JavaScript is disabled in your browser. Please enable JavaScript to view this website.
AB197031

Anti-U2AF65 antibody [EPR17046] - C-terminal

Be the first to review this product! Submit a review

|

(5 Publications)

Rabbit Recombinant Monoclonal U2AF65 antibody. C-terminal. Suitable for WB, ICC/IF, IHC-P and reacts with Mouse, Rat, Human samples. Cited in 5 publications.

View Alternative Names

U2AF65, U2AF2, Splicing factor U2AF 65 kDa subunit, U2 auxiliary factor 65 kDa subunit, U2 snRNP auxiliary factor large subunit, hU2AF(65), hU2AF65

7 Images
Immunohistochemistry (Formalin/PFA-fixed paraffin-embedded sections) - Anti-U2AF65 antibody [EPR17046] - C-terminal (AB197031)
  • IHC-P

Supplier Data

Immunohistochemistry (Formalin/PFA-fixed paraffin-embedded sections) - Anti-U2AF65 antibody [EPR17046] - C-terminal (AB197031)

Immunohistochemical analysis of paraffin-embedded Human endometrial adenocarcinoma tissue labeling U2AF65 with ab197031 at 1/250 dilution followed by Goat Anti-Rabbit IgG H&L (HRP) (ab97051) at 1/500 dilution. Nuclear staining on Human endometrial adenocarcinoma tissue is observed. Counter stained with Hematoxylin.
Negative control : Used PBS instead of primary antibody.

Perform heat mediated antigen retrieval with Tris/EDTA buffer pH 9.0 before commencing with IHC staining protocol.

Immunocytochemistry/ Immunofluorescence - Anti-U2AF65 antibody [EPR17046] - C-terminal (AB197031)
  • ICC/IF

Unknown

Immunocytochemistry/ Immunofluorescence - Anti-U2AF65 antibody [EPR17046] - C-terminal (AB197031)

Immunocytochemistry/Immunofluorescence analysis of HeLa (Human epithelial cell line from cervix adenocarcinoma) labeling U2AF65 with Purified ab197031 at 1/500 dilution (5 μg/ml). Cells were fixed with 4% PFA and permeabilized with 0.1% tritonX-100. ab150077 Goat anti rabbit IgG(Alexa Fluor® 488) at 1/1000 dilution was used as the secondary antibody. Nuclei were counterstained with DAPI. PBS was used instead of the primary antibody as the negative control.

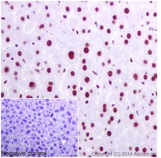
Immunohistochemistry (Formalin/PFA-fixed paraffin-embedded sections) - Anti-U2AF65 antibody [EPR17046] - C-terminal (AB197031)
  • IHC-P

Supplier Data

Immunohistochemistry (Formalin/PFA-fixed paraffin-embedded sections) - Anti-U2AF65 antibody [EPR17046] - C-terminal (AB197031)

Immunohistochemical analysis of paraffin-embedded Mouse liver tissue labeling U2AF65 with ab197031 at 1/250 dilution followed by Goat Anti-Rabbit IgG H&L (HRP) (ab97051) at 1/500 dilution. Nuclear staining on Mouse liver tissue is observed. Counter stained with Hematoxylin.
Negative control : Used PBS instead of primary antibody.

Perform heat mediated antigen retrieval with Tris/EDTA buffer pH 9.0 before commencing with IHC staining protocol.

Immunohistochemistry (Formalin/PFA-fixed paraffin-embedded sections) - Anti-U2AF65 antibody [EPR17046] - C-terminal (AB197031)
  • IHC-P

Supplier Data

Immunohistochemistry (Formalin/PFA-fixed paraffin-embedded sections) - Anti-U2AF65 antibody [EPR17046] - C-terminal (AB197031)

Immunohistochemical analysis of paraffin-embedded Rat cerebral cortex tissue labeling U2AF65 with ab197031 at 1/250 dilution followed by Goat Anti-Rabbit IgG H&L (HRP) (ab97051) at 1/500 dilution. Nuclear staining on rat cerebral cortex tissue is observed. Counter stained with Hematoxylin.
Negative control : Used PBS instead of primary antibody.

