JavaScript is disabled in your browser. Please enable JavaScript to view this website.
AB315252

Anti-Tyrosine Hydroxylase antibody [RM1085] - Neuronal Marker

  • BOND RX™ Validated
  • 20ul selling size
  • RabMAb
  • Recombinant
  • What is this?

Be the first to review this product! Submit a review

|

(2 Publications)

Rabbit Recombinant Multiclonal Tyrosine Hydroxylase antibody. Suitable for WB, IHC-P, IP, IHC-Fr, ICC/IF, Flow Cyt (Intra) and reacts with Human, Mouse, Rat samples. Cited in 2 publications.

View Alternative Names

TYH, TH, Tyrosine 3-monooxygenase, Tyrosine 3-hydroxylase

19 Images
Immunohistochemistry (Formalin/PFA-fixed paraffin-embedded sections) - Anti-Tyrosine Hydroxylase antibody [RM1085] - Neuronal Marker (AB315252)
  • IHC-P

Supplier Data

Immunohistochemistry (Formalin/PFA-fixed paraffin-embedded sections) - Anti-Tyrosine Hydroxylase antibody [RM1085] - Neuronal Marker (AB315252)

Immunohistochemical analysis of paraffin-embedded Human adrenal gland tissue labeling Tyrosine Hydroxylase with ab315252 at 1/5000 (0.094 ug/ml) dilution, followed by a ready to use LeicaDS9800 (Bond™ Polymer Refine Detection).

Positive staining on human adrenal gland. The section was incubated with ab315252 for 30 mins at room temperature. The immunostaining was performed on a Leica Biosystems BOND® RX instrument. Counterstained with Hematoxylin.

Secondary antibody only control : Secondary antibody is a ready to use LeicaDS9800 (Bond™ Polymer Refine Detection).

Heat mediated antigen retrieval was performed with Tris-EDTA buffer (pH 9.0, Epitope Retrieval Solution2) for 20 mins.

Immunohistochemistry (Formalin/PFA-fixed paraffin-embedded sections) - Anti-Tyrosine Hydroxylase antibody [RM1085] - Neuronal Marker (AB315252)
  • IHC-P

Supplier Data

Immunohistochemistry (Formalin/PFA-fixed paraffin-embedded sections) - Anti-Tyrosine Hydroxylase antibody [RM1085] - Neuronal Marker (AB315252)

Immunohistochemical analysis of paraffin-embedded Human striatum tissue labeling Tyrosine Hydroxylase with ab315252 at 1/5000 (0.094 ug/ml) dilution, followed by a ready to use LeicaDS9800 (Bond™ Polymer Refine Detection).

Positive staining on human striatum. The section was incubated with ab315252 for 30 mins at room temperature. The immunostaining was performed on a Leica Biosystems BOND® RX instrument. Counterstained with Hematoxylin.

Secondary antibody only control : Secondary antibody is a ready to use LeicaDS9800 (Bond™ Polymer Refine Detection).

Heat mediated antigen retrieval was performed with Tris-EDTA buffer (pH 9.0, Epitope Retrieval Solution2) for 20 mins.

Immunohistochemistry (Formalin/PFA-fixed paraffin-embedded sections) - Anti-Tyrosine Hydroxylase antibody [RM1085] - Neuronal Marker (AB315252)
  • IHC-P

Supplier Data

Immunohistochemistry (Formalin/PFA-fixed paraffin-embedded sections) - Anti-Tyrosine Hydroxylase antibody [RM1085] - Neuronal Marker (AB315252)

Immunohistochemical analysis of paraffin-embedded Human lung tissue labeling Tyrosine Hydroxylase with ab315252 at 1/5000 (0.094 ug/ml) dilution, followed by a ready to use LeicaDS9800 (Bond™ Polymer Refine Detection).

Negative control : no staining on human lung. The section was incubated with ab315252 for 30 mins at room temperature. The immunostaining was performed on a Leica Biosystems BOND® RX instrument. Counterstained with Hematoxylin.

Secondary antibody only control : Secondary antibody is a ready to use LeicaDS9800 (Bond™ Polymer Refine Detection).

Heat mediated antigen retrieval was performed with Tris-EDTA buffer (pH 9.0, Epitope Retrieval Solution2) for 20 mins.

Immunoprecipitation - Anti-Tyrosine Hydroxylase antibody [RM1085] - Neuronal Marker (AB315252)
  • IP

Supplier Data

Immunoprecipitation - Anti-Tyrosine Hydroxylase antibody [RM1085] - Neuronal Marker (AB315252)

Tyrosine Hydroxylase was immunoprecipitated from 0.35 mg Human adrenal grand tissue lysate with ab315252 at 1/30 dilution (2ug in 0.35mg lysates). Western blot was performed on the immunoprecipitate using ab315252 at 1/1000 dilution. VeriBlot for IP secondary antibody(HRP)(ab131366) was used at 1/5000 dilution.

