JavaScript is disabled in your browser. Please enable JavaScript to view this website.
AB240163

Anti-Tyrosinase antibody [EPR10141] - BSA and Azide free

Be the first to review this product! Submit a review

|

(1 Publication)

Rabbit Recombinant Monoclonal Tyrosinase antibody. Carrier free. Suitable for IHC-P, WB and reacts with Human, Mouse samples. Cited in 1 publication.

View Alternative Names

Tyrosinase, LB24-AB, Monophenol monooxygenase, SK29-AB, Tumor rejection antigen AB, TYR

3 Images
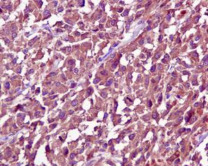
Immunohistochemistry (Formalin/PFA-fixed paraffin-embedded sections) - Anti-Tyrosinase antibody [EPR10141] - BSA and Azide free (AB240163)
  • IHC-P

Supplier Data

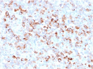
Immunohistochemistry (Formalin/PFA-fixed paraffin-embedded sections) - Anti-Tyrosinase antibody [EPR10141] - BSA and Azide free (AB240163)

Immunohistochemical analysis of paraffin-embedded Human melanoma tissue, labeling Tyrosinase using ab170905 at a 1/100 dilution.

This data was developed using the same antibody clone in a different buffer formulation containing PBS, BSA, glycerol, and sodium azide (ab170905).

Perform heat mediated antigen retrieval with citrate buffer pH 6 before commencing with IHC staining protocol.

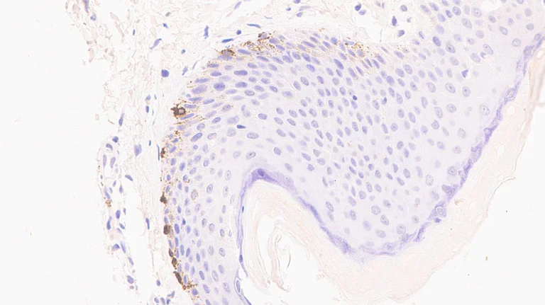
Immunohistochemistry (Formalin/PFA-fixed paraffin-embedded sections) - Anti-Tyrosinase antibody [EPR10141] - BSA and Azide free (AB240163)
  • IHC-P

Supplier Data

Immunohistochemistry (Formalin/PFA-fixed paraffin-embedded sections) - Anti-Tyrosinase antibody [EPR10141] - BSA and Azide free (AB240163)

Immunohistochemical analysis of paraffin-embedded human skin tissue labelling Tyrosinase with ab170905 at 1/500 (0.662 μg/ml) dilution followed by a ready to use LeicaDS9800 (Bond Polymer Refine Detection). Positive staining on human skin. The section was incubated with ab170905 for 30 mins at room temperature. The immunostaining was performed on a Leica Biosystems BOND® RX instrument. Counterstained with hematoxylin. Heat mediated antigen retrieval with Tris-EDTA buffer (pH 9.0, epitope retrieval solution2) for 20 mins. This data was developed using the same antibody clone in a different buffer formulation containing PBS, BSA, glycerol, and sodium azide (ab170905).

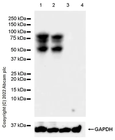
Western blot - Anti-Tyrosinase antibody [EPR10141] - BSA and Azide free (AB240163)
  • WB

Supplier Data

Western blot - Anti-Tyrosinase antibody [EPR10141] - BSA and Azide free (AB240163)

Blocking buffer and concentration : 5% NFDM/TBST Diluting buffer and concentration : 5% NFDM/TBST The expression profile observed is consistent with what has been described in the literature (PMID : 20053998; PMID : 24933607). Negative control : NIH/3T3, RAW264.7 whole cell lysates. This data was developed using the same antibody clone in a different buffer formulation containing PBS, BSA, glycerol, and sodium azide (ab170905).

