JavaScript is disabled in your browser. Please enable JavaScript to view this website.
AB303500

Anti-TYK2 antibody [EPR24628-106]

  • 20ul selling size
  • RabMAb
  • Recombinant
  • KO Validated
  • What is this?

Be the first to review this product! Submit a review

|

(1 Publication)

Anti-TYK2 antibody [EPR24628-106] (ab303500) is a rabbit monoclonal antibody detecting TYK2 in Western Blot, IP. Suitable for Human, Mouse, Rat.

- KO validated for confirmed specificity
- Biophysical QC for unrivalled batch-batch consistency

View Alternative Names

Non-receptor tyrosine-protein kinase TYK2, TYK2

6 Images
Immunoprecipitation - Anti-TYK2 antibody [EPR24628-106] (AB303500)
  • IP

Lab

Immunoprecipitation - Anti-TYK2 antibody [EPR24628-106] (AB303500)

TYK2 was immunoprecipitated from 0.35 mg HeLa (human cervical adenocarcinoma epithelial cell) whole cell lysate with ab303500 at 1/30 dilution (2 µg in 0.35 mg lysates). Western blot was performed on the immunoprecipitate using ab303500 at 1/1000 dilution. VeriBlot for IP secondary antibody(HRP) (ab131366) was used at 1/5000 dilution.

All lanes:

Immunoprecipitation - Anti-TYK2 antibody [EPR24628-106] (ab303500) at 1/1000 dilution

Lane 1:

Hela (human cervical adenocarcinoma epithelial cell) whole cell lysate at 10 µg

Lane 2:

ab303500 at 1/30 IP in Hela (human cervical adenocarcinoma epithelial cell) whole cell lysate at 10 µg

Lane 3:

Rabbit monoclonal IgG (<a href='/en-us/products/primary-antibodies/rabbit-igg-monoclonal-epr25a-isotype-control-ab172730'>ab172730</a>) instead of ab303500 in Hela whole cell lysate at 10 µg

Secondary

All lanes:

Immunoprecipitation - VeriBlot for IP Detection Reagent (HRP) (<a href='/en-us/products/reagents/veriblot-for-ip-detection-reagent-hrp-ab131366'>ab131366</a>) at 1/5000 dilution

false

Western blot - Anti-TYK2 antibody [EPR24628-106] (AB303500)
  • WB

Supplier Data

Western blot - Anti-TYK2 antibody [EPR24628-106] (AB303500)

Blocking and diluting buffer and concentration : 5% NFDM/TBST In Western blot, Anti-GAPDH antibody [EPR16891] - Loading Control (ab181602) staining at 1/200000 dilution. In Western blot, Anti-TYK2 antibody - Total protein control (ab303500) staining at 1/1000 dilution

All lanes:

Western blot - Anti-TYK2 (phospho Y1054 + Y1055) antibody [EPR28591-25] (<a href='/en-us/products/primary-antibodies/tyk2-phospho-y1054-y1055-antibody-epr28591-25-ab314878'>ab314878</a>) at 1/1000 dilution

Lane 1:

Untreated U266B1 (human multiple myeloma B lymphocyte) starved for 16 hours whole cell lysate (untreated membrane) at 20 µg

Lane 2:

U266B1 starved for 16 hours, then treated with 50ng/ml IFN alpha and 10μM MG-132 for 15 minutes whole cell lysate (untreated membrane) at 20 µg

Lane 3:

U266B1 starved for 16 hours, then treated with 50ng/ml IFN alpha and 10μM MG-132 for 15 minutes whole cell lysate (alkaline phosphatase treated membrane) at 20 µg

Secondary

All lanes:

Western blot - Goat Anti-Rabbit IgG H&L (HRP) (<a href='/en-us/products/secondary-antibodies/goat-rabbit-igg-h-l-hrp-ab97051'>ab97051</a>) at 1/100000 dilution

