JavaScript is disabled in your browser. Please enable JavaScript to view this website.
AB314484

Anti-Tyrosine Hydroxylase (phospho S31) antibody [EPR26192-116]

  • BOND RX™ Validated
  • 20ul selling size
  • RabMAb
  • Recombinant
  • What is this?

Be the first to review this product! Submit a review

|

(0 Publication)

Rabbit Recombinant Monoclonal Tyrosine Hydroxylase phospho S31 antibody. Suitable for IHC-P, WB, IP, Dot, Flow Cyt (Intra) and reacts with Mouse, Rat, Synthetic peptide samples.

View Alternative Names

Tyrosine 3-monooxygenase, Tyrosine 3-hydroxylase, TH, Th

10 Images
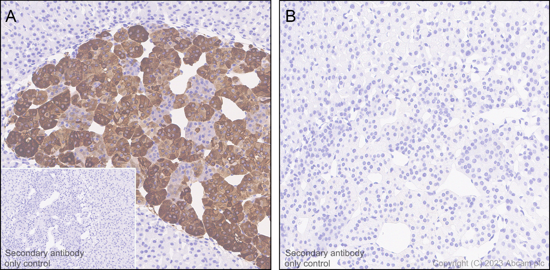
Immunohistochemistry (Formalin/PFA-fixed paraffin-embedded sections) - Anti-Tyrosine Hydroxylase (phospho S31) antibody [EPR26192-116] (AB314484)
  • IHC-P

Supplier Data

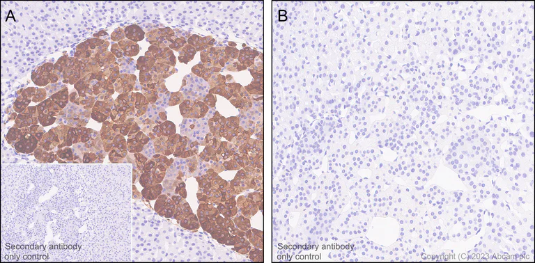
Immunohistochemistry (Formalin/PFA-fixed paraffin-embedded sections) - Anti-Tyrosine Hydroxylase (phospho S31) antibody [EPR26192-116] (AB314484)

Immunohistochemical analysis of paraffin-embedded Rat cerebrum tissue labeling Tyrosine Hydroxylase (phospho S31) with ab314484 at 1/6000 (0.086 ug/ml) followed by a ready to use LeicaDS9800 (Bond™ Polymer Refine Detection). Cytoplasmic staining on rat cerebrum without alkaline phosphatase treatment (A). No signal was detected when tissues were treated with alkaline phosphatase (B). The section was incubated with ab314484 for 30 mins at room temperature.The immunostaining was performed on a Leica Biosystems BOND® RX instrument.Incubate slides with 3% Hydrogen Peroxide for 10 mins at room temperature after secondary antibody incubation to reduce the background. Counterstained with Hematoxylin. Secondary antibody only control : Secondary antibody is a ready to use LeicaDS9800 (Bond™ Polymer Refine Detection). Heat mediated antigen retrieval was performed with Citrate buffer (pH 6.0, Epitope Retrieval Solution 1) for 20 mins

Immunohistochemistry (Formalin/PFA-fixed paraffin-embedded sections) - Anti-Tyrosine Hydroxylase (phospho S31) antibody [EPR26192-116] (AB314484)
  • IHC-P

Supplier Data

Immunohistochemistry (Formalin/PFA-fixed paraffin-embedded sections) - Anti-Tyrosine Hydroxylase (phospho S31) antibody [EPR26192-116] (AB314484)

Immunohistochemical analysis of paraffin-embedded Mouse adrenal gland tissue labeling Tyrosine Hydroxylase (phospho S31) with ab314484 at 1/6000 (0.086 ug/ml) followed by a ready to use LeicaDS9800 (Bond™ Polymer Refine Detection). Cytoplasmic staining on mouse adrenal gland without alkaline phosphatase treatment (A). No signal was detected when tissues were treated with alkaline phosphatase (B). The section was incubated with ab314484 for 30 mins at room temperature.The immunostaining was performed on a Leica Biosystems BOND® RX instrument.Incubate slides with 3% Hydrogen Peroxide for 10 mins at room temperature after secondary antibody incubation to reduce the background. Counterstained with Hematoxylin. Secondary antibody only control : Secondary antibody is a ready to use LeicaDS9800 (Bond™ Polymer Refine Detection). Heat mediated antigen retrieval was performed with Citrate buffer (pH 6.0, Epitope Retrieval Solution 1) for 20 mins

