JavaScript is disabled in your browser. Please enable JavaScript to view this website.
AB197591

Anti-U2AF35/U2AF1 antibody [EPR12648(2)]

Be the first to review this product! Submit a review

|

(4 Publications)

Rabbit Recombinant Monoclonal U2AF35/U2AF1 antibody. Suitable for WB, ICC/IF, Flow Cyt (Intra), IHC-P and reacts with Rat, Human samples. Cited in 4 publications.

View Alternative Names

U2AF35, U2AFBP, FP793, U2AF1, Splicing factor U2AF 35 kDa subunit, U2 auxiliary factor 35 kDa subunit, U2 small nuclear RNA auxiliary factor 1, U2 snRNP auxiliary factor small subunit

7 Images
Immunocytochemistry/ Immunofluorescence - Anti-U2AF35/U2AF1 antibody [EPR12648(2)] (AB197591)
  • ICC/IF

Lab

Immunocytochemistry/ Immunofluorescence - Anti-U2AF35/U2AF1 antibody [EPR12648(2)] (AB197591)

Immunocytochemistry/Immunofluorescence analysis of RAMOS cells labelling U2AF35/U2AF1 with ab197591 at 1/500. Cells were fixed with 4% paraformaldehyde and permeabilized with 0.1% Triton X-100. ab150077 an Alexa Fluor® 488-conjugated goat anti-rabbit IgG (1/1000) was used as the secondary antibody.
Control : PBS only.
Nuclear counter stain : DAPI.

Flow Cytometry (Intracellular) - Anti-U2AF35/U2AF1 antibody [EPR12648(2)] (AB197591)
  • Flow Cyt (Intra)

Supplier Data

Flow Cytometry (Intracellular) - Anti-U2AF35/U2AF1 antibody [EPR12648(2)] (AB197591)

Intracellular flow cytometric analysis of 2% paraformaldehyde-fixed Ramos (Human Burkitt's lymphoma)cells labeling U2AF35/U2AF1 with ab197591 at 1/170 dilution (red) compared with a rabbit monoclonal IgG isotype control (black) and an unlabelled control (cells without incubation with primary antibody and secondary antibody; blue). Goat anti rabbit IgG (FITC) at 1/150 dilution was used as the secondary antibody.

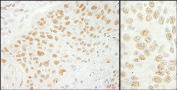
Immunohistochemistry (Formalin/PFA-fixed paraffin-embedded sections) - Anti-U2AF35/U2AF1 antibody [EPR12648(2)] (AB197591)
  • IHC-P

Supplier Data

Immunohistochemistry (Formalin/PFA-fixed paraffin-embedded sections) - Anti-U2AF35/U2AF1 antibody [EPR12648(2)] (AB197591)

Immunohistochemical analysis of paraffin-embedded Human transitional cell carcinoma of bladder tissue labeling U2AF35/U2AF1 with ab197591 at 1/250 dilution followed by Goat Anti-Rabbit IgG H&L (HRP) (ab97051) secondary antibody at 1/500 dilution. Cytoplasm and nuclear staining on Human transitional cell carcinoma of bladder tissue is observed. Counter stained with Hematoxylin.

Negative control : Used PBS instead of primary antibody secondary antibody is Goat Anti-Rabbit IgG H&L (HRP) (ab97051) at 1/500 dilution.

Perform heat mediated antigen retrieval with Tris/EDTA buffer pH 9.0 before commencing with IHC staining protocol.

Immunohistochemistry (Formalin/PFA-fixed paraffin-embedded sections) - Anti-U2AF35/U2AF1 antibody [EPR12648(2)] (AB197591)
  • IHC-P

Supplier Data

Immunohistochemistry (Formalin/PFA-fixed paraffin-embedded sections) - Anti-U2AF35/U2AF1 antibody [EPR12648(2)] (AB197591)

Immunohistochemical analysis of paraffin-embedded Rat liver tissue labeling U2AF35/U2AF1 with ab197591 at 1/250 dilution followed by Goat Anti-Rabbit IgG H&L (HRP)(ab97051) secondary antibody at 1/500 dilution. Cytoplasm and nuclear staining on rat liver tissue is observed. Counter stained with Hematoxylin.

