JavaScript is disabled in your browser. Please enable JavaScript to view this website.
AB181059

Anti-UAP56 antibody [EPR13144]

Be the first to review this product! Submit a review

|

(2 Publications)

Rabbit Recombinant Monoclonal UAP56 antibody. Suitable for WB, ICC/IF, IHC-P and reacts with Human samples. Cited in 2 publications.

View Alternative Names

BAT1, UAP56, DDX39B, Spliceosome RNA helicase DDX39B, 56 kDa U2AF65-associated protein, ATP-dependent RNA helicase p47, DEAD box protein UAP56, HLA-B-associated transcript 1 protein

4 Images
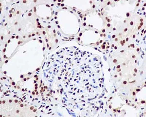
Immunohistochemistry (Formalin/PFA-fixed paraffin-embedded sections) - Anti-UAP56 antibody [EPR13144] (AB181059)
  • IHC-P

Supplier Data

Immunohistochemistry (Formalin/PFA-fixed paraffin-embedded sections) - Anti-UAP56 antibody [EPR13144] (AB181059)

Immunohistochemical analysis of paraffin embedded Human kidney tissue sections labeling UAP56 using ab181059 at a 1/100 dilution. A ready to use HRP Polymer for Rabbit IgG was used as the secondary. Hematoxylin counterstain.

Perform heat mediated antigen retrieval with EDTA buffer pH 9 before commencing with IHC staining protocol.

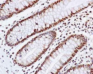
Immunohistochemistry (Formalin/PFA-fixed paraffin-embedded sections) - Anti-UAP56 antibody [EPR13144] (AB181059)
  • IHC-P

Supplier Data

Immunohistochemistry (Formalin/PFA-fixed paraffin-embedded sections) - Anti-UAP56 antibody [EPR13144] (AB181059)

Immunohistochemical analysis of paraffin embedded Human colon tissue sections labeling UAP56 using ab181059 at a 1/100 dilution. A ready to use HRP Polymer for Rabbit IgG was used as the secondary. Hematoxylin counterstain.

Perform heat mediated antigen retrieval with EDTA buffer pH 9 before commencing with IHC staining protocol.

Immunocytochemistry/ Immunofluorescence - Anti-UAP56 antibody [EPR13144] (AB181059)
  • ICC/IF

Supplier Data

Immunocytochemistry/ Immunofluorescence - Anti-UAP56 antibody [EPR13144] (AB181059)

Immunofluorescent analysis of acetone fixed HeLa cells labeling UAP56 using ab181059 at a 1/100 dilution. A Goat anti rabbit IgG (Alexa Fluor®488) was used as the secondary at a 1/200 dilution.

Western blot - Anti-UAP56 antibody [EPR13144] (AB181059)
  • WB

Supplier Data

Western blot - Anti-UAP56 antibody [EPR13144] (AB181059)

Blocking/ Dilution buffer : 5% NFDM /TBST.

All lanes:

Western blot - Anti-UAP56 antibody [EPR13144] (ab181059) at 1/10000 dilution

Lane 1:

K562 cell lysate at 20 µg

Lane 2:

HeLa cell lysate at 20 µg

Lane 3:

Jurkat cell lysate at 20 µg

Lane 4:

293 cell lysate at 20 µg

Secondary

All lanes:

Goat Anti-Rabbit IgG, (H+L), Peroxidase conjugated at 1/1000 dilution

Predicted band size: 49 kDa

false

  • Carrier free

    Anti-UAP56 antibody [EPR13144] - BSA and Azide free

Key facts

Host species

Rabbit

Clonality

Monoclonal

Clone number

EPR13144

Isotype

IgG

Carrier free

No

Reacts with

Human

Applications

ICC/IF, WB, IHC-P

applications

Immunogen

The exact immunogen used to generate this antibody is proprietary information.

