JavaScript is disabled in your browser. Please enable JavaScript to view this website.
AB185959

Anti-TXNDC9 antibody [EPR15238]

Be the first to review this product! Submit a review

|

(3 Publications)

Rabbit Recombinant Monoclonal TXNDC9 antibody. Suitable for IP, WB, IHC-P and reacts with Human, Mouse, Rat samples. Cited in 3 publications.

View Alternative Names

APACD, TXNDC9, Thioredoxin domain-containing protein 9, ATP-binding protein associated with cell differentiation, Protein 1-4

6 Images
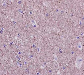
Immunohistochemistry (Formalin/PFA-fixed paraffin-embedded sections) - Anti-TXNDC9 antibody [EPR15238] (AB185959)
  • IHC-P

Supplier Data

Immunohistochemistry (Formalin/PFA-fixed paraffin-embedded sections) - Anti-TXNDC9 antibody [EPR15238] (AB185959)

Immunohistochemical analysis of paraffin-embedded Human astocytoma tissue labeling TXNDC9 with ab185959 at 1/50 dilution followed by pre-diluted HRP-conjugated secondary antibody and counter-stained with Hematoxylin.

Perform heat mediated antigen retrieval with EDTA buffer pH 9 before commencing with IHC staining protocol.

Immunohistochemistry (Formalin/PFA-fixed paraffin-embedded sections) - Anti-TXNDC9 antibody [EPR15238] (AB185959)
  • IHC-P

Supplier Data

Immunohistochemistry (Formalin/PFA-fixed paraffin-embedded sections) - Anti-TXNDC9 antibody [EPR15238] (AB185959)

Immunohistochemical analysis of paraffin-embedded Human colon tissue labeling TXNDC9 with ab185959 at 1/50 dilution followed by pre-diluted HRP-conjugated secondary antibody and counter-stained with Hematoxylin.

Perform heat mediated antigen retrieval with EDTA buffer pH 9 before commencing with IHC staining protocol.

Immunoprecipitation - Anti-TXNDC9 antibody [EPR15238] (AB185959)
  • IP

Supplier Data

Immunoprecipitation - Anti-TXNDC9 antibody [EPR15238] (AB185959)

Western blot analysis of immunoprecipitation pellet from K562 cell lysate immunoprecipitated using ab185959 at 1/50 dilution (lane 1) or PBS control (lane 2).
Secondary : Anti-Rabbit IgG (HRP), specific to the non-reduced form of IgG at 1/1500 dilution.

All lanes:

Immunoprecipitation - Anti-TXNDC9 antibody [EPR15238] (ab185959)

Predicted band size: 27 kDa

false

Western blot - Anti-TXNDC9 antibody [EPR15238] (AB185959)
  • WB

Lab

Western blot - Anti-TXNDC9 antibody [EPR15238] (AB185959)

Lanes 1-3 : Merged signal (red and green). Green - ab185959 observed at 27 kDa. Red - loading control ab8245 observed at 36 kDa.

ab185959 Anti-TXNDC9 antibody [EPR15238] was shown to specifically react with TXNDC9 in wild-type HeLa cells. Loss of signal was observed when knockout cell line ab265420 (knockout cell lysate ab258257) was used. Wild-type and TXNDC9 knockout samples were subjected to SDS-PAGE. ab185959 and Anti-GAPDH antibody [6C5] - Loading Control (ab8245) were incubated at room temperature for 2. 5 hours at 1 in 1000 dilution and 1 in 20000 dilution respectively. Blots were developed with Goat anti-Rabbit IgG H&L (IRDye® 800CW) preadsorbed (ab216773) and Goat anti-Mouse IgG H&L (IRDye® 680RD) preadsorbed (ab216776) secondary antibodies at 1 in 20000 dilution for 1 hour at room temperature before imaging.

