JavaScript is disabled in your browser. Please enable JavaScript to view this website.
AB249709

Anti-U2AF35/U2AF1 antibody [EPR12649(B)] - BSA and Azide free

0

(1 Review)

|

(1 Publication)

Rabbit Recombinant Monoclonal U2AF35/U2AF1 antibody. Carrier free. Suitable for IHC-P, ICC/IF, IP, WB and reacts with Human, Mouse samples. Cited in 1 publication.

View Alternative Names

U2AF35, U2AFBP, FP793, U2AF1, Splicing factor U2AF 35 kDa subunit, U2 auxiliary factor 35 kDa subunit, U2 small nuclear RNA auxiliary factor 1, U2 snRNP auxiliary factor small subunit

5 Images
Immunocytochemistry/ Immunofluorescence - Anti-U2AF35/U2AF1 antibody [EPR12649(B)] - BSA and Azide free (AB249709)
  • ICC/IF

Supplier Data

Immunocytochemistry/ Immunofluorescence - Anti-U2AF35/U2AF1 antibody [EPR12649(B)] - BSA and Azide free (AB249709)

This data was developed using ab172614, the same antibody clone in a different buffer formulation.

Immunofluorescent analysis of HeLa cells labeling U2AF35/U2AF1 with ab172614 at 1/50 dilution.

Immunohistochemistry (Formalin/PFA-fixed paraffin-embedded sections) - Anti-U2AF35/U2AF1 antibody [EPR12649(B)] - BSA and Azide free (AB249709)
  • IHC-P

Supplier Data

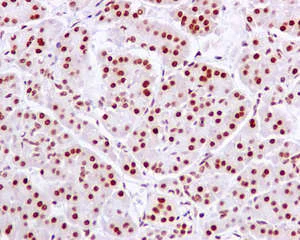
Immunohistochemistry (Formalin/PFA-fixed paraffin-embedded sections) - Anti-U2AF35/U2AF1 antibody [EPR12649(B)] - BSA and Azide free (AB249709)

This data was developed using ab172614, the same antibody clone in a different buffer formulation.

Immunohistochemical analysis of paraffin-embedded Human pancreas tissue labeling U2AF35/U2AF1 with ab172614 at 1/50 dilution.

Perform heat mediated antigen retrieval before commencing with IHC staining protocol.

Immunohistochemistry (Formalin/PFA-fixed paraffin-embedded sections) - Anti-U2AF35/U2AF1 antibody [EPR12649(B)] - BSA and Azide free (AB249709)
  • IHC-P

Supplier Data

Immunohistochemistry (Formalin/PFA-fixed paraffin-embedded sections) - Anti-U2AF35/U2AF1 antibody [EPR12649(B)] - BSA and Azide free (AB249709)

This data was developed using ab172614, the same antibody clone in a different buffer formulation.

Immunohistochemical analysis of paraffin-embedded Human endometrial carcinoma tissue labeling U2AF35/U2AF1 with ab172614 at 1/50 dilution.

Perform heat mediated antigen retrieval before commencing with IHC staining protocol.

Immunoprecipitation - Anti-U2AF35/U2AF1 antibody [EPR12649(B)] - BSA and Azide free (AB249709)
  • IP

Supplier Data

Immunoprecipitation - Anti-U2AF35/U2AF1 antibody [EPR12649(B)] - BSA and Azide free (AB249709)

This data was developed using ab172614, the same antibody clone in a different buffer formulation.

Western blot analysis on immunoprecipitation pellet from HeLa cell lysate immunoprecipitated using ab172614 at 1/10 dilution.

All lanes:

Immunoprecipitation - Anti-U2AF35/U2AF1 antibody [EPR12649(B)] (<a href='/en-us/products/primary-antibodies/u2af35-u2af1-antibody-epr12649b-ab172614'>ab172614</a>)

Predicted band size: 28 kDa

false

Western blot - Anti-U2AF35/U2AF1 antibody [EPR12649(B)] - BSA and Azide free (AB249709)
  • WB

Supplier Data

Western blot - Anti-U2AF35/U2AF1 antibody [EPR12649(B)] - BSA and Azide free (AB249709)

This data was developed using ab172614, the same antibody clone in a different buffer formulation.

