JavaScript is disabled in your browser. Please enable JavaScript to view this website.
AB187363

Anti-TXNRD1 antibody [EPNCIR129] - BSA and Azide free

Be the first to review this product! Submit a review

|

(1 Publication)

Rabbit Recombinant Monoclonal TXNRD1 antibody. Carrier free. Suitable for IHC-P, IP, WB, ICC/IF, Flow Cyt (Intra) and reacts with Human, Mouse, Rat samples. Cited in 1 publication.

View Alternative Names

GRIM12, KDRF, TXNRD1, TR, Gene associated with retinoic and interferon-induced mortality 12 protein, KM-102-derived reductase-like factor, Peroxidase TXNRD1, Thioredoxin reductase TR1, GRIM-12, Gene associated with retinoic and IFN-induced mortality 12 protein

5 Images
Flow Cytometry (Intracellular) - Anti-TXNRD1 antibody [EPNCIR129] - BSA and Azide free (AB187363)
  • Flow Cyt (Intra)

Unknown

Flow Cytometry (Intracellular) - Anti-TXNRD1 antibody [EPNCIR129] - BSA and Azide free (AB187363)

Overlay histogram showing HeLa cells fixed in 4% PFA and stained with purified ab124954 at a dilution of 1 in 120 (red line). The secondary antibody used was FITC goat anti-rabbit at a dilution of 1 in 500. Rabbit monoclonal IgG was used as an isotype control (black line) and cells incubated in the absence of both primary and secondary antibody were used as a negative control (blue line). This data was developed using the same antibody clone in a different buffer formulation containing PBS, BSA, glycerol, and sodium azide (ab124954).

Immunocytochemistry/ Immunofluorescence - Anti-TXNRD1 antibody [EPNCIR129] - BSA and Azide free (AB187363)
  • ICC/IF

Unknown

Immunocytochemistry/ Immunofluorescence - Anti-TXNRD1 antibody [EPNCIR129] - BSA and Azide free (AB187363)

Immunofluorescence staining of HeLa cells with purified ab124954 at a working dilution of 1/150, counter-stained with DAPI. The secondary antibody was Alexa Fluor® 488 goat anti-rabbit (ab150077), used at a dilution of 1/1000. ab7291, a mouse anti-tubulin antibody (1/1000), was used to stain tubulin along with ab150120 (Alexa Fluor® 594 goat anti-mouse, 1/1000), shown in the top right hand panel. The cells were fixed in 4% PFA and permeabilized using 0.1% Triton X 100. The negative controls are shown in bottom middle and right hand panels - for negative control 1, purified ab124954 was used at a dilution of 1/500 followed by an Alexa Fluor® 594 goat anti-mouse antibody (ab150120) at a dilution of 1/500. For negative control 2, ab7291 (mouse anti-tubulin) was used at a dilution of 1/500 followed by an Alexa Fluor® 488 goat anti-rabbit antibody (ab150077) at a dilution of 1/400.

This data was developed using the same antibody clone in a different buffer formulation containing PBS, BSA, glycerol, and sodium azide (ab124954).

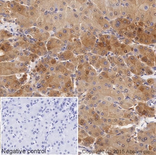
Immunohistochemistry (Formalin/PFA-fixed paraffin-embedded sections) - Anti-TXNRD1 antibody [EPNCIR129] - BSA and Azide free (AB187363)
  • IHC-P

Unknown

Immunohistochemistry (Formalin/PFA-fixed paraffin-embedded sections) - Anti-TXNRD1 antibody [EPNCIR129] - BSA and Azide free (AB187363)

Immunohistochemical staining of paraffin embedded human testis with purified ab124954 at a working dilution of 1/150. The secondary antibody used is HRP goat anti-rabbit IgG H&L (ab97051) at 1/500. The sample is counter-stained with hematoxylin. Antigen retrieval was perfomed using Tris-EDTA buffer, pH 9.0. PBS was used instead of the primary antibody as the negative control, and is shown in the inset.This data was developed using the same antibody clone in a different buffer formulation containing PBS, BSA, glycerol, and sodium azide (ab124954).

Immunocytochemistry/ Immunofluorescence - Anti-TXNRD1 antibody [EPNCIR129] - BSA and Azide free (AB187363)
  • ICC/IF

Unknown

Immunocytochemistry/ Immunofluorescence - Anti-TXNRD1 antibody [EPNCIR129] - BSA and Azide free (AB187363)

Unpurified ab124954, at 1/100 dilution, staining TXNRD1 in HeLa cells by Immunofluorescence.

This data was developed using the same antibody clone in a different buffer formulation containing PBS, BSA, glycerol, and sodium azide (ab124954).