Negative control : Used PBS instead of primary antibody secondary antibody is Goat Anti-Rabbit IgG H&L (HRP) (ab97051) at 1/500 dilution.

Perform heat mediated antigen retrieval with Tris/EDTA buffer pH 9.0 before commencing with IHC staining protocol.

Western blot - Anti-U2AF35/U2AF1 antibody [EPR12648(2)] (AB197591)
  • WB

Supplier Data

Western blot - Anti-U2AF35/U2AF1 antibody [EPR12648(2)] (AB197591)

Blocking/dilution buffer : 5% NFDM/TBST.

The observed MW is consistent with what has been described in the literature PMID : 1388271.

All lanes:

Western blot - Anti-U2AF35/U2AF1 antibody [EPR12648(2)] (ab197591) at 1/10000 dilution

All lanes:

Ramos (Human Burkitt's lymphoma cell line) whole cell lysate at 10 µg

Secondary

All lanes:

Goat Anti-Rabbit IgG, (H+L), Peroxidase conjugated at 1/1000 dilution

Predicted band size: 28 kDa

Observed band size: 35 kDa

false

Western blot - Anti-U2AF35/U2AF1 antibody [EPR12648(2)] (AB197591)
  • WB

Supplier Data

Western blot - Anti-U2AF35/U2AF1 antibody [EPR12648(2)] (AB197591)

Blocking/dilution buffer : 5% NFDM/TBST.

The observed MW is consistent with what has been described in the literature PMID : 1388271.

All lanes:

Western blot - Anti-U2AF35/U2AF1 antibody [EPR12648(2)] (ab197591) at 1/20000 dilution

Lane 1:

HeLa (Human epithelial cells from cervix adenocarcinoma) whole cell lysate at 10 µg

Lane 2:

293 (Human embryonic kidney) whole cell lysate at 10 µg

Secondary

All lanes:

Goat Anti-Rabbit IgG, (H+L), Peroxidase conjugated at 1/1000 dilution

Predicted band size: 28 kDa

Observed band size: 35 kDa

false

Western blot - Anti-U2AF35/U2AF1 antibody [EPR12648(2)] (AB197591)
  • WB

Supplier Data

Western blot - Anti-U2AF35/U2AF1 antibody [EPR12648(2)] (AB197591)

Blocking/dilution buffer : 5% NFDM/TBST.

The observed MW is consistent with what has been described in the literature PMID : 1388271

All lanes:

Western blot - Anti-U2AF35/U2AF1 antibody [EPR12648(2)] (ab197591) at 1/1000 dilution

All lanes:

Rat spleen lysate at 10 µg

Secondary

All lanes:

Goat Anti-Rabbit IgG, (H+L), Peroxidase conjugated at 1/1000 dilution

Predicted band size: 28 kDa

Observed band size: 35 kDa

false

  • Carrier free

    Anti-U2AF35/U2AF1 antibody [EPR12648(2)] - BSA and Azide free

Key facts

Host species

Rabbit

Clonality

Monoclonal

Clone number

EPR12648(2)

Isotype

IgG

Carrier free

No

Reacts with

Rat, Human

Applications

WB, Flow Cyt (Intra), IHC-P, ICC/IF

applications

Immunogen

The exact immunogen used to generate this antibody is proprietary information.

