JavaScript is disabled in your browser. Please enable JavaScript to view this website.
AB220218

Anti-Tyrosine Hydroxylase antibody [EP1532Y] - BSA and Azide free

Be the first to review this product! Submit a review

|

(2 Publications)

Rabbit Recombinant Monoclonal Tyrosine Hydroxylase antibody. Carrier free. Suitable for IHC-P, WB, ICC/IF and reacts with Human, Mouse, Rat samples. Cited in 2 publications.

View Alternative Names

TYH, TH, Tyrosine 3-monooxygenase, Tyrosine 3-hydroxylase

7 Images
Immunohistochemistry (Formalin/PFA-fixed paraffin-embedded sections) - Anti-Tyrosine Hydroxylase antibody [EP1532Y] - BSA and Azide free (AB220218)
  • IHC-P

AbReview39087****

Immunohistochemistry (Formalin/PFA-fixed paraffin-embedded sections) - Anti-Tyrosine Hydroxylase antibody [EP1532Y] - BSA and Azide free (AB220218)

ab137869 staining Tyrosine Hydroxylase in rat brain tissue sections by Immunohistochemistry (Formalin/PFA-fixed paraffin-embedded sections). Tissue was fixed with formaldehyde and a heat mediated antigen retrieval step was performed using citrate buffer. Samples were then blocked with 1% B.S.A. for 10 minutes at 21ºC followed by incubation with the primary antibody for 2 hours at 1/1000. A biotin-conjugated goat anti-rabbit polyclonal was used as secondary antibody at a 1/250 dilution.

This data was developed using the same antibody clone in a different buffer formulation containing PBS, BSA, glycerol, and sodium azide (ab137869).

Image courtesy of Carl Hobbs, Kings College London, U.K.

Immunohistochemistry (Formalin/PFA-fixed paraffin-embedded sections) - Anti-Tyrosine Hydroxylase antibody [EP1532Y] - BSA and Azide free (AB220218)
  • IHC-P

Lab

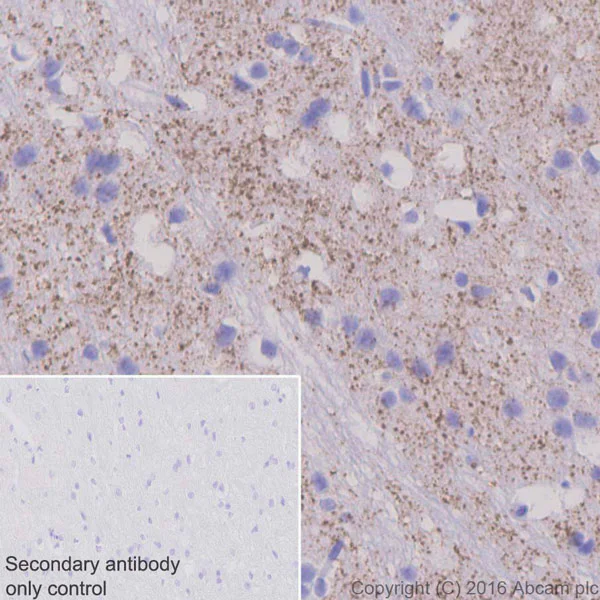
Immunohistochemistry (Formalin/PFA-fixed paraffin-embedded sections) - Anti-Tyrosine Hydroxylase antibody [EP1532Y] - BSA and Azide free (AB220218)

This data was developed using the same antibody clone in a different buffer formulation (ab137869).

Immunohistochemical analysis of formalin fixed paraffin embedded human cortex labelling Tyrosine Hydroxylase with ab137869 at a concentration of 0.2 µg/ml. The immunostaining was performed on a Ventana DISCOVERY ULTRA (Roche Tissue Diagnostics) instrument with a OptiView DAB IHC Detection Kit. Heat mediated antigen retrieval was performed with DISCOVERY cell conditioning solution (CC1) 100°C, pH8.5 for 32mins.

ab137869 anti-Tyrosine Hydroxylase [EP1532Y] was incubated for 16mins at 37°C. Sections were counterstained with Hematoxylin II. Image inset shows absence of staining in secondary antibody only control.

