JavaScript is disabled in your browser. Please enable JavaScript to view this website.
AB188865

Anti-TXNIP antibody [EPR14774]

  • RabMAb
  • Recombinant
  • KO Validated
  • 20ul selling size
  • What is this?

4

(4 Reviews)

|

(134 Publications)

Anti-TXNIP antibody [EPR14774] (ab188865) is a rabbit monoclonal antibody detecting TXNIP in Western Blot, IHC-P. Suitable for Human, Mouse, Rat.

- KO validated for confirmed specificity
- Biophysical QC for unrivalled batch-batch consistency
- Over 90 publications

View Alternative Names

VDUP1, TXNIP, Thioredoxin-interacting protein, Thioredoxin-binding protein 2, Vitamin D3 up-regulated protein 1

7 Images
Immunohistochemistry (Formalin/PFA-fixed paraffin-embedded sections) - Anti-TXNIP antibody [EPR14774] (AB188865)
  • IHC-P

Unknown

Immunohistochemistry (Formalin/PFA-fixed paraffin-embedded sections) - Anti-TXNIP antibody [EPR14774] (AB188865)

Immunohistochemical analysis of paraffin-embedded Human kidney tissue labeling TXNIP with ab188865 at 1/250 dilution followed by prediluted HRP Polymer for Rabbit IgG. Counter stained with Hematoxylin.

Perform heat mediated antigen retrieval with Tris/EDTA buffer pH 9.0 before commencing with IHC staining protocol.

Immunohistochemistry (Formalin/PFA-fixed paraffin-embedded sections) - Anti-TXNIP antibody [EPR14774] (AB188865)
  • IHC-P

Supplier Data

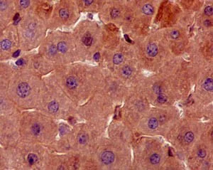
Immunohistochemistry (Formalin/PFA-fixed paraffin-embedded sections) - Anti-TXNIP antibody [EPR14774] (AB188865)

Immunohistochemical analysis of paraffin-embedded Mouse liver tissue labeling TXNIP with ab188865 at 1/250 dilution followed by prediluted HRP Polymer for Rabbit IgG. Counter stained with Hematoxylin.

Perform heat mediated antigen retrieval with Tris/EDTA buffer pH 9.0 before commencing with IHC staining protocol.

Western blot - Anti-TXNIP antibody [EPR14774] (AB188865)
  • WB

Supplier Data

Western blot - Anti-TXNIP antibody [EPR14774] (AB188865)

All lanes:

Western blot - Anti-TXNIP antibody [EPR14774] (ab188865) at 1/5000 dilution

Lane 1:

Human skeletal muscle lysate at 20 µg

Lane 2:

BxPC-3 cell lysate at 20 µg

Secondary

All lanes:

Goat Anti-Rabbit IgG, (H+L), Peroxidase conjugate at 1/1000 dilution

Predicted band size: 44 kDa

Observed band size: 50 kDa

false

Western blot - Anti-TXNIP antibody [EPR14774] (AB188865)
  • WB

Lab

Western blot - Anti-TXNIP antibody [EPR14774] (AB188865)

Lanes 1 - 4 : Merged signal (red and green). Green - ab188865 observed at 44 kDa. Red - loading control, ab18058, observed at 130 kDa.

ab188865 was shown to recognize TXNIP in wild-type HAP1 cells as signal was lost at the expected MW in TXNIP knockout cells. Additional cross-reactive bands were observed in the wild-type and knockout cells. Wild-type and TXNIP knockout samples were subjected to SDS-PAGE. ab188865 and ab18058 (Mouse anti Vinculin loading control) were incubated overnight at 4°C at 1/1000 dilution and 1/20000 dilution respectively. Blots were developed with Goat anti-Rabbit IgG H&L (IRDye® 800CW) preabsorbed ab216773 and Goat anti-Mouse IgG H&L (IRDye® 680RD) preabsorbed ab216776 secondary antibodies at 1/20000 dilution for 1 hour at room temperature before imaging.