All lanes:

Western blot - Anti-U2AF35/U2AF1 antibody [EPR12649(B)] (<a href='/en-us/products/primary-antibodies/u2af35-u2af1-antibody-epr12649b-ab172614'>ab172614</a>) at 1/1000 dilution

Lane 1:

HeLa cell lysate at 10 µg

Lane 2:

293T cell lysate at 10 µg

Lane 3:

NIH/3T3 cell lysate at 10 µg

Lane 4:

Ramos cell lysate at 10 µg

Predicted band size: 28 kDa

false

Key facts

Host species

Rabbit

Clonality

Monoclonal

Clone number

EPR12649(B)

Isotype

IgG

Carrier free

Yes

Reacts with

Mouse, Human

Applications

IHC-P, WB, ICC/IF, IP

applications

Immunogen

The exact immunogen used to generate this antibody is proprietary information.

Reactivity data

{ "title": "Reactivity Data", "filters": { "stats": ["", "Species", "Dilution Info", "Notes"], "tabs": { "all-applications": {"fullname" : "All Applications", "shortname": "All Applications"}, "IHCP" : {"fullname" : "Immunohistochemistry (Formalin/PFA-fixed paraffin-embedded sections)", "shortname":"IHC-P"}, "ICCIF" : {"fullname" : "Immunocytochemistry/ Immunofluorescence", "shortname":"ICC/IF"}, "IP" : {"fullname" : "Immunoprecipitation", "shortname":"IP"}, "FlowCyt" : {"fullname" : "Flow Cytometry", "shortname":"Flow Cyt"}, "WB" : {"fullname" : "Western blot", "shortname":"WB"} }, "product-promise": { "all": "all", "testedAndGuaranteed": "tested", "guaranteed": "expected", "predicted": "predicted", "notRecommended": "not-recommended" } }, "values": { "Human": { "IHCP-species-checked": "testedAndGuaranteed", "IHCP-species-dilution-info": "", "IHCP-species-notes": "<p></p>", "ICCIF-species-checked": "testedAndGuaranteed", "ICCIF-species-dilution-info": "", "ICCIF-species-notes": "<p></p>", "IP-species-checked": "testedAndGuaranteed", "IP-species-dilution-info": "", "IP-species-notes": "<p></p>", "FlowCyt-species-checked": "notRecommended", "FlowCyt-species-dilution-info": "", "FlowCyt-species-notes": "<p></p>", "WB-species-checked": "testedAndGuaranteed", "WB-species-dilution-info": "", "WB-species-notes": "<p></p>" }, "Mouse": { "IHCP-species-checked": "guaranteed", "IHCP-species-dilution-info": "", "IHCP-species-notes": "", "ICCIF-species-checked": "guaranteed", "ICCIF-species-dilution-info": "", "ICCIF-species-notes": "", "IP-species-checked": "guaranteed", "IP-species-dilution-info": "", "IP-species-notes": "", "FlowCyt-species-checked": "notRecommended", "FlowCyt-species-dilution-info": "", "FlowCyt-species-notes": "<p></p>", "WB-species-checked": "testedAndGuaranteed", "WB-species-dilution-info": "", "WB-species-notes": "<p></p>" }, "Rat": { "IHCP-species-checked": "predicted", "IHCP-species-dilution-info": "", "IHCP-species-notes": "", "ICCIF-species-checked": "predicted", "ICCIF-species-dilution-info": "", "ICCIF-species-notes": "", "IP-species-checked": "predicted", "IP-species-dilution-info": "", "IP-species-notes": "", "FlowCyt-species-checked": "notRecommended", "FlowCyt-species-dilution-info": "", "FlowCyt-species-notes": "", "WB-species-checked": "predicted", "WB-species-dilution-info": "", "WB-species-notes": "" } } }

Product details

ab249709 is the carrier-free version of ab172614.

Patented technology
Our RabMAb® technology is a patented hybridoma-based technology for making rabbit monoclonal antibodies. For details on our patents, please refer to RabMAb® patents.

What are the advantages of a recombinant monoclonal antibody?
This product is a recombinant monoclonal antibody, which offers several advantages including:

  • - High batch-to-batch consistency and reproducibility
  • - Improved sensitivity and specificity
  • - Long-term security of supply
  • - Animal-free batch production

For more information, read more on recombinant antibodies.