Perform heat mediated antigen retrieval with Tris/EDTA buffer pH 9.0 before commencing with IHC staining protocol.

Western blot - Anti-U2AF65 antibody [EPR17046] - C-terminal (AB197031)
  • WB

Supplier Data

Western blot - Anti-U2AF65 antibody [EPR17046] - C-terminal (AB197031)

Blocking/Dilution buffer : 5% NFDM/TBST.

All lanes:

Western blot - Anti-U2AF65 antibody [EPR17046] - C-terminal (ab197031) at 1/20000 dilution

Lane 1:

293 (Human epithelial cells from embryonic kidney) whole cell lysate at 20 µg

Lane 2:

Jurkat (Human T cell leukemia cells from peripheral blood) whole cell lysate at 20 µg

Lane 3:

HeLa (Human epithelial cells from cervix adenocarcinoma) whole cell lysate at 20 µg

Secondary

All lanes:

Goat Anti-Rabbit IgG, (H+L), Peroxidase conjugated at 1/1000 dilution

Predicted band size: 54 kDa

Observed band size: 54 kDa

true

Exposure time: 1min

Western blot - Anti-U2AF65 antibody [EPR17046] - C-terminal (AB197031)
  • WB

Supplier Data

Western blot - Anti-U2AF65 antibody [EPR17046] - C-terminal (AB197031)

Blocking/Dilution buffer : 5% NFDM/TBST.

All lanes:

Western blot - Anti-U2AF65 antibody [EPR17046] - C-terminal (ab197031) at 1/2000 dilution

All lanes:

Mouse brain tissue lysate at 10 µg

Secondary

All lanes:

Goat Anti-Rabbit IgG, (H+L), Peroxidase conjugated at 1/1000 dilution

Predicted band size: 54 kDa

Observed band size: 54 kDa

true

Exposure time: 3min

Western blot - Anti-U2AF65 antibody [EPR17046] - C-terminal (AB197031)
  • WB

Supplier Data

Western blot - Anti-U2AF65 antibody [EPR17046] - C-terminal (AB197031)

Blocking/Dilution buffer : 5% NFDM/TBST.

All lanes:

Western blot - Anti-U2AF65 antibody [EPR17046] - C-terminal (ab197031) at 1/2000 dilution

Lane 1:

C6 (Rat glial tumor cells) whole cell lysate at 10 µg

Lane 2:

RAW 264.7 (Mouse macrophage cells transformed with Abelson murine leukemia virus) whole cell lysate at 10 µg

Lane 3:

PC-12 (Rat adrenal gland pheochromocytoma) whole cell lysate at 10 µg

Lane 4:

NIH/3T3 (Mouse embyro fibroblast cells) whole cell lysate at 10 µg

Secondary

All lanes:

Goat Anti-Rabbit IgG, (H+L), Peroxidase conjugated at 1/1000 dilution

Predicted band size: 54 kDa

Observed band size: 54 kDa

true

Exposure time: 1min

  • Carrier free

    Anti-U2AF65 antibody [EPR17046] - BSA and Azide free

Key facts

Host species

Rabbit

Clonality

Monoclonal

Clone number

EPR17046

Isotype

IgG

Carrier free

No

Reacts with

Mouse, Rat, Human

Applications

WB, ICC/IF, IHC-P

applications

Immunogen

The exact immunogen used to generate this antibody is proprietary information.

