JavaScript is disabled in your browser. Please enable JavaScript to view this website.
AB316930

Anti-TWEAK antibody [EPR28107-36] - BSA and Azide free

Be the first to review this product! Submit a review

|

(0 Publication)

Rabbit Recombinant Monoclonal TWEAK antibody. Carrier free. Suitable for WB and reacts with Human, Mouse samples.

View Alternative Names

APO3L, DR3LG, UNQ181/PRO207, TNFSF12, Tumor necrosis factor ligand superfamily member 12, APO3 ligand, TNF-related weak inducer of apoptosis, TWEAK

3 Images
Western blot - Anti-TWEAK antibody [EPR28107-36] - BSA and Azide free (AB316930)
  • WB

Supplier Data

Western blot - Anti-TWEAK antibody [EPR28107-36] - BSA and Azide free (AB316930)

This data was developed using ab316929, the same antibody clone in a different buffer formulation.

In Western blot, Anti-GAPDH antibody [EPR16891] - Loading Control (ab181602) staining at 1/200000 dilution.

Blocking and diluting buffer and concentration : 5% NFDM/TBST.

All lanes:

Western blot - Anti-TWEAK antibody [EPR28107-36] (<a href='/en-us/products/primary-antibodies/tweak-antibody-epr28107-36-ab316929'>ab316929</a>) at 1/1000 dilution

Lane 1:

HeLa (human cervical adenocarcinoma epithelial cell) transfected with scrambled siRNA control whole cell lysate at 20 µg

Lane 2:

HeLa transfected with siRNA specifically targeting TNFSF12 whole cell lysate at 20 µg

Secondary

All lanes:

Western blot - Goat Anti-Rabbit IgG H&L (HRP) (<a href='/en-us/products/secondary-antibodies/goat-rabbit-igg-h-l-hrp-ab97051'>ab97051</a>) at 1/100000 dilution

Predicted band size: 27 kDa

Observed band size: 35 kDa,36 kDa

false

Exposure time: 26s

Western blot - Anti-TWEAK antibody [EPR28107-36] - BSA and Azide free (AB316930)
  • WB

Supplier Data

Western blot - Anti-TWEAK antibody [EPR28107-36] - BSA and Azide free (AB316930)

This data was developed using ab316929, the same antibody clone in a different buffer formulation.

Blocking and diluting buffer and concentration : 5% NFDM/TBST.

Negative control : HL-60 (PMID : 9405449).

Lane 1-4 are applied with Goat Anti-Rabbit IgG, (H+L), Peroxidase conjugated (ab97051) at 1/100000 and Lane 5 is applied with Goat Anti-Rabbit IgG (HRP) with minimal cross-reactivity with human IgG at 1/2000.

In Western blot, Anti-GAPDH antibody [EPR16891] - Loading Control (ab181602) staining at 1/200000 dilution.

Exposure time : Lane 1-3 : 103 seconds; Lane 4 : 48 seconds; Lane 5 : 37 seconds

All lanes:

Western blot - Anti-TWEAK antibody [EPR28107-36] (<a href='/en-us/products/primary-antibodies/tweak-antibody-epr28107-36-ab316929'>ab316929</a>) at 1/1000 dilution

Lane 1:

HeLa (human cervical adenocarcinoma epithelial cell) whole cell lysate at 20 µg

Lane 2:

PANC-1 (human pancreatic epithelioid carcinoma epithelial cell) whole cell lysate at 20 µg

Lane 3:

IMR-32 (human neuroblastoma neuroblast) whole cell lysate at 20 µg

Lane 4:

HL-60 (human acute promyelocytic leukemia promyeloblast) whole cell lysate at 20 µg

Lane 5:

Human kidney tissue lysate at 20 µg

Secondary

Lanes 1 - 4:

Western blot - Goat Anti-Rabbit IgG H&L (HRP) (<a href='/en-us/products/secondary-antibodies/goat-rabbit-igg-h-l-hrp-ab97051'>ab97051</a>) at 1/100000 dilution

Lane 5:

Goat Anti-Rabbit IgG (HRP) with minimal cross-reactivity with human IgG at 1/2000 dilution

Predicted band size: 27 kDa

Observed band size: 35 kDa,36 kDa

false

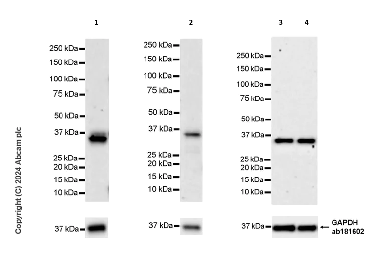
Western blot - Anti-TWEAK antibody [EPR28107-36] - BSA and Azide free (AB316930)
  • WB

Supplier Data

Western blot - Anti-TWEAK antibody [EPR28107-36] - BSA and Azide free (AB316930)

This data was developed using ab316929, the same antibody clone in a different buffer formulation.