Lane 1 : Human adrenal grand tissue lysate

Lane 2 : ab315252 IP in Human adrenal grand tissue lysate

Lane 3 : Rabbit monoclonal IgG (ab172730) instead of ab315252 in human adrenal grand tissue lysate

Blocking and dilution buffer and concentration : 5% NFDM/TBST.

All lanes:

Immunoprecipitation - Anti-Tyrosine Hydroxylase antibody [RM1085] - Neuronal Marker (ab315252) at 1/30 dilution

All lanes:

Human adrenal grand tissue lysate

Secondary

All lanes:

Immunoprecipitation - VeriBlot for IP Detection Reagent (HRP) (<a href='/en-us/products/reagents/veriblot-for-ip-detection-reagent-hrp-ab131366'>ab131366</a>) at 1/5000 dilution

false

Exposure time: 3s

Immunohistochemistry (Formalin/PFA-fixed paraffin-embedded sections) - Anti-Tyrosine Hydroxylase antibody [RM1085] - Neuronal Marker (AB315252)
  • IHC-P

Supplier Data

Immunohistochemistry (Formalin/PFA-fixed paraffin-embedded sections) - Anti-Tyrosine Hydroxylase antibody [RM1085] - Neuronal Marker (AB315252)

Immunohistochemical analysis of paraffin-embedded Rat striatum tissue labeling Tyrosine Hydroxylase with ab315252 at 1/5000 (0.094 ug/ml) dilution, followed by a ready to use LeicaDS9800 (Bond™ Polymer Refine Detection).

Positive staining on rat striatum. The section was incubated with ab315252 for 30 mins at room temperature. The immunostaining was performed on a Leica Biosystems BOND® RX instrument. Counterstained with Hematoxylin.

Secondary antibody only control : Secondary antibody is a ready to use LeicaDS9800 (Bond™ Polymer Refine Detection).

Heat mediated antigen retrieval was performed with Tris-EDTA buffer (pH 9.0, Epitope Retrieval Solution2) for 20 mins.

Immunohistochemistry (Formalin/PFA-fixed paraffin-embedded sections) - Anti-Tyrosine Hydroxylase antibody [RM1085] - Neuronal Marker (AB315252)
  • IHC-P

Supplier Data

Immunohistochemistry (Formalin/PFA-fixed paraffin-embedded sections) - Anti-Tyrosine Hydroxylase antibody [RM1085] - Neuronal Marker (AB315252)

Immunohistochemical analysis of paraffin-embedded Mouse cerebrum tissue labeling Tyrosine Hydroxylase with ab315252 at 1/5000 (0.094 ug/ml) dilution, followed by a ready to use LeicaDS9800 (Bond™ Polymer Refine Detection).

Positive staining on mouse cerebrum. The section was incubated with ab315252 for 30 mins at room temperature. The immunostaining was performed on a Leica Biosystems BOND® RX instrument. Counterstained with Hematoxylin.

Secondary antibody only control : Secondary antibody is a ready to use LeicaDS9800 (Bond™ Polymer Refine Detection).

Heat mediated antigen retrieval was performed with Tris-EDTA buffer (pH 9.0, Epitope Retrieval Solution2) for 20 mins.

Immunohistochemistry (Formalin/PFA-fixed paraffin-embedded sections) - Anti-Tyrosine Hydroxylase antibody [RM1085] - Neuronal Marker (AB315252)
  • IHC-P

Supplier Data

Immunohistochemistry (Formalin/PFA-fixed paraffin-embedded sections) - Anti-Tyrosine Hydroxylase antibody [RM1085] - Neuronal Marker (AB315252)

Immunohistochemical analysis of paraffin-embedded Rat cerebrum tissue labeling Tyrosine Hydroxylase with ab315252 at 1/5000 (0.094 ug/ml) dilution, followed by a ready to use LeicaDS9800 (Bond™ Polymer Refine Detection).

Positive staining on rat cerebrum. The section was incubated with ab315252 for 30 mins at room temperature. The immunostaining was performed on a Leica Biosystems BOND® RX instrument. Counterstained with Hematoxylin.

Secondary antibody only control : Secondary antibody is a ready to use LeicaDS9800 (Bond™ Polymer Refine Detection).

Heat mediated antigen retrieval was performed with Tris-EDTA buffer (pH 9.0, Epitope Retrieval Solution2) for 20 mins.

