JavaScript is disabled in your browser. Please enable JavaScript to view this website.
AB137869

Anti-Tyrosine Hydroxylase antibody [EP1532Y] - Neuronal Marker

  • RabMAb
  • Recombinant
  • Lab Essentials
  • 20ul selling size
  • What is this?

5

(9 Reviews)

|

(138 Publications)

Anti-Tyrosine Hydroxylase antibody [EP1532Y] - Neuronal Marker (ab137869) is a rabbit monoclonal antibody detecting Tyrosine Hydroxylase in Western Blot, IHC-P, ICC/IF. Suitable for Human, Mouse, Rat.

- Biophysical QC for unrivalled batch-batch consistency
- Over 60 publications

View Alternative Names

TYH, TH, Tyrosine 3-monooxygenase, Tyrosine 3-hydroxylase

13 Images
Immunohistochemistry (Formalin/PFA-fixed paraffin-embedded sections) - Anti-Tyrosine Hydroxylase antibody [EP1532Y] - Neuronal Marker (AB137869)
  • IHC-P

Collaborator

Immunohistochemistry (Formalin/PFA-fixed paraffin-embedded sections) - Anti-Tyrosine Hydroxylase antibody [EP1532Y] - Neuronal Marker (AB137869)

ab137869 staining Tyrosine Hydroxylase in mouse brain tissue sections by Immunohistochemistry (Formalin/PFA-fixed paraffin-embedded sections). Tissue was fixed with formaldehyde and a heat mediated antigen retrieval step was performed using citrate buffer. Samples were then blocked with 1% B.S.A. for 10 minutes at 21°C followed by incubation with the primary antibody for 2 hours at 1/800. A biotin-conjugated goat anti-rabbit polyclonal was used as secondary antibody at a 1/250 dilution.

Image courtesy of Carl Hobbs, Kings College London, U.K.

Immunohistochemistry (Formalin/PFA-fixed paraffin-embedded sections) - Anti-Tyrosine Hydroxylase antibody [EP1532Y] - Neuronal Marker (AB137869)
  • IHC-P

AbReview39087****

Immunohistochemistry (Formalin/PFA-fixed paraffin-embedded sections) - Anti-Tyrosine Hydroxylase antibody [EP1532Y] - Neuronal Marker (AB137869)

ab137869 staining Tyrosine Hydroxylase in rat brain tissue sections by Immunohistochemistry (Formalin/PFA-fixed paraffin-embedded sections). Tissue was fixed with formaldehyde and a heat mediated antigen retrieval step was performed using citrate buffer. Samples were then blocked with 1% B.S.A. for 10 minutes at 21°C followed by incubation with the primary antibody for 2 hours at 1/1000. A biotin-conjugated goat anti-rabbit polyclonal was used as secondary antibody at a 1/250 dilution.

Image courtesy of Carl Hobbs, Kings College London, U.K.

Immunohistochemistry (Formalin/PFA-fixed paraffin-embedded sections) - Anti-Tyrosine Hydroxylase antibody [EP1532Y] - Neuronal Marker (AB137869)
  • IHC-P

Lab

Immunohistochemistry (Formalin/PFA-fixed paraffin-embedded sections) - Anti-Tyrosine Hydroxylase antibody [EP1532Y] - Neuronal Marker (AB137869)

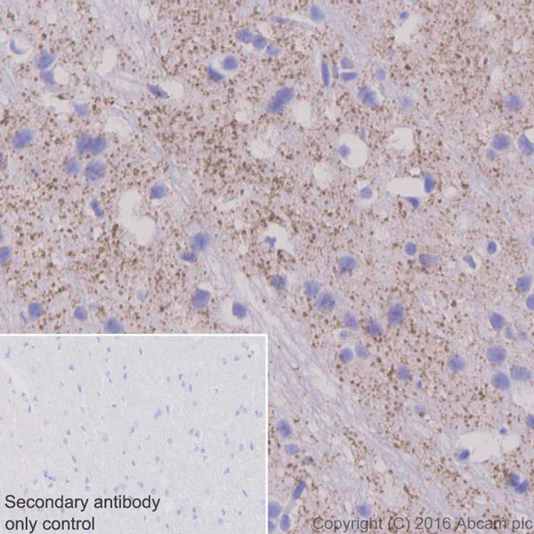
Immunohistochemical analysis of formalin fixed paraffin embedded human cortex labelling Tyrosine Hydroxylase with ab137869 at a concentration of 0.2 µg/ml. The immunostaining was performed on a Ventana DISCOVERY ULTRA (Roche Tissue Diagnostics) instrument with a OptiView DAB IHC Detection Kit. Heat mediated antigen retrieval was performed with DISCOVERY cell conditioning solution (CC1) 100°C, pH8.5 for 32mins.

ab137869 anti-Tyrosine Hydroxylase [EP1532Y] was incubated for 16mins at 37°C. Sections were counterstained with Hematoxylin II. Image inset shows absence of staining in secondary antibody only control.

