicted", "WB-species-dilution-info": "", "WB-species-notes": "", "IHCP-species-checked": "predicted", "IHCP-species-dilution-info": "", "IHCP-species-notes": "", "ICCIF-species-checked": "predicted", "ICCIF-species-dilution-info": "", "ICCIF-species-notes": "" }, "Saccharomyces cerevisiae": { "FlowCytIntra-species-checked": "predicted", "FlowCytIntra-species-dilution-info": "", "FlowCytIntra-species-notes": "", "WB-species-checked": "predicted", "WB-species-dilution-info": "", "WB-species-notes": "", "IHCP-species-checked": "predicted", "IHCP-species-dilution-info": "", "IHCP-species-notes": "", "ICCIF-species-checked": "predicted", "ICCIF-species-dilution-info": "", "ICCIF-species-notes": "" }, "Schizosaccharomyces pombe": { "FlowCytIntra-species-checked": "predicted", "FlowCytIntra-species-dilution-info": "", "FlowCytIntra-species-notes": "", "WB-species-checked": "predicted", "WB-species-dilution-info": "", "WB-species-notes": "", "IHCP-species-checked": "predicted", "IHCP-species-dilution-info": "", "IHCP-species-notes": "", "ICCIF-species-checked": "predicted", "ICCIF-species-dilution-info": "", "ICCIF-species-notes": "" }, "Xenopus laevis": { "FlowCytIntra-species-checked": "predicted", "FlowCytIntra-species-dilution-info": "", "FlowCytIntra-species-notes": "", "WB-species-checked": "predicted", "WB-species-dilution-info": "", "WB-species-notes": "", "IHCP-species-checked": "predicted", "IHCP-species-dilution-info": "", "IHCP-species-notes": "", "ICCIF-species-checked": "predicted", "ICCIF-species-dilution-info": "", "ICCIF-species-notes": "" } } }

Product details

ab264519 is the carrier-free version of ab6160.

Want a custom formulation?
This antibody clone is manufactured by Abcam. If you require a custom buffer formulation or conjugation for your experiments, please contact orders@abcam.com

Conjugation ready
Our carrier-free antibodies are typically supplied in a PBS-only formulation, purified and free of BSA, sodium azide and glycerol. This conjugation-ready format is designed for use with fluorochromes, metal isotopes, oligonucleotides, and enzymes, which makes them ideal for antibody labelling, functional and cell-based assays, flow-based assays (e.g. mass cytometry) and Multiplex Imaging applications.

Use our conjugation kits for antibody conjugates that are ready-to-use in as little as 20 minutes with 1 minute hands-on-time and 100% antibody recovery: available for fluorescent dyes, HRP, biotin and gold.

Compatibility
This product is compatible with the Maxpar® Antibody Labeling Kit from Fluidigm, without the need for antibody preparation. Maxpar® is a trademark of Fluidigm Canada Inc.

Properties and storage information

Form
Liquid
Purity
IgG fraction
Storage buffer
Constituents: PBS
Shipped at conditions
Blue Ice
Appropriate short-term storage duration
1-2 weeks
Appropriate short-term storage conditions
+4°C
Appropriate long-term storage conditions
+4°C
Aliquoting information
Upon delivery aliquot
Storage information
Do Not Freeze

Supplementary information

This supplementary information is collated from multiple sources and compiled automatically.

Tubulin sometimes called DM1B is a globular protein essential for the formation of microtubules. It has a molecular mass of approximately 55 kDa. Tubulin is expressed in most eukaryotic cells and exists as two closely related subunits alpha-tubulin and beta-tubulin. These subunits polymerize to form linear microtubule structures. Anti-tubulin antibodies such as anti-tubulin Alexa 34 can detect these microtubule markers in cells allowing researchers to visualize cytoskeletal organization.
Biological function summary

This core component of microtubule assembly is important for maintaining cell shape enabling intracellular transport and segregating chromosomes during cell division. As part of a complex tubulin interacts with various microtubule-associated proteins (MAPs) that regulate its dynamic assembly and disassembly. This regulation is important for processes like axonal transport in neurons and the movement of cilia and flagella in other cell types.

Pathways

Tubulin plays a significant role in the mitotic spindle assembly part of the cell cycle. This process is vital for the accurate segregation of chromosomes to daughter cells. Tubulin interacts with the kinesin and dynein motor proteins within this pathway which are essential for intracellular transport and mitosis. Another key pathway involving tubulin is the intracellular trafficking facilitated by motor proteins which is necessary for maintaining cell homeostasis and function.

Aberrant regulation or mutations in tubulin can lead to conditions such as cancer and neurodegenerative diseases. In cancer altered tubulin dynamics contribute to uncontrolled cell proliferation. Neurodegenerative disorders such as Alzheimer’s disease show involvement with tubulin through abnormal microtubule stability often linked to the MAP tau protein. Anti-tubulin antibodies including LAMP1 can help in research related to these conditions by offering methods to study tubulin distribution and function in diseased cells.

Product protocols

For this product, it's our understanding that no specific protocols are required. You can visit:

Target data

Tubulin is the major constituent of microtubules, a cylinder consisting of laterally associated linear protofilaments composed of alpha- and beta-tubulin heterodimers (PubMed : 34996871). Microtubules grow by the addition of GTP-tubulin dimers to the microtubule end, where a stabilizing cap forms (PubMed : 34996871). Below the cap, tubulin dimers are in GDP-bound state, owing to GTPase activity of alpha-tubulin (PubMed : 34996871).
See full target information TUBA1B acetyl K40

Publications (1)

Recent publications for all applications. Explore the full list and refine your search

Scientific reports 15:12719 PubMed40223147

2025

Controlled delivery of PRP from decellularized extracellular matrix enhances skeletal muscle regeneration.

Applications

Unspecified application

Species

Unspecified reactive species

Saeideh Erfanian,Farhad Mostafaei,Fatemeh Ajalloueian,Hossein Baharvand,Sarah Rajabi,Mohammad Kazemi Ashtiani
View all publications

Product promise

We are committed to supporting your work with high-quality reagents, and we're here for you every step of the way. In the unlikely event that one of our products does not perform as expected, you're protected by our Product Promise.
For full details, please see our Terms & Conditions

Please note: All products are 'FOR RESEARCH USE ONLY. NOT FOR USE IN DIAGNOSTIC OR THERAPEUTIC PROCEDURES'.

For licensing inquiries, please contact partnerships@abcam.com