Observed band size: 135 kDa,37 kDa,140 kDa

false

Exposure time: 180s

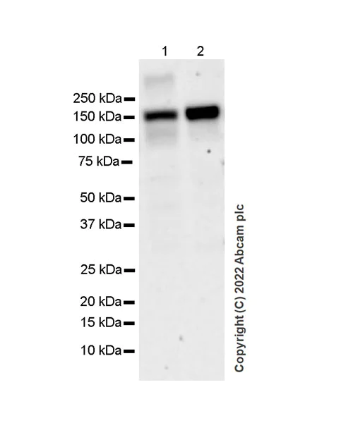
Western blot - Anti-TYK2 antibody [EPR24628-106] (AB303500)
  • WB

Lab

Western blot - Anti-TYK2 antibody [EPR24628-106] (AB303500)

Blocking and diluting buffer and concentration : 5% NFDM/TBST.

Lysates were freshly made and used for Western blotting immediately to minimize protein degradation.

All lanes:

Western blot - Anti-TYK2 antibody [EPR24628-106] (ab303500) at 1/1000 dilution

Lane 1:

C6 (rat glial tumor glial cell), whole cell lysate at 20 µg

Lane 2:

Neuro-2a (mouse neuroblastoma neuroblast), whole cell lysate at 20 µg

Lane 3:

U-87 MG (human glioblastoma-astrocytoma epithelial cell), whole cell lysate at 20 µg

Lane 4:

SH-SY5Y (human neuroblastoma epithelial cell), whole cell lysate at 20 µg

Secondary

All lanes:

Western blot - Goat Anti-Rabbit IgG H&L (HRP) (<a href='/en-us/products/secondary-antibodies/goat-rabbit-igg-h-l-hrp-ab97051'>ab97051</a>) at 1/50000 dilution

Observed band size: 150 kDa

false

Exposure time: 81s

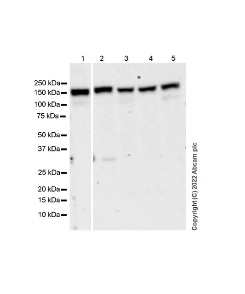
Western blot - Anti-TYK2 antibody [EPR24628-106] (AB303500)
  • WB

Lab

Western blot - Anti-TYK2 antibody [EPR24628-106] (AB303500)

Blocking and dilution buffer and concentration : 5% NFDM/TBST.

All lanes:

Western blot - Anti-TYK2 antibody [EPR24628-106] (ab303500) at 1/1000 dilution

Lane 1:

Human liver tissue lysate at 40 µg

Lane 2:

Human kidney tissue lysate at 40 µg

Secondary

All lanes:

Goat Anti-Rabbit IgG (HRP) with minimal cross-reactivity with human IgG at 1/2000 dilution

Observed band size: 150 kDa

false

Exposure time: 114s

Western blot - Anti-TYK2 antibody [EPR24628-106] (AB303500)
  • WB

Lab

Western blot - Anti-TYK2 antibody [EPR24628-106] (AB303500)

Blocking and dilution buffer and concentration : Intercept® (TBS) Blocking Buffer diluted with an equal volume of 0.1% TBS.

In Western blot, ab303500 was shown to bind specifically to TYK2. A band was observed at 150 kDa in wild-type 293T cell lysates with no signal observed at this size in TYK2 knockout cell line ab266730 (knockout cell lysate ab258743).

To generate this image, wild-type and TYK2 knockout 293T cell lysates were analyzed. First, samples were run on an SDS-PAGE gel then transferred onto an immobilon-FL PVDF membrane. Membranes were blocked in in Intercept® (TBS) Blocking Buffer diluted with an equal volume of 0.1% TBS before incubation with primary antibodies overnight at 4 °C. Blots were washed four times in TBS-T, incubated with secondary antibodies for 1 h at room temperature, washed again four times then imaged.

Secondary antibodies used were Goat anti-Rabbit IgG H&L (IRDye® 800CW) preabsorbed (ab216773) and Goat anti-Mouse IgG H&L (IRDye® 680RD) preabsorbed (ab216776) at 1/20000 dilution.

