JavaScript is disabled in your browser. Please enable JavaScript to view this website.
AB316311

Anti-Tyrosine Hydroxylase (phospho S40) antibody [EPR26191-5] - BSA and Azide free

Be the first to review this product! Submit a review

|

(0 Publication)

Rabbit Recombinant Monoclonal Tyrosine Hydroxylase phospho S40 antibody. Carrier free. Suitable for Dot, WB, IHC-P, IP and reacts with Synthetic peptide - Mouse, Mouse, Rat samples.

View Alternative Names

Tyrosine 3-monooxygenase, Tyrosine 3-hydroxylase, TH, Th

8 Images
Immunohistochemistry (Formalin/PFA-fixed paraffin-embedded sections) - Anti-Tyrosine Hydroxylase (phospho S40) antibody [EPR26191-5] - BSA and Azide free (AB316311)
  • IHC-P

Supplier Data

Immunohistochemistry (Formalin/PFA-fixed paraffin-embedded sections) - Anti-Tyrosine Hydroxylase (phospho S40) antibody [EPR26191-5] - BSA and Azide free (AB316311)

This data was developed using ab316310, the same antibody clone in a different buffer formulation.

Immunohistochemical analysis of paraffin-embedded Mouse striatum tissue labeling Tyrosine Hydroxylase (phospho S40) with ab316310 at 1/2000 (0.252 ug/ml) dilution, followed by a ready to use LeicaDS9800 (Bond™ Polymer Refine Detection).

Positive staining on mouse striatum without alkaline phosphatase treatment (image A), no signal was detected when tissues were treated with alkaline phosphatase (image B). The section was incubated with ab316310 for 10 mins at room temperature.
The immunostaining was performed on a Leica Biosystems BOND® RX instrument.

Counterstained with Hematoxylin.

Secondary antibody only control : Secondary antibody is a ready to use LeicaDS9800 (Bond™ Polymer Refine Detection).

Heat mediated antigen retrieval was performed with Tris-EDTA buffer (pH 9.0, Epitope Retrieval Solution2) for 20 mins.

Immunohistochemistry (Formalin/PFA-fixed paraffin-embedded sections) - Anti-Tyrosine Hydroxylase (phospho S40) antibody [EPR26191-5] - BSA and Azide free (AB316311)
  • IHC-P

Supplier Data

Immunohistochemistry (Formalin/PFA-fixed paraffin-embedded sections) - Anti-Tyrosine Hydroxylase (phospho S40) antibody [EPR26191-5] - BSA and Azide free (AB316311)

This data was developed using ab316310, the same antibody clone in a different buffer formulation.

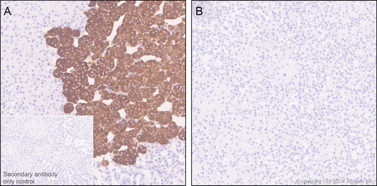
Immunohistochemical analysis of paraffin-embedded Mouse adrenal gland tissue labeling Tyrosine Hydroxylase (phospho S40) with ab316310 at 1/2000 (0.252 ug/ml) dilution, followed by a ready to use LeicaDS9800 (Bond™ Polymer Refine Detection).

Positive staining on mouse adrenal gland without alkaline phosphatase treatment (image A), no signal was detected when tissues were treated with alkaline phosphatase (image B). The section was incubated with ab316310 for 10 mins at room temperature.
The immunostaining was performed on a Leica Biosystems BOND® RX instrument.

Counterstained with Hematoxylin.

Secondary antibody only control : Secondary antibody is a ready to use LeicaDS9800 (Bond™ Polymer Refine Detection).

Heat mediated antigen retrieval was performed with Tris-EDTA buffer (pH 9.0, Epitope Retrieval Solution2) for 20 mins.