Reactivity data

{ "title": "Reactivity Data", "filters": { "stats": ["", "Species", "Dilution Info", "Notes"], "tabs": { "all-applications": {"fullname" : "All Applications", "shortname": "All Applications"}, "WB" : {"fullname" : "Western blot", "shortname":"WB"}, "ICCIF" : {"fullname" : "Immunocytochemistry/ Immunofluorescence", "shortname":"ICC/IF"}, "IHCP" : {"fullname" : "Immunohistochemistry (Formalin/PFA-fixed paraffin-embedded sections)", "shortname":"IHC-P"} }, "product-promise": { "all": "all", "testedAndGuaranteed": "tested", "guaranteed": "expected", "predicted": "predicted", "notRecommended": "not-recommended" } }, "values": { "Human": { "WB-species-checked": "testedAndGuaranteed", "WB-species-dilution-info": "1/2000", "WB-species-notes": "<p></p>", "ICCIF-species-checked": "testedAndGuaranteed", "ICCIF-species-dilution-info": "1/450", "ICCIF-species-notes": "<p></p>", "IHCP-species-checked": "testedAndGuaranteed", "IHCP-species-dilution-info": "1/100 - 1/250", "IHCP-species-notes": "<p></p>" }, "Mouse": { "WB-species-checked": "testedAndGuaranteed", "WB-species-dilution-info": "1/2000", "WB-species-notes": "<p></p>", "ICCIF-species-checked": "guaranteed", "ICCIF-species-dilution-info": "", "ICCIF-species-notes": "", "IHCP-species-checked": "testedAndGuaranteed", "IHCP-species-dilution-info": "1/100 - 1/250", "IHCP-species-notes": "<p></p>" }, "Rat": { "WB-species-checked": "testedAndGuaranteed", "WB-species-dilution-info": "1/2000", "WB-species-notes": "<p></p>", "ICCIF-species-checked": "guaranteed", "ICCIF-species-dilution-info": "", "ICCIF-species-notes": "", "IHCP-species-checked": "testedAndGuaranteed", "IHCP-species-dilution-info": "1/100 - 1/250", "IHCP-species-notes": "<p></p>" } } }

Product details

Patented technology
Our RabMAb® technology is a patented hybridoma-based technology for making rabbit monoclonal antibodies. For details on our patents, please refer to RabMAb® patents.

What are the advantages of a recombinant monoclonal antibody?
This product is a recombinant monoclonal antibody, which offers several advantages including:

  • - High batch-to-batch consistency and reproducibility
  • - Improved sensitivity and specificity
  • - Long-term security of supply
  • - Animal-free batch production

For more information, read more on recombinant antibodies.

Properties and storage information

Form
Liquid
Purification technique
Affinity purification Protein A
Storage buffer
pH: 7.2 - 7.4 Preservative: 0.01% Sodium azide Constituents: PBS, 40% Glycerol (glycerin, glycerine), 0.05% BSA
Shipped at conditions
Blue Ice
Appropriate short-term storage duration
1-2 weeks
Appropriate short-term storage conditions
+4°C
Appropriate long-term storage conditions
-20°C
Aliquoting information
Upon delivery aliquot
Storage information
Avoid freeze / thaw cycle

Supplementary information

This supplementary information is collated from multiple sources and compiled automatically.

U2AF65 also known as U2 small nuclear RNA auxiliary factor 2 (U2AF2) is a splicing factor structured around 65 kilodaltons in mass. It interacts with RNA as part of the spliceosome to facilitate proper pre-mRNA splicing. The protein ensures the precise recognition and binding of the polypyrimidine tract at the 3' splice site. It is expressed in various human tissues playing an important role in RNA processing across different cell types.
Biological function summary

The U2AF65 protein contributes to the assembly of the spliceosome a major RNA-protein complex involved in splicing pre-messenger RNA. It works as part of the heterodimeric U2AF complex along with U2AF35 enhancing the precise selection of splice sites. This activity is essential to ensure accurate and efficient splicing which is necessary for proper gene expression and regulation.

Pathways

The activity of U2AF65 is an integral part of the RNA splicing pathway which plays a critical role in modulating gene expression. U2AF65 acts in coordination with other splicing factors such as SF1 and SF3B1 ensuring the correct assembly of the functional spliceosome. The accurate regulation of this pathway is essential for generating diversity in protein expression and for maintaining cell homeostasis.