Customers are encouraged to optimise antigen retrieval conditions, antibody concentration, incubation times and temperature for best results in their own IHC assay workflow (automated and manual)

Immunohistochemistry (Formalin/PFA-fixed paraffin-embedded sections) - Anti-Tyrosine Hydroxylase antibody [EP1532Y] - Neuronal Marker (AB137869)
  • IHC-P

Lab

Immunohistochemistry (Formalin/PFA-fixed paraffin-embedded sections) - Anti-Tyrosine Hydroxylase antibody [EP1532Y] - Neuronal Marker (AB137869)

Immunohistochemistry (Formalin/PFA-fixed paraffin-embedded sections) analysis of Mouse cerebral cortex tissue sections labeling Tyrosine Hydroxylase with Purified ab137869 at 1 : 500 dilution (1.1 μg/ml). Heat mediated antigen retrieval was performed using Perform heat mediated antigen retrieval using citrate Buffer, PH6. Tissue was counterstained with Hematoxylin. ab97051 Goat Anti-Rabbit IgG H&L (HRP) secondary antibody was used at 1 : 500 dilution. PBS instead of the primary antibody was used as the negative control.

Immunohistochemistry (Formalin/PFA-fixed paraffin-embedded sections) - Anti-Tyrosine Hydroxylase antibody [EP1532Y] - Neuronal Marker (AB137869)
  • IHC-P

Lab

Immunohistochemistry (Formalin/PFA-fixed paraffin-embedded sections) - Anti-Tyrosine Hydroxylase antibody [EP1532Y] - Neuronal Marker (AB137869)

Immunohistochemistry (Formalin/PFA-fixed paraffin-embedded sections) analysis of Rat cerebral cortex tissue sections labeling Tyrosine Hydroxylase with Purified ab137869 at 1 : 500 dilution (1.1 μg/ml). Heat mediated antigen retrieval was performed using Perform heat mediated antigen retrieval using citrate Buffer, PH6. Tissue was counterstained with Hematoxylin. ab97051 Goat Anti-Rabbit IgG H&L (HRP) secondary antibody was used at 1 : 500 dilution. PBS instead of the primary antibody was used as the negative control.

Immunocytochemistry/ Immunofluorescence - Anti-Tyrosine Hydroxylase antibody [EP1532Y] - Neuronal Marker (AB137869)
  • ICC/IF

Lab

Immunocytochemistry/ Immunofluorescence - Anti-Tyrosine Hydroxylase antibody [EP1532Y] - Neuronal Marker (AB137869)

Immunocytochemistry/ Immunofluorescence analysis of C6 (Rat glial tumor cell line) cells labeling Tyrosine Hydroxylase with Purified ab137869 at 1 : 100 dilution (5.6μg/ml). Cells were fixed in 4% Paraformaldehyde and permeabilized with 0.1% tritonX-100. Cells were counterstained with ab195889 Anti-alpha Tubulin antibody [DM1A] - Microtubule Marker (Alexa Fluor® 594) 1 : 200 (2.5 μg/ml). ab150077 Goat anti rabbit IgG(Alexa Fluor® 488) was used as the secondary antibody at 1 : 1000 dilution. DAPI nuclear counterstain. PBS instead of the primary antibody was used as the secondary antibody only control.

Immunohistochemistry (Formalin/PFA-fixed paraffin-embedded sections) - Anti-Tyrosine Hydroxylase antibody [EP1532Y] - Neuronal Marker (AB137869)
  • IHC-P

Lab

Immunohistochemistry (Formalin/PFA-fixed paraffin-embedded sections) - Anti-Tyrosine Hydroxylase antibody [EP1532Y] - Neuronal Marker (AB137869)

Immunohistochemical analysis of formalin fixed paraffin embedded mouse brain labelling Tyrosine Hydroxylase antibody with ab137869 at a concentration of 0.1µg/ml. The immunostaining was performed on a Ventana DISCOVERY ULTRA (Roche Tissue Diagnostics) instrument with anti-rabbit HQ, anti-HQ HRP followed by ChromoMap DAB IHC Detection Kit. Heat mediated antigen retrieval was performed with DISCOVERY cell conditioning solution (CC1) 100°C, pH8.5 for 32mins.

ab137869 anti-Tyrosine Hydroxylase antibody [EP1532Y] was incubated for 16mins at 37°C. Sections were counterstained with Hematoxylin II. Image inset shows absence of staining in secondary antibody only control.