Immunocytochemistry/ Immunofluorescence - Anti-Tyrosine Hydroxylase antibody [RM1085] - Neuronal Marker (AB315252)
  • ICC/IF

Supplier Data

Immunocytochemistry/ Immunofluorescence - Anti-Tyrosine Hydroxylase antibody [RM1085] - Neuronal Marker (AB315252)

Immunofluorescent analysis of 4% Paraformaldehyde-fixed, 0.1% TritonX-100 permeabilized PC-12 (rat adrenal gland pheochromocytoma cell) cells labelling Tyrosine Hydroxylase with ab315252 at 1/100 (4.68 ug/ml) dilution, followed by ab150081 Goat Anti-Rabbit IgG H&L (Alexa Fluor® 488) preadsorbed antibody at 1/1000 (2 ug/mL) dilution (Green).

Confocal image showing cytoplasmic staining in PC-12 cell line. Image was taken with a confocal microscope (Leica-Microsystems, TCS SP8).

ab7291 Anti-alpha Tubulin mouse monoclonal antibody was used to counterstain tubulin at 1/1000 (1 ug/mL) dilution (Red). The Nuclear counterstain was DAPI (Blue).

Secondary antibody only control : Secondary antibody is ab150081 Goat Anti-Rabbit IgG H&L (Alexa Fluor® 488) preadsorbed at 1/1000 (2 ug/mL) dilution.

Immunohistochemistry (Frozen sections) - Anti-Tyrosine Hydroxylase antibody [RM1085] - Neuronal Marker (AB315252)
  • IHC-Fr

Supplier Data

Immunohistochemistry (Frozen sections) - Anti-Tyrosine Hydroxylase antibody [RM1085] - Neuronal Marker (AB315252)

Immunohistochemical analysis of 4% PFA-fixed, 0.2% Triton X-100 permeabilized frozen Rat striatum (fresh) tissue labeling Tyrosine Hydroxylase with ab315252 at 1/50 (9.36 ug/ml) dilution followed by ab150081 Goat Anti-Rabbit IgG H&L (Alexa Fluor® 488) preadsorbed at 1/1000 (2 ug/mL) dilution (Green).

Confocal image showing positive staining on rat striatum. The nuclear counterstain was DAPI (Blue). The section was incubated with ab315252 for 60 mins at room temperature. The section was then mounted using Fluoromount®. The immunostaining was performed on a Leica Biosystems BOND® RX instrument. Image was taken with a confocal microscope (Leica-Microsystems, TCS SP8). The nuclear counterstain was DAPI (Blue).

Secondary antibody control : Secondary antibody is ab150081 Goat Anti-Rabbit IgG H&L (Alexa Fluor® 488) preadsorbed at 1/1000 (2 ug/mL) dilution.

Immunohistochemistry (Frozen sections) - Anti-Tyrosine Hydroxylase antibody [RM1085] - Neuronal Marker (AB315252)
  • IHC-Fr

Supplier Data

Immunohistochemistry (Frozen sections) - Anti-Tyrosine Hydroxylase antibody [RM1085] - Neuronal Marker (AB315252)

Immunohistochemical analysis of 4% PFA-fixed, 0.2% Triton X-100 permeabilized frozen Rat lung (fresh) tissue labeling Tyrosine Hydroxylase with ab315252 at 1/50 (9.36 ug/ml) dilution followed by ab150081 Goat Anti-Rabbit IgG H&L (Alexa Fluor® 488) preadsorbed at 1/1000 (2 ug/mL) dilution (Green).

Negative control : Confocal image showing no staining on rat lung. The nuclear counterstain was DAPI (Blue). The section was incubated with ab315252 for 60 mins at room temperature. The section was then mounted using Fluoromount®. The immunostaining was performed on a Leica Biosystems BOND® RX instrument. Image was taken with a confocal microscope (Leica-Microsystems, TCS SP8). The nuclear counterstain was DAPI (Blue).

Secondary antibody control : Secondary antibody is ab150081 Goat Anti-Rabbit IgG H&L (Alexa Fluor® 488) preadsorbed at 1/1000 (2 ug/mL) dilution.

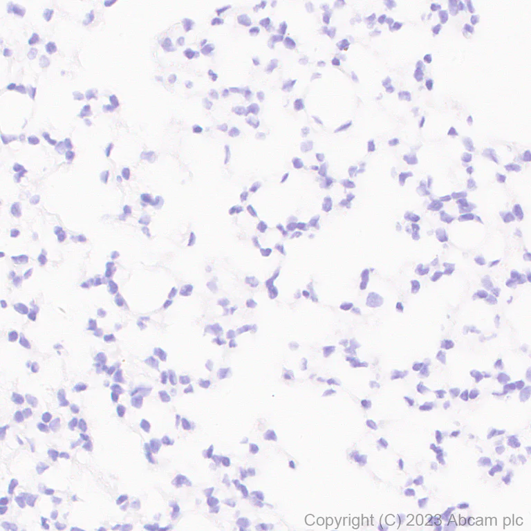
Immunohistochemistry (Formalin/PFA-fixed paraffin-embedded sections) - Anti-Tyrosine Hydroxylase antibody [RM1085] - Neuronal Marker (AB315252)
  • IHC-P

Supplier Data

Immunohistochemistry (Formalin/PFA-fixed paraffin-embedded sections) - Anti-Tyrosine Hydroxylase antibody [RM1085] - Neuronal Marker (AB315252)

Immunohistochemical analysis of paraffin-embedded Mouse lung tissue labeling Tyrosine Hydroxylase with ab315252 at 1/5000 (0.094 ug/ml) dilution, followed by a ready to use LeicaDS9800 (Bond™ Polymer Refine Detection).