Customers are encouraged to optimise antigen retrieval conditions, antibody concentration, incubation times and temperature for best results in their own IHC assay workflow (automated and manual)

Immunohistochemistry (Formalin/PFA-fixed paraffin-embedded sections) - Anti-Tyrosine Hydroxylase antibody [EP1532Y] - BSA and Azide free (AB220218)
  • IHC-P

Lab

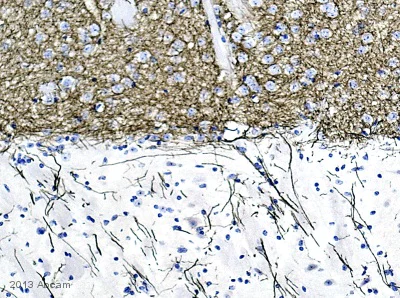
Immunohistochemistry (Formalin/PFA-fixed paraffin-embedded sections) - Anti-Tyrosine Hydroxylase antibody [EP1532Y] - BSA and Azide free (AB220218)

Immunohistochemistry (Formalin/PFA-fixed paraffin-embedded sections) analysis of Mouse cerebral cortex tissue sections labeling Tyrosine Hydroxylase with Purified ab137869 at 1 : 500 dilution (1.1 μg/ml). Heat mediated antigen retrieval was performed using Perform heat mediated antigen retrieval using citrate Buffer, PH6. Tissue was counterstained with Hematoxylin. ab97051 Goat Anti-Rabbit IgG H&L (HRP) secondary antibody was used at 1 : 500 dilution. PBS instead of the primary antibody was used as the negative control.

This data was developed using the same antibody clone in a different buffer formulation containing PBS, BSA, glycerol, and sodium azide (ab137869).

Immunohistochemistry (Formalin/PFA-fixed paraffin-embedded sections) - Anti-Tyrosine Hydroxylase antibody [EP1532Y] - BSA and Azide free (AB220218)
  • IHC-P

Collaborator

Immunohistochemistry (Formalin/PFA-fixed paraffin-embedded sections) - Anti-Tyrosine Hydroxylase antibody [EP1532Y] - BSA and Azide free (AB220218)

ab137869 staining Tyrosine Hydroxylase in mouse brain tissue sections by Immunohistochemistry (Formalin/PFA-fixed paraffin-embedded sections). Tissue was fixed with formaldehyde and a heat mediated antigen retrieval step was performed using citrate buffer. Samples were then blocked with 1% B.S.A. for 10 minutes at 21ºC followed by incubation with the primary antibody for 2 hours at 1/800. A biotin-conjugated goat anti-rabbit polyclonal was used as secondary antibody at a 1/250 dilution.

This data was developed using the same antibody clone in a different buffer formulation containing PBS, BSA, glycerol, and sodium azide (ab137869).

Image courtesy of Carl Hobbs, Kings College London, U.K.

Immunohistochemistry (Formalin/PFA-fixed paraffin-embedded sections) - Anti-Tyrosine Hydroxylase antibody [EP1532Y] - BSA and Azide free (AB220218)
  • IHC-P