Customers are encouraged to optimise antigen retrieval conditions, antibody concentration, incubation times and temperature for best results in their own IHC assay workflow (automated and manual)

Western blot - Anti-Tyrosine Hydroxylase antibody [EP1532Y] - Neuronal Marker (AB137869)
  • WB

AbReview51586****

Western blot - Anti-Tyrosine Hydroxylase antibody [EP1532Y] - Neuronal Marker (AB137869)

Blocked with 5% milk for 1 hour at 25°C.

All lanes:

Western blot - Anti-Tyrosine Hydroxylase antibody [EP1532Y] - Neuronal Marker (ab137869) at 1/5000 dilution

Lane 1:

SH-SY5Y cell lysate - transduced with AAV vector expressing human TH at 20000 Cells

Lane 2:

SH-SY5Y cell lysate - non-infected at 20000 Cells

Secondary

All lanes:

HRP-conjugated goat anti-rabbit IgG at 1/10000 dilution

Predicted band size: 58 kDa

Observed band size: 58 kDa

true

Exposure time: 1s

This image is courtesy of an Abreview submitted by Andre Antunes

Western blot - Anti-Tyrosine Hydroxylase antibody [EP1532Y] - Neuronal Marker (AB137869)
  • WB

Lab

Western blot - Anti-Tyrosine Hydroxylase antibody [EP1532Y] - Neuronal Marker (AB137869)

Blocking and diluting buffer : 5% NFDM/TBST

All lanes:

Western blot - Anti-Tyrosine Hydroxylase antibody [EP1532Y] - Neuronal Marker (ab137869) at 0.1 µg/mL

All lanes:

Human adrenal gland lysate at 20 µg

Secondary

All lanes:

Western blot - Goat Anti-Rabbit IgG H&L (HRP) (<a href='/en-us/products/secondary-antibodies/goat-rabbit-igg-h-l-hrp-ab97051'>ab97051</a>) at 1/20000 dilution

Predicted band size: 58 kDa

Observed band size: 58 kDa

false

Western blot - Anti-Tyrosine Hydroxylase antibody [EP1532Y] - Neuronal Marker (AB137869)
  • WB

Supplier Data

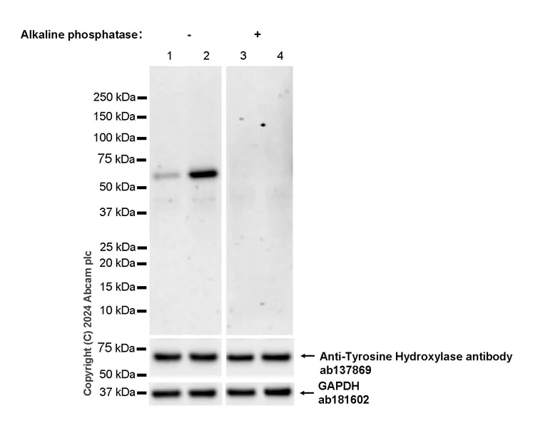
Western blot - Anti-Tyrosine Hydroxylase antibody [EP1532Y] - Neuronal Marker (AB137869)

Tyrosine Hydroxylase (phospho S40) expression can be induced by forskolin treatment (PMID : 17157277).

In Western blot, Anti-GAPDH antibody [EPR16891] - Loading Control (ab181602) staining at 1/200000 dilution.

In Western blot, Anti-Tyrosine Hydroxylase antibody - Total protein control (ab137869) staining at 1/1000 dilution.