Immunohistochemistry (Formalin/PFA-fixed paraffin-embedded sections) - Anti-Tyrosine Hydroxylase (phospho S31) antibody [EPR26192-116] (AB314484)
  • IHC-P

Supplier Data

Immunohistochemistry (Formalin/PFA-fixed paraffin-embedded sections) - Anti-Tyrosine Hydroxylase (phospho S31) antibody [EPR26192-116] (AB314484)

Immunohistochemical analysis of paraffin-embedded Mouse cerebrum tissue labeling Tyrosine Hydroxylase (phospho S31) with ab314484 at 1/6000 (0.086 ug/ml) followed by a ready to use LeicaDS9800 (Bond™ Polymer Refine Detection). Cytoplasmic staining on mouse cerebrum without alkaline phosphatase treatment (A). No signal was detected when tissues were treated with alkaline phosphatase (B). The section was incubated with ab314484 for 30 mins at room temperature.The immunostaining was performed on a Leica Biosystems BOND® RX instrument.Incubate slides with 3% Hydrogen Peroxide for 10 mins at room temperature after secondary antibody incubation to reduce the background. Counterstained with Hematoxylin. Secondary antibody only control : Secondary antibody is a ready to use LeicaDS9800 (Bond™ Polymer Refine Detection). Heat mediated antigen retrieval was performed with Citrate buffer (pH 6.0, Epitope Retrieval Solution 1) for 20 mins

Flow Cytometry (Intracellular) - Anti-Tyrosine Hydroxylase (phospho S31) antibody [EPR26192-116] (AB314484)
  • Flow Cyt (Intra)

Supplier Data

Flow Cytometry (Intracellular) - Anti-Tyrosine Hydroxylase (phospho S31) antibody [EPR26192-116] (AB314484)

Flow cytometric analysis of 4% paraformaldehyde fixed 90% methanol permeabilized PC-12 (rat adrenal gland pheochromocytoma cell) treated with phosphatase at 37℃ overnight (Left) / Untreated PC-12 (Right) cells labelling Tyrosine Hydroxylase (phospho S31) with ab314484 at 1/500 dilution (0.1 ug)/Red and Green (Red) compared with a Rabbit monoclonal IgG (ab172730) (Black) isotype control and an unlabelled control (cells without incubation with primary antibody and secondary antibody) (Blue). A Goat Anti-Rabbit IgG (Alexa Fluor® 488, ab150081) at 1/5000 dilution was used as the secondary antibody.

Immunoprecipitation - Anti-Tyrosine Hydroxylase (phospho S31) antibody [EPR26192-116] (AB314484)
  • IP

Supplier Data

Immunoprecipitation - Anti-Tyrosine Hydroxylase (phospho S31) antibody [EPR26192-116] (AB314484)

Tyrosine Hydroxylase (phospho S31) was immunoprecipitated from 0.35 mg Mouse brain tissue lysate with ab314484 at 1/30 dilution (2ug in 0.35mg lysates). Western blot was performed on the immunoprecipitate using ab314484 at 1/1000 dilution. VeriBlot for IP secondary antibody(HRP)(ab131366) was used at 1/5000 dilution. Lane 1 : Mouse brain tissue lysate Lane 2 : ab314484 IP in Mouse brain tissue lysate Lane 3 : Rabbit monoclonal IgG (ab172730) instead of ab314484 in mouse brain tissue lysate Blocking and dilution buffer and concentration : 5% NFDM/TBST.