Immunohistochemistry (Formalin/PFA-fixed paraffin-embedded sections) - Anti-Tyrosine Hydroxylase (phospho S40) antibody [EPR26191-5] - BSA and Azide free (AB316311)
  • IHC-P

Supplier Data

Immunohistochemistry (Formalin/PFA-fixed paraffin-embedded sections) - Anti-Tyrosine Hydroxylase (phospho S40) antibody [EPR26191-5] - BSA and Azide free (AB316311)

This data was developed using ab316310, the same antibody clone in a different buffer formulation.

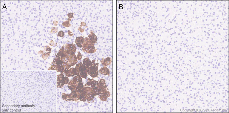
Immunohistochemical analysis of paraffin-embedded Rat adrenal gland tissue labeling Tyrosine Hydroxylase (phospho S40) with ab316310 at 1/5000 (0.101 ug/ml) dilution, followed by a ready to use LeicaDS9800 (Bond™ Polymer Refine Detection).

Positive staining on rat adrenal gland without alkaline phosphatase treatment (image A), no signal was detected when tissues were treated with alkaline phosphatase (image B). The section was incubated with ab316310 for 10 mins at room temperature.
The immunostaining was performed on a Leica Biosystems BOND® RX instrument.

Counterstained with Hematoxylin.

Secondary antibody only control : Secondary antibody is a ready to use LeicaDS9800 (Bond™ Polymer Refine Detection).

Heat mediated antigen retrieval was performed with Tris-EDTA buffer (pH 9.0, Epitope Retrieval Solution2) for 20 mins.

Immunoprecipitation - Anti-Tyrosine Hydroxylase (phospho S40) antibody [EPR26191-5] - BSA and Azide free (AB316311)
  • IP

Supplier Data

Immunoprecipitation - Anti-Tyrosine Hydroxylase (phospho S40) antibody [EPR26191-5] - BSA and Azide free (AB316311)

This data was developed using ab316310, the same antibody clone in a different buffer formulation.

Tyrosine Hydroxylase (phospho S40) was immunoprecipitated from 0.35 mg Mouse striatum treated with 10μM forskolin for 10 minutes whole cell lysate with ab316310 at 1/30 dilution (2ug in 0.35mg lysates). Western blot was performed on the immunoprecipitate using ab316310 at 1/1000 dilution. VeriBlot for IP secondary antibody(HRP)(ab131366) was used at 1/5000 dilution.

Lane 1 : Mouse striatum treated with 10μM forskolin for 10 minutes whole cell lysate
Lane 2 : ab316310 IP in Mouse striatum treated with 10μM forskolin for 10 minutes whole cell lysate
Lane 3 : Rabbit monoclonal IgG (ab172730) instead of ab316310 in Mouse striatum treated with 10μM forskolin for 10 minutes whole cell lysate

All lanes:

Immunoprecipitation - Anti-Tyrosine Hydroxylase (phospho S40) antibody [EPR26191-5] (<a href='/en-us/products/primary-antibodies/tyrosine-hydroxylase-phospho-s40-antibody-epr26191-5-ab316310'>ab316310</a>) at 1/30 dilution

All lanes:

Mouse striatum treated with 10&micro;M forskolin for 10 minutes whole cell lysate

Secondary

All lanes:

Immunoprecipitation - VeriBlot for IP Detection Reagent (HRP) (<a href='/en-us/products/reagents/veriblot-for-ip-detection-reagent-hrp-ab131366'>ab131366</a>) at 1/5000 dilution

false

Exposure time: 48s

Immunoprecipitation - Anti-Tyrosine Hydroxylase (phospho S40) antibody [EPR26191-5] - BSA and Azide free (AB316311)
  • IP

Supplier Data

Immunoprecipitation - Anti-Tyrosine Hydroxylase (phospho S40) antibody [EPR26191-5] - BSA and Azide free (AB316311)

This data was developed using ab316310, the same antibody clone in a different buffer formulation.

Tyrosine Hydroxylase (phospho S40) was immunoprecipitated from 0.35 mg PC-12 (rat adrenal gland pheochromocytoma cell) treated with 30μM forskolin for 60 minutes whole cell lysate with ab316310 at 1/30 dilution (2ug in 0.35mg lysates). Western blot was performed on the immunoprecipitate using ab316310 at 1/1000 dilution. VeriBlot for IP secondary antibody(HRP)(ab131366) was used at 1/5000 dilution.

