JavaScript is disabled in your browser. Please enable JavaScript to view this website.
AB246328

Anti-U1-C antibody [EPR16034] - BSA and Azide free

Be the first to review this product! Submit a review

|

(0 Publication)

Rabbit Recombinant Monoclonal U1-C antibody. Carrier free. Suitable for IP, WB, ICC/IF, IHC-P and reacts with Human, Rat, Mouse samples.

View Alternative Names

U1 small nuclear ribonucleoprotein C, U1 snRNP C, U1-C, U1C, SNRPC

5 Images
Immunohistochemistry (Formalin/PFA-fixed paraffin-embedded sections) - Anti-U1-C antibody [EPR16034] - BSA and Azide free (AB246328)
  • IHC-P

Supplier Data

Immunohistochemistry (Formalin/PFA-fixed paraffin-embedded sections) - Anti-U1-C antibody [EPR16034] - BSA and Azide free (AB246328)

Immunohistochemical analysis of paraffin-embedded Human squamous cell carcinoma of cervix tissue labeling U1-C with ab192028 at 1/1000 dilution, followed by prediluted HRP Polymer for Rabbit/Mouse IgG. Counter stained with Hematoxylin. The negative control utilised PBS instead of primary antibody.

This data was developed using the same antibody clone in a different buffer formulation containing PBS, BSA, glycerol, and sodium azide (ab192028).

Perform heat mediated antigen retrieval with Tris/EDTA buffer pH 9.0 before commencing with IHC staining protocol.

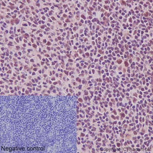
Immunohistochemistry (Formalin/PFA-fixed paraffin-embedded sections) - Anti-U1-C antibody [EPR16034] - BSA and Azide free (AB246328)
  • IHC-P

Supplier Data

Immunohistochemistry (Formalin/PFA-fixed paraffin-embedded sections) - Anti-U1-C antibody [EPR16034] - BSA and Azide free (AB246328)

Immunohistochemical analysis of paraffin-embedded Human tonsil tissue labeling U1-C with ab192028 at 1/1000 dilution, followed by prediluted HRP Polymer for Rabbit/Mouse IgG. Counter stained with Hematoxylin. The negative control utilised PBS instead of primary antibody.

This data was developed using the same antibody clone in a different buffer formulation containing PBS, BSA, glycerol, and sodium azide (ab192028).

Perform heat mediated antigen retrieval with Tris/EDTA buffer pH 9.0 before commencing with IHC staining protocol.

Immunocytochemistry/ Immunofluorescence - Anti-U1-C antibody [EPR16034] - BSA and Azide free (AB246328)
  • ICC/IF

Supplier Data

Immunocytochemistry/ Immunofluorescence - Anti-U1-C antibody [EPR16034] - BSA and Azide free (AB246328)

Immunofluorescent analysis of 4% paraformaldehyde-fixed, 0.1% Triton X-100 permeabilised HeLa cells labeling U1-C with ab192028 at 1/500 dilution, followed by Goat anti-rabbit IgG (Alexa Fluor® 488) (ab150077) at 1/200 dilution (green). The nuclear counter stain is Dapi (blue).

The two negative controls are ab192028 at 1/500 dilution followed by Goat anti mouse IgG (Alexa Fluor®594) at 1/500 dilution.

This data was developed using the same antibody clone in a different buffer formulation containing PBS, BSA, glycerol, and sodium azide (ab192028).

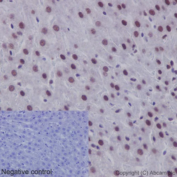
Immunohistochemistry (Formalin/PFA-fixed paraffin-embedded sections) - Anti-U1-C antibody [EPR16034] - BSA and Azide free (AB246328)
  • IHC-P

Supplier Data

Immunohistochemistry (Formalin/PFA-fixed paraffin-embedded sections) - Anti-U1-C antibody [EPR16034] - BSA and Azide free (AB246328)

Immunohistochemical analysis of paraffin-embedded Rat liver tissue labeling U1-C with ab192028 at 1/1000 dilution, followed by prediluted HRP Polymer for Rabbit/Mouse IgG. Counter stained with Hematoxylin. The negative control utilised PBS instead of primary antibody.

