JavaScript is disabled in your browser. Please enable JavaScript to view this website.
AB285369

Anti-TZP antibody [EPR25998-35] - BSA and Azide free

Be the first to review this product! Submit a review

|

(0 Publication)

Rabbit Recombinant Monoclonal TZP antibody. Carrier free. Suitable for ICC/IF, IP, WB and reacts with Mouse, Human samples.

View Alternative Names

C20orf104, GLEA2, HCA58, NZF, TZP, PHF20, PHD finger protein 20, Glioma-expressed antigen 2, Hepatocellular carcinoma-associated antigen 58, Novel zinc finger protein, Transcription factor TZP

6 Images
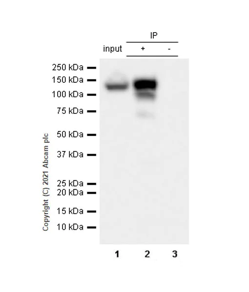
Immunoprecipitation - Anti-TZP antibody [EPR25998-35] - BSA and Azide free (AB285369)
  • IP

Supplier Data

Immunoprecipitation - Anti-TZP antibody [EPR25998-35] - BSA and Azide free (AB285369)

This data was developed using ab285366, the same antibody clone in a different buffer formulation.

TZP was immunoprecipitated from 0.35 mg HCT116 (human colorectal carcinoma epithelial cell) whole cell lysate 10 μg with ab285366 at 1/30 dilution (2 μg in 0.35mg lysates). Western blot was performed on the immunoprecipitate using ab285366 at 1/1000 dilution. VeriBlot for IP secondary antibody(HRP)(ab131366) was used at 1/5000 dilution.

Lane 1 : HCT116 whole cell lysate 10 μg

Lane 2 : ab285366 IP in HCT116 whole cell lysate

Lane 3 : Rabbit monoclonal IgG (ab172730) instead of ab285366 in HCT116 whole cell lysate

Blocking and dilution buffer and concentration : 5% NFDM/TBST.

Exposure time : 3.25 seconds.

All lanes:

Immunoprecipitation - Anti-TZP antibody [EPR25998-35] (<a href='/en-us/products/primary-antibodies/tzp-antibody-epr25998-35-ab285366'>ab285366</a>)

Predicted band size: 115 kDa

false

Western blot - Anti-TZP antibody [EPR25998-35] - BSA and Azide free (AB285369)
  • WB

Lab

Western blot - Anti-TZP antibody [EPR25998-35] - BSA and Azide free (AB285369)

This data was developed using ab285366, the same antibody clone in a different buffer formulation.

Blocking and diluting buffer and concentration : 5% NFDM/TBST

Negative control : NCI-H460 (PMID : 26722404)

Exposure time : 8 seconds

All lanes:

Western blot - Anti-TZP antibody [EPR25998-35] (<a href='/en-us/products/primary-antibodies/tzp-antibody-epr25998-35-ab285366'>ab285366</a>) at 1/1000 dilution

Lane 1:

HCT116 (human colorectal carcinoma epithelial cell) whole cell lysate at 20 µg

Lane 2:

NCI-H1299 (human lung carcinoma epithelial cell) whole cell lysate at 20 µg

Lane 3:

NCI-H460 (human Large Cell Lung Cancer epithelial cell) whole cell lysate at 20 µg

Secondary

All lanes:

Western blot - Goat Anti-Rabbit IgG H&L (HRP) (<a href='/en-us/products/secondary-antibodies/goat-rabbit-igg-h-l-hrp-ab97051'>ab97051</a>) at 1/100000 dilution

Predicted band size: 115 kDa

Observed band size: 140 kDa

false

Western blot - Anti-TZP antibody [EPR25998-35] - BSA and Azide free (AB285369)
  • WB

Lab

Western blot - Anti-TZP antibody [EPR25998-35] - BSA and Azide free (AB285369)

This data was developed using ab285366, the same antibody clone in a different buffer formulation.

Lane 2 : This blot was developed using a higher sensitivity ECL substrate.

Exposure time : Lane 1 : 15 seconds; Lane 2 : 3 minutes.