All lanes:

Western blot - Anti-TXNIP antibody [EPR14774] (ab188865) at 1/1000 dilution

Lane 1:

Wild-type HAP1 whole cell lysate at 20 µg

Lane 2:

TXNIP knockout HAP1 whole cell lysate at 20 µg

Lane 3:

MCF7 (human breast adenocarcinoma cell line) whole cell lysate at 20 µg

Lane 4:

K-562 (human chronic myelogenous leukemia lymphoblasts cell line) whole cell lysate at 20 µg

Predicted band size: 44 kDa

Observed band size: 44 kDa

false

Western blot - Anti-TXNIP antibody [EPR14774] (AB188865)
  • WB

Lab

Western blot - Anti-TXNIP antibody [EPR14774] (AB188865)

Blocking buffer and concentration 5% NFDM/TBST
Diluting buffer and concentration 5% NFDM/TBST

All lanes:

Western blot - Anti-TXNIP antibody [EPR14774] (ab188865) at 1/1000 dilution

Lane 1:

THP-1 (human acute monocytic leukemia) whole cell lysates at 20 µg

Lane 2:

MCF7 (human breast carcinoma) whole cell lysates at 20 µg

Lane 3:

MDA-MB-231 (human mammary gland epithelial adenocarcinoma) whole cell lysates at 20 µg

Lane 4:

BxPC-3 (human Pancreas adenocarcinoma) whole cell lysates at 20 µg

Lane 5:

HUVEC (human umbilical vein/vascular endothelium) whole cell lysates (negative/low expression) at 20 µg

Lane 6:

Human liver lysate at 20 µg

Lane 7:

Human kidney lysate at 20 µg

Secondary

All lanes:

Western blot - Goat Anti-Rabbit IgG H&L (HRP) (<a href='/en-us/products/secondary-antibodies/goat-rabbit-igg-h-l-hrp-ab97051'>ab97051</a>) at 1/20000 dilution

Predicted band size: 44 kDa

Observed band size: 50 kDa

false

Western blot - Anti-TXNIP antibody [EPR14774] (AB188865)
  • WB

Lab

Western blot - Anti-TXNIP antibody [EPR14774] (AB188865)

Blocking and diluting buffer : 5% NFDM/TBST

MG-132 induces the expression of TXNIP (PMID : 20068034). H2O2 reduces the expression of TXNIP (PMID : 24376827).

All lanes:

Western blot - Anti-TXNIP antibody [EPR14774] (ab188865) at 1/1000 dilution

Lane 1:

293T (Human embryonic kidney epithelial cell) whole cell lysates at 15 µg

Lane 2:

293T (Human embryonic kidney epithelial cell) treated with 25uM MG-132 for 4 hours whole cell lysates. at 15 µg

Lane 3:

HeLa (Human cervix adenocarcinoma epithelial cell) whole cell lysates at 15 µg

Lane 4:

HeLa (Human cervix adenocarcinoma epithelial cell) treated with 10mM H2O2 for 1 hour whole cell lysate at 15 µg

Secondary

All lanes:

Western blot - Goat Anti-Rabbit IgG H&L (HRP) (<a href='/en-us/products/secondary-antibodies/goat-rabbit-igg-h-l-hrp-ab97051'>ab97051</a>) at 1/20000 dilution

Predicted band size: 44 kDa

Observed band size: 50 kDa

false

Exposure time: 30s

Western blot - Anti-TXNIP antibody [EPR14774] (AB188865)
  • WB

Supplier Data

Western blot - Anti-TXNIP antibody [EPR14774] (AB188865)

All lanes:

Western blot - Anti-TXNIP antibody [EPR14774] (ab188865) at 1/1000 dilution

Lane 1:

PC-12 cell lysate at 10 µg

Lane 2:

NIH/3T3 cell lysate at 10 µg

Secondary

All lanes:

Goat Anti-Rabbit IgG, (H+L), Peroxidase conjugate at 1/1000 dilution

Predicted band size: 44 kDa

Observed band size: 50 kDa

false

  • Carrier free

    Anti-TXNIP antibody [EPR14774] - BSA and Azide free

  • 660 APC

    APC Anti-TXNIP antibody [EPR14774]

  • 665 Alexa Fluor® 647

    Alexa Fluor® 647 Anti-TXNIP antibody [EPR14774]

  • 665 Alexa Fluor® 647

    Alexa Fluor® 647 Anti-SMARCD1 antibody [EPR23170-71]

  • 519 Alexa Fluor® 488

    Alexa Fluor® 488 Anti-TXNIP antibody [EPR14774]

  • 578 PE

    PE Anti-SMARCD1 antibody [EPR23170-71]

  • 578 PE

    PE Anti-TXNIP antibody [EPR14774]

  • 617 Alexa Fluor® 594

    Alexa Fluor® 594 Anti-TXNIP antibody [EPR14774]

  • 565 Alexa Fluor® 555

    Alexa Fluor® 555 Anti-TXNIP antibody [EPR14774]

