JavaScript is disabled in your browser. Please enable JavaScript to view this website.
AB37170

Anti-TWEAK antibody

Be the first to review this product! Submit a review

|

(21 Publications)

Rabbit Polyclonal TWEAK antibody. Suitable for WB, IHC-P and reacts with Mouse, Human samples. Cited in 21 publications. Immunogen corresponding to Recombinant Full Length Protein corresponding to Human TNFSF12.

View Alternative Names

APO3L, DR3LG, UNQ181/PRO207, TNFSF12, Tumor necrosis factor ligand superfamily member 12, APO3 ligand, TNF-related weak inducer of apoptosis, TWEAK

7 Images
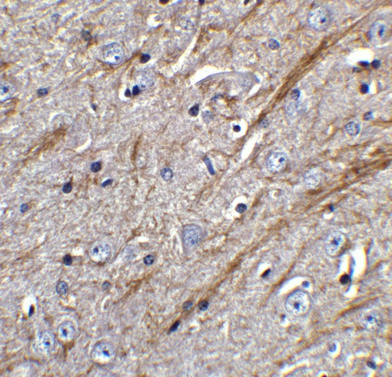
Immunohistochemistry (Formalin/PFA-fixed paraffin-embedded sections) - Anti-TWEAK antibody (AB37170)
  • IHC-P

Supplier Data

Immunohistochemistry (Formalin/PFA-fixed paraffin-embedded sections) - Anti-TWEAK antibody (AB37170)

Immunohistochemistry analysis Formalin/PFA-fixed paraffin-embedded human brain tissue sections labeling TWEAK with ab37170 at 10 μg/mL. Tissue was fixed with formaldehyde and blocked with 10% serum for 1 h at RT; antigen retrieval was by heat mediation with a citrate buffer (pH6). Samples were incubated with primary antibody overnight at 4˚C. A goat anti-rabbit IgG H&L (HRP) at 1/250 was used as secondary. Counter stained with Hematoxylin.

Immunohistochemistry (Formalin/PFA-fixed paraffin-embedded sections) - Anti-TWEAK antibody (AB37170)
  • IHC-P

Supplier Data

Immunohistochemistry (Formalin/PFA-fixed paraffin-embedded sections) - Anti-TWEAK antibody (AB37170)

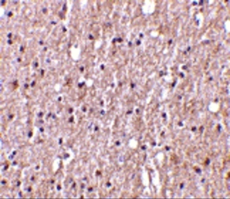
Immunohistochemistry analysis Formalin/PFA-fixed paraffin-embedded mouse brain tissue sections labeling TWEAK with ab37170 at 5 μg/ml. Tissue was fixed with formaldehyde and blocked with 10% serum for 1 h at RT; antigen retrieval was by heat mediation with a citrate buffer (pH6). Samples were incubated with primary antibody overnight at 4˚C. A goat anti-rabbit IgG H&L (HRP) at 1/250 was used as secondary. Counter stained with Hematoxylin.

Immunohistochemistry (Formalin/PFA-fixed paraffin-embedded sections) - Anti-TWEAK antibody (AB37170)
  • IHC-P

Unknown

Immunohistochemistry (Formalin/PFA-fixed paraffin-embedded sections) - Anti-TWEAK antibody (AB37170)

Immunohistochemistry (Formalin/PFA-fixed paraffin-embedded sections) of mouse brain tissue staining TWEAK with ab37170 at 20µg/ml

Western blot - Anti-TWEAK antibody (AB37170)
  • WB

Unknown

Western blot - Anti-TWEAK antibody (AB37170)

Western Blot of HeLa cell lysate labeling TWEAK with Anti-TWEAK antibody (ab37170) at (1) 1 and (2) 2μg/ml.

All lanes:

Western blot - Anti-TWEAK antibody (ab37170)

Predicted band size: 27 kDa

false

Western blot - Anti-TWEAK antibody (AB37170)
  • WB

Supplier Data

Western blot - Anti-TWEAK antibody (AB37170)

Primary incubation time : 1h incubation at RT in 5% NFDM/TBST.

All lanes:

Western blot - Anti-TWEAK antibody (ab37170) at 2 µg/mL

All lanes:

Mouse Liver Tissue Lysates at 15 µg

Secondary

All lanes:

Goat anti-rabbit IgG HRP conjugate at 1/10000 dilution

Predicted band size: 27 kDa

false

Western blot - Anti-TWEAK antibody (AB37170)
  • WB

Supplier Data

Western blot - Anti-TWEAK antibody (AB37170)

Primary incubation : 1h incubation at RT in 5% NFDM/TBST

Lane 1:

Western blot - Anti-TWEAK antibody (ab37170) at 1 µg/mL

Lane 2:

Western blot - Anti-TWEAK antibody (ab37170) at 2 µg/mL

All lanes:

Mouse pancreas tissue lysate at 15 µg

Secondary

All lanes:

Goat anti-rabbit IgG HRP conjugate at 1/10000 dilution

Predicted band size: 27 kDa

false

Western blot - Anti-TWEAK antibody (AB37170)
  • WB

Unknown

Western blot - Anti-TWEAK antibody (AB37170)

TWEAK migrates at aberrant positions in SDS-PAGE; hence the observed band is different from the predicted molecular weight of 27 kDa.

