JavaScript is disabled in your browser. Please enable JavaScript to view this website.
AB228481

Anti-TWEAKR/FN14 antibody [EPR3179] - Low endotoxin, Azide free

Be the first to review this product! Submit a review

|

(1 Publication)

Rabbit Recombinant Monoclonal TWEAKR/FN14 antibody. Carrier free. Suitable for IP, WB and reacts with Human, Mouse, Rat samples. Cited in 1 publication.

View Alternative Names

CD266, FN14, TNFRSF12A, Tumor necrosis factor receptor superfamily member 12A, Fibroblast growth factor-inducible immediate-early response protein 14, Tweak-receptor, FGF-inducible 14, TweakR

4 Images
Immunoprecipitation - Anti-TWEAKR/FN14 antibody [EPR3179] - Low endotoxin, Azide free (AB228481)
  • IP

Lab

Immunoprecipitation - Anti-TWEAKR/FN14 antibody [EPR3179] - Low endotoxin, Azide free (AB228481)

ab109365 at 1/40 immunoprecipitating TWEAKR/FN14 in HUVEC (human cervix adenocarcinoma) whole cell lysate observed at 14 – 17 KDa (lanes 1 and 2).

Lane 1 (input) : HUVEC whole cell lysate 10ug

Lane 2 (+) : ab109365 + HUVEC whole cell lysate.

Lane 3 (-) : Rabbit monoclonal IgG (ab172730) instead of ab109365 in HUVEC whole cell lysate

VeriBlot for IP Detection Reagent (HRP) (ab131366), was used for detection at 1/10,000 dilution.

Blocking/Diluting buffer and concentration : 5% NFDM/TBST.

This data was developed using the same antibody clone in a different buffer formulation containing PBS, BSA, glycerol, and sodium azide (ab109365).

All lanes:

Immunoprecipitation - Anti-TWEAKR/FN14 antibody [EPR3179] (<a href='/en-us/products/primary-antibodies/tweakr-fn14-antibody-epr3179-ab109365'>ab109365</a>)

Predicted band size: 14 kDa

false

Western blot - Anti-TWEAKR/FN14 antibody [EPR3179] - Low endotoxin, Azide free (AB228481)
  • WB

Unknown

Western blot - Anti-TWEAKR/FN14 antibody [EPR3179] - Low endotoxin, Azide free (AB228481)

This data was developed using ab109365, the same antibody clone in a different buffer formulation.

All lanes:

Western blot - Anti-TWEAKR/FN14 antibody [EPR3179] (<a href='/en-us/products/primary-antibodies/tweakr-fn14-antibody-epr3179-ab109365'>ab109365</a>) at 1/1000 dilution

Lane 1:

HT-29 cell lysate at 10 µg

Lane 2:

HUVEC cell lysate at 10 µg

Lane 3:

HT-1080 cell lysate at 10 µg

Predicted band size: 14 kDa

false

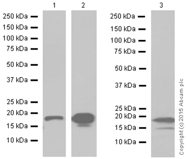
Western blot - Anti-TWEAKR/FN14 antibody [EPR3179] - Low endotoxin, Azide free (AB228481)
  • WB

Unknown

Western blot - Anti-TWEAKR/FN14 antibody [EPR3179] - Low endotoxin, Azide free (AB228481)

This data was developed using ab109365, the same antibody clone in a different buffer formulation.

Lanes 1 - 2:

Western blot - Anti-TWEAKR/FN14 antibody [EPR3179] (<a href='/en-us/products/primary-antibodies/tweakr-fn14-antibody-epr3179-ab109365'>ab109365</a>) at 1/1000 dilution

Lanes 1 - 2:

Western blot - Anti-TWEAKR/FN14 antibody [EPR3179] - Low endotoxin, Azide free (ab228481) at 1/1000 dilution

Lane 1:

HUVEC (human umbilical vein/vascular endothelium) whole cell lysate at 20 µg

Lane 2:

HT-1080 (human fibrosarcoma) whole cell lysate at 20 µg

Secondary

All lanes:

Western blot - Goat Anti-Rabbit IgG H&L (HRP) (<a href='/en-us/products/secondary-antibodies/goat-rabbit-igg-h-l-hrp-ab97051'>ab97051</a>) at 1/20000 dilution

Predicted band size: 14 kDa,70 kDa

Observed band size: 110 kDa,14-17 kDa

false

Western blot - Anti-TWEAKR/FN14 antibody [EPR3179] - Low endotoxin, Azide free (AB228481)
  • WB

Unknown

Western blot - Anti-TWEAKR/FN14 antibody [EPR3179] - Low endotoxin, Azide free (AB228481)

This data was developed using ab109365, the same antibody clone in a different buffer formulation.