Lab

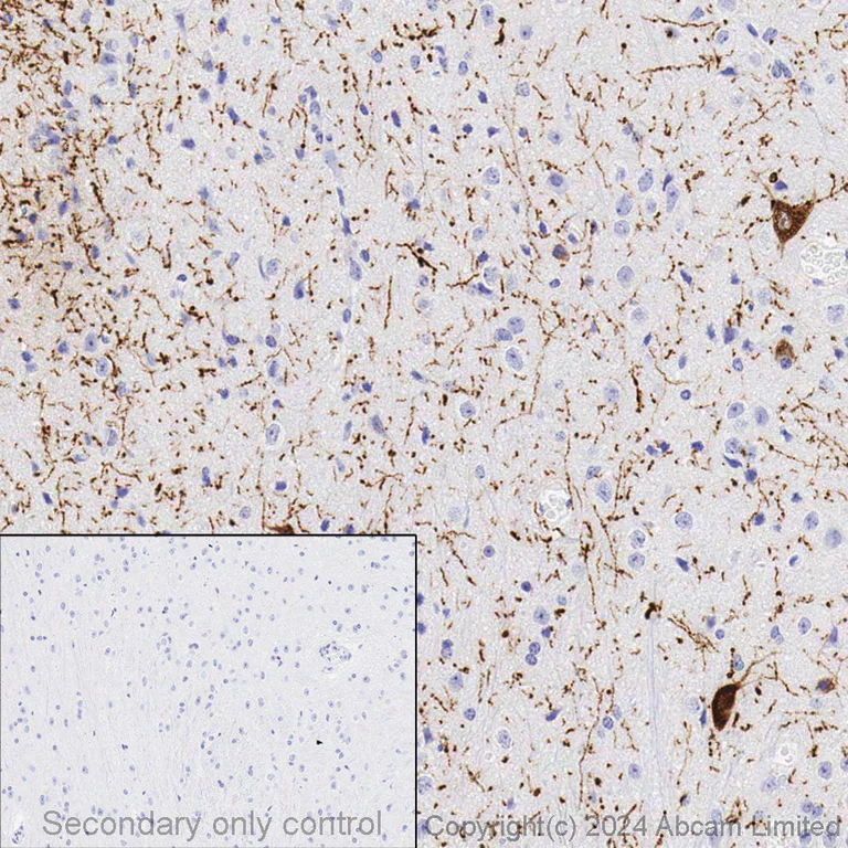
Immunohistochemistry (Formalin/PFA-fixed paraffin-embedded sections) - Anti-Tyrosine Hydroxylase antibody [EP1532Y] - BSA and Azide free (AB220218)

This data was developed using the same antibody clone in a different buffer formulation (ab137869).

Immunohistochemical analysis of formalin fixed paraffin embedded mouse brain labelling Tyrosine Hydroxylase antibody with ab137869 at a concentration of 0.1µg/ml. The immunostaining was performed on a Ventana DISCOVERY ULTRA (Roche Tissue Diagnostics) instrument with anti-rabbit HQ, anti-HQ HRP followed by ChromoMap DAB IHC Detection Kit. Heat mediated antigen retrieval was performed with DISCOVERY cell conditioning solution (CC1) 100°C, pH8.5 for 32mins.

ab137869 anti-Tyrosine Hydroxylase antibody [EP1532Y] was incubated for 16mins at 37°C. Sections were counterstained with Hematoxylin II. Image inset shows absence of staining in secondary antibody only control.

Customers are encouraged to optimise antigen retrieval conditions, antibody concentration, incubation times and temperature for best results in their own IHC assay workflow (automated and manual)

Immunocytochemistry/ Immunofluorescence - Anti-Tyrosine Hydroxylase antibody [EP1532Y] - BSA and Azide free (AB220218)
  • ICC/IF

Lab

Immunocytochemistry/ Immunofluorescence - Anti-Tyrosine Hydroxylase antibody [EP1532Y] - BSA and Azide free (AB220218)

Immunocytochemistry/ Immunofluorescence analysis of C6 (Rat glial tumor cell line) cells labeling Tyrosine Hydroxylase with Purified ab137869 at 1 : 100 dilution (5.6μg/ml). Cells were fixed in 4% Paraformaldehyde and permeabilized with 0.1% tritonX-100. Cells were counterstained with ab195889 Anti-alpha Tubulin antibody [DM1A] - Microtubule Marker (Alexa Fluor® 594) 1 : 200 (2.5 μg/ml). ab150077 Goat anti rabbit IgG(Alexa Fluor® 488) was used as the secondary antibody at 1 : 1000 dilution. DAPI nuclear counterstain. PBS instead of the primary antibody was used as the secondary antibody only control.

This data was developed using the same antibody clone in a different buffer formulation containing PBS, BSA, glycerol, and sodium azide (ab137869).