All lanes:

Western blot - Anti-TWEAK antibody (ab37170) at 1 µg/mL

Lane 1:

Recombinant human TWEAK at 0.005 µg

Lane 2:

Recombinant human TWEAK at 0.025 µg

Lane 3:

Recombinant human TWEAK at 0.05 µg

Predicted band size: 27 kDa

Observed band size: 37 kDa

false

Key facts

Host species

Rabbit

Clonality

Polyclonal

Isotype

IgG

Carrier free

No

Reacts with

Mouse, Human

Applications

WB, IHC-P

applications

Immunogen

Recombinant Full Length Protein corresponding to Human TNFSF12.

O43508

Reactivity data

{ "title": "Reactivity Data", "filters": { "stats": ["", "Species", "Dilution Info", "Notes"], "tabs": { "all-applications": {"fullname" : "All Applications", "shortname": "All Applications"}, "WB" : {"fullname" : "Western blot", "shortname":"WB"}, "IHCP" : {"fullname" : "Immunohistochemistry (Formalin/PFA-fixed paraffin-embedded sections)", "shortname":"IHC-P"} }, "product-promise": { "all": "all", "testedAndGuaranteed": "tested", "guaranteed": "expected", "predicted": "predicted", "notRecommended": "not-recommended" } }, "values": { "Human": { "WB-species-checked": "testedAndGuaranteed", "WB-species-dilution-info": "0.5-1 µg/mL", "WB-species-notes": "<p>TWEAK may migrate at aberrant poitions in SDS-PAGE.</p>", "IHCP-species-checked": "testedAndGuaranteed", "IHCP-species-dilution-info": "5-10 µg/mL", "IHCP-species-notes": "<p></p>" }, "Mouse": { "WB-species-checked": "testedAndGuaranteed", "WB-species-dilution-info": "0.5-1 µg/mL", "WB-species-notes": "<p>TWEAK may migrate at aberrant poitions in SDS-PAGE.</p>", "IHCP-species-checked": "testedAndGuaranteed", "IHCP-species-dilution-info": "5-10 µg/mL", "IHCP-species-notes": "<p></p>" } } }

Properties and storage information

Form
Liquid
Purification technique
Affinity purification Protein A
Storage buffer
pH: 7.2 Preservative: 0.02% Sodium azide Constituents: PBS
Shipped at conditions
Blue Ice
Appropriate short-term storage conditions
+4°C
Appropriate long-term storage conditions
+4°C
Storage information
Do Not Freeze

Supplementary information

This supplementary information is collated from multiple sources and compiled automatically.

The TNF-like weak inducer of apoptosis (TWEAK) also known as CD255 is a cytokine involved in a variety of cellular processes. This protein has an approximate mass of 24 kDa. TWEAK is expressed in many tissues including the heart brain and spleen. It functions by binding to the fibroblast growth factor-inducible 14 (Fn14) receptor leading to the activation of downstream signaling pathways. TWEAK's role as a ligand places it in the tumor necrosis factor (TNF) superfamily highlighting its involvement in cell death and inflammation signaling.
Biological function summary

TWEAK modulates processes like cell proliferation differentiation and apoptosis. This cytokine affects the immune response and tissue regeneration becoming significant in processes that require tissue remodeling. While acting independently TWEAK does not form part of a larger protein complex. Instead it signals mainly through its exclusive receptor Fn14 on responsive cells triggering cellular responses that influence its biological activities.

Pathways

TWEAK plays an important role in the NF-kB and MAPK signaling pathways. These pathways are important for immune response regulation and cell survival. In these pathways TWEAK closely interacts with TNF receptor-associated factors (TRAFs) which facilitate TWEAK signaling. The connections to pathways involving inflammatory response highlight its significance in maintaining homeostasis within the cellular environment.

TWEAK's activity links to conditions like cancer and rheumatoid arthritis. In cancer excessive TWEAK signaling can contribute to tumor growth and metastasis through its pro-inflammatory and pro-angiogenic effects. In rheumatoid arthritis TWEAK expression relates to joint inflammation and tissue damage where it interacts with proteins like IL-6 and TNF-alpha. These interactions suggest potential therapeutic targets by modulating TWEAK or its signaling partners to treat these diseases.

Product protocols

For this product, it's our understanding that no specific protocols are required. You can visit:

Target data

Binds to FN14 and possibly also to TNRFSF12/APO3. Weak inducer of apoptosis in some cell types. Mediates NF-kappa-B activation. Promotes angiogenesis and the proliferation of endothelial cells. Also involved in induction of inflammatory cytokines. Promotes IL8 secretion.
See full target information TNFSF12

Publications (21)

Recent publications for all applications. Explore the full list and refine your search

Heliyon 10:e37935 PubMed39391467

2024

Anti-inflammatory Capacity of a Medicinal herb extract, , on and models-induced atopic dermatitis.