Immunoprecipitation - Anti-TXNRD1 antibody [EPNCIR129] - BSA and Azide free (AB187363)
  • IP

Unknown

Immunoprecipitation - Anti-TXNRD1 antibody [EPNCIR129] - BSA and Azide free (AB187363)

ab124954 (purified) at 1/40 immunoprecipitating TXNRD1 in 10 μg Jurkat (Lanes 1 and 2, observed at 55 kDa). Lane 3 - PBS. For western blotting, VeriBlot for IP Detection Reagent (HRP) (ab131366), was used for detection at 1/10,000 dilution. Blocking buffer and concentration : 5% NFDM/TBST Dilution buffer and concentration : 5% NFDM/TBST

This data was developed using the same antibody clone in a different buffer formulation containing PBS, BSA, glycerol, and sodium azide (ab124954).

All lanes:

Immunoprecipitation - Anti-TXNRD1 antibody [EPNCIR129] (<a href='/en-us/products/primary-antibodies/txnrd1-antibody-epncir129-ab124954'>ab124954</a>)

Predicted band size: 71 kDa

false

Key facts

Host species

Rabbit

Clonality

Monoclonal

Clone number

EPNCIR129

Isotype

IgG

Carrier free

Yes

Reacts with

Mouse, Rat, Human

Applications

IHC-P, WB, ICC/IF, IP, Flow Cyt (Intra)

applications

Immunogen

The exact immunogen used to generate this antibody is proprietary information.

Reactivity data

{ "title": "Reactivity Data", "filters": { "stats": ["", "Species", "Dilution Info", "Notes"], "tabs": { "all-applications": {"fullname" : "All Applications", "shortname": "All Applications"}, "IHCP" : {"fullname" : "Immunohistochemistry (Formalin/PFA-fixed paraffin-embedded sections)", "shortname":"IHC-P"}, "IP" : {"fullname" : "Immunoprecipitation", "shortname":"IP"}, "WB" : {"fullname" : "Western blot", "shortname":"WB"}, "ICCIF" : {"fullname" : "Immunocytochemistry/ Immunofluorescence", "shortname":"ICC/IF"}, "FlowCytIntra" : {"fullname" : "Flow Cytometry (Intracellular)", "shortname":"Flow Cyt (Intra)"} }, "product-promise": { "all": "all", "testedAndGuaranteed": "tested", "guaranteed": "expected", "predicted": "predicted", "notRecommended": "not-recommended" } }, "values": { "Human": { "IHCP-species-checked": "testedAndGuaranteed", "IHCP-species-dilution-info": "", "IHCP-species-notes": "<p>(heat to 98 degrees C, allow to cool for 10-20 minutes)</p>", "IP-species-checked": "testedAndGuaranteed", "IP-species-dilution-info": "", "IP-species-notes": "<p></p>", "WB-species-checked": "guaranteed", "WB-species-dilution-info": "", "WB-species-notes": "<p></p>", "ICCIF-species-checked": "testedAndGuaranteed", "ICCIF-species-dilution-info": "", "ICCIF-species-notes": "<p></p>", "FlowCytIntra-species-checked": "testedAndGuaranteed", "FlowCytIntra-species-dilution-info": "", "FlowCytIntra-species-notes": "<p><a href='/en-us/products/primary-antibodies/rabbit-igg-monoclonal-epr25a-isotype-control-low-endotoxin-azide-free-ab199376'>ab199376</a> - Rabbit monoclonal IgG, is suitable for use as an isotype control with this antibody.</p>" }, "Mouse": { "IHCP-species-checked": "predicted", "IHCP-species-dilution-info": "", "IHCP-species-notes": "", "IP-species-checked": "predicted", "IP-species-dilution-info": "", "IP-species-notes": "", "WB-species-checked": "guaranteed", "WB-species-dilution-info": "", "WB-species-notes": "<p></p>", "ICCIF-species-checked": "predicted", "ICCIF-species-dilution-info": "", "ICCIF-species-notes": "", "FlowCytIntra-species-checked": "predicted", "FlowCytIntra-species-dilution-info": "", "FlowCytIntra-species-notes": "" }, "Rat": { "IHCP-species-checked": "predicted", "IHCP-species-dilution-info": "", "IHCP-species-notes": "", "IP-species-checked": "predicted", "IP-species-dilution-info": "", "IP-species-notes": "", "WB-species-checked": "guaranteed", "WB-species-dilution-info": "", "WB-species-notes": "<p></p>", "ICCIF-species-checked": "predicted", "ICCIF-species-dilution-info": "", "ICCIF-species-notes": "", "FlowCytIntra-species-checked": "predicted", "FlowCytIntra-species-dilution-info": "", "FlowCytIntra-species-notes": "" } } }

Product details

ab187363 is the carrier-free version of ab124954.

This antibody was developed as part of a collaboration between Epitomics, the National Cancer Institute's Center for Cancer Research and the lab of Dolph Hatfield. View antibodies from NCI Center for Cancer Research Collaboration.

Patented technology
Our RabMAb® technology is a patented hybridoma-based technology for making rabbit monoclonal antibodies. For details on our patents, please refer to RabMAb® patents.