All lanes:

Western blot - Anti-Tyrosine Hydroxylase (phospho S40) antibody [EPR26191-5] (<a href='/en-us/products/primary-antibodies/tyrosine-hydroxylase-phospho-s40-antibody-epr26191-5-ab316310'>ab316310</a>) at 1/1000 dilution

Lane 1:

Untreated Mouse striatum tissue lysate (untreated membrane) at 20 µg

Lane 2:

Mouse striatum treated with 10uM forskolin for 10 minutes whole cell lysate (untreated membrane) at 20 µg

Lane 3:

Untreated Mouse striatum tissue lysate (alkaline phosphatase treated membrane) at 20 µg

Lane 4:

Mouse striatum treated with 10uM forskolin for 10 minutes whole cell lysate (alkaline phosphatase treated membrane) at 20 µg

Secondary

All lanes:

Western blot - Goat Anti-Rabbit IgG H&L (HRP) (<a href='/en-us/products/secondary-antibodies/goat-rabbit-igg-h-l-hrp-ab97051'>ab97051</a>) at 1/20000 dilution

Observed band size: 58 kDa,36 kDa

false

Exposure time: 136s

Western blot - Anti-Tyrosine Hydroxylase antibody [EP1532Y] - Neuronal Marker (AB137869)
  • WB

Supplier Data

Western blot - Anti-Tyrosine Hydroxylase antibody [EP1532Y] - Neuronal Marker (AB137869)

Tyrosine Hydroxylase (phospho S40) expression can be induced by forskolin treatment (PMID : 17157277).

In Western blot, Anti-GAPDH antibody [EPR16891] - Loading Control (ab181602) staining at 1/200000 dilution.

In Western blot, Anti-Tyrosine Hydroxylase antibody - Total protein control (ab137869) staining at 1/1000 dilution.

All lanes:

Western blot - Anti-Tyrosine Hydroxylase (phospho S40) antibody [EPR26191-5] (<a href='/en-us/products/primary-antibodies/tyrosine-hydroxylase-phospho-s40-antibody-epr26191-5-ab316310'>ab316310</a>) at 1/1000 dilution

Lane 1:

Untreated PC-12 (rat adrenal gland pheochromocytoma cell) whole cell lysate (untreated membrane) at 20 µg

Lane 2:

PC-12 treated with 30uM forskolin for 60 minutes whole cell lysate (untreated membrane) at 20 µg

Lane 3:

PC-12 treated with 30uM forskolin for 60 minutes whole cell lysate (alkaline phosphatase treated membrane) at 20 µg

Secondary

All lanes:

Western blot - Goat Anti-Rabbit IgG H&L (HRP) (<a href='/en-us/products/secondary-antibodies/goat-rabbit-igg-h-l-hrp-ab97051'>ab97051</a>) at 1/20000 dilution

Observed band size: 58 kDa,36 kDa

false

Exposure time: 3s

Western blot - Anti-Tyrosine Hydroxylase antibody [EP1532Y] - Neuronal Marker (AB137869)
  • WB

Unknown

Western blot - Anti-Tyrosine Hydroxylase antibody [EP1532Y] - Neuronal Marker (AB137869)

All lanes:

Western blot - Anti-Tyrosine Hydroxylase antibody [EP1532Y] - Neuronal Marker (ab137869) at 1/100000 dilution

All lanes:

PC12 cell lysate at 10 µg

Secondary

All lanes:

Goat anti-rabbit HRP at 1/2000 dilution

Predicted band size: 58 kDa

false

Western blot - Anti-Tyrosine Hydroxylase antibody [EP1532Y] - Neuronal Marker (AB137869)
  • WB

Lab

Western blot - Anti-Tyrosine Hydroxylase antibody [EP1532Y] - Neuronal Marker (AB137869)

Blocking and diluting buffer : 5% NFDM/TBST

All lanes:

Western blot - Anti-Tyrosine Hydroxylase antibody [EP1532Y] - Neuronal Marker (ab137869) at 0.03 µg/mL

Lane 1:

Mouse brain lysate at 20 µg

Lane 2:

Rat brain lysate at 20 µg

Secondary

All lanes:

Western blot - Goat Anti-Rabbit IgG H&L (HRP) (<a href='/en-us/products/secondary-antibodies/goat-rabbit-igg-h-l-hrp-ab97051'>ab97051</a>) at 1/20000 dilution

