JavaScript is disabled in your browser. Please enable JavaScript to view this website.
AB192028

Anti-U1-C antibody [EPR16034]

Be the first to review this product! Submit a review

|

(2 Publications)

Rabbit Recombinant Monoclonal U1-C antibody. Suitable for IP, WB, ICC/IF, IHC-P and reacts with Human, Mouse, Rat samples. Cited in 2 publications.

View Alternative Names

U1 small nuclear ribonucleoprotein C, U1 snRNP C, U1-C, U1C, SNRPC

7 Images
Immunohistochemistry (Formalin/PFA-fixed paraffin-embedded sections) - Anti-U1-C antibody [EPR16034] (AB192028)
  • IHC-P

Supplier Data

Immunohistochemistry (Formalin/PFA-fixed paraffin-embedded sections) - Anti-U1-C antibody [EPR16034] (AB192028)

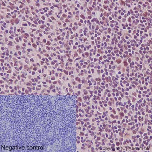
Immunohistochemical analysis of paraffin-embedded Human tonsil tissue labeling U1-C with ab192028 at 1/1000 dilution, followed by prediluted HRP Polymer for Rabbit/Mouse IgG. Counter stained with Hematoxylin. The negative control utilised PBS instead of primary antibody.

Perform heat mediated antigen retrieval with Tris/EDTA buffer pH 9.0 before commencing with IHC staining protocol.

Immunohistochemistry (Formalin/PFA-fixed paraffin-embedded sections) - Anti-U1-C antibody [EPR16034] (AB192028)
  • IHC-P

Supplier Data

Immunohistochemistry (Formalin/PFA-fixed paraffin-embedded sections) - Anti-U1-C antibody [EPR16034] (AB192028)

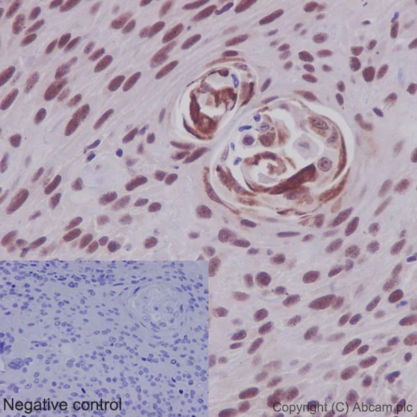
Immunohistochemical analysis of paraffin-embedded Human squamous cell carcinoma of cervix tissue labeling U1-C with ab192028 at 1/1000 dilution, followed by prediluted HRP Polymer for Rabbit/Mouse IgG. Counter stained with Hematoxylin. The negative control utilised PBS instead of primary antibody.

Perform heat mediated antigen retrieval with Tris/EDTA buffer pH 9.0 before commencing with IHC staining protocol.

Immunocytochemistry/ Immunofluorescence - Anti-U1-C antibody [EPR16034] (AB192028)
  • ICC/IF

Supplier Data

Immunocytochemistry/ Immunofluorescence - Anti-U1-C antibody [EPR16034] (AB192028)

Immunofluorescent analysis of 4% paraformaldehyde-fixed, 0.1% Triton X-100 permeabilised HeLa cells labeling U1-C with ab192028 at 1/500 dilution, followed by Goat anti-rabbit IgG (Alexa Fluor® 488) (ab150077) at 1/200 dilution (green). The nuclear counter stain is Dapi (blue).

The two negative controls are ab192028 at 1/500 dilution followed by Goat anti mouse IgG (Alexa Fluor®594) at 1/500 dilution.

Immunoprecipitation - Anti-U1-C antibody [EPR16034] (AB192028)
  • IP

Supplier Data

Immunoprecipitation - Anti-U1-C antibody [EPR16034] (AB192028)

Western blot analysis of U1-C in K562 lysate immunoprecipitated using ab192028 at 1/40 dilution (Lane 1). Lane 2 : PBS instead of K562 lysate.

Secondary antibody : Anti-Rabbit IgG (HRP), specific to the non-reduced form of IgG at 1/1500 dilution.

Blocking/dilution buffer : 5% NFDM/TBST.

All lanes:

Immunoprecipitation - Anti-U1-C antibody [EPR16034] (ab192028)

Predicted band size: 17 kDa

false

Immunohistochemistry (Formalin/PFA-fixed paraffin-embedded sections) - Anti-U1-C antibody [EPR16034] (AB192028)
  • IHC-P

Supplier Data

Immunohistochemistry (Formalin/PFA-fixed paraffin-embedded sections) - Anti-U1-C antibody [EPR16034] (AB192028)

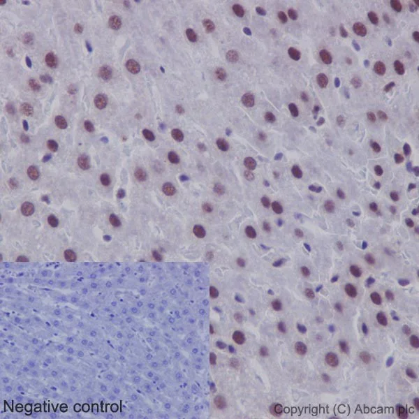
Immunohistochemical analysis of paraffin-embedded Rat liver tissue labeling U1-C with ab192028 at 1/1000 dilution, followed by prediluted HRP Polymer for Rabbit/Mouse IgG. Counter stained with Hematoxylin. The negative control utilised PBS instead of primary antibody.