The samples were run on a Bis-Tris gel.

False colour image of Western blot : Anti-TYK2 antibody (ab303500) staining at 1/1000 dilution, shown in green; Mouse anti-GAPDH antibody [6C5] (ab8245) loading control staining at 1/20000 dilution, shown in red.

All lanes:

Western blot - Anti-TYK2 antibody [EPR24628-106] (ab303500) at 1/1000 dilution

Lane 1:

Wild-type 293T (human embryonic kidney epithelial cell) whole cell lysate at 20 µg

Lane 2:

TYK2 knockout 293T whole cell lysate at 20 µg

Lane 3:

Hela (human cervical adenocarcinoma epithelial cell) whole cell lysate at 20 µg

Secondary

Lanes 1 - 3:

Goat anti-Rabbit IgG H&L (IRDye® 800CW) preabsorbed at 1/20000 dilution

Lanes 1 - 3:

Goat anti-Mouse IgG H&L (IRDye® 680RD) preabsorbed at 1/20000 dilution

Observed band size: 150 kDa

false

Western blot - Anti-TYK2 antibody [EPR24628-106] (AB303500)
  • WB

Lab

Western blot - Anti-TYK2 antibody [EPR24628-106] (AB303500)

Blocking and diluting buffer and concentration : 5% NFDM/TBST.

All lanes:

Western blot - Anti-TYK2 antibody [EPR24628-106] (ab303500) at 1/1000 dilution

Lane 1:

Mouse lung tissue lysate at 40 µg

Lane 2:

Mouse kidney tissue lysate at 40 µg

Lane 3:

Rat lung tissue lysate at 40 µg

Lane 4:

Rat liver tissue lysate at 40 µg

Lane 5:

Rat kidney tissue lysate at 40 µg

Secondary

All lanes:

Western blot - Goat Anti-Rabbit IgG H&L (HRP) (<a href='/en-us/products/secondary-antibodies/goat-rabbit-igg-h-l-hrp-ab97051'>ab97051</a>) at 1/50000 dilution

Observed band size: 150 kDa

false

Exposure time: 114s

  • Carrier free

    Anti-TYK2 antibody [EPR24628-106] - BSA and Azide free

Key facts

Host species

Rabbit

Clonality

Monoclonal

Clone number

EPR24628-106

Isotype

IgG

Carrier free

No

Reacts with

Human, Mouse, Rat

Applications

WB, IP

applications

Immunogen

The exact immunogen used to generate this antibody is proprietary information.