Immunohistochemistry (Formalin/PFA-fixed paraffin-embedded sections) - Anti-Tyrosine Hydroxylase antibody [EP1532Y] - BSA and Azide free (AB220218)
  • IHC-P

Lab

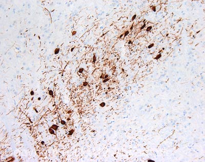
Immunohistochemistry (Formalin/PFA-fixed paraffin-embedded sections) - Anti-Tyrosine Hydroxylase antibody [EP1532Y] - BSA and Azide free (AB220218)

Immunohistochemistry (Formalin/PFA-fixed paraffin-embedded sections) analysis of Rat cerebral cortex tissue sections labeling Tyrosine Hydroxylase with Purified ab137869 at 1 : 500 dilution (1.1 μg/ml). Heat mediated antigen retrieval was performed using Perform heat mediated antigen retrieval using citrate Buffer, PH6. Tissue was counterstained with Hematoxylin. ab97051 Goat Anti-Rabbit IgG H&L (HRP) secondary antibody was used at 1 : 500 dilution. PBS instead of the primary antibody was used as the negative control.

This data was developed using the same antibody clone in a different buffer formulation containing PBS, BSA, glycerol, and sodium azide (ab137869).

  • Unconjugated

    Anti-Tyrosine Hydroxylase antibody [EP1532Y] - Neuronal Marker

  • 665 Alexa Fluor® 647

    Alexa Fluor® 647 Anti-Tyrosine Hydroxylase antibody [EP1532Y] - Neuronal Marker

  • Carrier free

    Anti-Tyrosine Hydroxylase antibody [EP1532Y] – Goat IgG (Chimeric) – BSA and Azide Free

  • Carrier free

    Anti-Tyrosine Hydroxylase antibody [EP1532Y] – Mouse IgG1 (Chimeric) – BSA and Azide Free

  • Carrier free

    Anti-Tyrosine Hydroxylase antibody [EP1532Y] – Chicken IgY (Chimeric) – BSA and Azide Free

  • 775 Alexa Fluor® 750

    Alexa Fluor® 750 Anti-Tyrosine Hydroxylase antibody [EP1532Y] - Neuronal Marker

  • HRP

    HRP Anti-Tyrosine Hydroxylase antibody [EP1532Y] - Neuronal Marker

  • 519 Alexa Fluor® 488

    Alexa Fluor® 488 Anti-Tyrosine Hydroxylase antibody [EP1532Y] - Neuronal Marker

  • 603 Alexa Fluor® 568

    Alexa Fluor® 568 Anti-Tyrosine Hydroxylase antibody [EP1532Y] - Neuronal Marker

  • 565 Alexa Fluor® 555

    Alexa Fluor® 555 Anti-Tyrosine Hydroxylase antibody [EP1532Y] - Neuronal Marker

  • 660 APC

    APC Anti-Tyrosine Hydroxylase antibody [EP1532Y] - Neuronal Marker

  • 578 PE

    PE Anti-Tyrosine Hydroxylase antibody [EP1532Y] - Neuronal Marker

  • 617 Alexa Fluor® 594

    Alexa Fluor® 594 Anti-Tyrosine Hydroxylase antibody [EP1532Y] - Neuronal Marker

Key facts

Host species

Rabbit

Clonality

Monoclonal

Clone number

EP1532Y

Isotype

IgG

Carrier free

Yes

Reacts with

Mouse, Rat, Human

Applications

WB, IHC-P, ICC/IF

applications

Immunogen

The exact immunogen used to generate this antibody is proprietary information.