All lanes:

Western blot - Anti-TWEAKR/FN14 antibody [EPR3179] (<a href='/en-us/products/primary-antibodies/tweakr-fn14-antibody-epr3179-ab109365'>ab109365</a>) at 1/1000 dilution

Lane 1:

NIH/3T3 (mouse embryo) whole cell lysate at 20 µg

Lane 2:

L6 (rat skeletal muscle) whole cell lysate at 20 µg

Lane 3:

C2C12 (mouse muscle) whole cell lysate at 20 µg

Secondary

All lanes:

Western blot - Goat Anti-Rabbit IgG H&L (HRP) (<a href='/en-us/products/secondary-antibodies/goat-rabbit-igg-h-l-hrp-ab97051'>ab97051</a>) at 1/20000 dilution

Predicted band size: 14 kDa

Observed band size: 14-17 kDa

false

  • Unconjugated

    Anti-TWEAKR/FN14 antibody [EPR3179]

  • Carrier free

    Anti-TWEAKR/FN14 antibody [EPR3179] - BSA and Azide free

Key facts

Host species

Rabbit

Clonality

Monoclonal

Clone number

EPR3179

Isotype

IgG

Carrier free

Yes

Reacts with

Mouse, Rat, Human

Applications

WB, IP

applications

Immunogen

The exact immunogen used to generate this antibody is proprietary information.

Reactivity data

{ "title": "Reactivity Data", "filters": { "stats": ["", "Species", "Dilution Info", "Notes"], "tabs": { "all-applications": {"fullname" : "All Applications", "shortname": "All Applications"}, "IHCP" : {"fullname" : "Immunohistochemistry (Formalin/PFA-fixed paraffin-embedded sections)", "shortname":"IHC-P"}, "ICCIF" : {"fullname" : "Immunocytochemistry/ Immunofluorescence", "shortname":"ICC/IF"}, "IP" : {"fullname" : "Immunoprecipitation", "shortname":"IP"}, "WB" : {"fullname" : "Western blot", "shortname":"WB"} }, "product-promise": { "all": "all", "testedAndGuaranteed": "tested", "guaranteed": "expected", "predicted": "predicted", "notRecommended": "not-recommended" } }, "values": { "Human": { "IHCP-species-checked": "notRecommended", "IHCP-species-dilution-info": "", "IHCP-species-notes": "<p></p>", "ICCIF-species-checked": "notRecommended", "ICCIF-species-dilution-info": "", "ICCIF-species-notes": "<p></p>", "IP-species-checked": "testedAndGuaranteed", "IP-species-dilution-info": "", "IP-species-notes": "<p></p>", "WB-species-checked": "testedAndGuaranteed", "WB-species-dilution-info": "", "WB-species-notes": "<p></p>" }, "Mouse": { "IHCP-species-checked": "notRecommended", "IHCP-species-dilution-info": "", "IHCP-species-notes": "<p></p>", "ICCIF-species-checked": "notRecommended", "ICCIF-species-dilution-info": "", "ICCIF-species-notes": "<p></p>", "IP-species-checked": "guaranteed", "IP-species-dilution-info": "", "IP-species-notes": "", "WB-species-checked": "testedAndGuaranteed", "WB-species-dilution-info": "", "WB-species-notes": "<p></p>" }, "Rat": { "IHCP-species-checked": "notRecommended", "IHCP-species-dilution-info": "", "IHCP-species-notes": "<p></p>", "ICCIF-species-checked": "notRecommended", "ICCIF-species-dilution-info": "", "ICCIF-species-notes": "<p></p>", "IP-species-checked": "guaranteed", "IP-species-dilution-info": "", "IP-species-notes": "", "WB-species-checked": "testedAndGuaranteed", "WB-species-dilution-info": "", "WB-species-notes": "<p></p>" } } }

Product details

ab228481 is the carrier-free version of ab109365.