Reactivity data

{ "title": "Reactivity Data", "filters": { "stats": ["", "Species", "Dilution Info", "Notes"], "tabs": { "all-applications": {"fullname" : "All Applications", "shortname": "All Applications"}, "WB" : {"fullname" : "Western blot", "shortname":"WB"}, "IHCP" : {"fullname" : "Immunohistochemistry (Formalin/PFA-fixed paraffin-embedded sections)", "shortname":"IHC-P"}, "ICCIF" : {"fullname" : "Immunocytochemistry/ Immunofluorescence", "shortname":"ICC/IF"}, "FlowCytIntra" : {"fullname" : "Flow Cytometry (Intracellular)", "shortname":"Flow Cyt (Intra)"}, "IP" : {"fullname" : "Immunoprecipitation", "shortname":"IP"} }, "product-promise": { "all": "all", "testedAndGuaranteed": "tested", "guaranteed": "expected", "predicted": "predicted", "notRecommended": "not-recommended" } }, "values": { "Human": { "WB-species-checked": "testedAndGuaranteed", "WB-species-dilution-info": "1/1000", "WB-species-notes": "<p></p>", "IHCP-species-checked": "notRecommended", "IHCP-species-dilution-info": "", "IHCP-species-notes": "<p></p>", "ICCIF-species-checked": "notRecommended", "ICCIF-species-dilution-info": "", "ICCIF-species-notes": "<p></p>", "FlowCytIntra-species-checked": "notRecommended", "FlowCytIntra-species-dilution-info": "", "FlowCytIntra-species-notes": "<p></p>", "IP-species-checked": "testedAndGuaranteed", "IP-species-dilution-info": "1/30", "IP-species-notes": "<p></p>" }, "Mouse": { "WB-species-checked": "testedAndGuaranteed", "WB-species-dilution-info": "1/1000", "WB-species-notes": "<p></p>", "IHCP-species-checked": "notRecommended", "IHCP-species-dilution-info": "", "IHCP-species-notes": "<p></p>", "ICCIF-species-checked": "notRecommended", "ICCIF-species-dilution-info": "", "ICCIF-species-notes": "<p></p>", "FlowCytIntra-species-checked": "notRecommended", "FlowCytIntra-species-dilution-info": "", "FlowCytIntra-species-notes": "<p></p>", "IP-species-checked": "guaranteed", "IP-species-dilution-info": "", "IP-species-notes": "" }, "Rat": { "WB-species-checked": "testedAndGuaranteed", "WB-species-dilution-info": "1/1000", "WB-species-notes": "<p></p>", "IHCP-species-checked": "notRecommended", "IHCP-species-dilution-info": "", "IHCP-species-notes": "<p></p>", "ICCIF-species-checked": "notRecommended", "ICCIF-species-dilution-info": "", "ICCIF-species-notes": "", "FlowCytIntra-species-checked": "notRecommended", "FlowCytIntra-species-dilution-info": "", "FlowCytIntra-species-notes": "", "IP-species-checked": "guaranteed", "IP-species-dilution-info": "", "IP-species-notes": "" } } }

Product details

What is this antibody validated in?
Anti-TYK2 antibody [EPR24628-106] (ab303500) is a rabbit recombinant monoclonal antibody and is validated for use in Western Blot (WB), Immunoprecipitation (IP) in Human, Mouse, Rat samples.

What is the molecular weight of TYK2?
Anti-TYK2 [EPR24628-106] (ab303500) specifically detects a band for TYK2 (UniProt: P29597) at a molecular weight of 134kDa.

Trial sizes available!
Test your antibody or perform pre-screening before committing to a larger quantity. Sold in 10µl. Discover our selection of trial-size antibodies.

Other related products
We have a range of other formats of antibody clone [EPR24628-106] also available for your convenience: ab303500, Carrier free - ab303501

What are the advantages of a recombinant monoclonal antibody?
This product is a recombinant monoclonal antibody, which offers several advantages including:

  • - High batch-to-batch consistency and reproducibility
  • - Improved sensitivity and specificity
  • - Long-term security of supply
  • - Animal-free batch production

For more information, read more on recombinant antibodies.

Patented technology
Our RabMAb® technology is a patented hybridoma-based technology for making rabbit monoclonal antibodies. For details on our patents, please refer to RabMAb® patents.

Properties and storage information

Form
Liquid
Purification technique
Affinity purification Protein A
Storage buffer
pH: 7.2 - 7.4 Preservative: 0.01% Sodium azide Constituents: PBS, 40% Glycerol (glycerin, glycerine), 0.05% BSA
Shipped at conditions
Blue Ice
Appropriate short-term storage duration
1-2 weeks
Appropriate short-term storage conditions
+4°C
Appropriate long-term storage conditions
-20°C
Aliquoting information
Upon delivery aliquot
Storage information
Avoid freeze / thaw cycle

Supplementary information

This supplementary information is collated from multiple sources and compiled automatically.