Reactivity data

{ "title": "Reactivity Data", "filters": { "stats": ["", "Species", "Dilution Info", "Notes"], "tabs": { "all-applications": {"fullname" : "All Applications", "shortname": "All Applications"}, "IHCP" : {"fullname" : "Immunohistochemistry (Formalin/PFA-fixed paraffin-embedded sections)", "shortname":"IHC-P"}, "WB" : {"fullname" : "Western blot", "shortname":"WB"}, "ICCIF" : {"fullname" : "Immunocytochemistry/ Immunofluorescence", "shortname":"ICC/IF"}, "FlowCytIntra" : {"fullname" : "Flow Cytometry (Intracellular)", "shortname":"Flow Cyt (Intra)"} }, "product-promise": { "all": "all", "testedAndGuaranteed": "tested", "guaranteed": "expected", "predicted": "predicted", "notRecommended": "not-recommended" } }, "values": { "Human": { "IHCP-species-checked": "testedAndGuaranteed", "IHCP-species-dilution-info": "", "IHCP-species-notes": "<p></p>", "WB-species-checked": "guaranteed", "WB-species-dilution-info": "", "WB-species-notes": "<p></p>", "ICCIF-species-checked": "guaranteed", "ICCIF-species-dilution-info": "", "ICCIF-species-notes": "", "FlowCytIntra-species-checked": "notRecommended", "FlowCytIntra-species-dilution-info": "", "FlowCytIntra-species-notes": "<p><a href='/en-us/products/primary-antibodies/rabbit-igg-monoclonal-epr25a-isotype-control-low-endotoxin-azide-free-ab199376'>ab199376</a> - Rabbit monoclonal IgG, is suitable for use as an isotype control with this antibody.</p>" }, "Mouse": { "IHCP-species-checked": "testedAndGuaranteed", "IHCP-species-dilution-info": "", "IHCP-species-notes": "<p></p>", "WB-species-checked": "guaranteed", "WB-species-dilution-info": "", "WB-species-notes": "<p></p>", "ICCIF-species-checked": "guaranteed", "ICCIF-species-dilution-info": "", "ICCIF-species-notes": "", "FlowCytIntra-species-checked": "notRecommended", "FlowCytIntra-species-dilution-info": "", "FlowCytIntra-species-notes": "" }, "Rat": { "IHCP-species-checked": "guaranteed", "IHCP-species-dilution-info": "", "IHCP-species-notes": "", "WB-species-checked": "guaranteed", "WB-species-dilution-info": "", "WB-species-notes": "<p></p>", "ICCIF-species-checked": "testedAndGuaranteed", "ICCIF-species-dilution-info": "", "ICCIF-species-notes": "<p></p>", "FlowCytIntra-species-checked": "notRecommended", "FlowCytIntra-species-dilution-info": "", "FlowCytIntra-species-notes": "" }, "Pig": { "IHCP-species-checked": "predicted", "IHCP-species-dilution-info": "", "IHCP-species-notes": "", "WB-species-checked": "predicted", "WB-species-dilution-info": "", "WB-species-notes": "", "ICCIF-species-checked": "predicted", "ICCIF-species-dilution-info": "", "ICCIF-species-notes": "", "FlowCytIntra-species-checked": "notRecommended", "FlowCytIntra-species-dilution-info": "", "FlowCytIntra-species-notes": "" } } }

Product details

ab220218 is the carrier-free version of ab137869.

Patented technology
Our RabMAb® technology is a patented hybridoma-based technology for making rabbit monoclonal antibodies. For details on our patents, please refer to RabMAb® patents.

What are the advantages of a recombinant monoclonal antibody?
This product is a recombinant monoclonal antibody, which offers several advantages including:

  • - High batch-to-batch consistency and reproducibility
  • - Improved sensitivity and specificity
  • - Long-term security of supply
  • - Animal-free batch production

For more information, read more on recombinant antibodies.

Conjugation ready
Our carrier-free antibodies are typically supplied in a PBS-only formulation, purified and free of BSA, sodium azide and glycerol. This conjugation-ready format is designed for use with fluorochromes, metal isotopes, oligonucleotides, and enzymes, which makes them ideal for antibody labelling, functional and cell-based assays, flow-based assays (e.g. mass cytometry) and Multiplex Imaging applications.

Use our conjugation kits for antibody conjugates that are ready-to-use in as little as 20 minutes with 1 minute hands-on-time and 100% antibody recovery: available for fluorescent dyes, HRP, biotin and gold.

Compatibility
This product is compatible with the Maxpar® Antibody Labeling Kit from Fluidigm, without the need for antibody preparation. Maxpar® is a trademark of Fluidigm Canada Inc.

Properties and storage information

Form
Liquid
Purification technique
Affinity purification Protein A
Storage buffer
pH: 7.2 - 7.4 Constituents: PBS
Shipped at conditions
Blue Ice
Appropriate short-term storage conditions
+4°C
Appropriate long-term storage conditions
+4°C
Storage information
Do Not Freeze

Supplementary information

This supplementary information is collated from multiple sources and compiled automatically.