Predicted band size: 58 kDa

Observed band size: 58 kDa

false

  • Carrier free

    Anti-Tyrosine Hydroxylase antibody [EP1532Y] - BSA and Azide free

  • 603 Alexa Fluor® 568

    Alexa Fluor® 568 Anti-Tyrosine Hydroxylase antibody [EP1532Y] - Neuronal Marker

  • 519 Alexa Fluor® 488

    Alexa Fluor® 488 Anti-Tyrosine Hydroxylase antibody [EP1532Y] - Neuronal Marker

  • 565 Alexa Fluor® 555

    Alexa Fluor® 555 Anti-Tyrosine Hydroxylase antibody [EP1532Y] - Neuronal Marker

  • 617 Alexa Fluor® 594

    Alexa Fluor® 594 Anti-Tyrosine Hydroxylase antibody [EP1532Y] - Neuronal Marker

  • 660 APC

    APC Anti-Tyrosine Hydroxylase antibody [EP1532Y] - Neuronal Marker

  • 578 PE

    PE Anti-Tyrosine Hydroxylase antibody [EP1532Y] - Neuronal Marker

  • 665 Alexa Fluor® 647

    Alexa Fluor® 647 Anti-Tyrosine Hydroxylase antibody [EP1532Y] - Neuronal Marker

  • HRP

    HRP Anti-Tyrosine Hydroxylase antibody [EP1532Y] - Neuronal Marker

  • Carrier free

    Anti-Tyrosine Hydroxylase antibody [EP1532Y] – Goat IgG (Chimeric) – BSA and Azide Free

  • Carrier free

    Anti-Tyrosine Hydroxylase antibody [EP1532Y] – Mouse IgG1 (Chimeric) – BSA and Azide Free

  • Carrier free

    Anti-Tyrosine Hydroxylase antibody [EP1532Y] – Chicken IgY (Chimeric) – BSA and Azide Free

  • 775 Alexa Fluor® 750

    Alexa Fluor® 750 Anti-Tyrosine Hydroxylase antibody [EP1532Y] - Neuronal Marker

Key facts

Host species

Rabbit

Clonality

Monoclonal

Clone number

EP1532Y

Isotype

IgG

Carrier free

No

Reacts with

Mouse, Rat, Human

Applications

IHC-P, ICC/IF, WB

applications

Immunogen

The exact immunogen used to generate this antibody is proprietary information.

Reactivity data

{ "title": "Reactivity Data", "filters": { "stats": ["", "Species", "Dilution Info", "Notes"], "tabs": { "all-applications": {"fullname" : "All Applications", "shortname": "All Applications"}, "IHCFr" : {"fullname" : "Immunohistochemistry (Frozen sections)", "shortname":"IHC-Fr"}, "IHCP" : {"fullname" : "Immunohistochemistry (Formalin/PFA-fixed paraffin-embedded sections)", "shortname":"IHC-P"}, "WB" : {"fullname" : "Western blot", "shortname":"WB"}, "ICCIF" : {"fullname" : "Immunocytochemistry/ Immunofluorescence", "shortname":"ICC/IF"}, "FlowCytIntra" : {"fullname" : "Flow Cytometry (Intracellular)", "shortname":"Flow Cyt (Intra)"} }, "product-promise": { "all": "all", "testedAndGuaranteed": "tested", "guaranteed": "expected", "predicted": "predicted", "notRecommended": "not-recommended" } }, "values": { "Human": { "IHCFr-species-checked": "notRecommended", "IHCFr-species-dilution-info": "", "IHCFr-species-notes": "", "IHCP-species-checked": "notRecommended", "IHCP-species-dilution-info": "", "IHCP-species-notes": "<p></p>", "WB-species-checked": "testedAndGuaranteed", "WB-species-dilution-info": "1/5000", "WB-species-notes": "<p><strong>For unpurified use at 1/10000 - 1/50000.</strong></p>", "ICCIF-species-checked": "guaranteed", "ICCIF-species-dilution-info": "", "ICCIF-species-notes": "", "FlowCytIntra-species-checked": "notRecommended", "FlowCytIntra-species-dilution-info": "", "FlowCytIntra-species-notes": "<p>For unpurified use at 1/1000. <a href='/en-us/products/primary-antibodies/rabbit-igg-monoclonal-epr25a-isotype-control-ab172730'>ab172730</a> - Rabbit monoclonal IgG, is suitable for use as an isotype control with this antibody.</p>" }, "Mouse": { "IHCFr-species-checked": "notRecommended", "IHCFr-species-dilution-info": "", "IHCFr-species-notes": "<p></p>", "IHCP-species-checked": "testedAndGuaranteed", "IHCP-species-dilution-info": "1/500", "IHCP-species-notes": "<p></p> Perform heat-mediated antigen retrieval with citrate buffer pH 6 before commencing with IHC staining protocol.", "WB-species-checked": "testedAndGuaranteed", "WB-species-dilution-info": "1/5000", "WB-species-notes": "<p><strong>For unpurified use at 1/10000 - 1/50000.</strong></p>", "ICCIF-species-checked": "guaranteed", "ICCIF-species-dilution-info": "", "ICCIF-species-notes": "", "FlowCytIntra-species-checked": "notRecommended", "FlowCytIntra-species-dilution-info": "", "FlowCytIntra-species-notes": "" }, "Rat": { "IHCFr-species-checked": "notRecommended", "IHCFr-species-dilution-info": "", "IHCFr-species-notes": "<p></p>", "IHCP-species-checked": "testedAndGuaranteed", "IHCP-species-dilution-info": "1/500", "IHCP-species-notes": "<p></p> Perform heat-mediated antigen retrieval with citrate buffer pH 6 before commencing with IHC staining protocol.", "WB-species-checked": "testedAndGuaranteed", "WB-species-dilution-info": "1/5000", "WB-species-notes": "<p><strong>For unpurified use at 1/10000 - 1/50000.</strong></p>", "ICCIF-species-checked": "testedAndGuaranteed", "ICCIF-species-dilution-info": "1/100 - 1/250", "ICCIF-species-notes": "<p></p>", "FlowCytIntra-species-checked": "notRecommended", "FlowCytIntra-species-dilution-info": "", "FlowCytIntra-species-notes": "" }, "Pig": { "IHCFr-species-checked": "notRecommended", "IHCFr-species-dilution-info": "", "IHCFr-species-notes": "", "IHCP-species-checked": "notRecommended", "IHCP-species-dilution-info": "", "IHCP-species-notes": "", "WB-species-checked": "predicted", "WB-species-dilution-info": "", "WB-species-notes": "", "ICCIF-species-checked": "predicted", "ICCIF-species-dilution-info": "", "ICCIF-species-notes": "", "FlowCytIntra-species-checked": "notRecommended", "FlowCytIntra-species-dilution-info": "", "FlowCytIntra-species-notes": "" } } }