All lanes:

Western blot - Anti-TXNDC9 antibody [EPR15238] (ab185959) at 1/1000 dilution

Lane 1:

Wild-type HeLa cell lysate at 20 µg

Lane 2:

TXNDC9 knockout HeLa cell lysate at 20 µg

Lane 2:

Western blot - Human TXNDC9 knockout HeLa cell line (<a href='/en-us/products/cell-lines/human-txndc9-knockout-hela-cell-line-ab265420'>ab265420</a>)

Lane 3:

K-562 cell lysate at 20 µg

Secondary

All lanes:

Western blot - Goat anti-Rabbit IgG H&L (IRDye® 800CW) preadsorbed (<a href='/en-us/products/secondary-antibodies/goat-rabbit-igg-h-l-irdye-800cw-preadsorbed-ab216773'>ab216773</a>) at 1/10000 dilution

Predicted band size: 27 kDa

Observed band size: 27 kDa

false

Western blot - Anti-TXNDC9 antibody [EPR15238] (AB185959)
  • WB

Supplier Data

Western blot - Anti-TXNDC9 antibody [EPR15238] (AB185959)

All lanes:

Western blot - Anti-TXNDC9 antibody [EPR15238] (ab185959) at 1/10000 dilution

Lane 1:

K562 cell lysate at 20 µg

Lane 2:

Jurkat cell lysate at 20 µg

Lane 3:

Raji cell lysate at 20 µg

Lane 4:

SW480 cell lysate at 20 µg

Secondary

All lanes:

Goat Anti-Rabbit IgG, (H+L), Peroxidase conjugated at 1/1000 dilution

Predicted band size: 27 kDa

false

Western blot - Anti-TXNDC9 antibody [EPR15238] (AB185959)
  • WB

Supplier Data

Western blot - Anti-TXNDC9 antibody [EPR15238] (AB185959)

All lanes:

Western blot - Anti-TXNDC9 antibody [EPR15238] (ab185959) at 1/1000 dilution

Lane 1:

C6 cell lysate at 10 µg

Lane 2:

RAW 264.7 cell lysate at 10 µg

Lane 3:

PC12 cell lysate at 10 µg

Lane 4:

NIH 3T3 cell lysate at 10 µg

Secondary

All lanes:

Goat Anti-Rabbit IgG, (H+L), Peroxidase conjugated at 1/1000 dilution

Predicted band size: 27 kDa

false

Key facts

Host species

Rabbit

Clonality

Monoclonal

Clone number

EPR15238

Isotype

IgG

Carrier free

No

Reacts with

Mouse, Rat, Human

Applications

IHC-P, IP, WB

applications

Immunogen

The exact immunogen used to generate this antibody is proprietary information.

Reactivity data

{ "title": "Reactivity Data", "filters": { "stats": ["", "Species", "Dilution Info", "Notes"], "tabs": { "all-applications": {"fullname" : "All Applications", "shortname": "All Applications"}, "IP" : {"fullname" : "Immunoprecipitation", "shortname":"IP"}, "WB" : {"fullname" : "Western blot", "shortname":"WB"}, "IHCP" : {"fullname" : "Immunohistochemistry (Formalin/PFA-fixed paraffin-embedded sections)", "shortname":"IHC-P"} }, "product-promise": { "all": "all", "testedAndGuaranteed": "tested", "guaranteed": "expected", "predicted": "predicted", "notRecommended": "not-recommended" } }, "values": { "Human": { "IP-species-checked": "testedAndGuaranteed", "IP-species-dilution-info": "1/50 - 1/70", "IP-species-notes": "<p></p>", "WB-species-checked": "testedAndGuaranteed", "WB-species-dilution-info": "1/1000 - 1/10000", "WB-species-notes": "<p></p>", "IHCP-species-checked": "testedAndGuaranteed", "IHCP-species-dilution-info": "1/50", "IHCP-species-notes": "<p></p>" }, "Mouse": { "IP-species-checked": "guaranteed", "IP-species-dilution-info": "", "IP-species-notes": "", "WB-species-checked": "testedAndGuaranteed", "WB-species-dilution-info": "1/1000 - 1/10000", "WB-species-notes": "<p></p>", "IHCP-species-checked": "guaranteed", "IHCP-species-dilution-info": "", "IHCP-species-notes": "" }, "Rat": { "IP-species-checked": "guaranteed", "IP-species-dilution-info": "", "IP-species-notes": "", "WB-species-checked": "testedAndGuaranteed", "WB-species-dilution-info": "1/1000 - 1/10000", "WB-species-notes": "<p></p>", "IHCP-species-checked": "guaranteed", "IHCP-species-dilution-info": "", "IHCP-species-notes": "" } } }

Product details

Patented technology
Our RabMAb® technology is a patented hybridoma-based technology for making rabbit monoclonal antibodies. For details on our patents, please refer to RabMAb® patents.

What are the advantages of a recombinant monoclonal antibody?
This product is a recombinant monoclonal antibody, which offers several advantages including:

  • - High batch-to-batch consistency and reproducibility
  • - Improved sensitivity and specificity
  • - Long-term security of supply
  • - Animal-free batch production

For more information, read more on recombinant antibodies.

