JavaScript is disabled in your browser. Please enable JavaScript to view this website.
AB170905

Anti-Tyrosinase antibody [EPR10141]

5

(2 Reviews)

|

(31 Publications)

Anti-Tyrosinase antibody [EPR10141] (ab170905) is a rabbit monoclonal antibody detecting Tyrosinase in Western Blot, Flow Cytometry (Intra), Flow Cytometry, IHC-P, ICC/IF. Suitable for Human, Mouse.

- Biophysical QC for unrivalled batch-batch consistency
- Over 20 publications

View Alternative Names

Tyrosinase, LB24-AB, Monophenol monooxygenase, SK29-AB, Tumor rejection antigen AB, TYR

8 Images
Immunohistochemistry (Formalin/PFA-fixed paraffin-embedded sections) - Anti-Tyrosinase antibody [EPR10141] (AB170905)
  • IHC-P

Supplier Data

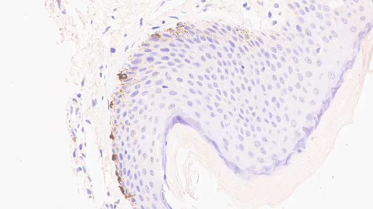
Immunohistochemistry (Formalin/PFA-fixed paraffin-embedded sections) - Anti-Tyrosinase antibody [EPR10141] (AB170905)

Immunohistochemical analysis of paraffin-embedded human skin tissue labelling Tyrosinase with ab170905 at 1/500 (0.662 μg/ml) dilution followed by a ready to use LeicaDS9800 (Bond Polymer Refine Detection). Positive staining on human skin. The section was incubated with ab170905 for 30 mins at room temperature. The immunostaining was performed on a Leica Biosystems BOND® RX instrument. Counterstained with hematoxylin. Heat mediated antigen retrieval with Tris-EDTA buffer (pH 9.0, epitope retrieval solution2) for 20 mins.

Immunocytochemistry/ Immunofluorescence - Anti-Tyrosinase antibody [EPR10141] (AB170905)
  • ICC/IF

Lab

Immunocytochemistry/ Immunofluorescence - Anti-Tyrosinase antibody [EPR10141] (AB170905)

ab170905 staining Tyrosinase in A375 (human malignant melanoma) cells by ICC/IF (Immunocytochemistry/immunofluorescence). Cells were fixed with 100% methanol and incubated with primary antibody at a dilution of 1/500. A goat anti rabbit IgG (Alexa Fluor® 488) (ab150077) was used as the secondary antibody at a dilution of 1/1000. DAPI was used as a nuclear counterstain.

Control : PBS only.

Flow Cytometry (Intracellular) - Anti-Tyrosinase antibody [EPR10141] (AB170905)
  • Flow Cyt (Intra)

Lab

Flow Cytometry (Intracellular) - Anti-Tyrosinase antibody [EPR10141] (AB170905)

Intracellular Flow Cytometry analysis of A375 (human malignant melanoma) cells labeling with purified ab170905 at 1/30 dilution (10ug/ml) (red). Cells were fixed with 4% paraformaldehyde and permeabilised with 90% methanol. A Goat anti rabbit IgG (Alexa Fluor® 488) (ab150077) (1/2000 dilution) was used as the secondary antibody. Cells without incubation with primary antibody and secondary antibody (Blue) were used as unlabeled control.

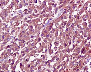
Immunohistochemistry (Formalin/PFA-fixed paraffin-embedded sections) - Anti-Tyrosinase antibody [EPR10141] (AB170905)
  • IHC-P

Supplier Data

Immunohistochemistry (Formalin/PFA-fixed paraffin-embedded sections) - Anti-Tyrosinase antibody [EPR10141] (AB170905)

Immunohistochemical analysis of paraffin-embedded Human melanoma tissue, labeling Tyrosinase using ab170905 at a 1/100 dilution.

Perform heat mediated antigen retrieval with citrate buffer pH 6 before commencing with IHC staining protocol.

Western blot - Anti-Tyrosinase antibody [EPR10141] (AB170905)
  • WB

Supplier Data

Western blot - Anti-Tyrosinase antibody [EPR10141] (AB170905)

All lanes:

Western blot - Anti-Tyrosinase antibody [EPR10141] (ab170905) at 1/1000 dilution

All lanes:

Human melanoma lysate at 10 µg

Secondary

All lanes:

Goat anti-rabbit HRP at 1/2000 dilution

Predicted band size: 60 kDa

true

Western blot - Anti-Tyrosinase antibody [EPR10141] (AB170905)
  • WB

Unknown

Western blot - Anti-Tyrosinase antibody [EPR10141] (AB170905)

Blocking buffer : 5% NFDM/TBST.