Reactivity data

{ "title": "Reactivity Data", "filters": { "stats": ["", "Species", "Dilution Info", "Notes"], "tabs": { "all-applications": {"fullname" : "All Applications", "shortname": "All Applications"}, "WB" : {"fullname" : "Western blot", "shortname":"WB"}, "ICCIF" : {"fullname" : "Immunocytochemistry/ Immunofluorescence", "shortname":"ICC/IF"}, "FlowCytIntra" : {"fullname" : "Flow Cytometry (Intracellular)", "shortname":"Flow Cyt (Intra)"}, "IHCP" : {"fullname" : "Immunohistochemistry (Formalin/PFA-fixed paraffin-embedded sections)", "shortname":"IHC-P"} }, "product-promise": { "all": "all", "testedAndGuaranteed": "tested", "guaranteed": "expected", "predicted": "predicted", "notRecommended": "not-recommended" } }, "values": { "Human": { "WB-species-checked": "testedAndGuaranteed", "WB-species-dilution-info": "1/1000", "WB-species-notes": "<p></p>", "ICCIF-species-checked": "testedAndGuaranteed", "ICCIF-species-dilution-info": "1/100", "ICCIF-species-notes": "<p></p>", "FlowCytIntra-species-checked": "testedAndGuaranteed", "FlowCytIntra-species-dilution-info": "1/170", "FlowCytIntra-species-notes": "<p><a href='/en-us/products/primary-antibodies/rabbit-igg-monoclonal-epr25a-isotype-control-ab172730'>ab172730</a> - Rabbit monoclonal IgG, is suitable for use as an isotype control with this antibody.</p>", "IHCP-species-checked": "testedAndGuaranteed", "IHCP-species-dilution-info": "1/100 - 1/250", "IHCP-species-notes": "<p></p>" }, "Mouse": { "WB-species-checked": "predicted", "WB-species-dilution-info": "", "WB-species-notes": "", "ICCIF-species-checked": "predicted", "ICCIF-species-dilution-info": "", "ICCIF-species-notes": "", "FlowCytIntra-species-checked": "predicted", "FlowCytIntra-species-dilution-info": "", "FlowCytIntra-species-notes": "", "IHCP-species-checked": "predicted", "IHCP-species-dilution-info": "", "IHCP-species-notes": "" }, "Rat": { "WB-species-checked": "testedAndGuaranteed", "WB-species-dilution-info": "1/1000", "WB-species-notes": "<p></p>", "ICCIF-species-checked": "guaranteed", "ICCIF-species-dilution-info": "", "ICCIF-species-notes": "", "FlowCytIntra-species-checked": "guaranteed", "FlowCytIntra-species-dilution-info": "", "FlowCytIntra-species-notes": "", "IHCP-species-checked": "testedAndGuaranteed", "IHCP-species-dilution-info": "1/100 - 1/250", "IHCP-species-notes": "<p></p>" } } }

Product details

Patented technology
Our RabMAb® technology is a patented hybridoma-based technology for making rabbit monoclonal antibodies. For details on our patents, please refer to RabMAb® patents.

What are the advantages of a recombinant monoclonal antibody?
This product is a recombinant monoclonal antibody, which offers several advantages including:

  • - High batch-to-batch consistency and reproducibility
  • - Improved sensitivity and specificity
  • - Long-term security of supply
  • - Animal-free batch production

For more information, read more on recombinant antibodies.

Properties and storage information

Form
Liquid
Purification technique
Affinity purification Protein A
Storage buffer
pH: 7.2 - 7.4 Preservative: 0.01% Sodium azide Constituents: PBS, 40% Glycerol (glycerin, glycerine), 0.05% BSA
Shipped at conditions
Blue Ice
Appropriate short-term storage duration
1-2 weeks
Appropriate short-term storage conditions
+4°C
Appropriate long-term storage conditions
-20°C
Aliquoting information
Upon delivery aliquot
Storage information
Avoid freeze / thaw cycle

Supplementary information

This supplementary information is collated from multiple sources and compiled automatically.

U2AF35 also known as U2AF1 is a protein weighing approximately 35 kDa. It interacts importantly in the pre-mRNA splicing process where it binds to the 3' splice site of introns. The protein is a subunit of the U2 auxiliary factor and its expression occurs across various tissues with particular concentrations in the developmental stages of tissues and in dynamic cellular environments. U2AF35 functions by recognizing the AG dinucleotide at the 3' end of introns a task critical for the accurate splicing of precursor mRNA.
Biological function summary

This protein plays an important role in the removal of introns from pre-mRNA impacting the processing of mRNA which ultimately affects gene expression. U2AF35 is a component of the spliceosome complex particularly influencing the recruitment of U2 small nuclear ribonucleoprotein (snRNP) to the branch point. The activity of U2AF35 ensures proper mRNA maturation which is essential in controlling the flow of genetic information from DNA to protein synthesis. It also contributes to the alternative splicing allowing cells to produce diverse protein isoforms from a single gene.