Product details

Anti-Tyrosine Hydroxylase antibody [EP1532Y] - Neuronal Marker (ab137869) was developed by Abcam using patented rabbit monoclonal antibody technology and is validated for use in ICC/IF, IHC-P and WB.

Anti-Tyrosine Hydroxylase antibody [EP1532Y] - Neuronal Marker (ab137869) was first used in a scientific publication in 2016 and has been cited over 69 times in peer reviewed journals. It's performance in Western Blot in mouse samples is trusted by the scientific community.

Abcam's high quality manufacturing and validation processes ensure Anti-Tyrosine Hydroxylase antibody [EP1532Y] - Neuronal Marker (ab137869) has high sensitivity and specificity alongside high lot-to-lot consistency and reproducibility.

Anti-Tyrosine Hydroxylase antibody [EP1532Y] - Neuronal Marker (ab137869) has 9 independent reviews from customers.

Anti-Tyrosine Hydroxylase antibody [EP1532Y] - Neuronal Marker (ab137869) specifically detects Tyrosine Hydroxylase (UniProt ID: P07101; Molecular weight: 59kDa) and is sold in a convenient trial size to enable initial testing (20 µL) and larger sizes for subsequent scaling up experiments (100 µL and 1 mL).

Conjugation-ready, carrier free format available for antibody clone EP1532Y - ab220218.

Antibody clone EP1532Y is also available pre-conjugated to a variety of labels for your convenience - HRP, Alexa Fluor® 488, Alexa Fluor® 568, Alexa Fluor® 555, APC, PE, Alexa Fluor® 647, Alexa Fluor® 594, Alexa Fluor® 750 (ab207673, ab302827, ab302968, ab305365, ab310825, ab310901, ab311092, ab311693, ab321111).

NEW: Explore our alternative host species for clone EP1532Y : goat, mouse, chicken. Tyrosine hydroxylase (TH) is a critical enzyme in neuro research, particularly for its role in the synthesis of catecholamines, including dopamine, norepinephrine and epinephrine. It is a key marker for identifying dopaminergic neurons in the central nervous system. Researchers use tyrosine hydroxylase to study the regulation of neurotransmitter production and its implications in neurological disorders such as Parkinson's disease (PD) and tyrosine hydroxylase deficiency. Its expression helps in understanding the biochemical pathways involved in neurodegenerative diseases and the development of potential therapeutic strategies.

Patented technology
Our RabMAb® technology is a patented hybridoma-based technology for making rabbit monoclonal antibodies. For details on our patents, please refer to RabMAb® patents.