Exposure :

Lane 1 : 20 seconds

Lane 2 : 60 seconds

All lanes:

Western blot - Anti-Tyrosinase antibody [EPR10141] (ab170905) at 1/1000 dilution

Lane 1:

SK-MEL-28 (Human malignant melanoma) whole cell lysate at 15 µg

Lane 2:

MeWo (Human malignant melanoma fibroblast) whole cell lysate at 15 µg

Secondary

All lanes:

Goat Anti-Rabbit IgG (HRP) with minimal cross-reactivity with human IgG at 1/2000 dilution

Predicted band size: 60 kDa

Observed band size: 70 kDa

false

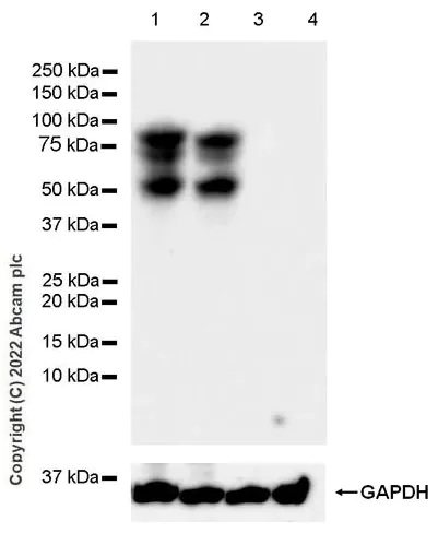
Western blot - Anti-Tyrosinase antibody [EPR10141] (AB170905)
  • WB

Supplier Data

Western blot - Anti-Tyrosinase antibody [EPR10141] (AB170905)

Blocking buffer and concentration : 5% NFDM/TBST Diluting buffer and concentration : 5% NFDM/TBST The expression profile observed is consistent with what has been described in the literature (PMID : 20053998; PMID : 24933607). Negative control : NIH/3T3, RAW264.7 whole cell lysates.

All lanes:

Western blot - Anti-Tyrosinase antibody [EPR10141] (ab170905) at 1/1000 dilution

Lane 1:

B16-F0 (mouse melanoma epithelial-like cell), whole cell lysate at 20 µg

Lane 2:

B16-F10 (mouse melanoma epithelial-like cell), whole cell lysate at 20 µg

Lane 3:

NIH/3T3 (mouse embryonic fibroblast), whole cell lysate at 20 µg

Lane 4:

RAW264.7 (mouse Abelson murine leukemia virus-induced tumor macrophage), whole cell lysate at 20 µg

Secondary

All lanes:

Western blot - Goat Anti-Rabbit IgG H&L (HRP) (<a href='/en-us/products/secondary-antibodies/goat-rabbit-igg-h-l-hrp-ab97051'>ab97051</a>) at 1/100000 dilution

Predicted band size: 60 kDa

Observed band size: 50-80 kDa

false

Exposure time: 59s

Western blot - Anti-Tyrosinase antibody [EPR10141] (AB170905)
  • WB

CiteAb

Western blot - Anti-Tyrosinase antibody [EPR10141] (AB170905)

Tyrosinase western blot using anti-Tyrosinase antibody [EPR10141] ab170905. Publication image and figure legend from Jessen, C., Kreß, J. K. C., et al., 2020, Oncogene, PubMed 32978520.

ab170905 was used in this publication in western blot. This may not be the same as the application(s) guaranteed by Abcam. For a full list of applications guaranteed by Abcam for ab170905 please see the product overview.