Blocking/Dilution buffer : 5% NFDM/TBST.

All lanes:

Western blot - Anti-TZP antibody [EPR25998-35] (<a href='/en-us/products/primary-antibodies/tzp-antibody-epr25998-35-ab285366'>ab285366</a>) at 1/1000 dilution

Lane 1:

F9 (mouse embryonal carcinoma epithelial cell) whole cell lysate at 20 µg

Lane 2:

Mouse heart tissue lysate at 20 µg

Secondary

All lanes:

Western blot - Goat Anti-Rabbit IgG H&L (HRP) (<a href='/en-us/products/secondary-antibodies/goat-rabbit-igg-h-l-hrp-ab97051'>ab97051</a>) at 1/100000 dilution

Predicted band size: 115 kDa

Observed band size: 140 kDa

false

Immunocytochemistry/ Immunofluorescence - Anti-TZP antibody [EPR25998-35] - BSA and Azide free (AB285369)
  • ICC/IF

Supplier Data

Immunocytochemistry/ Immunofluorescence - Anti-TZP antibody [EPR25998-35] - BSA and Azide free (AB285369)

This data was developed using ab285366, the same antibody clone in a different buffer formulation.

Immunofluorescent analysis of 4% Paraformaldehyde-fixed, 0.1% Triton X-100 permeabilized HCT 116 cells labelling TZP with ab285366 at 1/1000 (0.589 μg/ml) dilution, followed by ab150081 Goat Anti-Rabbit IgG H&L (Alexa Fluor® 488) preadsorbed antibody at 1/1000 (2 μg/ml) dilution (Green).

Confocal image showing nuclear staining in HCT 116 cell line.

Negative control : NCI-H460 (PMID : 26722404).

ab195889 Anti-alpha Tubulin mouse monoclonal antibody - Microtubule Marker (Alexa Fluor® 594) was used to counterstain tubulin at 1/200 (2.5 μg/ml) dilution (Red). The nuclear counterstain was DAPI (Blue).

Secondary antibody only control : Secondary antibody is ab150081 Goat Anti-Rabbit IgG H&L (Alexa Fluor® 488) preadsorbed at 1/1000 (2 μg/ml) dilution.

Immunoprecipitation - Anti-TZP antibody [EPR25998-35] - BSA and Azide free (AB285369)
  • IP

Supplier Data

Immunoprecipitation - Anti-TZP antibody [EPR25998-35] - BSA and Azide free (AB285369)

This data was developed using ab285366, the same antibody clone in a different buffer formulation.

TZP was immunoprecipitated from 0.35 mg F9 (mouse embryonal carcinoma epithelial cell) whole cell lysate 10 μg with ab285366 at 1/30 dilution (2 μg in 0.35 mg lysates). Western blot was performed on the immunoprecipitate using ab285366 at 1/1000 dilution. VeriBlot for IP secondary antibody(HRP)(ab131366) was used at 1/5000 dilution.

Lane 1 : F9 whole cell lysate 10 μg

Lane 2 : ab285366 IP in F9 whole cell lysate

Lane 3 : Rabbit monoclonal IgG (ab172730) instead of ab285366 in F9 whole cell lysate

Blocking and dilution buffer and concentration : 5% NFDM/TBST.

Exposure time : 3.25 seconds.

All lanes:

Immunoprecipitation - Anti-TZP antibody [EPR25998-35] (<a href='/en-us/products/primary-antibodies/tzp-antibody-epr25998-35-ab285366'>ab285366</a>)

Predicted band size: 115 kDa

false

Immunocytochemistry/ Immunofluorescence - Anti-TZP antibody [EPR25998-35] - BSA and Azide free (AB285369)
  • ICC/IF

Supplier Data

Immunocytochemistry/ Immunofluorescence - Anti-TZP antibody [EPR25998-35] - BSA and Azide free (AB285369)

This data was developed using ab285366, the same antibody clone in a different buffer formulation.