This data was developed using the same antibody clone in a different buffer formulation containing PBS, BSA, glycerol, and sodium azide (ab192028).

Perform heat mediated antigen retrieval with Tris/EDTA buffer pH 9.0 before commencing with IHC staining protocol.

Immunoprecipitation - Anti-U1-C antibody [EPR16034] - BSA and Azide free (AB246328)
  • IP

Supplier Data

Immunoprecipitation - Anti-U1-C antibody [EPR16034] - BSA and Azide free (AB246328)

Western blot analysis of U1-C in K562 lysate immunoprecipitated using ab192028 at 1/40 dilution (Lane 1). Lane 2 : PBS instead of K562 lysate.

Secondary antibody : Anti-Rabbit IgG (HRP), specific to the non-reduced form of IgG at 1/1500 dilution.

Blocking/dilution buffer : 5% NFDM/TBST.

This data was developed using the same antibody clone in a different buffer formulation containing PBS, BSA, glycerol, and sodium azide (ab192028).

All lanes:

Immunoprecipitation - Anti-U1-C antibody [EPR16034] (<a href='/en-us/products/primary-antibodies/u1-c-antibody-epr16034-ab192028'>ab192028</a>)

Predicted band size: 17 kDa

false

Key facts

Host species

Rabbit

Clonality

Monoclonal

Clone number

EPR16034

Isotype

IgG

Carrier free

Yes

Reacts with

Mouse, Rat, Human

Applications

WB, IP, ICC/IF, IHC-P

applications

Immunogen

The exact immunogen used to generate this antibody is proprietary information.

Reactivity data

{ "title": "Reactivity Data", "filters": { "stats": ["", "Species", "Dilution Info", "Notes"], "tabs": { "all-applications": {"fullname" : "All Applications", "shortname": "All Applications"}, "IP" : {"fullname" : "Immunoprecipitation", "shortname":"IP"}, "WB" : {"fullname" : "Western blot", "shortname":"WB"}, "ICCIF" : {"fullname" : "Immunocytochemistry/ Immunofluorescence", "shortname":"ICC/IF"}, "IHCP" : {"fullname" : "Immunohistochemistry (Formalin/PFA-fixed paraffin-embedded sections)", "shortname":"IHC-P"} }, "product-promise": { "all": "all", "testedAndGuaranteed": "tested", "guaranteed": "expected", "predicted": "predicted", "notRecommended": "not-recommended" } }, "values": { "Human": { "IP-species-checked": "testedAndGuaranteed", "IP-species-dilution-info": "", "IP-species-notes": "<p></p>", "WB-species-checked": "guaranteed", "WB-species-dilution-info": "", "WB-species-notes": "<p></p>", "ICCIF-species-checked": "testedAndGuaranteed", "ICCIF-species-dilution-info": "", "ICCIF-species-notes": "<p></p>", "IHCP-species-checked": "guaranteed", "IHCP-species-dilution-info": "", "IHCP-species-notes": "" }, "Mouse": { "IP-species-checked": "predicted", "IP-species-dilution-info": "", "IP-species-notes": "", "WB-species-checked": "guaranteed", "WB-species-dilution-info": "", "WB-species-notes": "<p></p>", "ICCIF-species-checked": "predicted", "ICCIF-species-dilution-info": "", "ICCIF-species-notes": "", "IHCP-species-checked": "predicted", "IHCP-species-dilution-info": "", "IHCP-species-notes": "" }, "Rat": { "IP-species-checked": "guaranteed", "IP-species-dilution-info": "", "IP-species-notes": "", "WB-species-checked": "guaranteed", "WB-species-dilution-info": "", "WB-species-notes": "<p></p>", "ICCIF-species-checked": "guaranteed", "ICCIF-species-dilution-info": "", "ICCIF-species-notes": "", "IHCP-species-checked": "testedAndGuaranteed", "IHCP-species-dilution-info": "", "IHCP-species-notes": "<p></p>" } } }

Product details

ab246328 is the carrier-free version of ab192028.

Patented technology
Our RabMAb® technology is a patented hybridoma-based technology for making rabbit monoclonal antibodies. For details on our patents, please refer to RabMAb® patents.