In Western blot, Anti-GAPDH antibody [EPR16891] - Loading Control (ab181602) staining at 1/200000 dilution.

Blocking and diluting buffer and concentration : 5% NFDM/TBST.

All lanes:

Western blot - Anti-TWEAK antibody [EPR28107-36] (<a href='/en-us/products/primary-antibodies/tweak-antibody-epr28107-36-ab316929'>ab316929</a>) at 1/1000 dilution

Lane 1:

C2C12 (mouse myoblast) whole cell lysate at 20 µg

Lane 2:

RAW 264.7 (mouse Abelson murine leukemia virus-induced tumor macrophage) whole cell lysate at 20 µg

Lane 3:

Mouse brain tissue lysate at 20 µg

Lane 4:

Mouse ovary tissue lysate at 20 µg

Secondary

All lanes:

Western blot - Goat Anti-Rabbit IgG H&L (HRP) (<a href='/en-us/products/secondary-antibodies/goat-rabbit-igg-h-l-hrp-ab97051'>ab97051</a>) at 1/100000 dilution

Predicted band size: 27 kDa

Observed band size: 35 kDa,36 kDa

false

Exposure time: 180s

Key facts

Host species

Rabbit

Clonality

Monoclonal

Clone number

EPR28107-36

Isotype

IgG

Carrier free

Yes

Reacts with

Human, Mouse

Applications

WB

applications

Immunogen

The exact immunogen used to generate this antibody is proprietary information.

Reactivity data

{ "title": "Reactivity Data", "filters": { "stats": ["", "Species", "Dilution Info", "Notes"], "tabs": { "all-applications": {"fullname" : "All Applications", "shortname": "All Applications"}, "WB" : {"fullname" : "Western blot", "shortname":"WB"}, "IP" : {"fullname" : "Immunoprecipitation", "shortname":"IP"}, "IHCP" : {"fullname" : "Immunohistochemistry (Formalin/PFA-fixed paraffin-embedded sections)", "shortname":"IHC-P"}, "FlowCyt" : {"fullname" : "Flow Cytometry", "shortname":"Flow Cyt"}, "ICCIF" : {"fullname" : "Immunocytochemistry/ Immunofluorescence", "shortname":"ICC/IF"} }, "product-promise": { "all": "all", "testedAndGuaranteed": "tested", "guaranteed": "expected", "predicted": "predicted", "notRecommended": "not-recommended" } }, "values": { "Human": { "WB-species-checked": "testedAndGuaranteed", "WB-species-dilution-info": "", "WB-species-notes": "<p></p>", "IP-species-checked": "notRecommended", "IP-species-dilution-info": "", "IP-species-notes": "<p></p>", "IHCP-species-checked": "notRecommended", "IHCP-species-dilution-info": "", "IHCP-species-notes": "<p></p>", "FlowCyt-species-checked": "notRecommended", "FlowCyt-species-dilution-info": "", "FlowCyt-species-notes": "<p></p>", "ICCIF-species-checked": "notRecommended", "ICCIF-species-dilution-info": "", "ICCIF-species-notes": "<p></p>" }, "Mouse": { "WB-species-checked": "testedAndGuaranteed", "WB-species-dilution-info": "", "WB-species-notes": "<p></p>", "IP-species-checked": "notRecommended", "IP-species-dilution-info": "", "IP-species-notes": "", "IHCP-species-checked": "notRecommended", "IHCP-species-dilution-info": "", "IHCP-species-notes": "<p></p>", "FlowCyt-species-checked": "notRecommended", "FlowCyt-species-dilution-info": "", "FlowCyt-species-notes": "", "ICCIF-species-checked": "notRecommended", "ICCIF-species-dilution-info": "", "ICCIF-species-notes": "" }, "Rat": { "WB-species-checked": "notRecommended", "WB-species-dilution-info": "", "WB-species-notes": "<p></p>", "IP-species-checked": "notRecommended", "IP-species-dilution-info": "", "IP-species-notes": "", "IHCP-species-checked": "notRecommended", "IHCP-species-dilution-info": "", "IHCP-species-notes": "<p></p>", "FlowCyt-species-checked": "notRecommended", "FlowCyt-species-dilution-info": "", "FlowCyt-species-notes": "", "ICCIF-species-checked": "notRecommended", "ICCIF-species-dilution-info": "", "ICCIF-species-notes": "" } } }

Product details

ab316930 is the carrier-free version of ab316929.