Immunofluorescent analysis of 4% Paraformaldehyde-fixed, 0.1% Triton X-100 permeabilized F9 cells labelling TZP with ab285366 at 1/1000 (0.589 μg/ml) dilution, followed by ab150081 Goat Anti-Rabbit IgG H&L (Alexa Fluor® 488) preadsorbed antibody at 1/1000 (2 μg/ml) dilution (Green).

Confocal image showing nuclear staining in F9 cell line is observed.

ab195889 Anti-alpha Tubulin mouse monoclonal antibody - Microtubule Marker (Alexa Fluor® 594) was used to counterstain tubulin at 1/200 (2.5 μg/ml) dilution (Red). The nuclear counterstain was DAPI (Blue).

Secondary antibody only control : Secondary antibody is ab150081 Goat Anti-Rabbit IgG H&L (Alexa Fluor® 488) preadsorbed at 1/1000 (2 μg/ml) dilution.

Key facts

Host species

Rabbit

Clonality

Monoclonal

Clone number

EPR25998-35

Isotype

IgG

Carrier free

Yes

Reacts with

Human, Mouse

Applications

ICC/IF, IP, WB

applications

Immunogen

The exact immunogen used to generate this antibody is proprietary information.

Reactivity data

{ "title": "Reactivity Data", "filters": { "stats": ["", "Species", "Dilution Info", "Notes"], "tabs": { "all-applications": {"fullname" : "All Applications", "shortname": "All Applications"}, "ICCIF" : {"fullname" : "Immunocytochemistry/ Immunofluorescence", "shortname":"ICC/IF"}, "IP" : {"fullname" : "Immunoprecipitation", "shortname":"IP"}, "WB" : {"fullname" : "Western blot", "shortname":"WB"}, "IHCP" : {"fullname" : "Immunohistochemistry (Formalin/PFA-fixed paraffin-embedded sections)", "shortname":"IHC-P"}, "FlowCytIntra" : {"fullname" : "Flow Cytometry (Intracellular)", "shortname":"Flow Cyt (Intra)"} }, "product-promise": { "all": "all", "testedAndGuaranteed": "tested", "guaranteed": "expected", "predicted": "predicted", "notRecommended": "not-recommended" } }, "values": { "Human": { "ICCIF-species-checked": "testedAndGuaranteed", "ICCIF-species-dilution-info": "", "ICCIF-species-notes": "<p></p>", "IP-species-checked": "testedAndGuaranteed", "IP-species-dilution-info": "", "IP-species-notes": "<p></p>", "WB-species-checked": "testedAndGuaranteed", "WB-species-dilution-info": "", "WB-species-notes": "<p></p>", "IHCP-species-checked": "notRecommended", "IHCP-species-dilution-info": "", "IHCP-species-notes": "<p></p>", "FlowCytIntra-species-checked": "notRecommended", "FlowCytIntra-species-dilution-info": "", "FlowCytIntra-species-notes": "<p></p>" }, "Mouse": { "ICCIF-species-checked": "testedAndGuaranteed", "ICCIF-species-dilution-info": "", "ICCIF-species-notes": "<p></p>", "IP-species-checked": "testedAndGuaranteed", "IP-species-dilution-info": "", "IP-species-notes": "<p></p>", "WB-species-checked": "testedAndGuaranteed", "WB-species-dilution-info": "", "WB-species-notes": "<p></p>", "IHCP-species-checked": "notRecommended", "IHCP-species-dilution-info": "", "IHCP-species-notes": "<p></p>", "FlowCytIntra-species-checked": "notRecommended", "FlowCytIntra-species-dilution-info": "", "FlowCytIntra-species-notes": "<p></p>" }, "Rat": { "ICCIF-species-checked": "notRecommended", "ICCIF-species-dilution-info": "", "ICCIF-species-notes": "", "IP-species-checked": "notRecommended", "IP-species-dilution-info": "", "IP-species-notes": "", "WB-species-checked": "notRecommended", "WB-species-dilution-info": "", "WB-species-notes": "<p></p>", "IHCP-species-checked": "notRecommended", "IHCP-species-dilution-info": "", "IHCP-species-notes": "<p></p>", "FlowCytIntra-species-checked": "notRecommended", "FlowCytIntra-species-dilution-info": "", "FlowCytIntra-species-notes": "" } } }

Product details

ab285369 is the carrier-free version of ab285366.