Lane 1 : PC-12 (rat adrenal gland pheochromocytoma cell) treated with 30μM forskolin for 60 minutes whole cell lysate
Lane 2 : ab316310 IP in PC-12 (rat adrenal gland pheochromocytoma cell) treated with 30μM forskolin for 60 minutes whole cell lysate
Lane 3 : Rabbit monoclonal IgG (ab172730) instead of ab316310 in PC-12 treated with 30μM forskolin for 60 minutes whole cell lysate

All lanes:

Immunoprecipitation - Anti-Tyrosine Hydroxylase (phospho S40) antibody [EPR26191-5] (<a href='/en-us/products/primary-antibodies/tyrosine-hydroxylase-phospho-s40-antibody-epr26191-5-ab316310'>ab316310</a>) at 1/30 dilution

All lanes:

PC-12 (rat adrenal gland pheochromocytoma cell) treated with 30&micro;M forskolin for 60 minutes whole cell lysate

Secondary

All lanes:

Immunoprecipitation - VeriBlot for IP Detection Reagent (HRP) (<a href='/en-us/products/reagents/veriblot-for-ip-detection-reagent-hrp-ab131366'>ab131366</a>) at 1/5000 dilution

false

Exposure time: 3s

Western blot - Anti-Tyrosine Hydroxylase (phospho S40) antibody [EPR26191-5] - BSA and Azide free (AB316311)
  • WB

Supplier Data

Western blot - Anti-Tyrosine Hydroxylase (phospho S40) antibody [EPR26191-5] - BSA and Azide free (AB316311)

This data was developed using ab316310, the same antibody clone in a different buffer formulation.

Tyrosine Hydroxylase (phospho S40) expression can be induced by forskolin treatment (PMID : 17157277).

In Western blot, Anti-GAPDH antibody [EPR16891] - Loading Control (ab181602) staining at 1/200000 dilution.

In Western blot, Anti-Tyrosine Hydroxylase antibody - Total protein control (ab137869) staining at 1/1000 dilution.

All lanes:

Western blot - Anti-Tyrosine Hydroxylase (phospho S40) antibody [EPR26191-5] (<a href='/en-us/products/primary-antibodies/tyrosine-hydroxylase-phospho-s40-antibody-epr26191-5-ab316310'>ab316310</a>) at 1/1000 dilution

Lane 1:

Untreated Mouse striatum tissue lysate (untreated membrane) at 20 µg

Lane 2:

Mouse striatum treated with 10uM forskolin for 10 minutes whole cell lysate (untreated membrane) at 20 µg

Lane 3:

Untreated Mouse striatum tissue lysate (alkaline phosphatase treated membrane) at 20 µg

Lane 4:

Mouse striatum treated with 10uM forskolin for 10 minutes whole cell lysate (alkaline phosphatase treated membrane) at 20 µg

Secondary

All lanes:

Western blot - Goat Anti-Rabbit IgG H&L (HRP) (<a href='/en-us/products/secondary-antibodies/goat-rabbit-igg-h-l-hrp-ab97051'>ab97051</a>) at 1/20000 dilution

Observed band size: 58 kDa,36 kDa

false

Exposure time: 136s

Western blot - Anti-Tyrosine Hydroxylase (phospho S40) antibody [EPR26191-5] - BSA and Azide free (AB316311)
  • WB

Supplier Data

Western blot - Anti-Tyrosine Hydroxylase (phospho S40) antibody [EPR26191-5] - BSA and Azide free (AB316311)

This data was developed using ab316310, the same antibody clone in a different buffer formulation.

Tyrosine Hydroxylase (phospho S40) expression can be induced by forskolin treatment (PMID : 17157277).

In Western blot, Anti-GAPDH antibody [EPR16891] - Loading Control (ab181602) staining at 1/200000 dilution.

In Western blot, Anti-Tyrosine Hydroxylase antibody - Total protein control (ab137869) staining at 1/1000 dilution.