Suppression of differentiation features by NRF2.a Immunoblot of NRF2 and COX2 in UACC-62 NFE2L2 wt and NFE2L2 knockout cells after TNFα treatment (50 ng/ml, 3 d). Vinculin served as loading control. b Corresponding real-time PCR of PTGS2 gene expression, derived from two independent experiments. c Linear regression analysis of MITF and PTGS2 mRNA (n = 472) (Adj R2 = 0.076577 Intercept = 4.4372 Slope = −0.20477 p = 5.7562e-10). The results shown here are based upon data derived from the TCGA dataset Skin Cutaneous Melanoma, and FPKM values were downloaded from www.cbioportal.org. d Protein blot of NRF2 and MITF in UACC-62 cells after knockdown of NFE2L2 for 3 d with two independent siRNAs. MITF is represented by both visible bands (arrows). e Expression changes of pigmentation genes after NFE2L2 knockdown in UACC-62 cells, as detected by RNA sequencing, using the siRNA N2. f Protein blot of TYR and MLANA in UACC-62 cells after knockdown of NFE2L2 for 3 d with two independent siRNAs. g Luciferase assay of UACC-62 cells after MITF induction (100 or 250 ng/ml, 3 d) and co-transfection with 400 ng or 800 ng of pcDNA3.1-NRF2 and a tyrosinase promoter construct for 2 d. Luciferase activity was measured twice in duplicates. h Immunoblot of NRF2 and MITF after doxycycline-dependent NRF2 induction in UACC-62 cells (1000 ng/ml Dox, 3 d). Actin served as loading control. i Immunoblot of MITF and COX2 in UACC-62 cells expressing the Dox-inducible MITF expression vector pSB-MITF. Where indicated, cells were treated with doxycycline (250 ng/ml, 3 d) and H2O2 was added for the last 5 h before harvesting (400 µM). j Corresponding real-time PCR of PTGS2. Data are derived from two independent experiments performed in duplicates. Error bars represent SD.

false

  • Carrier free

    Anti-Tyrosinase antibody [EPR10141] - BSA and Azide free

  • 519 Alexa Fluor® 488

    Alexa Fluor® 488 Anti-Tyrosinase antibody [EPR10141]

Key facts

Host species

Rabbit

Clonality

Monoclonal

Clone number

EPR10141

Isotype

IgG

Carrier free

No

Reacts with

Mouse, Human

Applications

ICC/IF, IHC-P, Flow Cyt (Intra), WB

applications

Immunogen

The exact immunogen used to generate this antibody is proprietary information.

Reactivity data

{ "title": "Reactivity Data", "filters": { "stats": ["", "Species", "Dilution Info", "Notes"], "tabs": { "all-applications": {"fullname" : "All Applications", "shortname": "All Applications"}, "IHCP" : {"fullname" : "Immunohistochemistry (Formalin/PFA-fixed paraffin-embedded sections)", "shortname":"IHC-P"}, "IP" : {"fullname" : "Immunoprecipitation", "shortname":"IP"}, "WB" : {"fullname" : "Western blot", "shortname":"WB"}, "ICCIF" : {"fullname" : "Immunocytochemistry/ Immunofluorescence", "shortname":"ICC/IF"}, "FlowCytIntra" : {"fullname" : "Flow Cytometry (Intracellular)", "shortname":"Flow Cyt (Intra)"} }, "product-promise": { "all": "all", "testedAndGuaranteed": "tested", "guaranteed": "expected", "predicted": "predicted", "notRecommended": "not-recommended" } }, "values": { "Human": { "IHCP-species-checked": "testedAndGuaranteed", "IHCP-species-dilution-info": "1/100 - 1/500", "IHCP-species-notes": "<p></p>", "IP-species-checked": "notRecommended", "IP-species-dilution-info": "", "IP-species-notes": "<p></p>", "WB-species-checked": "testedAndGuaranteed", "WB-species-dilution-info": "1/1000 - 1/5000", "WB-species-notes": "<p></p>", "ICCIF-species-checked": "testedAndGuaranteed", "ICCIF-species-dilution-info": "1/50 - 1/100", "ICCIF-species-notes": "<p></p>", "FlowCytIntra-species-checked": "testedAndGuaranteed", "FlowCytIntra-species-dilution-info": "1/30", "FlowCytIntra-species-notes": "<p></p>" }, "Mouse": { "IHCP-species-checked": "notRecommended", "IHCP-species-dilution-info": "1/100 - 1/500", "IHCP-species-notes": "<p></p>", "IP-species-checked": "notRecommended", "IP-species-dilution-info": "", "IP-species-notes": "", "WB-species-checked": "testedAndGuaranteed", "WB-species-dilution-info": "1/1000 - 1/5000", "WB-species-notes": "<p></p>", "ICCIF-species-checked": "guaranteed", "ICCIF-species-dilution-info": "", "ICCIF-species-notes": "", "FlowCytIntra-species-checked": "guaranteed", "FlowCytIntra-species-dilution-info": "", "FlowCytIntra-species-notes": "" } } }

Product details

What is this antibody validated in?
Anti-Tyrosinase antibody [EPR10141] (ab170905) is a rabbit recombinant monoclonal antibody and is validated for use in Western Blot (WB), Flow Cytometry (Intra), Flow Cytometry (Flow Cyt), Immunohistochemistry (IHC-P), Immunocytochemistry/immunofluorescence (ICC/IF) in Human, Mouse samples.