Patented technology
Our RabMAb® technology is a patented hybridoma-based technology for making rabbit monoclonal antibodies. For details on our patents, please refer to RabMAb® patents.

What are the advantages of a recombinant monoclonal antibody?
This product is a recombinant monoclonal antibody, which offers several advantages including:

  • - High batch-to-batch consistency and reproducibility
  • - Improved sensitivity and specificity
  • - Long-term security of supply
  • - Animal-free batch production

For more information, read more on recombinant antibodies.

Conjugation ready
Our carrier-free antibodies are typically supplied in a PBS-only formulation, purified and free of BSA, sodium azide and glycerol. This conjugation-ready format is designed for use with fluorochromes, metal isotopes, oligonucleotides, and enzymes, which makes them ideal for antibody labelling, functional and cell-based assays, flow-based assays (e.g. mass cytometry) and Multiplex Imaging applications.

Use our conjugation kits for antibody conjugates that are ready-to-use in as little as 20 minutes with 1 minute hands-on-time and 100% antibody recovery: available for fluorescent dyes, HRP, biotin and gold.

Compatibility
This product is compatible with the Maxpar® Antibody Labeling Kit from Fluidigm, without the need for antibody preparation. Maxpar® is a trademark of Fluidigm Canada Inc.

Properties and storage information

Form
Liquid
Purification technique
Affinity purification Protein A
Storage buffer
pH: 7.2 - 7.4 Constituents: PBS
Shipped at conditions
Blue Ice
Appropriate short-term storage conditions
+4°C
Appropriate long-term storage conditions
+4°C

Supplementary information

This supplementary information is collated from multiple sources and compiled automatically.

The TNF-like weak inducer of apoptosis (TWEAK) also known as CD255 is a cytokine involved in a variety of cellular processes. This protein has an approximate mass of 24 kDa. TWEAK is expressed in many tissues including the heart brain and spleen. It functions by binding to the fibroblast growth factor-inducible 14 (Fn14) receptor leading to the activation of downstream signaling pathways. TWEAK's role as a ligand places it in the tumor necrosis factor (TNF) superfamily highlighting its involvement in cell death and inflammation signaling.
Biological function summary

TWEAK modulates processes like cell proliferation differentiation and apoptosis. This cytokine affects the immune response and tissue regeneration becoming significant in processes that require tissue remodeling. While acting independently TWEAK does not form part of a larger protein complex. Instead it signals mainly through its exclusive receptor Fn14 on responsive cells triggering cellular responses that influence its biological activities.

Pathways

TWEAK plays an important role in the NF-kB and MAPK signaling pathways. These pathways are important for immune response regulation and cell survival. In these pathways TWEAK closely interacts with TNF receptor-associated factors (TRAFs) which facilitate TWEAK signaling. The connections to pathways involving inflammatory response highlight its significance in maintaining homeostasis within the cellular environment.

TWEAK's activity links to conditions like cancer and rheumatoid arthritis. In cancer excessive TWEAK signaling can contribute to tumor growth and metastasis through its pro-inflammatory and pro-angiogenic effects. In rheumatoid arthritis TWEAK expression relates to joint inflammation and tissue damage where it interacts with proteins like IL-6 and TNF-alpha. These interactions suggest potential therapeutic targets by modulating TWEAK or its signaling partners to treat these diseases.

Product protocols

For this product, it's our understanding that no specific protocols are required. You can visit:

Target data

Binds to FN14 and possibly also to TNRFSF12/APO3. Weak inducer of apoptosis in some cell types. Mediates NF-kappa-B activation. Promotes angiogenesis and the proliferation of endothelial cells. Also involved in induction of inflammatory cytokines. Promotes IL8 secretion.
See full target information TNFSF12

Product promise

We are committed to supporting your work with high-quality reagents, and we're here for you every step of the way. In the unlikely event that one of our products does not perform as expected, you're protected by our Product Promise.
For full details, please see our Terms & Conditions

Please note: All products are 'FOR RESEARCH USE ONLY. NOT FOR USE IN DIAGNOSTIC OR THERAPEUTIC PROCEDURES'.

For licensing inquiries, please contact partnerships@abcam.com