JavaScript is disabled in your browser. Please enable JavaScript to view this website.
AB173300

Anti-TUFM antibody [EPR12797(B)]

5

(1 Review)

|

(8 Publications)

Rabbit Recombinant Monoclonal TUFM antibody. Suitable for IHC-P, IP, WB, ICC/IF, Flow Cyt (Intra) and reacts with Human samples. Cited in 8 publications.

View Alternative Names

EF-Tu, P43, TUFM

6 Images
Immunohistochemistry (Formalin/PFA-fixed paraffin-embedded sections) - Anti-TUFM antibody [EPR12797(B)] (AB173300)
  • IHC-P

Supplier Data

Immunohistochemistry (Formalin/PFA-fixed paraffin-embedded sections) - Anti-TUFM antibody [EPR12797(B)] (AB173300)

Immunohistochemical analysis of paraffin embedded Human breast tissue labeling TUFM with ab173300 at 1/100.

Perform heat mediated antigen retrieval with citrate buffer pH 6 before commencing with IHC staining protocol.

Flow Cytometry (Intracellular) - Anti-TUFM antibody [EPR12797(B)] (AB173300)
  • Flow Cyt (Intra)

Supplier Data

Flow Cytometry (Intracellular) - Anti-TUFM antibody [EPR12797(B)] (AB173300)

Intracellular flow cytometrical analysis of permeabilized Jurkat cells with ab173300 antibody at a dilution of 1/10 (red) or a rabbit IgG (negative) (green).

Immunocytochemistry/ Immunofluorescence - Anti-TUFM antibody [EPR12797(B)] (AB173300)
  • ICC/IF

Supplier Data

Immunocytochemistry/ Immunofluorescence - Anti-TUFM antibody [EPR12797(B)] (AB173300)

Immunofluorescent analysis of A431 cells labeling TUFM with ab173300 at 1/100.

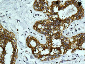
Immunohistochemistry (Formalin/PFA-fixed paraffin-embedded sections) - Anti-TUFM antibody [EPR12797(B)] (AB173300)
  • IHC-P

Supplier Data

Immunohistochemistry (Formalin/PFA-fixed paraffin-embedded sections) - Anti-TUFM antibody [EPR12797(B)] (AB173300)

Immunohistochemical analysis of paraffin embedded Human colon tissue labeling TUFM with ab173300 at 1/100.

Perform heat mediated antigen retrieval with citrate buffer pH 6 before commencing with IHC staining protocol.

Immunoprecipitation - Anti-TUFM antibody [EPR12797(B)] (AB173300)
  • IP

Supplier Data

Immunoprecipitation - Anti-TUFM antibody [EPR12797(B)] (AB173300)

Immunoprecipitation. ab173300 at 1/10000 staining TUFM immunoprecipitated from HeLa lysate using ab173300 at 1/10.

Lane 2 : 1X PBS (negative control).

All lanes:

Immunoprecipitation - Anti-TUFM antibody [EPR12797(B)] (ab173300)

Predicted band size: 50 kDa

Observed band size: 43 kDa

false

Western blot - Anti-TUFM antibody [EPR12797(B)] (AB173300)
  • WB

Supplier Data

Western blot - Anti-TUFM antibody [EPR12797(B)] (AB173300)

All lanes:

Western blot - Anti-TUFM antibody [EPR12797(B)] (ab173300) at 1/10000 dilution

Lane 1:

HepG2 cell lysate at 10 µg

Lane 2:

A431 cell lysate at 10 µg

Lane 3:

HeLa cell lysate at 10 µg

Lane 4:

Jurkat cell lysate at 10 µg

Predicted band size: 50 kDa

false

  • Carrier free

    Anti-TUFM antibody [EPR12797(B)] - BSA and Azide free

Key facts

Host species

Rabbit

Clonality

Monoclonal

Clone number

EPR12797(B)

Isotype

IgG

Carrier free

No

Reacts with

Human

Applications

Flow Cyt (Intra), ICC/IF, IP, IHC-P, WB

applications

Immunogen

The exact immunogen used to generate this antibody is proprietary information.