Tyrosine kinase 2 (TYK2) also known as JAK1B is a non-receptor tyrosine kinase that weighs approximately 134 kDa. It belongs to the Janus kinase (JAK) family which includes JAK1 JAK2 and JAK3. TYK2 is vital in signal transduction for several cytokine receptors. The expression of TYK2 occurs broadly in different tissues including immune system cells. It plays an important mechanical role in transferring signals from cell surface receptors to intracellular signaling pathways which modulates various physiological processes.
Biological function summary

TYK2 mediates intracellular signaling that affects both innate and adaptive immune responses. It associates with cytokine receptors forming functional complexes that are critical for initiating JAK-STAT signaling. This type of signaling is responsible for regulating gene expression after cytokine binding. TYK2 is known for interacting with Type I interferons and interleukin-10 family cytokines indicating its importance in immune regulation.

Pathways

TYK2 acts within the JAK-STAT pathway a fundamental signaling cascade triggered by various cytokines and growth factors. The JAK-STAT pathway includes key partners such as STAT1 STAT2 and STAT3 proteins which are phosphorylated by TYK2 to propagate signal transduction. Additionally TYK2 is involved in the 'intercept blocking buffer' mechanism that adjusts signal strength thereby ensuring appropriate cellular responses to external stimuli.

Altered TYK2 activity has associations with immune-related conditions like psoriasis and systemic lupus erythematosus. Dysregulation of TYK2 can lead to improper immune signaling which contributes to these autoimmune conditions. Furthermore TYK2 interacts with other Janus kinase family members including JAK1 and JAK3 which can influence its role in the pathogenesis of these diseases potentially offering targets for therapeutic intervention.

Product protocols

For this product, it's our understanding that no specific protocols are required. You can visit:

Target data

Tyrosine kinase of the non-receptor type involved in numerous cytokines and interferons signaling, which regulates cell growth, development, cell migration, innate and adaptive immunity (PubMed : 10542297, PubMed : 10995743, PubMed : 7657660, PubMed : 7813427, PubMed : 8232552). Plays both structural and catalytic roles in numerous interleukins and interferons (IFN-alpha/beta) signaling (PubMed : 10542297). Associates with heterodimeric cytokine receptor complexes and activates STAT family members including STAT1, STAT3, STAT4 or STAT6 (PubMed : 10542297, PubMed : 7638186). The heterodimeric cytokine receptor complexes are composed of (1) a TYK2-associated receptor chain (IFNAR1, IL12RB1, IL10RB or IL13RA1), and (2) a second receptor chain associated either with JAK1 or JAK2 (PubMed : 10542297, PubMed : 25762719, PubMed : 7526154, PubMed : 7813427). In response to cytokine-binding to receptors, phosphorylates and activates receptors (IFNAR1, IL12RB1, IL10RB or IL13RA1), creating docking sites for STAT members (PubMed : 7526154, PubMed : 7657660). In turn, recruited STATs are phosphorylated by TYK2 (or JAK1/JAK2 on the second receptor chain), form homo- and heterodimers, translocate to the nucleus, and regulate cytokine/growth factor responsive genes (PubMed : 10542297, PubMed : 25762719, PubMed : 7657660). Negatively regulates STAT3 activity by promototing phosphorylation at a specific tyrosine that differs from the site used for signaling (PubMed : 29162862).
See full target information TYK2

Publications (1)

Recent publications for all applications. Explore the full list and refine your search

Nature neuroscience 27:2417-2429 PubMed39528671

2024

TYK2 regulates tau levels, phosphorylation and aggregation in a tauopathy mouse model.

Applications

Unspecified application

Species

Unspecified reactive species

Jiyoen Kim,Bakhos Tadros,Yan Hong Liang,Youngdoo Kim,Cristian Lasagna-Reeves,Jun Young Sonn,Dah-Eun Chloe Chung,Bradley Hyman,David M Holtzman,Huda Yahya Zoghbi
View all publications

Product promise

We are committed to supporting your work with high-quality reagents, and we're here for you every step of the way. In the unlikely event that one of our products does not perform as expected, you're protected by our Product Promise.
For full details, please see our Terms & Conditions

Please note: All products are 'FOR RESEARCH USE ONLY. NOT FOR USE IN DIAGNOSTIC OR THERAPEUTIC PROCEDURES'.

For licensing inquiries, please contact partnerships@abcam.com