What are the advantages of a recombinant monoclonal antibody?
This product is a recombinant monoclonal antibody, which offers several advantages including:

  • - High batch-to-batch consistency and reproducibility
  • - Improved sensitivity and specificity
  • - Long-term security of supply
  • - Animal-free batch production

For more information, read more on recombinant antibodies.

Conjugation ready
Our carrier-free antibodies are typically supplied in a PBS-only formulation, purified and free of BSA, sodium azide and glycerol. This conjugation-ready format is designed for use with fluorochromes, metal isotopes, oligonucleotides, and enzymes, which makes them ideal for antibody labelling, functional and cell-based assays, flow-based assays (e.g. mass cytometry) and Multiplex Imaging applications.

Use our conjugation kits for antibody conjugates that are ready-to-use in as little as 20 minutes with 1 minute hands-on-time and 100% antibody recovery: available for fluorescent dyes, HRP, biotin and gold.

Compatibility
This product is compatible with the Maxpar® Antibody Labeling Kit from Fluidigm, without the need for antibody preparation. Maxpar® is a trademark of Fluidigm Canada Inc.

Properties and storage information

Form
Liquid
Purification technique
Affinity purification Protein A
Storage buffer
pH: 7.2 - 7.4 Constituents: PBS
Shipped at conditions
Blue Ice
Appropriate short-term storage conditions
+4°C
Appropriate long-term storage conditions
+4°C
Storage information
Do Not Freeze

Supplementary information

This supplementary information is collated from multiple sources and compiled automatically.

U1-C also known as U1 small nuclear ribonucleoprotein C is a component of the U1 snRNP complex. It has a molecular mass of approximately 17 kDa and is expressed in the nucleus of eukaryotic cells. This protein plays an essential role in the spliceosome machinery which is responsible for pre-mRNA splicing. U1-C is part of a highly conserved group of proteins that engage in RNA processing and modification.
Biological function summary

U1-C interacts with U1 snRNA and other proteins to form the U1 snRNP an essential component of the spliceosome complex. The spliceosome removes introns from pre-mRNA facilitating the production of mature mRNA. U1-C stabilizes the interaction between the 5' splice site of pre-mRNA and the snRNP playing a significant part in the accuracy of splicing. Its precise function in RNA stability and processing makes it an important aspect of gene expression regulation.

Pathways

U1-C participates in the splicing pathway ensuring the correct removal of introns during RNA maturation. This protein associates closely with U1 snRNA and other spliceosomal proteins such as U1-70K. It plays a role in the regulation of alternative splicing pathways which can affect gene expression patterns. The U1-C protein indirectly influences processes like cell cycle progression and differentiation through its involvement in RNA splicing.

Malfunction or mutation of U1-C can lead to splicing abnormalities which are linked to diseases such as systemic lupus erythematosus and certain cancers. In lupus autoantibodies target the U1 snRNP complex including U1-C leading to immune system dysfunction. This association highlights the importance of U1-C in maintaining cellular and immune system homeostasis. Additionally aberrant splicing facilitated by altered U1-C function may impact oncogene or tumor suppressor pathways contributing to cancer development.

Product protocols

For this product, it's our understanding that no specific protocols are required. You can visit:

Target data

Component of the spliceosomal U1 snRNP, which is essential for recognition of the pre-mRNA 5' splice-site and the subsequent assembly of the spliceosome. SNRPC/U1-C is directly involved in initial 5' splice-site recognition for both constitutive and regulated alternative splicing. The interaction with the 5' splice-site seems to precede base-pairing between the pre-mRNA and the U1 snRNA. Stimulates commitment or early (E) complex formation by stabilizing the base pairing of the 5' end of the U1 snRNA and the 5' splice-site region.
See full target information SNRPC

Product promise

We are committed to supporting your work with high-quality reagents, and we're here for you every step of the way. In the unlikely event that one of our products does not perform as expected, you're protected by our Product Promise.
For full details, please see our Terms & Conditions

Please note: All products are 'FOR RESEARCH USE ONLY. NOT FOR USE IN DIAGNOSTIC OR THERAPEUTIC PROCEDURES'.

For licensing inquiries, please contact partnerships@abcam.com