Reactivity data

{ "title": "Reactivity Data", "filters": { "stats": ["", "Species", "Dilution Info", "Notes"], "tabs": { "all-applications": {"fullname" : "All Applications", "shortname": "All Applications"}, "IHCP" : {"fullname" : "Immunohistochemistry (Formalin/PFA-fixed paraffin-embedded sections)", "shortname":"IHC-P"}, "IP" : {"fullname" : "Immunoprecipitation", "shortname":"IP"}, "WB" : {"fullname" : "Western blot", "shortname":"WB"}, "ICCIF" : {"fullname" : "Immunocytochemistry/ Immunofluorescence", "shortname":"ICC/IF"}, "FlowCytIntra" : {"fullname" : "Flow Cytometry (Intracellular)", "shortname":"Flow Cyt (Intra)"} }, "product-promise": { "all": "all", "testedAndGuaranteed": "tested", "guaranteed": "expected", "predicted": "predicted", "notRecommended": "not-recommended" } }, "values": { "Human": { "IHCP-species-checked": "testedAndGuaranteed", "IHCP-species-dilution-info": "1/100 - 1/250", "IHCP-species-notes": "<p></p>", "IP-species-checked": "testedAndGuaranteed", "IP-species-dilution-info": "1/10 - 1/100", "IP-species-notes": "<p></p>", "WB-species-checked": "testedAndGuaranteed", "WB-species-dilution-info": "1/10000 - 1/50000", "WB-species-notes": "<p></p>", "ICCIF-species-checked": "testedAndGuaranteed", "ICCIF-species-dilution-info": "1/100 - 1/250", "ICCIF-species-notes": "<p></p>", "FlowCytIntra-species-checked": "testedAndGuaranteed", "FlowCytIntra-species-dilution-info": "1/10 - 1/100", "FlowCytIntra-species-notes": "<p><a href='/en-us/products/primary-antibodies/rabbit-igg-monoclonal-epr25a-isotype-control-ab172730'>ab172730</a> - Rabbit monoclonal IgG, is suitable for use as an isotype control with this antibody.</p>" }, "Mouse": { "IHCP-species-checked": "predicted", "IHCP-species-dilution-info": "", "IHCP-species-notes": "", "IP-species-checked": "predicted", "IP-species-dilution-info": "", "IP-species-notes": "", "WB-species-checked": "predicted", "WB-species-dilution-info": "", "WB-species-notes": "", "ICCIF-species-checked": "predicted", "ICCIF-species-dilution-info": "", "ICCIF-species-notes": "", "FlowCytIntra-species-checked": "predicted", "FlowCytIntra-species-dilution-info": "", "FlowCytIntra-species-notes": "" }, "Rat": { "IHCP-species-checked": "predicted", "IHCP-species-dilution-info": "", "IHCP-species-notes": "", "IP-species-checked": "predicted", "IP-species-dilution-info": "", "IP-species-notes": "", "WB-species-checked": "predicted", "WB-species-dilution-info": "", "WB-species-notes": "", "ICCIF-species-checked": "predicted", "ICCIF-species-dilution-info": "", "ICCIF-species-notes": "", "FlowCytIntra-species-checked": "predicted", "FlowCytIntra-species-dilution-info": "", "FlowCytIntra-species-notes": "" } } }

Product details

Patented technology
Our RabMAb® technology is a patented hybridoma-based technology for making rabbit monoclonal antibodies. For details on our patents, please refer to RabMAb® patents.

What are the advantages of a recombinant monoclonal antibody?
This product is a recombinant monoclonal antibody, which offers several advantages including:

  • - High batch-to-batch consistency and reproducibility
  • - Improved sensitivity and specificity
  • - Long-term security of supply
  • - Animal-free batch production

For more information, read more on recombinant antibodies.

Properties and storage information

Form
Liquid
Purification technique
Affinity purification Protein A
Storage buffer
pH: 7.2 - 7.4 Preservative: 0.01% Sodium azide Constituents: PBS, 50% Tissue culture supernatant, 40% Glycerol (glycerin, glycerine), 0.05% BSA
Shipped at conditions
Blue Ice
Appropriate short-term storage duration
1-2 weeks
Appropriate short-term storage conditions
+4°C
Appropriate long-term storage conditions
-20°C
Aliquoting information
Upon delivery aliquot
Storage information
Avoid freeze / thaw cycle

Supplementary information

This supplementary information is collated from multiple sources and compiled automatically.

TUFM also known as elongation factor Tu mitochondrial (EF-Tu) is a protein involved in the protein synthesis process within mitochondria. It has a molecular mass of approximately 50 kDa. TUFM plays an essential role in the translation step of protein synthesis by binding aminoacyl-tRNA and positioning it on the ribosome. Researchers have identified the protein as highly expressed in tissues with high energy demand such as the heart brain and skeletal muscle.
Biological function summary

TUFM assists in mitochondrial protein synthesis which is necessary for the proper function and maintenance of the respiratory chain complexes. It forms part of the mitochondrial ribosome complex operating alongside other elongation factors like EF-G. TUFM’s activity is essential for the production of proteins encoded by mitochondrial DNA which are they key components of oxidative phosphorylation machinery.

Pathways

TUFM integrates into the mitochondrial translation pathway which supports the production of proteins critical for the electron transport chain. This pathway is important for ATP production through oxidative phosphorylation. TUFM interacts with other components such as MRPS18 and MRPL3 to mediate the elongation cycle during mitochondrial protein synthesis. These relationships are essential for coordinating mitochondrial function and bioenergetics.

TUFM mutations or disruptions have connections to mitochondrial disorders such as MELAS syndrome (Mitochondrial Encephalomyopathy Lactic Acidosis and Stroke-like episodes) which affects energy production. The protein's dysfunction can also relate to Parkinson's Disease where impaired mitochondrial activity plays a role. TUFM’s interaction with other mitochondrial proteins like NDUFS1 part of complex I of the electron transport chain underlines its potential impact in these disorders.