Conjugation ready
Our carrier-free antibodies are typically supplied in a PBS-only formulation, purified and free of BSA, sodium azide and glycerol. This conjugation-ready format is designed for use with fluorochromes, metal isotopes, oligonucleotides, and enzymes, which makes them ideal for antibody labelling, functional and cell-based assays, flow-based assays (e.g. mass cytometry) and Multiplex Imaging applications.

Use our conjugation kits for antibody conjugates that are ready-to-use in as little as 20 minutes with 1 minute hands-on-time and 100% antibody recovery: available for fluorescent dyes, HRP, biotin and gold.

Compatibility
This product is compatible with the Maxpar® Antibody Labeling Kit from Fluidigm, without the need for antibody preparation. Maxpar® is a trademark of Fluidigm Canada Inc.

Properties and storage information

Form
Liquid
Purification technique
Affinity purification Protein A
Storage buffer
pH: 7.2 - 7.4 Constituents: PBS
Shipped at conditions
Blue Ice
Appropriate short-term storage conditions
+4°C
Appropriate long-term storage conditions
+4°C
Storage information
Do Not Freeze

Supplementary information

This supplementary information is collated from multiple sources and compiled automatically.

U2AF35 also known as U2AF1 is a protein weighing approximately 35 kDa. It interacts importantly in the pre-mRNA splicing process where it binds to the 3' splice site of introns. The protein is a subunit of the U2 auxiliary factor and its expression occurs across various tissues with particular concentrations in the developmental stages of tissues and in dynamic cellular environments. U2AF35 functions by recognizing the AG dinucleotide at the 3' end of introns a task critical for the accurate splicing of precursor mRNA.
Biological function summary

This protein plays an important role in the removal of introns from pre-mRNA impacting the processing of mRNA which ultimately affects gene expression. U2AF35 is a component of the spliceosome complex particularly influencing the recruitment of U2 small nuclear ribonucleoprotein (snRNP) to the branch point. The activity of U2AF35 ensures proper mRNA maturation which is essential in controlling the flow of genetic information from DNA to protein synthesis. It also contributes to the alternative splicing allowing cells to produce diverse protein isoforms from a single gene.

Pathways

U2AF35 is critically involved in the mRNA splicing pathway and the regulation of alternative splicing events. U2AF35 partners with another subunit U2AF65 in the spliceosome to facilitate these processes. It actively connects with several other proteins within the spliceosome machinery including SF3b and SF3a complexes. The interaction between U2AF35 and these elements ensures the correct assembly of the spliceosome directly influencing the pathway governing pre-mRNA processing.

Mutations in the U2AF35 gene can result in specific types of cancer such as myelodysplastic syndromes (MDS) where abnormal splicing patterns occur. Such mutations often affect the interaction of U2AF35 with other splicing factors like SF3B1. Additionally alterations in U2AF35 have associations with lung adenocarcinoma where changes in the mRNA splicing landscape empower cancer progression and malignancy. Understanding its role in splicing provides insight into how disruptions can lead to disease development.

Product protocols

For this product, it's our understanding that no specific protocols are required. You can visit:

Target data

Plays a critical role in both constitutive and enhancer-dependent splicing by mediating protein-protein interactions and protein-RNA interactions required for accurate 3'-splice site selection. Recruits U2 snRNP to the branch point. Directly mediates interactions between U2AF2 and proteins bound to the enhancers and thus may function as a bridge between U2AF2 and the enhancer complex to recruit it to the adjacent intron.
See full target information U2AF1

Publications (1)

Recent publications for all applications. Explore the full list and refine your search

Oxidative medicine and cellular longevity 2021:8379962 PubMed34630853

2021

circ_0023461 Silencing Protects Cardiomyocytes from Hypoxia-Induced Dysfunction through Targeting miR-370-3p/PDE4D Signaling.

Applications

Unspecified application

Species

Unspecified reactive species

Kai Ren,Buying Li,Liqing Jiang,Zhiheng Liu,Fan Wu,Yi Zhang,Jincheng Liu,Weixun Duan
View all publications

Product promise

We are committed to supporting your work with high-quality reagents, and we're here for you every step of the way. In the unlikely event that one of our products does not perform as expected, you're protected by our Product Promise.
For full details, please see our Terms & Conditions

Please note: All products are 'FOR RESEARCH USE ONLY. NOT FOR USE IN DIAGNOSTIC OR THERAPEUTIC PROCEDURES'.

For licensing inquiries, please contact partnerships@abcam.com