Tyrosine hydroxylase also known as TH is an enzyme that catalyzes the conversion of L-tyrosine to L-DOPA. It weighs approximately 60 kDa. You can find this enzyme expressed mainly in the brain adrenal glands and some peripheral tissues. Commonly studied antibodies include anti-tyrosine hydroxylase or anti-TH. It plays a significant role in the catecholamine biosynthesis pathway serving as the rate-limiting step in dopamine synthesis.
Biological function summary

Tyrosine hydroxylase is essential for synthesizing catecholamines including dopamine norepinephrine and epinephrine. This enzyme associates with other components in the catecholamine biosynthetic pathway. It functions as part of a larger complex within certain cells where its action determines levels of important neurotransmitters. These neurotransmitters help regulate numerous central and peripheral nervous system activities.

Pathways

Tyrosine hydroxylase acts as a critical component in both the dopaminergic and adrenergic pathways. In the dopaminergic pathway tyrosine hydroxylase facilitates dopamine production influencing various physiological processes. The enzyme also correlates with ardrd protein in these pathways allowing fine-tuned control of neurotransmitter synthesis. Proteins related to tyrosine hydroxylase in these pathways include aromatic L-amino acid decarboxylase which further processes L-DOPA into dopamine.

Tyrosine hydroxylase has connections with neurodegenerative diseases like Parkinson's disease and conditions such as dystonia. Dysfunctional expression or activity of this enzyme can lead to dopamine deficiency contributing to the motor symptoms in Parkinson's disease. In dystonia alterations in tyrosine hydroxylase activity affect neurotransmitter balance influencing muscle coordination. The relationship with ardrd protein highlights tyrosine hydroxylase's role in maintaining neural health and it highlights potential areas for therapeutic intervention.

Product protocols

For this product, it's our understanding that no specific protocols are required. You can visit:

Target data

Catalyzes the conversion of L-tyrosine to L-dihydroxyphenylalanine (L-Dopa), the rate-limiting step in the biosynthesis of cathecolamines, dopamine, noradrenaline, and adrenaline. Uses tetrahydrobiopterin and molecular oxygen to convert tyrosine to L-Dopa (PubMed : 15287903, PubMed : 1680128, PubMed : 17391063, PubMed : 24753243, PubMed : 34922205, PubMed : 8528210, Ref.18). In addition to tyrosine, is able to catalyze the hydroxylation of phenylalanine and tryptophan with lower specificity (By similarity). Positively regulates the regression of retinal hyaloid vessels during postnatal development (By similarity).. Isoform 5. Lacks catalytic activity.. Isoform 6. Lacks catalytic activity.
See full target information TH

Publications (2)

Recent publications for all applications. Explore the full list and refine your search

Sichuan da xue xue bao. Yi xue ban = Journal of Sichuan University. Medical science edition 53:77-82 PubMed35048604

2022

[Obesity Combined with Chronic Restraint Stress-Induced Hypertension in Mice Is Associated with the Damage of Noradrenergic Neurons in Nucleus Tractus Solitarii].

Applications

Unspecified application

Species

Unspecified reactive species

Sen-Jia Wang,Xiang Zheng,Wen-Jie Bi,Xue Zhou

Brain : a journal of neurology 137:3235-47 PubMed25351739

2014

Augmentation of phenotype in a transgenic Parkinson mouse heterozygous for a Gaucher mutation.

Applications

Unspecified application

Species

Unspecified reactive species

Ianai Fishbein,Yien-Ming Kuo,Benoit I Giasson,Robert L Nussbaum
View all publications

Product promise

We are committed to supporting your work with high-quality reagents, and we're here for you every step of the way. In the unlikely event that one of our products does not perform as expected, you're protected by our Product Promise.
For full details, please see our Terms & Conditions

Please note: All products are 'FOR RESEARCH USE ONLY. NOT FOR USE IN DIAGNOSTIC OR THERAPEUTIC PROCEDURES'.

For licensing inquiries, please contact partnerships@abcam.com