What are the advantages of a recombinant monoclonal antibody?
This product is a recombinant monoclonal antibody, which offers several advantages including:

  • - High batch-to-batch consistency and reproducibility
  • - Improved sensitivity and specificity
  • - Long-term security of supply
  • - Animal-free batch production

For more information, read more on recombinant antibodies.

Properties and storage information

Form
Liquid
Purification technique
Affinity purification Protein A
Storage buffer
Preservative: 0.01% Sodium azide Constituents: PBS, 40% Glycerol (glycerin, glycerine), 0.05% BSA
Shipped at conditions
Blue Ice
Appropriate short-term storage duration
1-2 weeks
Appropriate short-term storage conditions
+4°C
Appropriate long-term storage conditions
-20°C
Aliquoting information
Upon delivery aliquot
Storage information
Avoid freeze / thaw cycle

Supplementary information

This supplementary information is collated from multiple sources and compiled automatically.

Tyrosine hydroxylase also known as TH is an enzyme that catalyzes the conversion of L-tyrosine to L-DOPA. It weighs approximately 60 kDa. You can find this enzyme expressed mainly in the brain adrenal glands and some peripheral tissues. Commonly studied antibodies include anti-tyrosine hydroxylase or anti-TH. It plays a significant role in the catecholamine biosynthesis pathway serving as the rate-limiting step in dopamine synthesis.
Biological function summary

Tyrosine hydroxylase is essential for synthesizing catecholamines including dopamine norepinephrine and epinephrine. This enzyme associates with other components in the catecholamine biosynthetic pathway. It functions as part of a larger complex within certain cells where its action determines levels of important neurotransmitters. These neurotransmitters help regulate numerous central and peripheral nervous system activities.

Pathways

Tyrosine hydroxylase acts as a critical component in both the dopaminergic and adrenergic pathways. In the dopaminergic pathway tyrosine hydroxylase facilitates dopamine production influencing various physiological processes. The enzyme also correlates with ardrd protein in these pathways allowing fine-tuned control of neurotransmitter synthesis. Proteins related to tyrosine hydroxylase in these pathways include aromatic L-amino acid decarboxylase which further processes L-DOPA into dopamine.

Tyrosine hydroxylase has connections with neurodegenerative diseases like Parkinson's disease and conditions such as dystonia. Dysfunctional expression or activity of this enzyme can lead to dopamine deficiency contributing to the motor symptoms in Parkinson's disease. In dystonia alterations in tyrosine hydroxylase activity affect neurotransmitter balance influencing muscle coordination. The relationship with ardrd protein highlights tyrosine hydroxylase's role in maintaining neural health and it highlights potential areas for therapeutic intervention.

Product protocols

For this product, it's our understanding that no specific protocols are required. You can visit:

Target data

Catalyzes the conversion of L-tyrosine to L-dihydroxyphenylalanine (L-Dopa), the rate-limiting step in the biosynthesis of catecholamines, dopamine, noradrenaline, and adrenaline. Uses tetrahydrobiopterin and molecular oxygen to convert tyrosine to L-Dopa (PubMed : 15287903, PubMed : 1680128, PubMed : 17391063, PubMed : 24753243, PubMed : 34922205, PubMed : 8528210, Ref.18). In addition to tyrosine, is able to catalyze the hydroxylation of phenylalanine and tryptophan with lower specificity (By similarity). Positively regulates the regression of retinal hyaloid vessels during postnatal development (By similarity).. Isoform 5. Lacks catalytic activity.. Isoform 6. Lacks catalytic activity.
See full target information TH

Publications (138)

Recent publications for all applications. Explore the full list and refine your search

Inflammation : PubMed41071263

2025

Early α-Synuclein Pathology Induces Neuroinflammation and Decreases Topoisomerase IIβ Expression in A53T Mice.

Applications

Unspecified application

Species

Unspecified reactive species

Berçem Yeman-Kıyak,Tahire Yurdakul,Aslınur Selim,Birsen Elibol,Timuçin Avşar,Yeşim Neğiş,Mustafa Gani Sürmen,Rama Şeyhali-Abutayeh,Rümeysa Akbayır,Melike Cansel Eren,Pınar Öz,Burcu Çevreli,Sevim Işık

PeerJ 13:e20120 PubMed41059408

2025

Proteomic landscape of porcine induced neural stem cell reprogramming and differentiation.