  • 617 Alexa Fluor® 594

    Alexa Fluor® 594 Anti-SMARCD1 antibody [EPR23170-71]

  • 565 Alexa Fluor® 555

    Alexa Fluor® 555 Anti-SMARCD1 antibody [EPR23170-71]

  • 660 APC

    APC Anti-SMARCD1 antibody [EPR23170-71]

  • 519 Alexa Fluor® 488

    Alexa Fluor® 488 Anti-SMARCD1 antibody [EPR23170-71]

  • 775 Alexa Fluor® 750

    Alexa Fluor® 750 Anti-TXNIP antibody [EPR14774]

Key facts

Host species

Rabbit

Clonality

Monoclonal

Clone number

EPR14774

Isotype

IgG

Carrier free

No

Reacts with

Mouse, Rat, Human

Applications

WB, IHC-P

applications

Immunogen

The exact immunogen used to generate this antibody is proprietary information.

Specificity

Expression levels of the target protein vary with sample type and some optimisation may be required. For western blotting, more concentrated lysates may be required when using tissues samples.

Stimulation may be required to allow detection of the target protein due to low levels of endogenous expression in some samples. Please see images below for recommended treatment conditions and positive controls.

Reactivity data

{ "title": "Reactivity Data", "filters": { "stats": ["", "Species", "Dilution Info", "Notes"], "tabs": { "all-applications": {"fullname" : "All Applications", "shortname": "All Applications"}, "WB" : {"fullname" : "Western blot", "shortname":"WB"}, "IHCP" : {"fullname" : "Immunohistochemistry (Formalin/PFA-fixed paraffin-embedded sections)", "shortname":"IHC-P"} }, "product-promise": { "all": "all", "testedAndGuaranteed": "tested", "guaranteed": "expected", "predicted": "predicted", "notRecommended": "not-recommended" } }, "values": { "Human": { "WB-species-checked": "testedAndGuaranteed", "WB-species-dilution-info": "1/1000 - 1/2000", "WB-species-notes": "<p>Weak detection observed in western blot when using tissue lysates compared to cell lysates. Not recommended for mouse and rat tissue samples in western blot.</p>", "IHCP-species-checked": "testedAndGuaranteed", "IHCP-species-dilution-info": "1/100 - 1/250", "IHCP-species-notes": "<p></p> Perform heat-mediated antigen retrieval with Tris/EDTA buffer pH 9.0 before commencing with IHC staining protocol." }, "Mouse": { "WB-species-checked": "guaranteed", "WB-species-dilution-info": "", "WB-species-notes": "", "IHCP-species-checked": "testedAndGuaranteed", "IHCP-species-dilution-info": "1/100 - 1/250", "IHCP-species-notes": "<p></p> Perform heat-mediated antigen retrieval with Tris/EDTA buffer pH 9.0 before commencing with IHC staining protocol." }, "Rat": { "WB-species-checked": "testedAndGuaranteed", "WB-species-dilution-info": "1/1000 - 1/2000", "WB-species-notes": "<p>Weak detection observed in western blot when using tissue lysates compared to cell lysates. Not recommended for mouse and rat tissue samples in western blot.</p>", "IHCP-species-checked": "guaranteed", "IHCP-species-dilution-info": "", "IHCP-species-notes": "" } } }

Product details

What is this antibody validated in?
Anti-TXNIP antibody [EPR14774] (ab188865) is a rabbit recombinant monoclonal antibody and is validated for use in Western Blot (WB), Immunohistochemistry (IHC-P) in Human, Mouse, Rat samples.

What is the molecular weight of TXNIP?
Anti-TXNIP [EPR14774] (ab188865) specifically detects a band for TXNIP (UniProt: Q9H3M7) at a molecular weight of 44kDa.

Trusted by the scientific community
Anti-TXNIP [EPR14774] (ab188865) was first used in a scientific publication in 2014 and has been cited over 90 times in peer-reviewed journals.

Trial sizes available!
Test your antibody or perform pre-screening before committing to a larger quantity. Sold in 10µl. Discover our selection of trial-size antibodies.

Specificity confirmed
The specificity of Anti-TXNIP antibody [EPR14774] (ab188865) has been confirmed by Western blot testing in TXNIP Knockout HAP1 cells.