All lanes:

Immunoprecipitation - Anti-Tyrosine Hydroxylase (phospho S31) antibody [EPR26192-116] (ab314484) at 1/30 dilution

All lanes:

Mouse brain tissue lysate

Secondary

All lanes:

Immunoprecipitation - VeriBlot for IP Detection Reagent (HRP) (<a href='/en-us/products/reagents/veriblot-for-ip-detection-reagent-hrp-ab131366'>ab131366</a>) at 1/5000 dilution

false

Exposure time: 32s

Immunoprecipitation - Anti-Tyrosine Hydroxylase (phospho S31) antibody [EPR26192-116] (AB314484)
  • IP

Supplier Data

Immunoprecipitation - Anti-Tyrosine Hydroxylase (phospho S31) antibody [EPR26192-116] (AB314484)

Tyrosine Hydroxylase (phospho S31) was immunoprecipitated from 0.35 mg Rat brain tissue lysate with ab314484 at 1/30 dilution (2ug in 0.35mg lysates). Western blot was performed on the immunoprecipitate using ab314484 at 1/1000 dilution. VeriBlot for IP secondary antibody(HRP)(ab131366) was used at 1/5000 dilution. Lane 1 : Rat brain tissue lysate Lane 2 : ab314484 IP in Rat brain tissue lysate Lane 3 : Rabbit monoclonal IgG (ab172730) instead of ab314484 in rat brain tissue lysate Blocking and dilution buffer and concentration : 5% NFDM/TBST.

All lanes:

Immunoprecipitation - Anti-Tyrosine Hydroxylase (phospho S31) antibody [EPR26192-116] (ab314484) at 1/30 dilution

All lanes:

Rat brain tissue lysate

Secondary

All lanes:

Immunoprecipitation - VeriBlot for IP Detection Reagent (HRP) (<a href='/en-us/products/reagents/veriblot-for-ip-detection-reagent-hrp-ab131366'>ab131366</a>) at 1/5000 dilution

false

Exposure time: 32s

Western blot - Anti-Tyrosine Hydroxylase (phospho S31) antibody [EPR26192-116] (AB314484)
  • WB

Supplier Data

Western blot - Anti-Tyrosine Hydroxylase (phospho S31) antibody [EPR26192-116] (AB314484)

Blocking and diluting buffer and concentration : 5% NFDM/TBST Negative control : liver In Western blot, Anti-GAPDH antibody [EPR16891] - Loading Control (ab181602) staining at 1/200000 dilution. In Western blot, Anti-Tyrosine Hydroxylase antibody staining at 1/1000 dilution

All lanes:

Western blot - Anti-Tyrosine Hydroxylase (phospho S31) antibody [EPR26192-116] (ab314484) at 1/1000 dilution

Lane 1:

Mouse adrenal gland tissue lysate (untreated membrane) at 20 µg

Lane 2:

Mouse liver tissue lysate (untreated membrane) at 20 µg

Lane 3:

Mouse adrenal gland tissue lysate (phosphatase treated membrane) at 20 µg

Lane 4:

Mouse liver tissue lysate (phosphatase treated membrane) at 20 µg

Secondary

All lanes:

Western blot - Goat Anti-Rabbit IgG H&L (HRP) (<a href='/en-us/products/secondary-antibodies/goat-rabbit-igg-h-l-hrp-ab97051'>ab97051</a>) at 1/100000 dilution

Observed band size: 60 kDa

false

Exposure time: 37s

Western blot - Anti-Tyrosine Hydroxylase (phospho S31) antibody [EPR26192-116] (AB314484)
  • WB

Supplier Data

Western blot - Anti-Tyrosine Hydroxylase (phospho S31) antibody [EPR26192-116] (AB314484)

Blocking and diluting buffer and concentration : 5% NFDM/TBST In Western blot, Anti-GAPDH antibody [EPR16891] - Loading Control (ab181602) staining at 1/200000 dilution. In Western blot, Anti-Tyrosine Hydroxylase antibody staining at 1/1000 dilution

All lanes:

Western blot - Anti-Tyrosine Hydroxylase (phospho S31) antibody [EPR26192-116] (ab314484) at 1/1000 dilution

Lane 1:

PC-12 (rat adrenal gland pheochromocytoma cell) whole cell lysate (untreated membrane) at 20 µg

Lane 2:

PC-12 whole cell lysate (phosphatase treated membrane) at 20 µg

Secondary

All lanes:

Western blot - Goat Anti-Rabbit IgG H&L (HRP) (<a href='/en-us/products/secondary-antibodies/goat-rabbit-igg-h-l-hrp-ab97051'>ab97051</a>) at 1/100000 dilution