Negative control : no staining on mouse lung. The section was incubated with ab315252 for 30 mins at room temperature. The immunostaining was performed on a Leica Biosystems BOND® RX instrument. Counterstained with Hematoxylin.

Secondary antibody only control : Secondary antibody is a ready to use LeicaDS9800 (Bond™ Polymer Refine Detection).

Heat mediated antigen retrieval was performed with Tris-EDTA buffer (pH 9.0, Epitope Retrieval Solution2) for 20 mins.

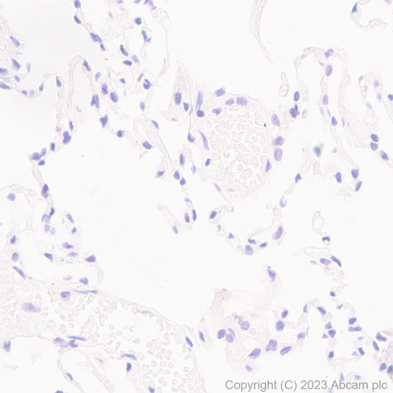
Immunohistochemistry (Formalin/PFA-fixed paraffin-embedded sections) - Anti-Tyrosine Hydroxylase antibody [RM1085] - Neuronal Marker (AB315252)
  • IHC-P

Supplier Data

Immunohistochemistry (Formalin/PFA-fixed paraffin-embedded sections) - Anti-Tyrosine Hydroxylase antibody [RM1085] - Neuronal Marker (AB315252)

Immunohistochemical analysis of paraffin-embedded Rat lung tissue labeling Tyrosine Hydroxylase with ab315252 at 1/5000 (0.094 ug/ml) dilution, followed by a ready to use LeicaDS9800 (Bond™ Polymer Refine Detection).

Negative control : no staining on rat lung. The section was incubated with ab315252 for 30 mins at room temperature. The immunostaining was performed on a Leica Biosystems BOND® RX instrument. Counterstained with Hematoxylin.

Secondary antibody only control : Secondary antibody is a ready to use LeicaDS9800 (Bond™ Polymer Refine Detection).

Heat mediated antigen retrieval was performed with Tris-EDTA buffer (pH 9.0, Epitope Retrieval Solution2) for 20 mins.

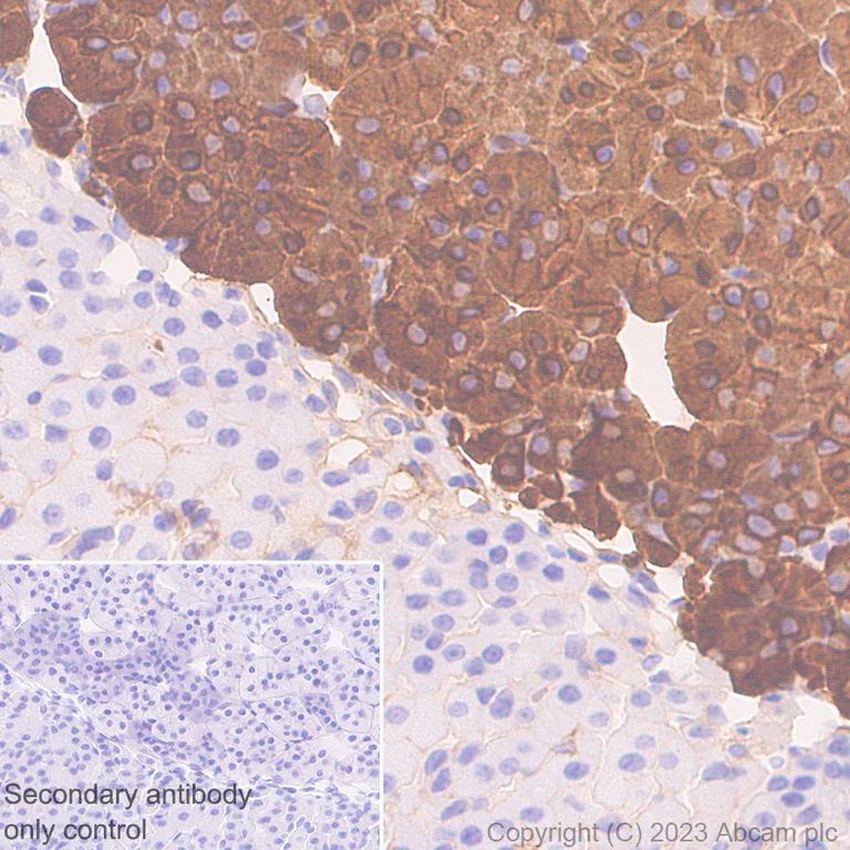
Immunohistochemistry (Formalin/PFA-fixed paraffin-embedded sections) - Anti-Tyrosine Hydroxylase antibody [RM1085] - Neuronal Marker (AB315252)
  • IHC-P