All lanes:

Western blot - Anti-Tyrosinase antibody [EPR10141] (<a href='/en-us/products/primary-antibodies/tyrosinase-antibody-epr10141-ab170905'>ab170905</a>) at 1/1000 dilution

Lane 1:

B16-F0 (mouse melanoma epithelial-like cell), whole cell lysate at 20 µg

Lane 2:

B16-F10 (mouse melanoma epithelial-like cell), whole cell lysate at 20 µg

Lane 3:

NIH/3T3 (mouse embryonic fibroblast), whole cell lysate at 20 µg

Lane 4:

RAW264.7 (mouse Abelson murine leukemia virus-induced tumor macrophage), whole cell lysate at 20 µg

Secondary

All lanes:

Western blot - Goat Anti-Rabbit IgG H&L (HRP) (<a href='/en-us/products/secondary-antibodies/goat-rabbit-igg-h-l-hrp-ab97051'>ab97051</a>) at 1/100000 dilution

Predicted band size: 60 kDa

Observed band size: 50-80 kDa

false

Exposure time: 59s

Key facts

Host species

Rabbit

Clonality

Monoclonal

Clone number

EPR10141

Isotype

IgG

Carrier free

Yes

Reacts with

Mouse, Human

Applications

IHC-P, WB

applications

Immunogen

The exact immunogen used to generate this antibody is proprietary information.

Reactivity data

{ "title": "Reactivity Data", "filters": { "stats": ["", "Species", "Dilution Info", "Notes"], "tabs": { "all-applications": {"fullname" : "All Applications", "shortname": "All Applications"}, "IHCP" : {"fullname" : "Immunohistochemistry (Formalin/PFA-fixed paraffin-embedded sections)", "shortname":"IHC-P"}, "IP" : {"fullname" : "Immunoprecipitation", "shortname":"IP"}, "WB" : {"fullname" : "Western blot", "shortname":"WB"}, "ICCIF" : {"fullname" : "Immunocytochemistry/ Immunofluorescence", "shortname":"ICC/IF"}, "FlowCytIntra" : {"fullname" : "Flow Cytometry (Intracellular)", "shortname":"Flow Cyt (Intra)"} }, "product-promise": { "all": "all", "testedAndGuaranteed": "tested", "guaranteed": "expected", "predicted": "predicted", "notRecommended": "not-recommended" } }, "values": { "Human": { "IHCP-species-checked": "testedAndGuaranteed", "IHCP-species-dilution-info": "", "IHCP-species-notes": "<p></p>", "IP-species-checked": "notRecommended", "IP-species-dilution-info": "", "IP-species-notes": "<p></p>", "WB-species-checked": "testedAndGuaranteed", "WB-species-dilution-info": "", "WB-species-notes": "<p></p>", "ICCIF-species-checked": "notRecommended", "ICCIF-species-dilution-info": "", "ICCIF-species-notes": "<p></p>", "FlowCytIntra-species-checked": "notRecommended", "FlowCytIntra-species-dilution-info": "", "FlowCytIntra-species-notes": "<p></p>" }, "Mouse": { "IHCP-species-checked": "notRecommended", "IHCP-species-dilution-info": "", "IHCP-species-notes": "<p></p>", "IP-species-checked": "notRecommended", "IP-species-dilution-info": "", "IP-species-notes": "", "WB-species-checked": "testedAndGuaranteed", "WB-species-dilution-info": "", "WB-species-notes": "<p></p>", "ICCIF-species-checked": "notRecommended", "ICCIF-species-dilution-info": "", "ICCIF-species-notes": "", "FlowCytIntra-species-checked": "notRecommended", "FlowCytIntra-species-dilution-info": "", "FlowCytIntra-species-notes": "" } } }

Product details

ab240163 is the carrier-free version of ab170905.

Patented technology
Our RabMAb® technology is a patented hybridoma-based technology for making rabbit monoclonal antibodies. For details on our patents, please refer to RabMAb® patents.

What are the advantages of a recombinant monoclonal antibody?
This product is a recombinant monoclonal antibody, which offers several advantages including:

  • - High batch-to-batch consistency and reproducibility
  • - Improved sensitivity and specificity
  • - Long-term security of supply
  • - Animal-free batch production

For more information, read more on recombinant antibodies.

Conjugation ready
Our carrier-free antibodies are typically supplied in a PBS-only formulation, purified and free of BSA, sodium azide and glycerol. This conjugation-ready format is designed for use with fluorochromes, metal isotopes, oligonucleotides, and enzymes, which makes them ideal for antibody labelling, functional and cell-based assays, flow-based assays (e.g. mass cytometry) and Multiplex Imaging applications.