Misregulation of U2AF65 activity has implications in diseases like cancer and spinal muscular atrophy. Alterations in the expression or function of U2AF65 can lead to aberrant splicing events which affect gene expression profiles. In cancer U2AF65 interacts with various oncogenes and tumor suppressor proteins potentially contributing to tumour progression. In spinal muscular atrophy alterations in splicing factors including U2AF65 influence the expression of survival motor neuron proteins intricately linking U2AF65 to the pathology of these conditions.

Product protocols

For this product, it's our understanding that no specific protocols are required. You can visit:

Target data

Plays a role in pre-mRNA splicing and 3'-end processing (PubMed : 17024186). By recruiting PRPF19 and the PRP19C/Prp19 complex/NTC/Nineteen complex to the RNA polymerase II C-terminal domain (CTD), and thereby pre-mRNA, may couple transcription to splicing (PubMed : 21536736). Induces cardiac troponin-T (TNNT2) pre-mRNA exon inclusion in muscle. Regulates the TNNT2 exon 5 inclusion through competition with MBNL1. Binds preferentially to a single-stranded structure within the polypyrimidine tract of TNNT2 intron 4 during spliceosome assembly. Required for the export of mRNA out of the nucleus, even if the mRNA is encoded by an intron-less gene. Represses the splicing of MAPT/Tau exon 10. Positively regulates pre-mRNA 3'-end processing by recruiting the CFIm complex to cleavage and polyadenylation signals (PubMed : 17024186).
See full target information U2AF2

Publications (5)

Recent publications for all applications. Explore the full list and refine your search

Nature communications 16:9000 PubMed41068120

2025

PBAF/cBAF reorganization on H3.3 chromatin regulates BMAL1 activity in the absence of circadian negative feedback.

Applications

Unspecified application

Species

Unspecified reactive species

Dominika Letkova,Aurelie Peticca,Damien Sery,Masahide Seki,Yutaka Suzuki,Kiran Padmanabhan

The Journal of biological chemistry 301:108022 PubMed39608717

2024

Alternative splicing is an FXRα loss-of-function mechanism and impacts energy metabolism in hepatocarcinoma cells.

Applications

Unspecified application

Species

Unspecified reactive species

Manon Garcia,Hélène Holota,Angélique De Haze,Jean-Paul Saru,Phelipe Sanchez,Edwige Battistelli,Laura Thirouard,Mélusine Monrose,Gérard Benoit,David H Volle,Claude Beaudoin

Journal of translational medicine 19:492 PubMed34861864

2021

CircSERPINA3 regulates SERPINA3-mediated apoptosis, autophagy and aerobic glycolysis of prostate cancer cells by competitively binding to MiR-653-5p and recruiting BUD13.

Applications

Unspecified application

Species

Unspecified reactive species

Zengshu Xing,Sailian Li,Zhenxiang Liu,Chong Zhang,Zhiming Bai

Bioscience reports 40: PubMed32039444

2020

Differential regulation of sFlt-1 splicing by U2AF65 and JMJD6 in placental-derived and endothelial cells.

Applications

Unspecified application

Species

Unspecified reactive species

Adrian C Eddy,Heather Chapman,David T Brown,Eric M George

International journal of molecular medicine 45:731-742 PubMed31985025

2020

Ligustrazine ameliorates acute kidney injury through downregulation of NOD2‑mediated inflammation.

Applications

Unspecified application

Species

Unspecified reactive species

Guosheng Jiang,Rui Xin,Wendan Yuan,Lixia Zhang,Xianghui Meng,Wangnan Sun,Huirong Han,Yun Hou,Lin Wang,Pengchao Du
View all publications

Product promise

We are committed to supporting your work with high-quality reagents, and we're here for you every step of the way. In the unlikely event that one of our products does not perform as expected, you're protected by our Product Promise.
For full details, please see our Terms & Conditions

Please note: All products are 'FOR RESEARCH USE ONLY. NOT FOR USE IN DIAGNOSTIC OR THERAPEUTIC PROCEDURES'.

For licensing inquiries, please contact partnerships@abcam.com