All lanes:

Western blot - Anti-Tyrosine Hydroxylase (phospho S40) antibody [EPR26191-5] (<a href='/en-us/products/primary-antibodies/tyrosine-hydroxylase-phospho-s40-antibody-epr26191-5-ab316310'>ab316310</a>) at 1/1000 dilution

Lane 1:

Untreated PC-12 (rat adrenal gland pheochromocytoma cell) whole cell lysate (untreated membrane) at 20 µg

Lane 2:

PC-12 treated with 30uM forskolin for 60 minutes whole cell lysate (untreated membrane) at 20 µg

Lane 3:

PC-12 treated with 30uM forskolin for 60 minutes whole cell lysate (alkaline phosphatase treated membrane) at 20 µg

Secondary

All lanes:

Western blot - Goat Anti-Rabbit IgG H&L (HRP) (<a href='/en-us/products/secondary-antibodies/goat-rabbit-igg-h-l-hrp-ab97051'>ab97051</a>) at 1/20000 dilution

Observed band size: 58 kDa,36 kDa

false

Exposure time: 3s

Dot Blot - Anti-Tyrosine Hydroxylase (phospho S40) antibody [EPR26191-5] - BSA and Azide free (AB316311)
  • Dot

Supplier Data

Dot Blot - Anti-Tyrosine Hydroxylase (phospho S40) antibody [EPR26191-5] - BSA and Azide free (AB316311)

This data was developed using ab316310, the same antibody clone in a different buffer formulation.

Dot blot analysis of Tyrosine Hydroxylase (phospho S40) using ab316310 at 1 : 1000 (0.504 ug/ml) followed by a Goat Anti-Rabbit IgG, (H+L), Peroxidase conjugated (ab97051) at 1 : 100,000 dilution.

Blocking and diluting buffer and concentration : 5% NFDM/TBST.

All lanes:

Dot Blot - Anti-Tyrosine Hydroxylase (phospho S40) antibody [EPR26191-5] (<a href='/en-us/products/primary-antibodies/tyrosine-hydroxylase-phospho-s40-antibody-epr26191-5-ab316310'>ab316310</a>) at 1/1000 dilution

Lane 1:

Tyrosine Hydroxylase (phospho S40) peptide a

Lane 2:

Tyrosine Hydroxylase (phospho S40) peptide b

Lane 3:

Tyrosine Hydroxylase non-phospho peptide c

Secondary

All lanes:

Dot Blot - Goat Anti-Rabbit IgG H&L (HRP) (<a href='/en-us/products/secondary-antibodies/goat-rabbit-igg-h-l-hrp-ab97051'>ab97051</a>) at 1/100000 dilution

false

Exposure time: 180s

  • Unconjugated

    Anti-Tyrosine Hydroxylase (phospho S40) antibody [EPR26191-5]

Key facts

Host species

Rabbit

Clonality

Monoclonal

Clone number

EPR26191-5

Isotype

IgG

Carrier free

Yes

Reacts with

Mouse, Rat

Applications

IHC-P, WB, IP, Dot

applications

Immunogen

The exact immunogen used to generate this antibody is proprietary information.