Product protocols

For this product, it's our understanding that no specific protocols are required. You can visit:

Target data

Promotes the GTP-dependent binding of aminoacyl-tRNA to the A-site of ribosomes during protein biosynthesis. Also plays a role in the regulation of autophagy and innate immunity. Recruits ATG5-ATG12 and NLRX1 at mitochondria and serves as a checkpoint of the RIGI-MAVS pathway. In turn, inhibits RLR-mediated type I interferon while promoting autophagy.
See full target information TUFM

Publications (8)

Recent publications for all applications. Explore the full list and refine your search

iScience 27:109136 PubMed38510136

2024

Local mitochondrial replication in the periphery of neurons requires the eEF1A1 protein and thetranslation of nuclear-encoded proteins.

Applications

Unspecified application

Species

Unspecified reactive species

Carlos Cardanho-Ramos,Rúben Alves Simões,Yi-Zhi Wang,Andreia Faria-Pereira,Ewa Bomba-Warczak,Katleen Craessaerts,Marco Spinazzi,Jeffrey N Savas,Vanessa A Morais

mBio 14:e0148023 PubMed37909764

2023

The nonstructural protein 1 of respiratory syncytial virus hijacks host mitophagy as a novel mitophagy receptor to evade the type I IFN response in HEp-2 cells.

Applications

Unspecified application

Species

Unspecified reactive species

Jing Cheng,Yutong Wang,Lizheng Yin,Wenzhang Liang,Jing Zhang,Cuiqing Ma,Yu Zhang,Bo Liu,Jiachao Wang,Weiting Zhao,Miao Li,Lin Wei

Cancer research 83:1280-1298 PubMed36799863

2023

Dysregulation of Mitochondrial Translation Caused by CBFB Deficiency Cooperates with Mutant PIK3CA and Is a Vulnerability in Breast Cancer.

Applications

Unspecified application

Species

Unspecified reactive species

Navdeep Malik,Young-Im Kim,Hualong Yan,Yu-Chou Tseng,Wendy du Bois,Gamze Ayaz,Andy D Tran,Laura Vera-Ramirez,Howard Yang,Aleksandra M Michalowski,Michael Kruhlak,Maxwell Lee,Kent W Hunter,Jing Huang

Cell death & disease 13:1020 PubMed36470869

2022

FUNDC1 protects against doxorubicin-induced cardiomyocyte PANoptosis through stabilizing mtDNA via interaction with TUFM.

Applications

Unspecified application

Species

Unspecified reactive species

Yaguang Bi,Haixia Xu,Xiang Wang,Hong Zhu,Junbo Ge,Jun Ren,Yingmei Zhang

Oxidative medicine and cellular longevity 2022:4931611 PubMed35936222

2022

Silencing TUFM Inhibits Development of Monocrotaline-Induced Pulmonary Hypertension by Regulating Mitochondrial Autophagy via AMPK/mTOR Signal Pathway.

Applications

Unspecified application

Species

Unspecified reactive species

Ruyuan Wei,Xin Lv,Changcun Fang,Chuanzhen Liu,Zengshan Ma,Kai Liu

Molecular therapy : the journal of the American Society of Gene Therapy 30:3193-3208 PubMed35538661

2022

Apoptotic vesicles activate autophagy in recipient cells to induce angiogenesis and dental pulp regeneration.

Applications

Unspecified application

Species

Unspecified reactive species

Zihan Li,Meiling Wu,Siying Liu,Xuemei Liu,Yu Huan,Qingyuan Ye,Xiaoxue Yang,Hao Guo,Anqi Liu,Xiaoyao Huang,Xiaoshan Yang,Feng Ding,Haokun Xu,Jun Zhou,Peisheng Liu,Shiyu Liu,Yan Jin,Kun Xuan

Cell reports 27:2075-2091.e5 PubMed31091447

2019

The Glycoprotein and Nucleocapsid Protein of Hantaviruses Manipulate Autophagy Flux to Restrain Host Innate Immune Responses.

Applications

Unspecified application

Species

Unspecified reactive species

Kerong Wang,Hongwei Ma,He Liu,Wei Ye,Zhuo Li,Linfeng Cheng,Liang Zhang,Yingfeng Lei,Lixin Shen,Fanglin Zhang

Physiological reports 6:e13893 PubMed30369085

2018

Exercise-induced mitochondrial biogenesis coincides with the expression of mitochondrial translation factors in murine skeletal muscle.

Applications

Unspecified application

Species

Unspecified reactive species

Takumi Yokokawa,Kohei Kido,Tadashi Suga,Tadao Isaka,Tatsuya Hayashi,Satoshi Fujita
View all publications

Product promise

We are committed to supporting your work with high-quality reagents, and we're here for you every step of the way. In the unlikely event that one of our products does not perform as expected, you're protected by our Product Promise.
For full details, please see our Terms & Conditions

Please note: All products are 'FOR RESEARCH USE ONLY. NOT FOR USE IN DIAGNOSTIC OR THERAPEUTIC PROCEDURES'.

For licensing inquiries, please contact partnerships@abcam.com