Properties and storage information

Form
Liquid
Purification technique
Affinity purification Protein A
Storage buffer
pH: 7.2 - 7.4 Preservative: 0.01% Sodium azide Constituents: PBS, 40% Glycerol (glycerin, glycerine), 0.05% BSA
Shipped at conditions
Blue Ice
Appropriate short-term storage duration
1-2 weeks
Appropriate short-term storage conditions
+4°C
Appropriate long-term storage conditions
-20°C
Aliquoting information
Upon delivery aliquot
Storage information
Avoid freeze / thaw cycle

Supplementary information

This supplementary information is collated from multiple sources and compiled automatically.

TXNDC9 also known as Thioredoxin Domain Containing 9 or ERdj5 functions as a protein disulfide isomerase involved in the reduction and isomerization of disulfide bonds. This protein weighs approximately 56 kDa and exhibits expression mostly in the endoplasmic reticulum of various cells. TXNDC9 with its oxidoreductase activity plays an important role in maintaining protein folding homeostasis and cellular redox balance. Researchers have identified it as a central player in protein quality control mechanisms.
Biological function summary

TXNDC9 assists in the protein folding process within the endoplasmic reticulum acting as part of larger protein complexes that include other chaperones. It particularly engages in helping misfolded proteins to attain their correct conformation contributing significantly to the protein folding machinery. Additionally TXNDC9 interacts with client proteins guiding their correct structural organization and preventing the accumulation of misfolded proteins that could be harmful to the cell.

Pathways

TXNDC9 occupies a significant position in the endoplasmic reticulum-associated degradation (ERAD) pathway and the unfolded protein response (UPR) pathway. It interacts with proteins such as Ero1 and BiP to ensure proper degradation of misfolded proteins and maintain cellular stress responses. In the ERAD pathway TXNDC9 acts to identify and prepare proteins for degradation while in the UPR pathway it supports roles that mitigate stress signals caused by accumulated unfolded proteins.

TXNDC9 involvement links to neurodegenerative diseases and certain cancers. Its role in maintaining protein homeostasis reflects connections to Alzheimer's disease where protein misfolding aggregates contribute to pathology. Similarly aberrant TXNDC9 function associates with tumor development in some cancers due to its involvement with cellular redox status and growth control mechanisms. In these contexts TXNDC9 may interact with proteins like Amyloid-beta in Alzheimer's and could influence oncogenic pathways through interactions with tumor-suppressor proteins.

Product protocols

For this product, it's our understanding that no specific protocols are required. You can visit:

Target data

Significantly diminishes the chaperonin TCP1 complex ATPase activity, thus negatively impacts protein folding, including that of actin or tubulin.
See full target information TXNDC9

Publications (3)

Recent publications for all applications. Explore the full list and refine your search

Molecular medicine reports 25: PubMed35485284

2022

TXNDC9 knockdown inhibits lung adenocarcinoma progression by targeting YWHAG.

Applications

Unspecified application

Species

Unspecified reactive species

Jing Wang,Xiaotao Pan,Jie Li,Jin Zhao

Biochemical and biophysical research communications 524:582-588 PubMed32029274

2020

Thioredoxin domain-containing protein 9 (TXNDC9) contributes to oxaliplatin resistance through regulation of autophagy-apoptosis in colorectal adenocarcinoma.

Applications

Unspecified application

Species

Unspecified reactive species

Wenjie Zhou,Cheng Fang,Liwen Zhang,Qi Wang,Dong Li,Danxia Zhu

Nature communications 9:2935 PubMed30050148

2018

Glucose promotes cell growth by suppressing branched-chain amino acid degradation.

Applications

Unspecified application

Species

Unspecified reactive species

Dan Shao,Outi Villet,Zhen Zhang,Sung Won Choi,Jie Yan,Julia Ritterhoff,Haiwei Gu,Danijel Djukovic,Danos Christodoulou,Stephen C Kolwicz,Daniel Raftery,Rong Tian
View all publications

Product promise

We are committed to supporting your work with high-quality reagents, and we're here for you every step of the way. In the unlikely event that one of our products does not perform as expected, you're protected by our Product Promise.
For full details, please see our Terms & Conditions

Please note: All products are 'FOR RESEARCH USE ONLY. NOT FOR USE IN DIAGNOSTIC OR THERAPEUTIC PROCEDURES'.

For licensing inquiries, please contact partnerships@abcam.com