Other related products
We have a range of other formats of antibody clone [EPR14774] also available for your convenience: ab188865, ab210826, Carrier free - ab215366, Carrier free - ab232330, PE - ab318336, APC - ab318439, Alexa Fluor® 488 - ab318542, Alexa Fluor® 647 - ab318645, Alexa Fluor® 594 - ab318748, Alexa Fluor® 555 - ab318848, Alexa Fluor® 750 - ab321310

Patented technology
Our RabMAb® technology is a patented hybridoma-based technology for making rabbit monoclonal antibodies. For details on our patents, please refer to RabMAb® patents.

What are the advantages of a recombinant monoclonal antibody?
This product is a recombinant monoclonal antibody, which offers several advantages including:

  • - High batch-to-batch consistency and reproducibility
  • - Improved sensitivity and specificity
  • - Long-term security of supply
  • - Animal-free batch production

For more information, read more on recombinant antibodies.

Properties and storage information

Form
Liquid
Purification technique
Affinity purification Protein A
Storage buffer
pH: 7.2 - 7.4 Preservative: 0.01% Sodium azide Constituents: PBS, 40% Glycerol (glycerin, glycerine), 0.05% BSA
Shipped at conditions
Blue Ice
Appropriate short-term storage duration
1-2 weeks
Appropriate short-term storage conditions
+4°C
Appropriate long-term storage conditions
-20°C
Aliquoting information
Upon delivery aliquot
Storage information
Avoid freeze / thaw cycle

Supplementary information

This supplementary information is collated from multiple sources and compiled automatically.

TXNIP also known as thioredoxin-interacting protein or VDUP1 is an inhibitory protein that binds to and regulates the activity of thioredoxin. It has a molecular mass of around 46 kDa. TXNIP is expressed in various tissues including heart liver and skeletal muscle. It acts to control intracellular redox states by modulating thioredoxin's antioxidant functions. TXNIP expression can vary according to oxidative stress and cellular metabolic conditions.
Biological function summary

TXNIP regulates cellular processes such as glucose metabolism stress response and apoptosis. It does not form a complex but functions by negatively regulating the activity of thioredoxin. This protein can lead to increased reactive oxygen species (ROS) when it inhibits thioredoxin influencing cellular redox balance. TXNIP therefore plays a regulatory role in metabolic pathways and cellular stress responses by modulating thioredoxin activity and ROS levels.

Pathways

TXNIP is a significant component of the oxidative stress and glucose metabolism pathways. In the oxidative stress pathway TXNIP interacts with thioredoxin influencing ROS detoxification and redox-sensitive signaling. In glucose metabolism TXNIP can affect insulin signaling by interacting with glucose transporter-1 (GLUT1). These interactions highlight TXNIP's regulatory role in cellular metabolism and stress-related signaling making it a node of convergence with proteins like thioredoxin and GLUT1.

TXNIP levels have been implicated in conditions such as type 2 diabetes and cardiovascular diseases. Elevated TXNIP expression has been observed in insulin resistance where it affects glucose uptake by modifying GLUT1 activity and links to thioredoxin in cardiovascular tissues resulting in oxidative stress damage. These connections position TXNIP as a potential therapeutic target for managing metabolic disorders and cardiovascular complications.

Product protocols

For this product, it's our understanding that no specific protocols are required. You can visit:

Target data

May act as an oxidative stress mediator by inhibiting thioredoxin activity or by limiting its bioavailability (PubMed : 17603038). Interacts with COPS5 and restores COPS5-induced suppression of CDKN1B stability, blocking the COPS5-mediated translocation of CDKN1B from the nucleus to the cytoplasm (By similarity). Functions as a transcriptional repressor, possibly by acting as a bridge molecule between transcription factors and corepressor complexes, and over-expression will induce G0/G1 cell cycle arrest (PubMed : 12821938). Required for the maturation of natural killer cells (By similarity). Acts as a suppressor of tumor cell growth (PubMed : 18541147). Inhibits the proteasomal degradation of DDIT4, and thereby contributes to the inhibition of the mammalian target of rapamycin complex 1 (mTORC1) (PubMed : 21460850).
See full target information TXNIP

Publications (134)

Recent publications for all applications. Explore the full list and refine your search

PloS one 20:e0332769 PubMed40997129

2025

Multimodal analysis investigating the shared pathogenic mechanisms of osteoporosis and osteoarthritis with an initial exploration of the role of ferroptosis.

Applications

Unspecified application

Species

Unspecified reactive species

Chunqing Wang,Dongcheng Ran,Wenyi Li,Cheng Yang,Weimin Li

Experimental & molecular medicine 57:1775-1788 PubMed40770064

2025

Novel mechanism whereby metformin improves glucose homeostasis: TXNIP-GLUT1 axis modulation enhances intestinal glucotonic effects.