Perform heat mediated antigen retrieval with Tris/EDTA buffer pH 9.0 before commencing with IHC staining protocol.

Western blot - Anti-U1-C antibody [EPR16034] (AB192028)
  • WB

Supplier Data

Western blot - Anti-U1-C antibody [EPR16034] (AB192028)

Blocking/dilution buffer : 5% NFDM/TBST.

All lanes:

Western blot - Anti-U1-C antibody [EPR16034] (ab192028) at 1/10000 dilution

Lane 1:

C6 cell lysate at 10 µg

Lane 2:

Raw 264.7 cell lysate at 10 µg

Lane 3:

PC-12 cell lysate at 10 µg

Lane 4:

NIH/3T3 cell lysate at 10 µg

Secondary

All lanes:

Goat Anti-Rabbit IgG, (H+L), Peroxidase conjugated at 1/1000 dilution

Predicted band size: 17 kDa

false

Western blot - Anti-U1-C antibody [EPR16034] (AB192028)
  • WB

Supplier Data

Western blot - Anti-U1-C antibody [EPR16034] (AB192028)

Blocking/dilution buffer : 5% NFDM/TBST.

All lanes:

Western blot - Anti-U1-C antibody [EPR16034] (ab192028) at 1/5000 dilution

Lane 1:

Jurkat cell lysate at 20 µg

Lane 2:

K562 cell lysate at 20 µg

Lane 3:

HeLa cell lysate at 20 µg

Secondary

All lanes:

Goat Anti-Rabbit IgG, (H+L), Peroxidase conjugated at 1/1000 dilution

Predicted band size: 17 kDa

false

  • Carrier free

    Anti-U1-C antibody [EPR16034] - BSA and Azide free

Key facts

Host species

Rabbit

Clonality

Monoclonal

Clone number

EPR16034

Isotype

IgG

Carrier free

No

Reacts with

Mouse, Rat, Human

Applications

IHC-P, ICC/IF, WB, IP

applications

Immunogen

The exact immunogen used to generate this antibody is proprietary information.

Reactivity data

{ "title": "Reactivity Data", "filters": { "stats": ["", "Species", "Dilution Info", "Notes"], "tabs": { "all-applications": {"fullname" : "All Applications", "shortname": "All Applications"}, "IP" : {"fullname" : "Immunoprecipitation", "shortname":"IP"}, "WB" : {"fullname" : "Western blot", "shortname":"WB"}, "ICCIF" : {"fullname" : "Immunocytochemistry/ Immunofluorescence", "shortname":"ICC/IF"}, "IHCP" : {"fullname" : "Immunohistochemistry (Formalin/PFA-fixed paraffin-embedded sections)", "shortname":"IHC-P"} }, "product-promise": { "all": "all", "testedAndGuaranteed": "tested", "guaranteed": "expected", "predicted": "predicted", "notRecommended": "not-recommended" } }, "values": { "Human": { "IP-species-checked": "testedAndGuaranteed", "IP-species-dilution-info": "1/40", "IP-species-notes": "<p></p>", "WB-species-checked": "testedAndGuaranteed", "WB-species-dilution-info": "1/1000 - 1/10000", "WB-species-notes": "<p></p>", "ICCIF-species-checked": "testedAndGuaranteed", "ICCIF-species-dilution-info": "1/500", "ICCIF-species-notes": "<p></p>", "IHCP-species-checked": "testedAndGuaranteed", "IHCP-species-dilution-info": "1/1000", "IHCP-species-notes": "<p></p> Perform heat-mediated antigen retrieval with Tris/EDTA buffer pH 9.0 before commencing with IHC staining protocol." }, "Mouse": { "IP-species-checked": "guaranteed", "IP-species-dilution-info": "", "IP-species-notes": "", "WB-species-checked": "testedAndGuaranteed", "WB-species-dilution-info": "1/1000 - 1/10000", "WB-species-notes": "<p></p>", "ICCIF-species-checked": "guaranteed", "ICCIF-species-dilution-info": "", "ICCIF-species-notes": "", "IHCP-species-checked": "guaranteed", "IHCP-species-dilution-info": "", "IHCP-species-notes": "" }, "Rat": { "IP-species-checked": "guaranteed", "IP-species-dilution-info": "", "IP-species-notes": "", "WB-species-checked": "testedAndGuaranteed", "WB-species-dilution-info": "1/1000 - 1/10000", "WB-species-notes": "<p></p>", "ICCIF-species-checked": "guaranteed", "ICCIF-species-dilution-info": "", "ICCIF-species-notes": "", "IHCP-species-checked": "testedAndGuaranteed", "IHCP-species-dilution-info": "1/1000", "IHCP-species-notes": "<p></p> Perform heat-mediated antigen retrieval with Tris/EDTA buffer pH 9.0 before commencing with IHC staining protocol." } } }

Product details

Patented technology
Our RabMAb® technology is a patented hybridoma-based technology for making rabbit monoclonal antibodies. For details on our patents, please refer to RabMAb® patents.