Reactivity data

{ "title": "Reactivity Data", "filters": { "stats": ["", "Species", "Dilution Info", "Notes"], "tabs": { "all-applications": {"fullname" : "All Applications", "shortname": "All Applications"}, "Dot" : {"fullname" : "Dot Blot", "shortname":"Dot"}, "WB" : {"fullname" : "Western blot", "shortname":"WB"}, "IHCP" : {"fullname" : "Immunohistochemistry (Formalin/PFA-fixed paraffin-embedded sections)", "shortname":"IHC-P"}, "IP" : {"fullname" : "Immunoprecipitation", "shortname":"IP"}, "ICCIF" : {"fullname" : "Immunocytochemistry/ Immunofluorescence", "shortname":"ICC/IF"}, "FlowCytIntra" : {"fullname" : "Flow Cytometry (Intracellular)", "shortname":"Flow Cyt (Intra)"} }, "product-promise": { "all": "all", "testedAndGuaranteed": "tested", "guaranteed": "expected", "predicted": "predicted", "notRecommended": "not-recommended" } }, "values": { "Human": { "Dot-species-checked": "notRecommended", "Dot-species-dilution-info": "", "Dot-species-notes": "", "WB-species-checked": "notRecommended", "WB-species-dilution-info": "", "WB-species-notes": "<p></p>", "IHCP-species-checked": "notRecommended", "IHCP-species-dilution-info": "", "IHCP-species-notes": "<p></p>", "IP-species-checked": "notRecommended", "IP-species-dilution-info": "", "IP-species-notes": "", "ICCIF-species-checked": "notRecommended", "ICCIF-species-dilution-info": "", "ICCIF-species-notes": "", "FlowCytIntra-species-checked": "notRecommended", "FlowCytIntra-species-dilution-info": "", "FlowCytIntra-species-notes": "" }, "Mouse": { "Dot-species-checked": "guaranteed", "Dot-species-dilution-info": "", "Dot-species-notes": "", "WB-species-checked": "testedAndGuaranteed", "WB-species-dilution-info": "", "WB-species-notes": "<p></p>", "IHCP-species-checked": "testedAndGuaranteed", "IHCP-species-dilution-info": "", "IHCP-species-notes": "<p></p>", "IP-species-checked": "testedAndGuaranteed", "IP-species-dilution-info": "", "IP-species-notes": "<p></p>", "ICCIF-species-checked": "notRecommended", "ICCIF-species-dilution-info": "", "ICCIF-species-notes": "<p></p>", "FlowCytIntra-species-checked": "notRecommended", "FlowCytIntra-species-dilution-info": "", "FlowCytIntra-species-notes": "<p></p>" }, "Rat": { "Dot-species-checked": "guaranteed", "Dot-species-dilution-info": "", "Dot-species-notes": "", "WB-species-checked": "testedAndGuaranteed", "WB-species-dilution-info": "", "WB-species-notes": "<p></p>", "IHCP-species-checked": "testedAndGuaranteed", "IHCP-species-dilution-info": "", "IHCP-species-notes": "<p></p>", "IP-species-checked": "testedAndGuaranteed", "IP-species-dilution-info": "", "IP-species-notes": "<p></p>", "ICCIF-species-checked": "notRecommended", "ICCIF-species-dilution-info": "", "ICCIF-species-notes": "<p></p>", "FlowCytIntra-species-checked": "notRecommended", "FlowCytIntra-species-dilution-info": "", "FlowCytIntra-species-notes": "<p></p>" }, "Synthetic peptide - Mouse": { "Dot-species-checked": "testedAndGuaranteed", "Dot-species-dilution-info": "", "Dot-species-notes": "<p></p>", "WB-species-checked": "notRecommended", "WB-species-dilution-info": "", "WB-species-notes": "", "IHCP-species-checked": "notRecommended", "IHCP-species-dilution-info": "", "IHCP-species-notes": "", "IP-species-checked": "notRecommended", "IP-species-dilution-info": "", "IP-species-notes": "", "ICCIF-species-checked": "notRecommended", "ICCIF-species-dilution-info": "", "ICCIF-species-notes": "", "FlowCytIntra-species-checked": "notRecommended", "FlowCytIntra-species-dilution-info": "", "FlowCytIntra-species-notes": "" } } }

Product details

ab316311 is the carrirer-free version of ab316310.

Patented technology
Our RabMAb® technology is a patented hybridoma-based technology for making rabbit monoclonal antibodies. For details on our patents, please refer to RabMAb® patents.

What are the advantages of a recombinant monoclonal antibody?
This product is a recombinant monoclonal antibody, which offers several advantages including:

  • - High batch-to-batch consistency and reproducibility
  • - Improved sensitivity and specificity
  • - Long-term security of supply
  • - Animal-free batch production

For more information, read more on recombinant antibodies.