Use our conjugation kits for antibody conjugates that are ready-to-use in as little as 20 minutes with 1 minute hands-on-time and 100% antibody recovery: available for fluorescent dyes, HRP, biotin and gold.

Compatibility
This product is compatible with the Maxpar® Antibody Labeling Kit from Fluidigm, without the need for antibody preparation. Maxpar® is a trademark of Fluidigm Canada Inc.

Properties and storage information

Form
Liquid
Purification technique
Affinity purification Protein A
Storage buffer
pH: 7.2 - 7.4 Constituents: PBS
Shipped at conditions
Blue Ice
Appropriate short-term storage conditions
+4°C
Appropriate long-term storage conditions
+4°C
Storage information
Do Not Freeze

Supplementary information

This supplementary information is collated from multiple sources and compiled automatically.

Tyrosinase also known as monophenol monooxygenase is a copper-containing enzyme with a mass of approximately 60-70 kDa. It catalyzes the oxidation of phenols such as tyrosine to quinones which are important precursors for melanin synthesis. Tyrosinase is predominantly expressed in melanocytes the cells responsible for pigment production in skin hair and eyes. Its expression also occurs in other tissues like the brain where it might play different roles.
Biological function summary

Within melanin production tyrosinase functions as the rate-limiting enzyme initiating the synthesis path by converting tyrosine into dopaquinone. This enzyme works as part of the melanogenic complex interacting with other enzymes such as tyrosinase-related proteins 1 and 2 to regulate melanin synthesis. The presence and activity of tyrosinase significantly impacts pigmentation processes and skin coloration.

Pathways

Relating tyrosinase to melanin biosynthetic and regulatory pathways reveal its central role. The enzyme is vital in the Raper-Mason pathway for melanin production where it interacts with proteins such as dopachrome tautomerase. It bridges the gap between external stimuli like UV radiation and cellular responses transforming them into pigmentation changes. The L-tyrosine and catecholamine biosynthesis pathways also influence tyrosinase activity linking it to broader metabolic processes.

Issues with tyrosinase can lead to conditions like albinism and melanoma. In oculocutaneous albinism type 1 (OCA1) a genetic mutation in the tyrosinase gene results in reduced or absent enzymatic activity causing hypopigmentation. In melanoma abnormal regulation of tyrosinase and its pathway associates with tumor progression and metastasis often in connection with factors such as microphthalmia-associated transcription factor (MITF) that modulate its expression.

Product protocols

For this product, it's our understanding that no specific protocols are required. You can visit:

Target data

This is a copper-containing oxidase that functions in the formation of pigments such as melanins and other polyphenolic compounds. Catalyzes the initial and rate limiting step in the cascade of reactions leading to melanin production from tyrosine (By similarity). In addition to hydroxylating tyrosine to DOPA (3,4-dihydroxyphenylalanine), also catalyzes the oxidation of DOPA to DOPA-quinone, and possibly the oxidation of DHI (5,6-dihydroxyindole) to indole-5,6 quinone (PubMed : 28661582).
See full target information Tyrosinase

Publications (1)

Recent publications for all applications. Explore the full list and refine your search

Journal of traditional Chinese medicine = Chung i tsa chih ying wen pan 43:494-500 PubMed37147750

2023

Electroacupuncture alleviates water avoidance stress-induced irritable bowel syndrome in mice by improving intestinal barrier functions and suppressing the expression of inflammatory cytokines.

Applications

Unspecified application

Species

Unspecified reactive species

Sun Mengzhu,Zhang Yujie,Song Yafang,Guo Jing,Wang Yuhang,Xin Chen,G U Dongmei,Sun Jianhua,Pei Lixia
View all publications

Product promise

We are committed to supporting your work with high-quality reagents, and we're here for you every step of the way. In the unlikely event that one of our products does not perform as expected, you're protected by our Product Promise.
For full details, please see our Terms & Conditions

Please note: All products are 'FOR RESEARCH USE ONLY. NOT FOR USE IN DIAGNOSTIC OR THERAPEUTIC PROCEDURES'.

For licensing inquiries, please contact partnerships@abcam.com