Applications

Unspecified application

Species

Unspecified reactive species

Chan Woo Kang,Jung Ho Nam,Ju Hun Oh,Eun Kyung Wang,Soo Hyun Lee,Hye Ju Shin,Ye Bin Kim,Eun Jig Lee,Byung Kook Lim,Sungsoon Fang,Arthur Cho,Cheol Ryong Ku

Cell stress & chaperones 30:100107 PubMed40744391

2025

Cytoprotective role of resveratrol in cigarette smoke-induced pyroptosis through Nrf2 pathway activation.

Applications

Unspecified application

Species

Unspecified reactive species

Mengyu Zhang,Chenyang Hu,Guang Yang,Yajie Hu,Yiqing Qu

Cell death & disease 16:482 PubMed40592836

2025

Exploiting mitochondrial dysfunction to overcome BRAF inhibitor resistance in advanced melanoma: the role of disulfiram as a copper ionophore.

Applications

Unspecified application

Species

Unspecified reactive species

Bolun Zhao,Fazhan Ban,Yuehua Li,Qiong Shi,Sen Guo,Xiuli Yi,Huina Wang,Tianwen Gao,Chunying Li,Guannan Zhu

Materials today. Bio 32:101914 PubMed40520563

2025

IL-15 functionalized biomimetic hybrid mRNA vaccine for enhanced NSCLC immunotherapy via synergistic activation of T cells and NK cells.

Applications

Unspecified application

Species

Unspecified reactive species

Jueshuo Guo,Li Peng,Penglong Ma,Yaping Mai,Ting Gao,Na Yu,Wenbao Zuo,Jianhong Yang

Signal transduction and targeted therapy 10:157 PubMed40360476

2025

Exosomal transfer of pro-pyroptotic miR-216a-5p exacerbates anthracycline cardiotoxicity through breast cancer-heart pathological crosstalk.

Applications

Unspecified application

Species

Unspecified reactive species

Yan Ma,Yongjun Wang,Renzheng Chen,Yabin Wang,Yan Fang,Cheng Qin,Tianhu Wang,Xiaoying Shen,Tingwen Zhou,Lei Tian,Ting Sun,Li Fan,Xiaoning Wang,Dong Han,Feng Cao

International journal of general medicine 18:261-271 PubMed39834913

2025

miR-424-5p Promotes Proliferation, Migration and Invasion of Colorectal Cancer Cells via the Targeting TXNIP/Hippo Axi.

Applications

Unspecified application

Species

Unspecified reactive species

Feng Zhang,Kai-Li Zhu,Rui Chen,Fei Su

International journal of ophthalmology 18:15-27 PubMed39829614

2025

IL-17A mediates inflammation-related retinal pigment epithelial cells injury ERK signaling pathway.

Applications

Unspecified application

Species

Unspecified reactive species

Hui-Min Zhong,Bing-Qiao Shen,Yu-Hong Chen,Xiao-Huan Zhao,Xiao-Xu Huang,Min-Wen Zhou,Xiao-Dong Sun

PloS one 19:e0312565 PubMed39689088

2024

Acteoside relieves diabetic retinopathy through the inhibition of Müller cell reactive hyperplasia by regulating TXNIP and mediating Kir4.1 channels in a PI3K/Akt-dependent manner.

Applications

Unspecified application

Species

Unspecified reactive species

Xiaoting Xi,Xiaolei Liu,Qianbo Chen,Jia Ma,Xuewei Wang,Yufei Gui,Yuxin Zhang,Yan Li

Respiratory research 25:417 PubMed39604886

2024

Inhibition of IRE1α/XBP1 axis alleviates LPS-induced acute lung injury by suppressing TXNIP/NLRP3 inflammasome activation and ERK/p65 signaling pathway.

Applications

Unspecified application

Species

Unspecified reactive species

Sijiao Wang,Lijuan Hu,Yipeng Fu,Fan Xu,Yue Shen,Hanhan Liu,Lei Zhu
View all publications

Product promise

We are committed to supporting your work with high-quality reagents, and we're here for you every step of the way. In the unlikely event that one of our products does not perform as expected, you're protected by our Product Promise.
For full details, please see our Terms & Conditions

Please note: All products are 'FOR RESEARCH USE ONLY. NOT FOR USE IN DIAGNOSTIC OR THERAPEUTIC PROCEDURES'.

For licensing inquiries, please contact partnerships@abcam.com