Applications

Unspecified application

Species

Unspecified reactive species

Sekkarin Ploypetch,Sataporn Phochantachinda,Warunya Chakritbudsabong,Walasinee Sakcamduang,Nattarun Chaisilp,Somjit Chaiwattanarungruengpaisan,Supitcha Pannengpetch,Piyada Na Nakorn,Tharathip Muangthong,Sasitorn Rungarunlert

Frontiers in neuroscience 19:1634582 PubMed40896342

2025

Advanced neural activity mapping in brain organoids via field potential imaging with ultra-high-density CMOS microelectrode arrays.

Applications

Unspecified application

Species

Unspecified reactive species

Remi Yokoi,Naoki Matsuda,Yuto Ishibashi,Ikuro Suzuki

Discover nano 20:128 PubMed40767899

2025

Non-invasive visualisation of long-lasting brain metabolic alterations in murine pseudo-infection model using parahydrogen-polarised [1-C] pyruvate MRI.

Applications

Unspecified application

Species

Unspecified reactive species

Hayate Tomiyama,Masaki Yamasaki,Takayuki Isagawa,Norihiko Takeda,Takuya Hashimoto,Hiroshi Hirata,Shingo Matsumoto

Journal of orthopaedic surgery and research 20:571 PubMed40474233

2025

Sympathetic cholinergic nerve fibres promote BMSC differentiation into osteoblasts via NRTN secretion: a potential treatment for osteoporosis.

Applications

Unspecified application

Species

Unspecified reactive species

Yuechun Chen,Zhenyu Zhang,Huibo Ti,Junjie Wu,Feng-Lai Yuan,Xia Li

Journal of translational medicine 23:631 PubMed40474178

2025

Polystyrene nanoplastics trigger pyroptosis in dopaminergic neurons through TSC2/TFEB-mediated disruption of autophagosome-lysosome fusion in Parkinson's disease.

Applications

Unspecified application

Species

Unspecified reactive species

Xiaomei Liang,Yaqi Zeng,Piao Zhang,Baoyu Zhu,Jiezhu Feng,Tongtong Deng,Zhongling Fu,Chengshuai Liu,Chengyu Chen,Yuhu Zhang

Nature communications 16:5082 PubMed40450008

2025

Single-nucleus and spatial signatures of the brainstem in normal brain and mild traumatic brain injury in male mice.

Applications

Unspecified application

Species

Unspecified reactive species

Yuan Zhuang,Xixian Liao,Fei Niu,Ming Li,Yu Yan,Chuanhang He,Xiang Wu,Runfa Tian,Guoyi Gao

Cellular and molecular neurobiology 45:53 PubMed40439946

2025

Endoplasmic Reticulum Stress Inhibition Promotes Mitophagy via Miro1 Reduction to Rescue Mitochondrial Dysfunction and Protect Dopamine Neurons in Parkinson's Disease.

Applications

Unspecified application

Species

Unspecified reactive species

Yuqi Wen,Zheng Han,Bao Wang,Chenxi Feng,Xvshen Ding,Yangni Li,Yan Lv,Xuelian Wang,Li Gao

Cell death discovery 11:243 PubMed40393958

2025

TREM2 deficiency exacerbates cognitive impairment by aggravating α-Synuclein-induced lysosomal dysfunction in Parkinson's disease.

Applications

Unspecified application

Species

Unspecified reactive species

Baoyu Zhu,Jiezhu Feng,Xiaomei Liang,Zhongling Fu,Mengshi Liao,Tongtong Deng,Kaicheng Wang,Jianwei Xie,Jieshan Chi,Lu Yang,Yuyuan Gao,Kun Nie,Lijuan Wang,Piao Zhang,Yuhu Zhang

iScience 28:112321 PubMed40276761

2025

Sleep deprivation-induced sympathetic activation promotes pro-tumoral macrophage phenotype via the ADRB2/KLF4 pathway to facilitate NSCLC metastasis.

Applications

Unspecified application

Species

Unspecified reactive species

Shuxian Yin,Jiali Wang,Yunlong Jia,Xiaoyi Wang,Yan Zhao,Tianxu Liu,Wei Lv,Yuqing Duan,Song Zhao,Sheng Wang,Lihua Liu
View all publications

Product promise

We are committed to supporting your work with high-quality reagents, and we're here for you every step of the way. In the unlikely event that one of our products does not perform as expected, you're protected by our Product Promise.
For full details, please see our Terms & Conditions

Please note: All products are 'FOR RESEARCH USE ONLY. NOT FOR USE IN DIAGNOSTIC OR THERAPEUTIC PROCEDURES'.

For licensing inquiries, please contact partnerships@abcam.com