JavaScript is disabled in your browser. Please enable JavaScript to view this website.
AB177478

Anti-UBA5 antibody [EPR11729]

4

(1 Review)

|

(6 Publications)

Rabbit Recombinant Monoclonal UBA5 antibody. Suitable for IHC-P, WB, ICC/IF, Flow Cyt (Intra) and reacts with Human samples. Cited in 6 publications.

View Alternative Names

UBE1DC1, UBA5, Ubiquitin-like modifier-activating enzyme 5, Ubiquitin-activating enzyme 5, ThiFP1, UFM1-activating enzyme, Ubiquitin-activating enzyme E1 domain-containing protein 1

5 Images
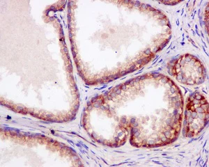
Immunohistochemistry (Formalin/PFA-fixed paraffin-embedded sections) - Anti-UBA5 antibody [EPR11729] (AB177478)
  • IHC-P

Supplier Data

Immunohistochemistry (Formalin/PFA-fixed paraffin-embedded sections) - Anti-UBA5 antibody [EPR11729] (AB177478)

Immunohistochemical analysis of paraffin embedded Human prostate gastric carcinoma tissue labeling UBA5 with ab177478 at 1/50.

Perform heat mediated antigen retrieval before commencing with IHC staining protocol.

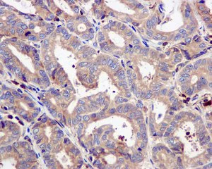
Immunohistochemistry (Formalin/PFA-fixed paraffin-embedded sections) - Anti-UBA5 antibody [EPR11729] (AB177478)
  • IHC-P

Supplier Data

Immunohistochemistry (Formalin/PFA-fixed paraffin-embedded sections) - Anti-UBA5 antibody [EPR11729] (AB177478)

Immunohistochemical analysis of paraffin embedded Human prostate tissue labeling UBA5 with ab177478 at 1/50.

Perform heat mediated antigen retrieval before commencing with IHC staining protocol.

Immunocytochemistry/ Immunofluorescence - Anti-UBA5 antibody [EPR11729] (AB177478)
  • ICC/IF

Supplier Data

Immunocytochemistry/ Immunofluorescence - Anti-UBA5 antibody [EPR11729] (AB177478)

Immunofluorescent analysis of Caco-2 cells labeling UBA5 with ab177478 at 1/50 (green) and DAPI staining (blue).

Flow Cytometry (Intracellular) - Anti-UBA5 antibody [EPR11729] (AB177478)
  • Flow Cyt (Intra)

Supplier Data

Flow Cytometry (Intracellular) - Anti-UBA5 antibody [EPR11729] (AB177478)

Intracellular flow cytometrical analysis of permeabilized Jurkat cells labeling UBA5 with ab177478 at 1/10 (red) or a rabbit IgG (negative) (green).

Western blot - Anti-UBA5 antibody [EPR11729] (AB177478)
  • WB

Supplier Data

Western blot - Anti-UBA5 antibody [EPR11729] (AB177478)

All lanes:

Western blot - Anti-UBA5 antibody [EPR11729] (ab177478) at 1/1000 dilution

Lane 1:

Caco-2 cell lysate at 10 µg

Lane 2:

Jurkat cell lysate at 10 µg

Lane 3:

293T cell lysate at 10 µg

Secondary

All lanes:

HRP labelled goat anti-rabbit at 1/2000 dilution

Predicted band size: 45 kDa

false

Key facts

Host species

Rabbit

Clonality

Monoclonal

Clone number

EPR11729

Isotype

IgG

Carrier free

No

Reacts with

Human

Applications

IHC-P, WB, ICC/IF, Flow Cyt (Intra)

applications

Immunogen

The exact immunogen used to generate this antibody is proprietary information.