Supplier Data

Immunohistochemistry (Formalin/PFA-fixed paraffin-embedded sections) - Anti-Tyrosine Hydroxylase antibody [RM1085] - Neuronal Marker (AB315252)

Immunohistochemical analysis of paraffin-embedded Mouse adrenal gland tissue labeling Tyrosine Hydroxylase with ab315252 at 1/5000 (0.094 ug/ml) dilution, followed by a ready to use LeicaDS9800 (Bond™ Polymer Refine Detection).

Positive staining on mouse adrenal gland. The section was incubated with ab315252 for 30 mins at room temperature. The immunostaining was performed on a Leica Biosystems BOND® RX instrument. Counterstained with Hematoxylin.

Secondary antibody only control : Secondary antibody is a ready to use LeicaDS9800 (Bond™ Polymer Refine Detection).

Heat mediated antigen retrieval was performed with Tris-EDTA buffer (pH 9.0, Epitope Retrieval Solution2) for 20 mins.

Flow Cytometry (Intracellular) - Anti-Tyrosine Hydroxylase antibody [RM1085] - Neuronal Marker (AB315252)
  • Flow Cyt (Intra)

Supplier Data

Flow Cytometry (Intracellular) - Anti-Tyrosine Hydroxylase antibody [RM1085] - Neuronal Marker (AB315252)

Flow cytometric analysis of 4% paraformaldehyde fixed 90% methanol permeabilized PC-12 (rat adrenal gland pheochromocytoma cell) cells labelling Tyrosine Hydroxylase with ab315252 at 1/5000 dilution (0.01 ug)/Red compared with a Rabbit monoclonal IgG (ab172730) (Black) isotype control and an unlabelled control (cells without incubation with primary antibody and secondary antibody) (Blue).

Goat Anti-Rabbit IgG (Alexa Fluor® 488, ab150081) at 1/5000 dilution was used as the secondary antibody.

Immunoprecipitation - Anti-Tyrosine Hydroxylase antibody [RM1085] - Neuronal Marker (AB315252)
  • IP

Supplier Data

Immunoprecipitation - Anti-Tyrosine Hydroxylase antibody [RM1085] - Neuronal Marker (AB315252)

Tyrosine Hydroxylase was immunoprecipitated from 0.35 mg Rat adrenal grand tissue lysate with ab315252 at 1/30 dilution (2ug in 0.35mg lysates). Western blot was performed on the immunoprecipitate using ab315252 at 1/1000 dilution. VeriBlot for IP secondary antibody(HRP)(ab131366) was used at 1/5000 dilution.

Lane 1 : Rat adrenal grand tissue lysate

Lane 2 : ab315252 IP in Rat adrenal grand tissue lysate

Lane 3 : Rabbit monoclonal IgG (ab172730) instead of ab315252 in rat adrenal grand tissue lysate

Blocking and dilution buffer and concentration : 5% NFDM/TBST.

All lanes:

Immunoprecipitation - Anti-Tyrosine Hydroxylase antibody [RM1085] - Neuronal Marker (ab315252) at 1/30 dilution

All lanes:

Rat adrenal grand tissue lysate

Secondary

All lanes:

Immunoprecipitation - VeriBlot for IP Detection Reagent (HRP) (<a href='/en-us/products/reagents/veriblot-for-ip-detection-reagent-hrp-ab131366'>ab131366</a>) at 1/5000 dilution

false

Exposure time: 3s

Immunoprecipitation - Anti-Tyrosine Hydroxylase antibody [RM1085] - Neuronal Marker (AB315252)
  • IP

Supplier Data

Immunoprecipitation - Anti-Tyrosine Hydroxylase antibody [RM1085] - Neuronal Marker (AB315252)

Tyrosine Hydroxylase was immunoprecipitated from 0.35 mg Mouse adrenal grand tissue lysate with ab315252 at 1/30 dilution (2ug in 0.35mg lysates). Western blot was performed on the immunoprecipitate using ab315252 at 1/1000 dilution. VeriBlot for IP secondary antibody(HRP)(ab131366) was used at 1/5000 dilution.

Lane 1 : Mouse adrenal grand tissue lysate

Lane 2 : ab315252 IP in Mouse adrenal grand tissue lysate

Lane 3 : Rabbit monoclonal IgG (ab172730) instead of ab315252 in mouse adrenal grand tissue lysate

Blocking and dilution buffer and concentration : 5% NFDM/TBST.