What is the molecular weight of Tyrosinase?
Anti-Tyrosinase [EPR10141] (ab170905) specifically detects a band for Tyrosinase (UniProt: P14679) at a molecular weight of 60kDa.

Trusted by the scientific community
Anti-Tyrosinase [EPR10141] (ab170905) was first used in a scientific publication in 2013 and has been cited over 20 times in peer-reviewed journals.

Trial sizes available!
Test your antibody or perform pre-screening before committing to a larger quantity. Sold in 10µl. Discover our selection of trial-size antibodies.

Other related products
We have a range of other formats of antibody clone [EPR10141] also available for your convenience: ab170905, Alexa Fluor® 488 - ab211393, Carrier free - ab240163

Patented technology
Our RabMAb® technology is a patented hybridoma-based technology for making rabbit monoclonal antibodies. For details on our patents, please refer to RabMAb® patents.

What are the advantages of a recombinant monoclonal antibody?
This product is a recombinant monoclonal antibody, which offers several advantages including:

  • - High batch-to-batch consistency and reproducibility
  • - Improved sensitivity and specificity
  • - Long-term security of supply
  • - Animal-free batch production

For more information, read more on recombinant antibodies.

Properties and storage information

Form
Liquid
Purification technique
Affinity purification Protein A
Storage buffer
pH: 7.2 - 7.4 Constituents: PBS, 40% Glycerol (glycerin, glycerine), 0.35% Sodium citrate, 0.17% Sodium chloride, 0.05% BSA, 0.03% EDTA
Shipped at conditions
Blue Ice
Appropriate short-term storage duration
1-2 weeks
Appropriate short-term storage conditions
+4°C
Appropriate long-term storage conditions
-20°C
Aliquoting information
Upon delivery aliquot
Storage information
Avoid freeze / thaw cycle

Supplementary information

This supplementary information is collated from multiple sources and compiled automatically.

Tyrosinase also known as monophenol monooxygenase is a copper-containing enzyme with a mass of approximately 60-70 kDa. It catalyzes the oxidation of phenols such as tyrosine to quinones which are important precursors for melanin synthesis. Tyrosinase is predominantly expressed in melanocytes the cells responsible for pigment production in skin hair and eyes. Its expression also occurs in other tissues like the brain where it might play different roles.
Biological function summary

Within melanin production tyrosinase functions as the rate-limiting enzyme initiating the synthesis path by converting tyrosine into dopaquinone. This enzyme works as part of the melanogenic complex interacting with other enzymes such as tyrosinase-related proteins 1 and 2 to regulate melanin synthesis. The presence and activity of tyrosinase significantly impacts pigmentation processes and skin coloration.

Pathways

Relating tyrosinase to melanin biosynthetic and regulatory pathways reveal its central role. The enzyme is vital in the Raper-Mason pathway for melanin production where it interacts with proteins such as dopachrome tautomerase. It bridges the gap between external stimuli like UV radiation and cellular responses transforming them into pigmentation changes. The L-tyrosine and catecholamine biosynthesis pathways also influence tyrosinase activity linking it to broader metabolic processes.

Issues with tyrosinase can lead to conditions like albinism and melanoma. In oculocutaneous albinism type 1 (OCA1) a genetic mutation in the tyrosinase gene results in reduced or absent enzymatic activity causing hypopigmentation. In melanoma abnormal regulation of tyrosinase and its pathway associates with tumor progression and metastasis often in connection with factors such as microphthalmia-associated transcription factor (MITF) that modulate its expression.

Product protocols

For this product, it's our understanding that no specific protocols are required. You can visit:

Target data

This is a copper-containing oxidase that functions in the formation of pigments such as melanins and other polyphenolic compounds. Catalyzes the initial and rate limiting step in the cascade of reactions leading to melanin production from tyrosine (By similarity). In addition to hydroxylating tyrosine to DOPA (3,4-dihydroxyphenylalanine), also catalyzes the oxidation of DOPA to DOPA-quinone, and possibly the oxidation of DHI (5,6-dihydroxyindole) to indole-5,6 quinone (PubMed : 28661582).
See full target information Tyrosinase

Publications (31)

Recent publications for all applications. Explore the full list and refine your search

Experimental dermatology 34:e70159 PubMed40898695

2025

Targeting Melanin Heterogeneity in Metastatic Melanoma: A Dual-Tumour Mouse Melanoma Model.