Pathways

U2AF35 is critically involved in the mRNA splicing pathway and the regulation of alternative splicing events. U2AF35 partners with another subunit U2AF65 in the spliceosome to facilitate these processes. It actively connects with several other proteins within the spliceosome machinery including SF3b and SF3a complexes. The interaction between U2AF35 and these elements ensures the correct assembly of the spliceosome directly influencing the pathway governing pre-mRNA processing.

Mutations in the U2AF35 gene can result in specific types of cancer such as myelodysplastic syndromes (MDS) where abnormal splicing patterns occur. Such mutations often affect the interaction of U2AF35 with other splicing factors like SF3B1. Additionally alterations in U2AF35 have associations with lung adenocarcinoma where changes in the mRNA splicing landscape empower cancer progression and malignancy. Understanding its role in splicing provides insight into how disruptions can lead to disease development.

Product protocols

For this product, it's our understanding that no specific protocols are required. You can visit:

Target data

Plays a critical role in both constitutive and enhancer-dependent splicing by mediating protein-protein interactions and protein-RNA interactions required for accurate 3'-splice site selection. Recruits U2 snRNP to the branch point. Directly mediates interactions between U2AF2 and proteins bound to the enhancers and thus may function as a bridge between U2AF2 and the enhancer complex to recruit it to the adjacent intron.
See full target information U2AF1

Publications (4)

Recent publications for all applications. Explore the full list and refine your search

Journal of microbiology and biotechnology 34:1433-1442 PubMed38955795

2024

MBNL3 Acts as a Target of miR-302e to Facilitate Cell Proliferation, Invasion and Angiogenesis of Gastric Adenocarcinoma via AKT/VEGFA Pathway.

Applications

Unspecified application

Species

Unspecified reactive species

Weiping Tang,Can Huang,Bing Jiang,Junjun Lin,Yecai Lu

Cell death & disease 12:655 PubMed34183647

2021

U2AF1 mutation promotes tumorigenicity through facilitating autophagy flux mediated by FOXO3a activation in myelodysplastic syndromes.

Applications

Unspecified application

Species

Unspecified reactive species

Yuqian Zhu,Dandan Song,Juan Guo,Jiacheng Jin,Ying Tao,Zheng Zhang,Feng Xu,Qi He,Xiao Li,Chunkang Chang,Lingyun Wu

Cancer research 78:5363-5374 PubMed30054334

2018

Spliceosome Mutations Induce R Loop-Associated Sensitivity to ATR Inhibition in Myelodysplastic Syndromes.

Applications

Unspecified application

Species

Unspecified reactive species

Hai Dang Nguyen,Wan Yee Leong,Weiling Li,Pavankumar N G Reddy,Jack D Sullivan,Matthew J Walter,Lee Zou,Timothy A Graubert

Molecular cell 65:832-847.e4 PubMed28257700

2017

Functions of Replication Protein A as a Sensor of R Loops and a Regulator of RNaseH1.

Applications

Unspecified application

Species

Unspecified reactive species

Hai Dang Nguyen,Tribhuwan Yadav,Sumanprava Giri,Borja Saez,Timothy A Graubert,Lee Zou
View all publications

Product promise

We are committed to supporting your work with high-quality reagents, and we're here for you every step of the way. In the unlikely event that one of our products does not perform as expected, you're protected by our Product Promise.
For full details, please see our Terms & Conditions

Please note: All products are 'FOR RESEARCH USE ONLY. NOT FOR USE IN DIAGNOSTIC OR THERAPEUTIC PROCEDURES'.

For licensing inquiries, please contact partnerships@abcam.com