JavaScript is disabled in your browser. Please enable JavaScript to view this website.
AB248385

Anti-TUG antibody [EPR8615] - BSA and Azide free

Be the first to review this product! Submit a review

|

(0 Publication)

Rabbit Recombinant Monoclonal TUG antibody. Carrier free. Suitable for IHC-P, WB and reacts with Human, Mouse samples.

View Alternative Names

ASPL, RCC17, TUG, UBXD9, UBXN9, ASPSCR1, Tether containing UBX domain for GLUT4, Alveolar soft part sarcoma chromosomal region candidate gene 1 protein, Alveolar soft part sarcoma locus, Renal papillary cell carcinoma protein 17, UBX domain-containing protein 9

5 Images
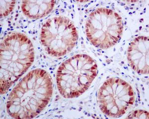
Immunohistochemistry (Formalin/PFA-fixed paraffin-embedded sections) - Anti-TUG antibody [EPR8615] - BSA and Azide free (AB248385)
  • IHC-P

Unknown

Immunohistochemistry (Formalin/PFA-fixed paraffin-embedded sections) - Anti-TUG antibody [EPR8615] - BSA and Azide free (AB248385)

This data was developed using ab131237, the same antibody clone in a different buffer formulation.

ab131237, at 1/100, staining TUG in Formalin-fixed, Paraffin-embedded Human colon tissue by Immunohistochemistry.

Perform heat mediated antigen retrieval with citrate buffer pH 6 before commencing with IHC staining protocol.

Western blot - Anti-TUG antibody [EPR8615] - BSA and Azide free (AB248385)
  • WB

Lab

Western blot - Anti-TUG antibody [EPR8615] - BSA and Azide free (AB248385)

This data was developed using the same antibody clone in a different buffer formulation containing PBS, BSA, glycerol, and sodium azide (ab131237).

Western blot : Anti-TUG antibody [EPR8615] ab131237 staining at 1/1000 dilution, shown in green; Mouse anti GAPDH ab8245 loading control staining at 1/20000 dilution, shown in magenta. A band was observed at 70 kDa in Wild-type A549 cell lysates with no signal observed at this size in ASPSCR1 knockout A549 cell line. To generate this image, samples were run on an SDS-PAGE gel then transferred onto a nitrocellulose membrane. Membranes were blocked in 3pc Milk in TBS-0.1 % Tween 20 (TBS-T) before incubation with primary antibodies overnight at 4 °C. Blots were washed four times in TBS-T, incubated with secondary antibodies for 1 h at room temperature, washed again four times then imaged. Secondary antibodies used were Goat anti-Rabbit 800CW and Goat anti-Mouse 680RD at 1/20,000 dilution.

All lanes:

Western blot - Anti-TUG antibody [EPR8615] (<a href='/en-us/products/primary-antibodies/tug-antibody-epr8615-ab131237'>ab131237</a>) at 1/1000 dilution

Lane 1:

Wild-type A549 whole cell lysate at 20 µg

Lane 2:

ASPSCR1 knockout A549 whole cell lysate at 20 µg

Lane 3:

HEK-293 whole cell lysate at 20 µg

Lane 4:

HeLa whole cell lysate at 20 µg

Secondary

All lanes:

Goat anti-Rabbit 800CW & Goat anti-Mouse 680RD at 1/20000 dilution

Predicted band size: 70 kDa

Observed band size: 70 kDa

false

Western blot - Anti-TUG antibody [EPR8615] - BSA and Azide free (AB248385)
  • WB

Unknown

Western blot - Anti-TUG antibody [EPR8615] - BSA and Azide free (AB248385)

This data was developed using ab131237, the same antibody clone in a different buffer formulation.

All lanes:

Western blot - Anti-TUG antibody [EPR8615] (<a href='/en-us/products/primary-antibodies/tug-antibody-epr8615-ab131237'>ab131237</a>) at 1/10000 dilution

Lane 1:

K562 cell lysate at 10 µg

Lane 2:

293T cell lysate at 10 µg

Lane 3:

SW480 cell lysate at 10 µg

Predicted band size: 60 kDa

false

Western blot - Anti-TUG antibody [EPR8615] - BSA and Azide free (AB248385)
  • WB

Lab

Western blot - Anti-TUG antibody [EPR8615] - BSA and Azide free (AB248385)

This data was developed using ab131237, the same antibody clone in a different buffer formulation.