What are the advantages of a recombinant monoclonal antibody?
This product is a recombinant monoclonal antibody, which offers several advantages including:

  • - High batch-to-batch consistency and reproducibility
  • - Improved sensitivity and specificity
  • - Long-term security of supply
  • - Animal-free batch production

For more information, read more on recombinant antibodies.

Properties and storage information

Form
Liquid
Purification technique
Affinity purification Protein A
Storage buffer
pH: 7.2 - 7.4 Preservative: 0.01% Sodium azide Constituents: PBS, 40% Glycerol (glycerin, glycerine), 0.05% BSA
Shipped at conditions
Blue Ice
Appropriate short-term storage duration
1-2 weeks
Appropriate short-term storage conditions
+4°C
Appropriate long-term storage conditions
-20°C
Aliquoting information
Upon delivery aliquot
Storage information
Avoid freeze / thaw cycle

Supplementary information

This supplementary information is collated from multiple sources and compiled automatically.

U1-C also known as U1 small nuclear ribonucleoprotein C is a component of the U1 snRNP complex. It has a molecular mass of approximately 17 kDa and is expressed in the nucleus of eukaryotic cells. This protein plays an essential role in the spliceosome machinery which is responsible for pre-mRNA splicing. U1-C is part of a highly conserved group of proteins that engage in RNA processing and modification.
Biological function summary

U1-C interacts with U1 snRNA and other proteins to form the U1 snRNP an essential component of the spliceosome complex. The spliceosome removes introns from pre-mRNA facilitating the production of mature mRNA. U1-C stabilizes the interaction between the 5' splice site of pre-mRNA and the snRNP playing a significant part in the accuracy of splicing. Its precise function in RNA stability and processing makes it an important aspect of gene expression regulation.

Pathways

U1-C participates in the splicing pathway ensuring the correct removal of introns during RNA maturation. This protein associates closely with U1 snRNA and other spliceosomal proteins such as U1-70K. It plays a role in the regulation of alternative splicing pathways which can affect gene expression patterns. The U1-C protein indirectly influences processes like cell cycle progression and differentiation through its involvement in RNA splicing.

Malfunction or mutation of U1-C can lead to splicing abnormalities which are linked to diseases such as systemic lupus erythematosus and certain cancers. In lupus autoantibodies target the U1 snRNP complex including U1-C leading to immune system dysfunction. This association highlights the importance of U1-C in maintaining cellular and immune system homeostasis. Additionally aberrant splicing facilitated by altered U1-C function may impact oncogene or tumor suppressor pathways contributing to cancer development.

Product protocols

For this product, it's our understanding that no specific protocols are required. You can visit:

Target data

Component of the spliceosomal U1 snRNP, which is essential for recognition of the pre-mRNA 5' splice-site and the subsequent assembly of the spliceosome. SNRPC/U1-C is directly involved in initial 5' splice-site recognition for both constitutive and regulated alternative splicing. The interaction with the 5' splice-site seems to precede base-pairing between the pre-mRNA and the U1 snRNA. Stimulates commitment or early (E) complex formation by stabilizing the base pairing of the 5' end of the U1 snRNA and the 5' splice-site region.
See full target information SNRPC

Publications (2)

Recent publications for all applications. Explore the full list and refine your search

Nucleic acids research 47:4181-4197 PubMed30767021

2019

SAM68 interaction with U1A modulates U1 snRNP recruitment and regulates mTor pre-mRNA splicing.

Applications

Unspecified application

Species

Unspecified reactive species

Suryasree Subramania,Laurence M Gagné,Sébastien Campagne,Victoire Fort,Julia O'Sullivan,Karel Mocaer,Miki Feldmüller,Jean-Yves Masson,Frédéric H T Allain,Samer M Hussein,Marc-Étienne Huot

Nucleic acids research 46:6166-6187 PubMed29788428

2018

PUF60-activated exons uncover altered 3' splice-site selection by germline missense mutations in a single RRM.

Applications

Unspecified application

Species

Unspecified reactive species

Jana Královicová,Ivana Ševcíková,Eva Stejskalová,Mina Obuca,Michael Hiller,David Stanek,Igor Vorechovský
View all publications

Product promise

We are committed to supporting your work with high-quality reagents, and we're here for you every step of the way. In the unlikely event that one of our products does not perform as expected, you're protected by our Product Promise.
For full details, please see our Terms & Conditions

Please note: All products are 'FOR RESEARCH USE ONLY. NOT FOR USE IN DIAGNOSTIC OR THERAPEUTIC PROCEDURES'.

For licensing inquiries, please contact partnerships@abcam.com