All lanes:

Immunoprecipitation - Anti-Tyrosine Hydroxylase antibody [RM1085] - Neuronal Marker (ab315252) at 1/30 dilution

All lanes:

Mouse adrenal grand tissue lysate

Secondary

All lanes:

Immunoprecipitation - VeriBlot for IP Detection Reagent (HRP) (<a href='/en-us/products/reagents/veriblot-for-ip-detection-reagent-hrp-ab131366'>ab131366</a>) at 1/5000 dilution

false

Exposure time: 3s

Western blot - Anti-Tyrosine Hydroxylase antibody [RM1085] - Neuronal Marker (AB315252)
  • WB

Supplier Data

Western blot - Anti-Tyrosine Hydroxylase antibody [RM1085] - Neuronal Marker (AB315252)

Blocking and diluting buffer and concentration : 5% NFDM/TBST.

Negative control : liver and lung.

In Western blot, Anti-GAPDH antibody [EPR16891] - Loading Control (ab181602) staining at 1/200000 dilution.

All lanes:

Western blot - Anti-Tyrosine Hydroxylase antibody [RM1085] - Neuronal Marker (ab315252) at 1/1000 dilution

Lane 1:

Human adrenal grand tissue lysate at 20 µg

Lane 2:

Human liver tissue lysate at 20 µg

Lane 3:

Human lung tissue lysate at 20 µg

Secondary

All lanes:

Western blot - Goat Anti-Rabbit IgG H&L (HRP) (<a href='/en-us/products/secondary-antibodies/goat-rabbit-igg-h-l-hrp-ab97051'>ab97051</a>) at 1/100000 dilution

Observed band size: 58 kDa,36 kDa

false

Exposure time: 48s

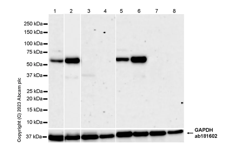
Western blot - Anti-Tyrosine Hydroxylase antibody [RM1085] - Neuronal Marker (AB315252)
  • WB

Supplier Data

Western blot - Anti-Tyrosine Hydroxylase antibody [RM1085] - Neuronal Marker (AB315252)

Blocking and diluting buffer and concentration : 5% NFDM/TBST.

Negative control : liver and lung.

In Western blot, Anti-GAPDH antibody [EPR16891] - Loading Control (ab181602) staining at 1/200000 dilution.

Exposure time : Lanes 1 and 3-9 : 180 seconds; Lane 2 : 59 seconds

All lanes:

Western blot - Anti-Tyrosine Hydroxylase antibody [RM1085] - Neuronal Marker (ab315252) at 1/1000 dilution

Lane 1:

Mouse brain tissue lysate at 20 µg

Lane 2:

Mouse adrenal grand tissue lysate at 20 µg

Lane 3:

Mouse liver tissue lysate at 20 µg

Lane 4:

Mouse lung tissue lysate at 20 µg

Lane 5:

Rat brain tissue lysate at 20 µg

Lane 6:

Rat adrenal grand tissue lysate at 20 µg

Lane 7:

Rat liver tissue lysate at 20 µg

Lane 8:

Rat lung tissue lysate at 20 µg

Secondary

All lanes:

Western blot - Goat Anti-Rabbit IgG H&L (HRP) (<a href='/en-us/products/secondary-antibodies/goat-rabbit-igg-h-l-hrp-ab97051'>ab97051</a>) at 1/100000 dilution

Observed band size: 58 kDa,36 kDa

false

Western blot - Anti-Tyrosine Hydroxylase antibody [RM1085] - Neuronal Marker (AB315252)
  • WB

Supplier Data

Western blot - Anti-Tyrosine Hydroxylase antibody [RM1085] - Neuronal Marker (AB315252)

Blocking and diluting buffer and concentration : 5% NFDM/TBST.

All lanes:

Western blot - Anti-Tyrosine Hydroxylase antibody [RM1085] - Neuronal Marker (ab315252) at 1/5000 dilution

All lanes:

PC-12 (rat adrenal gland pheochromocytoma cell) whole cell lysate at 10 µg

Secondary

All lanes:

Western blot - Goat Anti-Rabbit IgG H&L (HRP) (<a href='/en-us/products/secondary-antibodies/goat-rabbit-igg-h-l-hrp-ab97051'>ab97051</a>) at 1/100000 dilution

Observed band size: 58 kDa

false

Exposure time: 4s

Key facts

Host species

Rabbit

Clonality

Multiclonal

Clone number

RM1085

Isotype

IgG

Carrier free

No

Reacts with

Human, Mouse, Rat

Applications

Flow Cyt (Intra), IP, IHC-Fr, IHC-P, ICC/IF, WB

applications

Immunogen

The exact immunogen used to generate this antibody is proprietary information.