Lane 1 : Wild-type HAP1 cell lysate (20 μg)

Lane 2 : TUG knockout HAP1 cell lysate (20 μg)

Lane 3 : NIH/3T3 cell lysate (20 μg)

Lane 4 : HEK293 cell lysate (20 μg)

Lanes 1 - 4 : Merged signal (red and green). Green - ab131237 observed at 70 kDa. Red - loading control, ab8245, observed at 37 kDa.

ab131237 was shown to specifically react with TUG when TUG knockout samples were used. Wild-type and TUG knockout samples were subjected to SDS-PAGE. ab131237 and ab8245 (loading control to GAPDH) were both diluted 1/10 000 and incubated overnight at 4°C. Blots were developed with Goat anti-Rabbit IgG H&L (IRDye® 800CW) preadsorbed ab216773 and Goat anti-Mouse IgG H&L (IRDye® 680RD) preadsorbed ab216776 secondary antibodies at 1/10000 dilution for 1 hour at room temperature before imaging.

All lanes:

Western blot - Anti-TUG antibody [EPR8615] (<a href='/en-us/products/primary-antibodies/tug-antibody-epr8615-ab131237'>ab131237</a>)

Predicted band size: 60 kDa,69 kDa

false

OI-RD Scanning - Anti-TUG antibody [EPR8615] - BSA and Azide free (AB248385)
  • OI-RD Scanning

Unknown

OI-RD Scanning - Anti-TUG antibody [EPR8615] - BSA and Azide free (AB248385)

We have systematically measured KD (the equilibrium dissociation constant between the antibody and its antigen), of more than 840 recombinant antibodies to assess not only their individual KD values but also to see the average affinity of antibody. Based on the comparison with published literature values for mouse monoclonal antibodies, Recombinant antibodies appear to be on average 1-2 order of magnitude higher affinity.

Key facts

Host species

Rabbit

Clonality

Monoclonal

Clone number

EPR8615

Isotype

IgG

Carrier free

Yes

Reacts with

Mouse, Human

Applications

WB, IHC-P

applications

Immunogen

The exact immunogen used to generate this antibody is proprietary information.

Reactivity data

{ "title": "Reactivity Data", "filters": { "stats": ["", "Species", "Dilution Info", "Notes"], "tabs": { "all-applications": {"fullname" : "All Applications", "shortname": "All Applications"}, "IHCP" : {"fullname" : "Immunohistochemistry (Formalin/PFA-fixed paraffin-embedded sections)", "shortname":"IHC-P"}, "ICCIF" : {"fullname" : "Immunocytochemistry/ Immunofluorescence", "shortname":"ICC/IF"}, "FlowCyt" : {"fullname" : "Flow Cytometry", "shortname":"Flow Cyt"}, "WB" : {"fullname" : "Western blot", "shortname":"WB"} }, "product-promise": { "all": "all", "testedAndGuaranteed": "tested", "guaranteed": "expected", "predicted": "predicted", "notRecommended": "not-recommended" } }, "values": { "Human": { "IHCP-species-checked": "testedAndGuaranteed", "IHCP-species-dilution-info": "", "IHCP-species-notes": "<p></p>", "ICCIF-species-checked": "notRecommended", "ICCIF-species-dilution-info": "", "ICCIF-species-notes": "<p></p>", "FlowCyt-species-checked": "notRecommended", "FlowCyt-species-dilution-info": "", "FlowCyt-species-notes": "<p></p>", "WB-species-checked": "guaranteed", "WB-species-dilution-info": "", "WB-species-notes": "" }, "Mouse": { "IHCP-species-checked": "guaranteed", "IHCP-species-dilution-info": "", "IHCP-species-notes": "", "ICCIF-species-checked": "notRecommended", "ICCIF-species-dilution-info": "", "ICCIF-species-notes": "<p></p>", "FlowCyt-species-checked": "notRecommended", "FlowCyt-species-dilution-info": "", "FlowCyt-species-notes": "<p></p>", "WB-species-checked": "testedAndGuaranteed", "WB-species-dilution-info": "", "WB-species-notes": "<p></p>" }, "Rat": { "IHCP-species-checked": "predicted", "IHCP-species-dilution-info": "", "IHCP-species-notes": "", "ICCIF-species-checked": "notRecommended", "ICCIF-species-dilution-info": "", "ICCIF-species-notes": "", "FlowCyt-species-checked": "notRecommended", "FlowCyt-species-dilution-info": "", "FlowCyt-species-notes": "", "WB-species-checked": "predicted", "WB-species-dilution-info": "", "WB-species-notes": "" } } }

Product details

ab248385 is the carrier-free version of ab131237.