Observed band size: 60 kDa

false

Exposure time: 37s

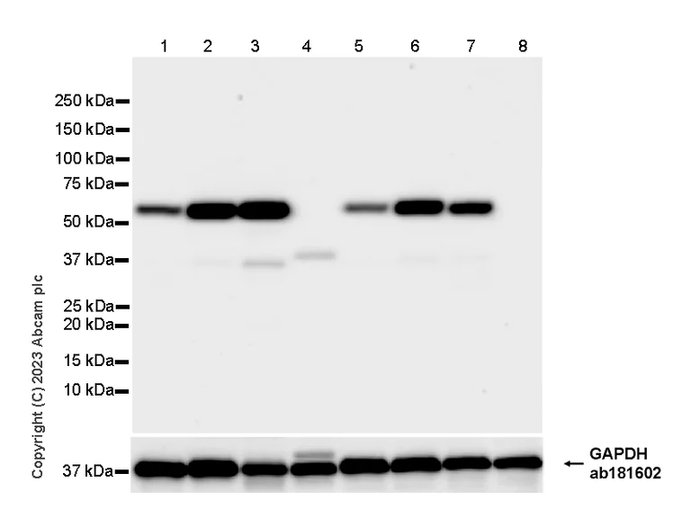
Western blot - Anti-Tyrosine Hydroxylase (phospho S31) antibody [EPR26192-116] (AB314484)
  • WB

Supplier Data

Western blot - Anti-Tyrosine Hydroxylase (phospho S31) antibody [EPR26192-116] (AB314484)

Blocking and diluting buffer and concentration : 5% NFDM/TBST Negative control : liver. The identity of the band around 37 kDa is unknown. In Western blot, Anti-GAPDH antibody [EPR16891] - Loading Control (ab181602) staining at 1/200000 dilution.

All lanes:

Western blot - Anti-Tyrosine Hydroxylase (phospho S31) antibody [EPR26192-116] (ab314484) at 1/1000 dilution

Lane 1:

Mouse brain tissue lysate at 20 µg

Lane 2:

Mouse striatum tissue lysate at 20 µg

Lane 3:

Mouse adrenal gland tissue lysate at 20 µg

Lane 4:

Mouse liver tissue lysate at 20 µg

Lane 5:

Rat brain tissue lysate at 20 µg

Lane 6:

Rat striatum tissue lysate at 20 µg

Lane 7:

Rat adrenal gland tissue lysate at 20 µg

Lane 8:

Rat liver tissue lysate at 20 µg

Secondary

All lanes:

Western blot - Goat Anti-Rabbit IgG H&L (HRP) (<a href='/en-us/products/secondary-antibodies/goat-rabbit-igg-h-l-hrp-ab97051'>ab97051</a>) at 1/100000 dilution

Observed band size: 60 kDa

false

Exposure time: 15s

Dot Blot - Anti-Tyrosine Hydroxylase (phospho S31) antibody [EPR26192-116] (AB314484)
  • Dot

Supplier Data

Dot Blot - Anti-Tyrosine Hydroxylase (phospho S31) antibody [EPR26192-116] (AB314484)

Dot blot analysis of Tyrosine Hydroxylase (phospho S31) using ab314484 at 1 : 1000 (0.514 ug/ml) followed by a Goat Anti-Rabbit IgG, (H+L), Peroxidase conjugated (ab97051) at 1 : 100,000 dilution. Exposure time : 180 seconds Blocking and diluting buffer and concentration : 5% NFDM/TBST

  • Carrier free

    Anti-Tyrosine Hydroxylase (phospho S31) antibody [EPR26192-116] - BSA and Azide free

Key facts

Host species

Rabbit

Clonality

Monoclonal

Clone number

EPR26192-116

Isotype

IgG

Carrier free

No

Reacts with

Mouse, Rat

Applications

Dot, IHC-P, Flow Cyt (Intra), IP, WB

applications

Immunogen

The exact immunogen used to generate this antibody is proprietary information.