What are the advantages of a recombinant monoclonal antibody?
This product is a recombinant monoclonal antibody, which offers several advantages including:

  • - High batch-to-batch consistency and reproducibility
  • - Improved sensitivity and specificity
  • - Long-term security of supply
  • - Animal-free batch production

For more information, read more on recombinant antibodies.

Conjugation ready
Our carrier-free antibodies are typically supplied in a PBS-only formulation, purified and free of BSA, sodium azide and glycerol. This conjugation-ready format is designed for use with fluorochromes, metal isotopes, oligonucleotides, and enzymes, which makes them ideal for antibody labelling, functional and cell-based assays, flow-based assays (e.g. mass cytometry) and Multiplex Imaging applications.

Use our conjugation kits for antibody conjugates that are ready-to-use in as little as 20 minutes with 1 minute hands-on-time and 100% antibody recovery: available for fluorescent dyes, HRP, biotin and gold.

Compatibility
This product is compatible with the Maxpar® Antibody Labeling Kit from Fluidigm, without the need for antibody preparation. Maxpar® is a trademark of Fluidigm Canada Inc.

Properties and storage information

Form
Liquid
Purification technique
Affinity purification Protein A
Storage buffer
pH: 7.2 - 7.4 Constituents: PBS
Shipped at conditions
Blue Ice
Appropriate short-term storage conditions
+4°C
Appropriate long-term storage conditions
+4°C
Storage information
Do Not Freeze

Supplementary information

This supplementary information is collated from multiple sources and compiled automatically.

Thioredoxin reductase 1 (TXNRD1) also known as TRXR1 is a selenoprotein that plays an important role in maintaining cellular redox balance by catalyzing the reduction of thioredoxin (TRX). It possesses a molecular mass of approximately 55 kDa. TXNRD1 can be found in many tissues displaying a stronger presence in the liver kidney and pancreas indicating its significance in these organs. The enzyme contains a selenocysteine residue at its active site which is essential for its enzymatic activity.
Biological function summary

TXNRD1 functions as an integral part of the thioredoxin system which includes thioredoxin and NADPH. It maintains the redox homeostasis in cells by regenerating oxidized thioredoxin. This action allows thioredoxin to in turn reduce disulfide bonds in various substrate proteins. Furthermore TXNRD1 participates in regulating cellular processes such as DNA synthesis and repair signal transduction and antioxidant defense. It does not work alone but collaborates with various redox-active components to achieve its roles.

Pathways

TXNRD1 participates in the antioxidant defense and redox signaling pathways. Within the antioxidant defense pathway TXNRD1 along with thioredoxin provides resistance to oxidative stress. In the redox signaling pathway the protein interacts with NF-κB signaling processes impacting cell inflammation and apoptosis. These pathways are vital for cellular health and are connected through thioredoxin emphasizing the interconnected nature of TXNRD1-related processes.

TXNRD1 has associations with cancer and neurodegenerative diseases. Elevated levels of TXNRD1 have been observed in various cancers including lung and hepatocellular carcinoma suggesting a role in tumor growth and survival through redox regulation. Additionally TXNRD1 is linked to neurodegenerative diseases such as Alzheimer's where oxidative stress plays a contributory role. In these conditions TXNRD1 interacts closely with other redox proteins like glutathione reductase highlighting its potential as a therapeutic target.

Product protocols

For this product, it's our understanding that no specific protocols are required. You can visit:

Target data

Reduces disulfideprotein thioredoxin (Trx) to its dithiol-containing form (PubMed : 8577704). Homodimeric flavoprotein involved in the regulation of cellular redox reactions, growth and differentiation. Contains a selenocysteine residue at the C-terminal active site that is essential for catalysis (Probable). Also has reductase activity on hydrogen peroxide (H2O2) (PubMed : 10849437).. Isoform 1. Induces actin and tubulin polymerization, leading to formation of cell membrane protrusions.. Isoform 4. Enhances the transcriptional activity of estrogen receptors ESR1 and ESR2.. Isoform 5. Enhances the transcriptional activity of the estrogen receptor ESR2 only (PubMed : 15199063). Mediates cell death induced by a combination of interferon-beta and retinoic acid (PubMed : 9774665).
See full target information TXNRD1

Publications (1)

Recent publications for all applications. Explore the full list and refine your search

Genes & development 30:386-98 PubMed26883358

2016

Muscleblind-like 1 suppresses breast cancer metastatic colonization and stabilizes metastasis suppressor transcripts.

Applications

Unspecified application

Species

Unspecified reactive species

Lisa Fish,Nora Pencheva,Hani Goodarzi,Hien Tran,Mitsukuni Yoshida,Sohail F Tavazoie
View all publications

Product promise

We are committed to supporting your work with high-quality reagents, and we're here for you every step of the way. In the unlikely event that one of our products does not perform as expected, you're protected by our Product Promise.
For full details, please see our Terms & Conditions

Please note: All products are 'FOR RESEARCH USE ONLY. NOT FOR USE IN DIAGNOSTIC OR THERAPEUTIC PROCEDURES'.

For licensing inquiries, please contact partnerships@abcam.com