Conjugation ready
Our carrier-free antibodies are typically supplied in a PBS-only formulation, purified and free of BSA, sodium azide and glycerol. This conjugation-ready format is designed for use with fluorochromes, metal isotopes, oligonucleotides, and enzymes, which makes them ideal for antibody labelling, functional and cell-based assays, flow-based assays (e.g. mass cytometry) and Multiplex Imaging applications.

Use our conjugation kits for antibody conjugates that are ready-to-use in as little as 20 minutes with 1 minute hands-on-time and 100% antibody recovery: available for fluorescent dyes, HRP, biotin and gold.

Compatibility
This product is compatible with the Maxpar® Antibody Labeling Kit from Fluidigm, without the need for antibody preparation. Maxpar® is a trademark of Fluidigm Canada Inc.

Properties and storage information

Form
Liquid
Purification technique
Affinity purification Protein A
Storage buffer
pH: 7.2 - 7.4 Constituents: PBS
Shipped at conditions
Blue Ice
Appropriate short-term storage conditions
+4°C
Appropriate long-term storage conditions
+4°C

Supplementary information

This supplementary information is collated from multiple sources and compiled automatically.

Tyrosine hydroxylase also known as TH is an enzyme that catalyzes the conversion of L-tyrosine to L-DOPA. It weighs approximately 60 kDa. You can find this enzyme expressed mainly in the brain adrenal glands and some peripheral tissues. Commonly studied antibodies include anti-tyrosine hydroxylase or anti-TH. It plays a significant role in the catecholamine biosynthesis pathway serving as the rate-limiting step in dopamine synthesis.
Biological function summary

Tyrosine hydroxylase is essential for synthesizing catecholamines including dopamine norepinephrine and epinephrine. This enzyme associates with other components in the catecholamine biosynthetic pathway. It functions as part of a larger complex within certain cells where its action determines levels of important neurotransmitters. These neurotransmitters help regulate numerous central and peripheral nervous system activities.

Pathways

Tyrosine hydroxylase acts as a critical component in both the dopaminergic and adrenergic pathways. In the dopaminergic pathway tyrosine hydroxylase facilitates dopamine production influencing various physiological processes. The enzyme also correlates with ardrd protein in these pathways allowing fine-tuned control of neurotransmitter synthesis. Proteins related to tyrosine hydroxylase in these pathways include aromatic L-amino acid decarboxylase which further processes L-DOPA into dopamine.

Tyrosine hydroxylase has connections with neurodegenerative diseases like Parkinson's disease and conditions such as dystonia. Dysfunctional expression or activity of this enzyme can lead to dopamine deficiency contributing to the motor symptoms in Parkinson's disease. In dystonia alterations in tyrosine hydroxylase activity affect neurotransmitter balance influencing muscle coordination. The relationship with ardrd protein highlights tyrosine hydroxylase's role in maintaining neural health and it highlights potential areas for therapeutic intervention.

Product protocols

For this product, it's our understanding that no specific protocols are required. You can visit:

Target data

Catalyzes the conversion of L-tyrosine to L-dihydroxyphenylalanine (L-Dopa), the rate-limiting step in the biosynthesis of cathecolamines, dopamine, noradrenaline, and adrenaline. Uses tetrahydrobiopterin and molecular oxygen to convert tyrosine to L-Dopa (By similarity). In addition to tyrosine, is able to catalyze the hydroxylation of phenylalanine and tryptophan with lower specificity (By similarity). Positively regulates the regression of retinal hyaloid vessels during postnatal development (PubMed : 30936473).
See full target information Tyrosine 3-monooxygenase phospho S40

Product promise

We are committed to supporting your work with high-quality reagents, and we're here for you every step of the way. In the unlikely event that one of our products does not perform as expected, you're protected by our Product Promise.
For full details, please see our Terms & Conditions

Please note: All products are 'FOR RESEARCH USE ONLY. NOT FOR USE IN DIAGNOSTIC OR THERAPEUTIC PROCEDURES'.

For licensing inquiries, please contact partnerships@abcam.com