Patented technology
Our RabMAb® technology is a patented hybridoma-based technology for making rabbit monoclonal antibodies. For details on our patents, please refer to RabMAb® patents.

What are the advantages of a recombinant monoclonal antibody?
This product is a recombinant monoclonal antibody, which offers several advantages including:

  • - High batch-to-batch consistency and reproducibility
  • - Improved sensitivity and specificity
  • - Long-term security of supply
  • - Animal-free batch production

For more information, read more on recombinant antibodies.

Conjugation ready
Our carrier-free antibodies are typically supplied in a PBS-only formulation, purified and free of BSA, sodium azide and glycerol. This conjugation-ready format is designed for use with fluorochromes, metal isotopes, oligonucleotides, and enzymes, which makes them ideal for antibody labelling, functional and cell-based assays, flow-based assays (e.g. mass cytometry) and Multiplex Imaging applications.

Use our conjugation kits for antibody conjugates that are ready-to-use in as little as 20 minutes with 1 minute hands-on-time and 100% antibody recovery: available for fluorescent dyes, HRP, biotin and gold.

Compatibility
This product is compatible with the Maxpar® Antibody Labeling Kit from Fluidigm, without the need for antibody preparation. Maxpar® is a trademark of Fluidigm Canada Inc.

Properties and storage information

Form
Liquid
Purification technique
Affinity purification Protein A
Storage buffer
pH: 7.2 - 7.4 Constituents: PBS
Shipped at conditions
Blue Ice
Appropriate short-term storage conditions
+4°C
Appropriate long-term storage conditions
+4°C
Storage information
Do Not Freeze

Supplementary information

This supplementary information is collated from multiple sources and compiled automatically.

Tether containing a UBX domain for GLUT4 (TUG) also known as ASPSCR1 is a protein that plays a role in cellular trafficking. TUG weighs approximately 67 kDa. It is predominantly expressed in adipose tissue and muscle. TUG acts as an inhibitor that helps regulate the recycling and translocation of the glucose transporter type 4 (GLUT4) by tethering it in the cytoplasm until stimulated by insulin.
Biological function summary

TUG regulates glucose homeostasis and energy balance. It forms a complex with GLUT4-containing vesicles controlling their movement to the plasma membrane in response to insulin stimulation. When insulin is present TUG undergoes proteolytic cleavage releasing GLUT4 so that it can facilitate glucose uptake into cells. This regulation of glucose transport is essential in maintaining normal blood glucose levels.

Pathways

TUG operates within the insulin signaling pathway and glucose transport pathway. By interacting with GLUT4 TUG controls its translocation important for insulin-mediated glucose uptake. Another significant pathway involving TUG is the trafficking of proteins through the Golgi apparatus where TUG might interact with other UBX domain-containing proteins to manage vesicular traffic.

TUG is linked to type 2 diabetes and insulin resistance. Abnormalities in TUG function or expression can disrupt normal GLUT4 trafficking and impair glucose uptake contributing to these metabolic disorders. Furthermore TUG might interact with proteins related to Alzheimer's disease such as those impacting insulin signaling suggesting a potential role in the pathophysiology of neurodegenerative disorders.

Product protocols

For this product, it's our understanding that no specific protocols are required. You can visit:

Target data

Tethering protein that sequesters GLUT4-containing vesicles in the cytoplasm in the absence of insulin. Modulates the amount of GLUT4 that is available at the cell surface (By similarity). Enhances VCP methylation catalyzed by VCPKMT.
See full target information ASPSCR1

Product promise

We are committed to supporting your work with high-quality reagents, and we're here for you every step of the way. In the unlikely event that one of our products does not perform as expected, you're protected by our Product Promise.
For full details, please see our Terms & Conditions

Please note: All products are 'FOR RESEARCH USE ONLY. NOT FOR USE IN DIAGNOSTIC OR THERAPEUTIC PROCEDURES'.

For licensing inquiries, please contact partnerships@abcam.com