Applications

Unspecified application

Species

Unspecified reactive species

Marine Delmas,Benjamin Chaussin,Nathan Harismendy,Aurore Dougé,Paul-Olivier Rouzaire,Christopher Montemagno,Jérôme Durivault,Emmanuel Moreau,Elisabeth Miot-Noirault,Mercedes Quintana,Sophie Besse,Michel D'Incan,Emmanuel Chautard,Elodie Jouberton,Jacques Rouanet

Antioxidants (Basel, Switzerland) 14: PubMed40722910

2025

The Antioxidant and Skin-Brightening Effects of a Novel Caffeic Acid Derivative, Caffeic Acid-3,4-Dihydroxyphenylpropanolester.

Applications

Unspecified application

Species

Unspecified reactive species

Kyu-Lim Kim,Ju-Hee Jeon,Yeonjoon Kim,Kyung-Min Lim

International journal of molecular medicine 55: PubMed39513603

2024

Giant , a novel cultivar rich in madecassoside and asiaticoside, suppresses α‑melanocyte‑stimulating hormone‑induced melanogenesis through MC1R binding.

Applications

Unspecified application

Species

Unspecified reactive species

Jiwon Seo,Chanhyeok Jeong,Seung Man Oh,Sung-Young Lee,Han Woong Park,Dae Bang Seo,Dae Sung Yoo,Woo-Jin Sim,Tae-Gyu Lim,Jung Han Yoon Park,Chang Hyung Lee,Ki Won Lee

Pigment cell & melanoma research 37:681-692 PubMed39169669

2024

Photobiomodulation Using 830 nm Lighting-Emitting Diode Inhibits Melanogenesis via FOXO3a in Human Melanocyte.

Applications

Unspecified application

Species

Unspecified reactive species

Yanjun Dan,Li Chen,Shanglin Jin,Xiaoxue Xing,Yijian Zhu,Min Jiang,Chengfeng Zhang,Leihong Flora Xiang

Experimental dermatology 33:e15101 PubMed38770555

2024

Fast freezing inhibits melanin synthesis of melanocytes by modulating the Wnt/β-catenin signalling pathway.

Applications

Unspecified application

Species

Unspecified reactive species

Siyun Wu,Xinyue Yuan,Zexin Tang,Kai Zang,Caibing Wang,Zhiyi Li,Huangde Li,Xiyun Ye,Yongyan Dang

Experimental dermatology 33:e15094 PubMed38742793

2024

Combining large-spot low-fluence 1064-nm and fractional 1064-nm picosecond lasers for promoting protective melanosome autophagy via the PI3K/Akt/mTOR signalling pathway for the treatment of melasma.

Applications

Unspecified application

Species

Unspecified reactive species

Jie Shen,JingJing Jin,JianHua Huang,Yu Guo,Qihong Qian

International journal of molecular sciences 25: PubMed38674064

2024

Comparative Analysis of Olive-Derived Phenolic Compounds' Pro-Melanogenesis Effects on B16F10 Cells and Epidermal Human Melanocytes.

Applications

Unspecified application

Species

Unspecified reactive species

Juhee Cho,Meriem Bejaoui,Kenichi Tominaga,Hiroko Isoda

Journal of cellular and molecular medicine 27:982-990 PubMed36924030

2023

Kaempferol promotes melanogenesis and reduces oxidative stress in PIG1 normal human skin melanocytes.

Applications

Unspecified application

Species

Unspecified reactive species

Yihui Xie,Xingyu Mei,Weimin Shi

Iranian journal of public health 51:2706-2716 PubMed36742227

2023

Peripheral Blood of Vitiligo Patients-Derived Exosomal MiR-21-5p Inhibits Melanocytes Melanogenesis via Targeting SATB1.

Applications

Unspecified application

Species

Unspecified reactive species

Change Zhang,Wu Guo,Sheng Wang,Yuzi Di,Dengting Wu

International journal of molecular sciences 23: PubMed36012314

2022

Aberrant Retinal Pigment Epithelial Cells Derived from Induced Pluripotent Stem Cells of a Retinitis Pigmentosa Patient with the PRPF6 Mutation.

Applications

Unspecified application

Species

Unspecified reactive species

Yuqin Liang,Feng Tan,Xihao Sun,Zekai Cui,Jianing Gu,Shengru Mao,Hon Fai Chan,Shibo Tang,Jiansu Chen
View all publications

Product promise

We are committed to supporting your work with high-quality reagents, and we're here for you every step of the way. In the unlikely event that one of our products does not perform as expected, you're protected by our Product Promise.
For full details, please see our Terms & Conditions

Please note: All products are 'FOR RESEARCH USE ONLY. NOT FOR USE IN DIAGNOSTIC OR THERAPEUTIC PROCEDURES'.

For licensing inquiries, please contact partnerships@abcam.com