Reactivity data

{ "title": "Reactivity Data", "filters": { "stats": ["", "Species", "Dilution Info", "Notes"], "tabs": { "all-applications": {"fullname" : "All Applications", "shortname": "All Applications"}, "WB" : {"fullname" : "Western blot", "shortname":"WB"}, "ICCIF" : {"fullname" : "Immunocytochemistry/ Immunofluorescence", "shortname":"ICC/IF"}, "IHCP" : {"fullname" : "Immunohistochemistry (Formalin/PFA-fixed paraffin-embedded sections)", "shortname":"IHC-P"} }, "product-promise": { "all": "all", "testedAndGuaranteed": "tested", "guaranteed": "expected", "predicted": "predicted", "notRecommended": "not-recommended" } }, "values": { "Human": { "WB-species-checked": "testedAndGuaranteed", "WB-species-dilution-info": "1/1000 - 1/10000", "WB-species-notes": "<p></p>", "ICCIF-species-checked": "testedAndGuaranteed", "ICCIF-species-dilution-info": "1/50 - 1/100", "ICCIF-species-notes": "<p></p>", "IHCP-species-checked": "testedAndGuaranteed", "IHCP-species-dilution-info": "1/50 - 1/100", "IHCP-species-notes": "<p></p>" }, "Mouse": { "WB-species-checked": "predicted", "WB-species-dilution-info": "", "WB-species-notes": "", "ICCIF-species-checked": "predicted", "ICCIF-species-dilution-info": "", "ICCIF-species-notes": "", "IHCP-species-checked": "predicted", "IHCP-species-dilution-info": "", "IHCP-species-notes": "" }, "Rat": { "WB-species-checked": "predicted", "WB-species-dilution-info": "", "WB-species-notes": "", "ICCIF-species-checked": "predicted", "ICCIF-species-dilution-info": "", "ICCIF-species-notes": "", "IHCP-species-checked": "predicted", "IHCP-species-dilution-info": "", "IHCP-species-notes": "" } } }

Product details

Patented technology
Our RabMAb® technology is a patented hybridoma-based technology for making rabbit monoclonal antibodies. For details on our patents, please refer to RabMAb® patents.

What are the advantages of a recombinant monoclonal antibody?
This product is a recombinant monoclonal antibody, which offers several advantages including:

  • - High batch-to-batch consistency and reproducibility
  • - Improved sensitivity and specificity
  • - Long-term security of supply
  • - Animal-free batch production

For more information, read more on recombinant antibodies.

Properties and storage information

Form
Liquid
Purity
Tissue culture supernatant
Storage buffer
Preservative: 0.01% Sodium azide Constituents: PBS, 40% Glycerol (glycerin, glycerine), 0.05% BSA
Shipped at conditions
Blue Ice
Appropriate short-term storage duration
1-2 weeks
Appropriate short-term storage conditions
+4°C
Appropriate long-term storage conditions
-20°C
Aliquoting information
Upon delivery aliquot
Storage information
Avoid freeze / thaw cycle

Supplementary information

This supplementary information is collated from multiple sources and compiled automatically.

UAP56 also known as DDX39B or SUB2 is an ATP-dependent RNA helicase with a molecular mass of approximately 46 kDa. It plays a significant role in RNA processing by unwinding RNA duplexes. UAP56 is found throughout the nucleus and functions in various cell types with high expression levels in actively dividing cells. It binds RNA substrates using ATP hydrolysis facilitating movement along RNA strands and this action is vital for splicing and mRNA export from the nucleus to the cytoplasm.
Biological function summary

This protein contributes to the assembly of the spliceosome complex which is essential for pre-mRNA splicing. By interacting with other splicing factors UAP56 ensures accurate removal of introns and the joining of exons in the mRNA. Its function is also necessary for the proper export of mRNA through the nuclear pore complex. Through these activities UAP56 supports gene expression by ensuring that only mature mRNA is available for translation.

Pathways

UAP56 operates in the mRNA processing and transport pathways. In the mRNA export pathway it collaborates with other proteins like Aly/REF and the TREX complex facilitating the translocation of mRNA from the nucleus to the cytoplasm. In the splicing pathway UAP56 interacts with small nuclear ribonucleoproteins (snRNPs) to ensure correct splicing. These interactions help maintain the efficiency and fidelity of gene expression.

Defects in UAP56 or its interactions may contribute to cancer and neurodegenerative diseases. In cancer abnormal mRNA export and splicing can lead to the expression of oncogenes or the loss of tumor suppressors implicating UAP56 in tumor progression. In neurodegenerative disorders UAP56 dysfunction might result in improper mRNA processing leading to the accumulation of misfolded proteins. Its role is related to proteins such as TDP-43 which is involved in neurodegenerative pathologies.