Specificity

Unsuitable for human ICC and FC-intra. Unsuitable for mouse IHC frozen.

Reactivity data

{ "title": "Reactivity Data", "filters": { "stats": ["", "Species", "Dilution Info", "Notes"], "tabs": { "all-applications": {"fullname" : "All Applications", "shortname": "All Applications"}, "WB" : {"fullname" : "Western blot", "shortname":"WB"}, "IHCP" : {"fullname" : "Immunohistochemistry (Formalin/PFA-fixed paraffin-embedded sections)", "shortname":"IHC-P"}, "IP" : {"fullname" : "Immunoprecipitation", "shortname":"IP"}, "IHCFr" : {"fullname" : "Immunohistochemistry (Frozen sections)", "shortname":"IHC-Fr"}, "ICCIF" : {"fullname" : "Immunocytochemistry/ Immunofluorescence", "shortname":"ICC/IF"}, "FlowCytIntra" : {"fullname" : "Flow Cytometry (Intracellular)", "shortname":"Flow Cyt (Intra)"} }, "product-promise": { "all": "all", "testedAndGuaranteed": "tested", "guaranteed": "expected", "predicted": "predicted", "notRecommended": "not-recommended" } }, "values": { "Human": { "WB-species-checked": "testedAndGuaranteed", "WB-species-dilution-info": "1/1000", "WB-species-notes": "<p></p>", "IHCP-species-checked": "testedAndGuaranteed", "IHCP-species-dilution-info": "1/5000", "IHCP-species-notes": "<p></p> Perform heat-mediated antigen retrieval with Tris/EDTA buffer pH 9.0 before commencing with IHC staining protocol.", "IP-species-checked": "testedAndGuaranteed", "IP-species-dilution-info": "1/30", "IP-species-notes": "<p></p>", "IHCFr-species-checked": "guaranteed", "IHCFr-species-dilution-info": "", "IHCFr-species-notes": "", "ICCIF-species-checked": "notRecommended", "ICCIF-species-dilution-info": "", "ICCIF-species-notes": "<p></p>", "FlowCytIntra-species-checked": "notRecommended", "FlowCytIntra-species-dilution-info": "", "FlowCytIntra-species-notes": "<p></p>" }, "Mouse": { "WB-species-checked": "testedAndGuaranteed", "WB-species-dilution-info": "1/1000", "WB-species-notes": "<p></p>", "IHCP-species-checked": "testedAndGuaranteed", "IHCP-species-dilution-info": "1/5000", "IHCP-species-notes": "<p></p> Perform heat-mediated antigen retrieval with Tris/EDTA buffer pH 9.0 before commencing with IHC staining protocol.", "IP-species-checked": "testedAndGuaranteed", "IP-species-dilution-info": "1/30", "IP-species-notes": "<p></p>", "IHCFr-species-checked": "notRecommended", "IHCFr-species-dilution-info": "", "IHCFr-species-notes": "<p></p>", "ICCIF-species-checked": "guaranteed", "ICCIF-species-dilution-info": "", "ICCIF-species-notes": "", "FlowCytIntra-species-checked": "guaranteed", "FlowCytIntra-species-dilution-info": "", "FlowCytIntra-species-notes": "" }, "Rat": { "WB-species-checked": "testedAndGuaranteed", "WB-species-dilution-info": "1/1000 - 1/5000", "WB-species-notes": "<p></p>", "IHCP-species-checked": "testedAndGuaranteed", "IHCP-species-dilution-info": "1/5000", "IHCP-species-notes": "<p></p> Perform heat-mediated antigen retrieval with Tris/EDTA buffer pH 9.0 before commencing with IHC staining protocol.", "IP-species-checked": "testedAndGuaranteed", "IP-species-dilution-info": "1/30", "IP-species-notes": "<p></p>", "IHCFr-species-checked": "testedAndGuaranteed", "IHCFr-species-dilution-info": "1/50", "IHCFr-species-notes": "<p></p>", "ICCIF-species-checked": "testedAndGuaranteed", "ICCIF-species-dilution-info": "1/100", "ICCIF-species-notes": "<p></p>", "FlowCytIntra-species-checked": "testedAndGuaranteed", "FlowCytIntra-species-dilution-info": "1/5000", "FlowCytIntra-species-notes": "<p></p>" } } }

Product details

What are recombinant multiclonals?
Recombinant multiclonals are a mixture of recombinant antibodies co-expressed from a library of heavy and light chains. They offer several advantages including:

  • - The sensitivity of polyclonal antibodies by recognising multiple epitopes
  • - High batch-to-batch consistency and reproducibility
  • - Improved sensitivity and specificity
  • - Long-term security of supply
  • - Animal-free batch production

View our range of recombinant multiclonal antibodies.