Reactivity data

{ "title": "Reactivity Data", "filters": { "stats": ["", "Species", "Dilution Info", "Notes"], "tabs": { "all-applications": {"fullname" : "All Applications", "shortname": "All Applications"}, "IHCP" : {"fullname" : "Immunohistochemistry (Formalin/PFA-fixed paraffin-embedded sections)", "shortname":"IHC-P"}, "WB" : {"fullname" : "Western blot", "shortname":"WB"}, "IP" : {"fullname" : "Immunoprecipitation", "shortname":"IP"}, "Dot" : {"fullname" : "Dot Blot", "shortname":"Dot"}, "FlowCytIntra" : {"fullname" : "Flow Cytometry (Intracellular)", "shortname":"Flow Cyt (Intra)"}, "ICCIF" : {"fullname" : "Immunocytochemistry/ Immunofluorescence", "shortname":"ICC/IF"}, "IHCFr" : {"fullname" : "Immunohistochemistry (Frozen sections)", "shortname":"IHC-Fr"} }, "product-promise": { "all": "all", "testedAndGuaranteed": "tested", "guaranteed": "expected", "predicted": "predicted", "notRecommended": "not-recommended" } }, "values": { "Human": { "IHCP-species-checked": "notRecommended", "IHCP-species-dilution-info": "", "IHCP-species-notes": "<p></p>", "WB-species-checked": "notRecommended", "WB-species-dilution-info": "", "WB-species-notes": "<p></p>", "IP-species-checked": "notRecommended", "IP-species-dilution-info": "", "IP-species-notes": "", "Dot-species-checked": "notRecommended", "Dot-species-dilution-info": "", "Dot-species-notes": "", "FlowCytIntra-species-checked": "notRecommended", "FlowCytIntra-species-dilution-info": "", "FlowCytIntra-species-notes": "", "ICCIF-species-checked": "notRecommended", "ICCIF-species-dilution-info": "", "ICCIF-species-notes": "", "IHCFr-species-checked": "notRecommended", "IHCFr-species-dilution-info": "", "IHCFr-species-notes": "" }, "Mouse": { "IHCP-species-checked": "testedAndGuaranteed", "IHCP-species-dilution-info": "1/6000", "IHCP-species-notes": "<p></p> Perform heat-mediated antigen retrieval with citrate buffer pH 6 before commencing with IHC staining protocol.", "WB-species-checked": "testedAndGuaranteed", "WB-species-dilution-info": "1/1000", "WB-species-notes": "<p></p>", "IP-species-checked": "testedAndGuaranteed", "IP-species-dilution-info": "1/30", "IP-species-notes": "<p></p>", "Dot-species-checked": "guaranteed", "Dot-species-dilution-info": "", "Dot-species-notes": "", "FlowCytIntra-species-checked": "notRecommended", "FlowCytIntra-species-dilution-info": "", "FlowCytIntra-species-notes": "<p></p>", "ICCIF-species-checked": "notRecommended", "ICCIF-species-dilution-info": "", "ICCIF-species-notes": "<p></p>", "IHCFr-species-checked": "notRecommended", "IHCFr-species-dilution-info": "", "IHCFr-species-notes": "<p></p>" }, "Rat": { "IHCP-species-checked": "testedAndGuaranteed", "IHCP-species-dilution-info": "1/6000", "IHCP-species-notes": "<p></p> Perform heat-mediated antigen retrieval with citrate buffer pH 6 before commencing with IHC staining protocol.", "WB-species-checked": "testedAndGuaranteed", "WB-species-dilution-info": "1/1000", "WB-species-notes": "<p></p>", "IP-species-checked": "testedAndGuaranteed", "IP-species-dilution-info": "1/30", "IP-species-notes": "<p></p>", "Dot-species-checked": "guaranteed", "Dot-species-dilution-info": "", "Dot-species-notes": "", "FlowCytIntra-species-checked": "testedAndGuaranteed", "FlowCytIntra-species-dilution-info": "1/500", "FlowCytIntra-species-notes": "<p></p>", "ICCIF-species-checked": "notRecommended", "ICCIF-species-dilution-info": "", "ICCIF-species-notes": "<p></p>", "IHCFr-species-checked": "notRecommended", "IHCFr-species-dilution-info": "", "IHCFr-species-notes": "<p></p>" }, "Synthetic peptide": { "IHCP-species-checked": "notRecommended", "IHCP-species-dilution-info": "", "IHCP-species-notes": "", "WB-species-checked": "notRecommended", "WB-species-dilution-info": "", "WB-species-notes": "", "IP-species-checked": "notRecommended", "IP-species-dilution-info": "", "IP-species-notes": "", "Dot-species-checked": "testedAndGuaranteed", "Dot-species-dilution-info": "1/1000", "Dot-species-notes": "<p></p>", "FlowCytIntra-species-checked": "notRecommended", "FlowCytIntra-species-dilution-info": "", "FlowCytIntra-species-notes": "", "ICCIF-species-checked": "notRecommended", "ICCIF-species-dilution-info": "", "ICCIF-species-notes": "", "IHCFr-species-checked": "notRecommended", "IHCFr-species-dilution-info": "", "IHCFr-species-notes": "" } } }

Product details

Patented technology
Our RabMAb® technology is a patented hybridoma-based technology for making rabbit monoclonal antibodies. For details on our patents, please refer to RabMAb® patents.