Product protocols

For this product, it's our understanding that no specific protocols are required. You can visit:

Target data

Involved in nuclear export of spliced and unspliced mRNA (PubMed : 15833825, PubMed : 15998806, PubMed : 17190602). Component of the TREX complex which is thought to couple mRNA transcription, processing and nuclear export, and specifically associates with spliced mRNA and not with unspliced pre-mRNA (PubMed : 15833825, PubMed : 15998806, PubMed : 17190602). The TREX complex is recruited to spliced mRNAs by a transcription-independent mechanism, binds to mRNA upstream of the exon-junction complex (EJC) and is recruited in a splicing- and cap-dependent manner to a region near the 5' end of the mRNA where it functions in mRNA export to the cytoplasm via the TAP/NXF1 pathway (PubMed : 15833825, PubMed : 15998806, PubMed : 17190602). The THOC1-THOC2-THOC3 core complex alone is sufficient to promote ATPase activity of DDX39B; in the complex THOC2 is the only component that directly interacts with DDX39B (PubMed : 33191911). Associates with SARNP/CIP29, which facilitates RNA binding of DDX39B and likely plays a role in mRNA export (PubMed : 37578863). May undergo several rounds of ATP hydrolysis during assembly of TREX to drive subsequent loading of components such as ALYREF/THOC4 and CHTOP onto mRNA. Also associates with pre-mRNA independent of ALYREF/THOC4. Involved in the nuclear export of intronless mRNA; the ATP-bound form is proposed to recruit export adapter ALYREF/THOC4 to intronless mRNA; its ATPase activity is cooperatively stimulated by RNA and ALYREF/THOC4 and ATP hydrolysis is thought to trigger the dissociation from RNA to allow the association of ALYREF/THOC4 and the NXF1-NXT1 heterodimer. Involved in transcription elongation and genome stability.. Splice factor that is required for the first ATP-dependent step in spliceosome assembly and for the interaction of U2 snRNP with the branchpoint. Has both RNA-stimulated ATP binding/hydrolysis activity and ATP-dependent RNA unwinding activity. Even with the stimulation of RNA, the ATPase activity is weak. Can only hydrolyze ATP but not other NTPs. The RNA stimulation of ATPase activity does not have a strong preference for the sequence and length of the RNA. However, ssRNA stimulates the ATPase activity much more strongly than dsRNA. Can unwind 5' or 3' overhangs or blunt end RNA duplexes in vitro. The ATPase and helicase activities are not influenced by U2AF2; the effect of ALYREF/THOC4 is reported conflictingly with [PubMed : 23299939] reporting a stimulatory effect.. (Microbial infection) The TREX complex is essential for the export of Kaposi's sarcoma-associated herpesvirus (KSHV) intronless mRNAs and infectious virus production.
See full target information DDX39B

Publications (2)

Recent publications for all applications. Explore the full list and refine your search

Communications chemistry 8:245 PubMed40804100

2025

In vivo crosslinking and effective 2D enrichment for proteome wide interactome studies.

Applications

Unspecified application

Species

Unspecified reactive species

Philipp Bräuer,Laszlo Tirian,Fränze Müller,Karl Mechtler,Manuel Matzinger

Oxidative medicine and cellular longevity 2022:7856290 PubMed35464758

2022

Novel piRNA Regulates PIWIL1 to Modulate the Behavior of Placental Trophoblast Cells and Participates in Preeclampsia.

Applications

Unspecified application

Species

Unspecified reactive species

Jing Lin,Ye Zhou,Wei Gu
View all publications

Product promise

We are committed to supporting your work with high-quality reagents, and we're here for you every step of the way. In the unlikely event that one of our products does not perform as expected, you're protected by our Product Promise.
For full details, please see our Terms & Conditions

Please note: All products are 'FOR RESEARCH USE ONLY. NOT FOR USE IN DIAGNOSTIC OR THERAPEUTIC PROCEDURES'.

For licensing inquiries, please contact partnerships@abcam.com