JavaScript is disabled in your browser. Please enable JavaScript to view this website.
AB39550

Anti-TYK2 antibody

0

(1 Review)

|

(2 Publications)

Rabbit Polyclonal TYK2 antibody. Suitable for IHC-P and reacts with Human samples. Cited in 2 publications. Immunogen corresponding to Synthetic Peptide within Human TYK2.

View Alternative Names

Non-receptor tyrosine-protein kinase TYK2, TYK2

1 Images
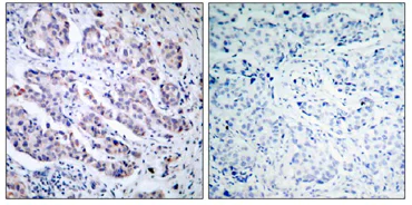
Immunohistochemistry (Formalin/PFA-fixed paraffin-embedded sections) - Anti-TYK2 antibody (AB39550)
  • IHC-P

Unknown

Immunohistochemistry (Formalin/PFA-fixed paraffin-embedded sections) - Anti-TYK2 antibody (AB39550)

Immunohistochemical analysis of paraffin-embedded human breast carcinoma, using ab39550 (10-20µg/ml). Left : Untreated; Right : Treated with synthesized peptide.

Key facts

Host species

Rabbit

Clonality

Polyclonal

Isotype

IgG

Carrier free

No

Reacts with

Human

Applications

IHC-P

applications

Immunogen

Synthetic Peptide within Human TYK2. The exact immunogen used to generate this antibody is proprietary information.

P29597

Specificity

This antibody detects endogenous levels of TYK2 protein around Tyrosine 1054.

Reactivity data

{ "title": "Reactivity Data", "filters": { "stats": ["", "Species", "Dilution Info", "Notes"], "tabs": { "all-applications": {"fullname" : "All Applications", "shortname": "All Applications"}, "IHCP" : {"fullname" : "Immunohistochemistry (Formalin/PFA-fixed paraffin-embedded sections)", "shortname":"IHC-P"} }, "product-promise": { "all": "all", "testedAndGuaranteed": "tested", "guaranteed": "expected", "predicted": "predicted", "notRecommended": "not-recommended" } }, "values": { "Human": { "IHCP-species-checked": "testedAndGuaranteed", "IHCP-species-dilution-info": "", "IHCP-species-notes": "<p></p>" } } }

Properties and storage information

Form
Liquid
Purification technique
Affinity purification Immunogen
Storage buffer
pH: 7.4 Preservative: 0.02% Sodium azide Constituents: PBS, 50% Glycerol (glycerin, glycerine), 0.87% Sodium chloride
Shipped at conditions
Blue Ice
Appropriate short-term storage conditions
+4°C
Appropriate long-term storage conditions
-20°C
Aliquoting information
Upon delivery aliquot
Storage information
Avoid freeze / thaw cycle

Supplementary information

This supplementary information is collated from multiple sources and compiled automatically.

Tyrosine kinase 2 (TYK2) also known as JAK1B is a non-receptor tyrosine kinase that weighs approximately 134 kDa. It belongs to the Janus kinase (JAK) family which includes JAK1 JAK2 and JAK3. TYK2 is vital in signal transduction for several cytokine receptors. The expression of TYK2 occurs broadly in different tissues including immune system cells. It plays an important mechanical role in transferring signals from cell surface receptors to intracellular signaling pathways which modulates various physiological processes.
Biological function summary

TYK2 mediates intracellular signaling that affects both innate and adaptive immune responses. It associates with cytokine receptors forming functional complexes that are critical for initiating JAK-STAT signaling. This type of signaling is responsible for regulating gene expression after cytokine binding. TYK2 is known for interacting with Type I interferons and interleukin-10 family cytokines indicating its importance in immune regulation.

Pathways

TYK2 acts within the JAK-STAT pathway a fundamental signaling cascade triggered by various cytokines and growth factors. The JAK-STAT pathway includes key partners such as STAT1 STAT2 and STAT3 proteins which are phosphorylated by TYK2 to propagate signal transduction. Additionally TYK2 is involved in the 'intercept blocking buffer' mechanism that adjusts signal strength thereby ensuring appropriate cellular responses to external stimuli.

Altered TYK2 activity has associations with immune-related conditions like psoriasis and systemic lupus erythematosus. Dysregulation of TYK2 can lead to improper immune signaling which contributes to these autoimmune conditions. Furthermore TYK2 interacts with other Janus kinase family members including JAK1 and JAK3 which can influence its role in the pathogenesis of these diseases potentially offering targets for therapeutic intervention.

Product protocols

For this product, it's our understanding that no specific protocols are required. You can visit:

Target data

Tyrosine kinase of the non-receptor type involved in numerous cytokines and interferons signaling, which regulates cell growth, development, cell migration, innate and adaptive immunity (PubMed : 10542297, PubMed : 10995743, PubMed : 7657660, PubMed : 7813427, PubMed : 8232552). Plays both structural and catalytic roles in numerous interleukins and interferons (IFN-alpha/beta) signaling (PubMed : 10542297). Associates with heterodimeric cytokine receptor complexes and activates STAT family members including STAT1, STAT3, STAT4 or STAT6 (PubMed : 10542297, PubMed : 7638186). The heterodimeric cytokine receptor complexes are composed of (1) a TYK2-associated receptor chain (IFNAR1, IL12RB1, IL10RB or IL13RA1), and (2) a second receptor chain associated either with JAK1 or JAK2 (PubMed : 10542297, PubMed : 25762719, PubMed : 7526154, PubMed : 7813427). In response to cytokine-binding to receptors, phosphorylates and activates receptors (IFNAR1, IL12RB1, IL10RB or IL13RA1), creating docking sites for STAT members (PubMed : 7526154, PubMed : 7657660). In turn, recruited STATs are phosphorylated by TYK2 (or JAK1/JAK2 on the second receptor chain), form homo- and heterodimers, translocate to the nucleus, and regulate cytokine/growth factor responsive genes (PubMed : 10542297, PubMed : 25762719, PubMed : 7657660). Negatively regulates STAT3 activity by promototing phosphorylation at a specific tyrosine that differs from the site used for signaling (PubMed : 29162862).
See full target information TYK2

Publications (2)

Recent publications for all applications. Explore the full list and refine your search

Cancer medicine 8:5232-5241 PubMed31278855

2019

TYK2 promotes malignant peripheral nerve sheath tumor progression through inhibition of cell death.

Applications

Unspecified application

Species

Unspecified reactive species

Wenjing Qin,Abigail Godec,Xiaochun Zhang,Cuige Zhu,Jieya Shao,Yu Tao,Xianzhang Bu,Angela C Hirbe

Cancer 123:1194-1201 PubMed27875628

2016

Clinical genomic profiling identifies TYK2 mutation and overexpression in patients with neurofibromatosis type 1-associated malignant peripheral nerve sheath tumors.

Applications

Unspecified application

Species

Unspecified reactive species

Angela C Hirbe,Madhurima Kaushal,Mukesh Kumar Sharma,Sonika Dahiya,Melike Pekmezci,Arie Perry,David H Gutmann
View all publications

Product promise

We are committed to supporting your work with high-quality reagents, and we're here for you every step of the way. In the unlikely event that one of our products does not perform as expected, you're protected by our Product Promise.
For full details, please see our Terms & Conditions

Please note: All products are 'FOR RESEARCH USE ONLY. NOT FOR USE IN DIAGNOSTIC OR THERAPEUTIC PROCEDURES'.

For licensing inquiries, please contact partnerships@abcam.com