Conjugation ready
Our carrier-free antibodies are typically supplied in a PBS-only formulation, purified and free of BSA, sodium azide and glycerol. This conjugation-ready format is designed for use with fluorochromes, metal isotopes, oligonucleotides, and enzymes, which makes them ideal for antibody labelling, functional and cell-based assays, flow-based assays (e.g. mass cytometry) and Multiplex Imaging applications.

Use our conjugation kits for antibody conjugates that are ready-to-use in as little as 20 minutes with 1 minute hands-on-time and 100% antibody recovery: available for fluorescent dyes, HRP, biotin and gold.

What does low endotoxin mean?
Our low endotoxin, azide-free formats have low endotoxin level (1 EU/mg, determined by the TAL assay) and are free from azide, to achieve consistent experimental results in functional assays.

Properties and storage information

Form
Liquid
Purification technique
Affinity purification Protein A
Storage buffer
pH: 7.2 - 7.4 Constituents: PBS
Shipped at conditions
Blue Ice
Appropriate short-term storage conditions
+4°C
Appropriate long-term storage conditions
+4°C
Storage information
Do Not Freeze

Supplementary information

This supplementary information is collated from multiple sources and compiled automatically.

The TWEAKR/FN14 known also as FN14 protein is a receptor primarily involved in cellular signaling. It is found on the cell surface and has a molecular weight of approximately 14 kDa. This receptor expresses in various tissues but its expression is especially high in the liver kidney and muscle tissues. Through its engagement with its ligand TWEAK (Tumor Necrosis Factor-Like Weak Inducer of Apoptosis) TWEAKR/FN14 participates in signal transduction processes that regulate cell survival and proliferation.
Biological function summary

TWEAKR/FN14 influences multiple cellular activities including inflammation proliferation and apoptosis. It does not solely function in isolation often interacting with other proteins in complex networks. In fact FN14 often couples its activity with downstream signaling proteins that impact pathways involved in tissue remodeling and repair. The receptor's ability to mediate these processes makes it a significant regulator of tissue response to damage.

Pathways

Signaling through TWEAKR/FN14 primarily involves the NF-κB and MAPK pathways. These signaling pathways are critical for mediating cellular responses to external stimuli such as stress or injury. The NF-κB pathway in particular plays a role in immune and inflammatory responses where FN14 through its interaction modulates these responses. Additionally proteins such as TRAF (TNF Receptor Associated Factor) are related to FN14 through these pathways contributing to its signaling functions.

Dysregulation of TWEAKR/FN14 is linked to pathological conditions such as cancer and fibrosis. Overexpression of FN14 has been observed in several malignancies and its interaction with TWEAK has been implicated in tumorigenic processes. Meanwhile in fibrosis FN14 is associated with excessive tissue repair and scarring connected to the accumulation of extracellular matrix proteins. Altered expression levels and activity of FN14 with its partner proteins can contribute to the progression of these diseases highlighting its potential as a therapeutic target.

Product protocols

For this product, it's our understanding that no specific protocols are required. You can visit:

Target data

Receptor for TNFSF12/TWEAK. Weak inducer of apoptosis in some cell types. Promotes angiogenesis and the proliferation of endothelial cells. May modulate cellular adhesion to matrix proteins.
See full target information TNFRSF12A

Publications (1)

Recent publications for all applications. Explore the full list and refine your search

Analytical cellular pathology (Amsterdam) 2021:3198555 PubMed34336552

2021

Evaluation of the Prognostic Value of Solute Carrier Family 34 Member 2 "SLC34A2" in Papillary Thyroid Carcinoma: An Immunohistochemical Study.

Applications

Unspecified application

Species

Unspecified reactive species

Sarah Adel Hakim,Rasha Mohamed Abd El Atti,Reham Mohamed Faheim,Hoda Hassan Abou Gabal
View all publications

Product promise

We are committed to supporting your work with high-quality reagents, and we're here for you every step of the way. In the unlikely event that one of our products does not perform as expected, you're protected by our Product Promise.
For full details, please see our Terms & Conditions

Please note: All products are 'FOR RESEARCH USE ONLY. NOT FOR USE IN DIAGNOSTIC OR THERAPEUTIC PROCEDURES'.

For licensing inquiries, please contact partnerships@abcam.com