What are the advantages of a recombinant monoclonal antibody?
This product is a recombinant monoclonal antibody, which offers several advantages including:

  • - High batch-to-batch consistency and reproducibility
  • - Improved sensitivity and specificity
  • - Long-term security of supply
  • - Animal-free batch production

For more information, read more on recombinant antibodies.

Properties and storage information

Form
Liquid
Purification technique
Affinity purification Protein A
Storage buffer
pH: 7.2 - 7.4 Preservative: 0.01% Sodium azide Constituents: PBS, 40% Glycerol (glycerin, glycerine), 0.05% BSA
Shipped at conditions
Blue Ice
Appropriate short-term storage duration
1-2 weeks
Appropriate short-term storage conditions
+4°C
Appropriate long-term storage conditions
-20°C
Aliquoting information
Upon delivery aliquot
Storage information
Avoid freeze / thaw cycle

Supplementary information

This supplementary information is collated from multiple sources and compiled automatically.

Tyrosine hydroxylase also known as TH is an enzyme that catalyzes the conversion of L-tyrosine to L-DOPA. It weighs approximately 60 kDa. You can find this enzyme expressed mainly in the brain adrenal glands and some peripheral tissues. Commonly studied antibodies include anti-tyrosine hydroxylase or anti-TH. It plays a significant role in the catecholamine biosynthesis pathway serving as the rate-limiting step in dopamine synthesis.
Biological function summary

Tyrosine hydroxylase is essential for synthesizing catecholamines including dopamine norepinephrine and epinephrine. This enzyme associates with other components in the catecholamine biosynthetic pathway. It functions as part of a larger complex within certain cells where its action determines levels of important neurotransmitters. These neurotransmitters help regulate numerous central and peripheral nervous system activities.

Pathways

Tyrosine hydroxylase acts as a critical component in both the dopaminergic and adrenergic pathways. In the dopaminergic pathway tyrosine hydroxylase facilitates dopamine production influencing various physiological processes. The enzyme also correlates with ardrd protein in these pathways allowing fine-tuned control of neurotransmitter synthesis. Proteins related to tyrosine hydroxylase in these pathways include aromatic L-amino acid decarboxylase which further processes L-DOPA into dopamine.

Tyrosine hydroxylase has connections with neurodegenerative diseases like Parkinson's disease and conditions such as dystonia. Dysfunctional expression or activity of this enzyme can lead to dopamine deficiency contributing to the motor symptoms in Parkinson's disease. In dystonia alterations in tyrosine hydroxylase activity affect neurotransmitter balance influencing muscle coordination. The relationship with ardrd protein highlights tyrosine hydroxylase's role in maintaining neural health and it highlights potential areas for therapeutic intervention.

Product protocols

For this product, it's our understanding that no specific protocols are required. You can visit:

Target data

Catalyzes the conversion of L-tyrosine to L-dihydroxyphenylalanine (L-Dopa), the rate-limiting step in the biosynthesis of cathecolamines, dopamine, noradrenaline, and adrenaline. Uses tetrahydrobiopterin and molecular oxygen to convert tyrosine to L-Dopa (By similarity). In addition to tyrosine, is able to catalyze the hydroxylation of phenylalanine and tryptophan with lower specificity (By similarity). Positively regulates the regression of retinal hyaloid vessels during postnatal development (PubMed : 30936473).
See full target information Tyrosine 3-monooxygenase phospho S31

Product promise

We are committed to supporting your work with high-quality reagents, and we're here for you every step of the way. In the unlikely event that one of our products does not perform as expected, you're protected by our Product Promise.
For full details, please see our Terms & Conditions

Please note: All products are 'FOR RESEARCH USE ONLY. NOT FOR USE IN DIAGNOSTIC OR THERAPEUTIC PROCEDURES'.

For licensing inquiries, please contact partnerships@abcam.com