JavaScript is disabled in your browser. Please enable JavaScript to view this website.
AB216023

Anti-Tyrosinase antibody [OCA1/812]

Be the first to review this product! Submit a review

|

(1 Publication)

Mouse Monoclonal Tyrosinase antibody. Suitable for IHC-P and reacts with Human samples. Cited in 1 publication. Immunogen corresponding to Recombinant Full Length Protein corresponding to Human Tyrosinase.

View Alternative Names

Tyrosinase, LB24-AB, Monophenol monooxygenase, SK29-AB, Tumor rejection antigen AB, TYR

1 Images
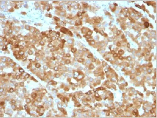
Immunohistochemistry (Formalin/PFA-fixed paraffin-embedded sections) - Anti-Tyrosinase antibody [OCA1/812] (AB216023)
  • IHC-P

Supplier Data

Immunohistochemistry (Formalin/PFA-fixed paraffin-embedded sections) - Anti-Tyrosinase antibody [OCA1/812] (AB216023)

Immunohistochemical analysis of formalin-fixed and paraffin-embedded Human melanoma tissue labeling Tyrosinase with ab216023 at 1 μg/ml dilution.

Key facts

Host species

Mouse

Clonality

Monoclonal

Clone number

OCA1/812

Isotype

IgG2a

Light chain type

kappa

Carrier free

No

Reacts with

Human

Applications

IHC-P

applications

Immunogen

Recombinant Full Length Protein corresponding to Human Tyrosinase.

P14679

Reactivity data

{ "title": "Reactivity Data", "filters": { "stats": ["", "Species", "Dilution Info", "Notes"], "tabs": { "all-applications": {"fullname" : "All Applications", "shortname": "All Applications"}, "IHCP" : {"fullname" : "Immunohistochemistry (Formalin/PFA-fixed paraffin-embedded sections)", "shortname":"IHC-P"} }, "product-promise": { "all": "all", "testedAndGuaranteed": "tested", "guaranteed": "expected", "predicted": "predicted", "notRecommended": "not-recommended" } }, "values": { "Human": { "IHCP-species-checked": "testedAndGuaranteed", "IHCP-species-dilution-info": "0.5-1 µg/mL", "IHCP-species-notes": "<p></p>" }, "Gorilla": { "IHCP-species-checked": "predicted", "IHCP-species-dilution-info": "", "IHCP-species-notes": "" } } }

Properties and storage information

Form
Liquid
Purification technique
Affinity purification Protein A
Storage buffer
pH: 7.2 - 7.4 Preservative: 0.05% Sodium azide Constituents: PBS, 0.05% BSA
Shipped at conditions
Blue Ice
Appropriate short-term storage duration
1-2 weeks
Appropriate short-term storage conditions
+4°C
Appropriate long-term storage conditions
-20°C
Aliquoting information
Upon delivery aliquot
Storage information
Avoid freeze / thaw cycle

Supplementary information

This supplementary information is collated from multiple sources and compiled automatically.

Tyrosinase also known as monophenol monooxygenase is a copper-containing enzyme with a mass of approximately 60-70 kDa. It catalyzes the oxidation of phenols such as tyrosine to quinones which are important precursors for melanin synthesis. Tyrosinase is predominantly expressed in melanocytes the cells responsible for pigment production in skin hair and eyes. Its expression also occurs in other tissues like the brain where it might play different roles.
Biological function summary

Within melanin production tyrosinase functions as the rate-limiting enzyme initiating the synthesis path by converting tyrosine into dopaquinone. This enzyme works as part of the melanogenic complex interacting with other enzymes such as tyrosinase-related proteins 1 and 2 to regulate melanin synthesis. The presence and activity of tyrosinase significantly impacts pigmentation processes and skin coloration.

Pathways

Relating tyrosinase to melanin biosynthetic and regulatory pathways reveal its central role. The enzyme is vital in the Raper-Mason pathway for melanin production where it interacts with proteins such as dopachrome tautomerase. It bridges the gap between external stimuli like UV radiation and cellular responses transforming them into pigmentation changes. The L-tyrosine and catecholamine biosynthesis pathways also influence tyrosinase activity linking it to broader metabolic processes.

Issues with tyrosinase can lead to conditions like albinism and melanoma. In oculocutaneous albinism type 1 (OCA1) a genetic mutation in the tyrosinase gene results in reduced or absent enzymatic activity causing hypopigmentation. In melanoma abnormal regulation of tyrosinase and its pathway associates with tumor progression and metastasis often in connection with factors such as microphthalmia-associated transcription factor (MITF) that modulate its expression.

Product protocols

For this product, it's our understanding that no specific protocols are required. You can visit:

Target data

This is a copper-containing oxidase that functions in the formation of pigments such as melanins and other polyphenolic compounds. Catalyzes the initial and rate limiting step in the cascade of reactions leading to melanin production from tyrosine (By similarity). In addition to hydroxylating tyrosine to DOPA (3,4-dihydroxyphenylalanine), also catalyzes the oxidation of DOPA to DOPA-quinone, and possibly the oxidation of DHI (5,6-dihydroxyindole) to indole-5,6 quinone (PubMed : 28661582).
See full target information Tyrosinase

Publications (1)

Recent publications for all applications. Explore the full list and refine your search

Oncotarget 8:76189-76203 PubMed29100303

2017

KRT8 upregulation promotes tumor metastasis and is predictive of a poor prognosis in clear cell renal cell carcinoma.

Applications

Unspecified application

Species

Unspecified reactive species

Hai-Song Tan,Wei-Hua Jiang,Yi He,De-Sheng Wang,Zhen-Jie Wu,Deng-Shuang Wu,Li Gao,Yi Bao,Jia-Zi Shi,Bing Liu,Li-Jun Ma,Lin-Hui Wang
View all publications

Product promise

We are committed to supporting your work with high-quality reagents, and we're here for you every step of the way. In the unlikely event that one of our products does not perform as expected, you're protected by our Product Promise.
For full details, please see our Terms & Conditions

Please note: All products are 'FOR RESEARCH USE ONLY. NOT FOR USE IN DIAGNOSTIC OR THERAPEUTIC PROCEDURES'.

For licensing inquiries, please contact partnerships@abcam.com