Applications

Unspecified application

Species

Unspecified reactive species

Hye-Min Kim,Yun-Mi Kang,Bo-Ram Jin,Minho Lee,Hyo-Jin An

iScience 27:110921 PubMed39386756

2024

Single-cell RNA sequencing and spatial transcriptomics of bladder Ewing sarcoma.

Applications

Unspecified application

Species

Unspecified reactive species

Weipu Mao,Kangjie Xu,Keyi Wang,Houliang Zhang,Jie Ji,Jiang Geng,Si Sun,Chaoming Gu,Atrayee Bhattacharya,Cheng Fang,Tao Tao,Ming Chen,Jianping Wu,Shuqiu Chen,Chao Sun,Bin Xu

Journal of cosmetic dermatology 23:4230-4238 PubMed39166480

2024

TWEAK increases angiogenesis to promote diabetic skin wound healing by regulating Fn14/EGFR signaling.

Applications

Unspecified application

Species

Unspecified reactive species

Ying-Jie Zhu,Hu-Lin Chen,Jing-Kai Huang,Xin-Jie Cai,Bang-le Zhan

Cancer cell 42:885-903.e4 PubMed38608702

2024

The crosstalk between macrophages and cancer cells potentiates pancreatic cancer cachexia.

Applications

Unspecified application

Species

Unspecified reactive species

Mingyang Liu,Yu Ren,Zhijun Zhou,Jingxuan Yang,Xiuhui Shi,Yang Cai,Alex X Arreola,Wenyi Luo,Kar-Ming Fung,Chao Xu,Ryan D Nipp,Michael S Bronze,Lei Zheng,Yi-Ping Li,Courtney W Houchen,Yuqing Zhang,Min Li

Skeletal muscle 12:18 PubMed35902978

2022

Dysregulation of Tweak and Fn14 in skeletal muscle of spinal muscular atrophy mice.

Applications

Unspecified application

Species

Unspecified reactive species

Katharina E Meijboom,Emma R Sutton,Eve McCallion,Emily McFall,Daniel Anthony,Benjamin Edwards,Sabrina Kubinski,Ines Tapken,Ines Bünermann,Gareth Hazell,Nina Ahlskog,Peter Claus,Kay E Davies,Rashmi Kothary,Matthew J A Wood,Melissa Bowerman

Cell death discovery 8:328 PubMed35853848

2022

Inhibition of TWEAK/Tnfrsf12a axis protects against acute liver failure by suppressing RIPK1-dependent apoptosis.

Applications

Unspecified application

Species

Unspecified reactive species

Zhijie Li,Heming Wang,Junjin Zhu,Ning Nan,Yi Lin,Xuran Zhuang,Ling Li,Yamin Zhang,Pengyu Huang

Molecular biology reports 47:5165-5173 PubMed32572732

2020

Parthenolide ameliorates tweak-induced podocytes injury.

Applications

Unspecified application

Species

Unspecified reactive species

Lichun Yu,Caihui Zhang,Yuan Chen,Qian Li,Jing Wang,Shuzhen Sun

EBioMedicine 46:274-289 PubMed31395500

2019

A major role of TWEAK/Fn14 axis as a therapeutic target for post-angioplasty restenosis.

Applications

Unspecified application

Species

Unspecified reactive species

Nerea Méndez-Barbero,Carmen Gutierrez-Muñoz,Julio Madrigal-Matute,Pablo Mínguez,Jesús Egido,Jean-Baptiste Michel,Jose L Martín-Ventura,Vanesa Esteban,Luis M Blanco-Colio

International journal of molecular sciences 20: PubMed30602657

2018

Exercise Training Impacts Cardiac Mitochondrial Proteome Remodeling in Murine Urothelial Carcinoma.

Applications

Unspecified application

Species

Unspecified reactive species

Rita Ferreira,Maria João Neuparth,Rita Nogueira-Ferreira,Sandra Magalhães,Miguel Aroso,José António Bovolini,Lúcio Lara Santos,Paula Oliveira,Rui Vitorino,Daniel Moreira-Gonçalves

Development (Cambridge, England) 145: PubMed30337376

2018

TWE-PRIL reverse signalling suppresses sympathetic axon growth and tissue innervation.

Applications

Unspecified application

Species

Unspecified reactive species

Laura Howard,Erin Wosnitzka,Darian Okakpu,Matthew A White,Sean Wyatt,Alun M Davies
View all publications

Product promise

We are committed to supporting your work with high-quality reagents, and we're here for you every step of the way. In the unlikely event that one of our products does not perform as expected, you're protected by our Product Promise.
For full details, please see our Terms & Conditions

Please note: All products are 'FOR RESEARCH USE ONLY. NOT FOR USE IN DIAGNOSTIC OR THERAPEUTIC PROCEDURES'.

For licensing inquiries, please contact partnerships@abcam.com