Patented technology
Our RabMAb® technology is a patented hybridoma-based technology for making rabbit monoclonal antibodies. For details on our patents, please refer to RabMAb® patents.

Properties and storage information

Form
Liquid
Purification technique
Affinity purification Protein A
Storage buffer
pH: 7.2 - 7.4 Preservative: 0.01% Sodium azide Constituents: PBS, 40% Glycerol (glycerin, glycerine), 0.05% BSA
Shipped at conditions
Blue Ice
Appropriate short-term storage duration
1-2 weeks
Appropriate short-term storage conditions
+4°C
Appropriate long-term storage conditions
-20°C
Aliquoting information
Upon delivery aliquot
Storage information
Avoid freeze / thaw cycle

Supplementary information

This supplementary information is collated from multiple sources and compiled automatically.

Tyrosine hydroxylase also known as TH is an enzyme that catalyzes the conversion of L-tyrosine to L-DOPA. It weighs approximately 60 kDa. You can find this enzyme expressed mainly in the brain adrenal glands and some peripheral tissues. Commonly studied antibodies include anti-tyrosine hydroxylase or anti-TH. It plays a significant role in the catecholamine biosynthesis pathway serving as the rate-limiting step in dopamine synthesis.
Biological function summary

Tyrosine hydroxylase is essential for synthesizing catecholamines including dopamine norepinephrine and epinephrine. This enzyme associates with other components in the catecholamine biosynthetic pathway. It functions as part of a larger complex within certain cells where its action determines levels of important neurotransmitters. These neurotransmitters help regulate numerous central and peripheral nervous system activities.

Pathways

Tyrosine hydroxylase acts as a critical component in both the dopaminergic and adrenergic pathways. In the dopaminergic pathway tyrosine hydroxylase facilitates dopamine production influencing various physiological processes. The enzyme also correlates with ardrd protein in these pathways allowing fine-tuned control of neurotransmitter synthesis. Proteins related to tyrosine hydroxylase in these pathways include aromatic L-amino acid decarboxylase which further processes L-DOPA into dopamine.

Tyrosine hydroxylase has connections with neurodegenerative diseases like Parkinson's disease and conditions such as dystonia. Dysfunctional expression or activity of this enzyme can lead to dopamine deficiency contributing to the motor symptoms in Parkinson's disease. In dystonia alterations in tyrosine hydroxylase activity affect neurotransmitter balance influencing muscle coordination. The relationship with ardrd protein highlights tyrosine hydroxylase's role in maintaining neural health and it highlights potential areas for therapeutic intervention.

Product protocols

For this product, it's our understanding that no specific protocols are required. You can visit:

Target data

Catalyzes the conversion of L-tyrosine to L-dihydroxyphenylalanine (L-Dopa), the rate-limiting step in the biosynthesis of cathecolamines, dopamine, noradrenaline, and adrenaline. Uses tetrahydrobiopterin and molecular oxygen to convert tyrosine to L-Dopa (PubMed : 15287903, PubMed : 1680128, PubMed : 17391063, PubMed : 24753243, PubMed : 34922205, PubMed : 8528210, Ref.18). In addition to tyrosine, is able to catalyze the hydroxylation of phenylalanine and tryptophan with lower specificity (By similarity). Positively regulates the regression of retinal hyaloid vessels during postnatal development (By similarity).. Isoform 5. Lacks catalytic activity.. Isoform 6. Lacks catalytic activity.
See full target information TH

Publications (2)

Recent publications for all applications. Explore the full list and refine your search

Frontiers in behavioral neuroscience 18:1455622 PubMed39539942

2024

Mechanical acupuncture at HT7 attenuates alcohol self-administration in rats by modulating neuroinflammation and altering mPFC-habenula-VTA circuit activity.

Applications

Unspecified application

Species

Unspecified reactive species

Su Yeon Seo,Se Kyun Bang,Suk Yun Kang,Seong Jin Cho,Kwang-Ho Choi,Yeonhee Ryu

Chinese medicine 19:43 PubMed38448912

2024

Electroacupuncture pretreatment mediates sympathetic nerves to alleviate myocardial ischemia-reperfusion injury via CRH neurons in the paraventricular nucleus of the hypothalamus.

Applications

Unspecified application

Species

Unspecified reactive species

Jie Zhou,Bin Zhang,Xiang Zhou,Fan Zhang,Qi Shu,Yan Wu,Hui-Min Chang,Ling Hu,Rong-Lin Cai,Qing Yu
View all publications

Product promise

We are committed to supporting your work with high-quality reagents, and we're here for you every step of the way. In the unlikely event that one of our products does not perform as expected, you're protected by our Product Promise.
For full details, please see our Terms & Conditions

Please note: All products are 'FOR RESEARCH USE ONLY. NOT FOR USE IN DIAGNOSTIC OR THERAPEUTIC PROCEDURES'.

For licensing inquiries, please contact partnerships@abcam.com