Patented technology
Our RabMAb® technology is a patented hybridoma-based technology for making rabbit monoclonal antibodies. For details on our patents, please refer to RabMAb® patents.

What are the advantages of a recombinant monoclonal antibody?
This product is a recombinant monoclonal antibody, which offers several advantages including:

  • - High batch-to-batch consistency and reproducibility
  • - Improved sensitivity and specificity
  • - Long-term security of supply
  • - Animal-free batch production

For more information, read more on recombinant antibodies.

Conjugation ready
Our carrier-free antibodies are typically supplied in a PBS-only formulation, purified and free of BSA, sodium azide and glycerol. This conjugation-ready format is designed for use with fluorochromes, metal isotopes, oligonucleotides, and enzymes, which makes them ideal for antibody labelling, functional and cell-based assays, flow-based assays (e.g. mass cytometry) and Multiplex Imaging applications.

Use our conjugation kits for antibody conjugates that are ready-to-use in as little as 20 minutes with 1 minute hands-on-time and 100% antibody recovery: available for fluorescent dyes, HRP, biotin and gold.

Properties and storage information

Form
Liquid
Purification technique
Affinity purification Protein A
Storage buffer
pH: 7.2 - 7.4 Constituents: 100% PBS
Shipped at conditions
Blue Ice
Appropriate short-term storage conditions
+4°C
Appropriate long-term storage conditions
+4°C

Supplementary information

This supplementary information is collated from multiple sources and compiled automatically.

The target known as TZP also referred to as TAZ-binding protein functions mainly as an adaptor protein involved in various cellular processes. It integrates signals initiated by upstream signaling molecules serving as a bridge in cellular communication. The known molecular weight of TZP is approximately 49 kDa. Expression of TZP occurs widely but it is significantly present in tissues like the brain and liver indicating its broad biological relevance.
Biological function summary

The functioning role of TZP is important in cellular architecture and signal transduction engaging with the Hippo signaling pathway components. This protein is part of a multiprotein complex that stabilizes cytoskeletal structures and transduces external signals into cellular responses. It also interacts with transcription co-activators enhancing its role in regulating gene expression and maintaining cellular equilibrium.

Pathways

The balance and regulation of cell growth and apoptosis link TZP to critical pathways. The Hippo pathway in particular involves TZP actively by associating with YAP/TAZ proteins which are central regulators of organ size and tissue homeostasis. TZP’s interaction with these proteins highlights its contribution to controlling cellular proliferation and preventing tumorigenesis.

Several instances of cancer such as liver carcinoma have connections to abnormalities in TZP function. Dysregulation of TZP and its associated proteins like YAP and TAZ leads to altered cell differentiation and uncontrolled growth posing significant disease implications. Its involvement in breast cancer through pathways influencing hormonal response and cell cycle regulation further highlights its pathological significance.

Product protocols

For this product, it's our understanding that no specific protocols are required. You can visit:

Target data

Methyllysine-binding protein, component of the MOF histone acetyltransferase protein complex. Not required for maintaining the global histone H4 'Lys-16' acetylation (H4K16ac) levels or locus specific histone acetylation, but instead works downstream in transcriptional regulation of MOF target genes (By similarity). As part of the NSL complex it may be involved in acetylation of nucleosomal histone H4 on several lysine residues. Contributes to methyllysine-dependent p53/TP53 stabilization and up-regulation after DNA damage.
See full target information PHF20

Product promise

We are committed to supporting your work with high-quality reagents, and we're here for you every step of the way. In the unlikely event that one of our products does not perform as expected, you're protected by our Product Promise.
For full details, please see our Terms & Conditions

Please note: All products are 'FOR RESEARCH USE ONLY. NOT FOR USE IN DIAGNOSTIC OR THERAPEUTIC PROCEDURES'.

For licensing inquiries, please contact partnerships@abcam.com