Reactivity data

{ "title": "Reactivity Data", "filters": { "stats": ["", "Species", "Dilution Info", "Notes"], "tabs": { "all-applications": {"fullname" : "All Applications", "shortname": "All Applications"}, "IHCP" : {"fullname" : "Immunohistochemistry (Formalin/PFA-fixed paraffin-embedded sections)", "shortname":"IHC-P"}, "IP" : {"fullname" : "Immunoprecipitation", "shortname":"IP"}, "WB" : {"fullname" : "Western blot", "shortname":"WB"}, "ICCIF" : {"fullname" : "Immunocytochemistry/ Immunofluorescence", "shortname":"ICC/IF"}, "FlowCytIntra" : {"fullname" : "Flow Cytometry (Intracellular)", "shortname":"Flow Cyt (Intra)"} }, "product-promise": { "all": "all", "testedAndGuaranteed": "tested", "guaranteed": "expected", "predicted": "predicted", "notRecommended": "not-recommended" } }, "values": { "Human": { "IHCP-species-checked": "testedAndGuaranteed", "IHCP-species-dilution-info": "1/50 - 1/100", "IHCP-species-notes": "<p></p>", "IP-species-checked": "notRecommended", "IP-species-dilution-info": "", "IP-species-notes": "<p></p>", "WB-species-checked": "testedAndGuaranteed", "WB-species-dilution-info": "1/1000 - 1/5000", "WB-species-notes": "<p></p>", "ICCIF-species-checked": "testedAndGuaranteed", "ICCIF-species-dilution-info": "1/50 - 1/100", "ICCIF-species-notes": "<p></p>", "FlowCytIntra-species-checked": "testedAndGuaranteed", "FlowCytIntra-species-dilution-info": "1/10 - 1/100", "FlowCytIntra-species-notes": "<p><a href='/en-us/products/primary-antibodies/rabbit-igg-monoclonal-epr25a-isotype-control-ab172730'>ab172730</a> - Rabbit monoclonal IgG, is suitable for use as an isotype control with this antibody.</p>" }, "Mouse": { "IHCP-species-checked": "notRecommended", "IHCP-species-dilution-info": "1/50 - 1/100", "IHCP-species-notes": "<p></p>", "IP-species-checked": "notRecommended", "IP-species-dilution-info": "", "IP-species-notes": "<p></p>", "WB-species-checked": "notRecommended", "WB-species-dilution-info": "1/1000 - 1/5000", "WB-species-notes": "<p></p>", "ICCIF-species-checked": "notRecommended", "ICCIF-species-dilution-info": "1/50 - 1/100", "ICCIF-species-notes": "<p></p>", "FlowCytIntra-species-checked": "notRecommended", "FlowCytIntra-species-dilution-info": "1/10 - 1/100", "FlowCytIntra-species-notes": "<p><a href='/en-us/products/primary-antibodies/rabbit-igg-monoclonal-epr25a-isotype-control-ab172730'>ab172730</a> - Rabbit monoclonal IgG, is suitable for use as an isotype control with this antibody.</p>" }, "Rat": { "IHCP-species-checked": "notRecommended", "IHCP-species-dilution-info": "1/50 - 1/100", "IHCP-species-notes": "<p></p>", "IP-species-checked": "notRecommended", "IP-species-dilution-info": "", "IP-species-notes": "<p></p>", "WB-species-checked": "notRecommended", "WB-species-dilution-info": "1/1000 - 1/5000", "WB-species-notes": "<p></p>", "ICCIF-species-checked": "notRecommended", "ICCIF-species-dilution-info": "1/50 - 1/100", "ICCIF-species-notes": "<p></p>", "FlowCytIntra-species-checked": "notRecommended", "FlowCytIntra-species-dilution-info": "1/10 - 1/100", "FlowCytIntra-species-notes": "<p><a href='/en-us/products/primary-antibodies/rabbit-igg-monoclonal-epr25a-isotype-control-ab172730'>ab172730</a> - Rabbit monoclonal IgG, is suitable for use as an isotype control with this antibody.</p>" } } }

Product details

Patented technology
Our RabMAb® technology is a patented hybridoma-based technology for making rabbit monoclonal antibodies. For details on our patents, please refer to RabMAb® patents.

What are the advantages of a recombinant monoclonal antibody?
This product is a recombinant monoclonal antibody, which offers several advantages including:

  • - High batch-to-batch consistency and reproducibility
  • - Improved sensitivity and specificity
  • - Long-term security of supply
  • - Animal-free batch production

For more information, read more on recombinant antibodies.

Properties and storage information

Form
Liquid
Purification technique
Affinity purification Protein A
Storage buffer
pH: 7.2 - 7.4 Preservative: 0.01% Sodium azide Constituents: PBS, 40% Glycerol (glycerin, glycerine), 0.05% BSA
Shipped at conditions
Blue Ice
Appropriate short-term storage duration
1-2 weeks
Appropriate short-term storage conditions
+4°C
Appropriate long-term storage conditions
-20°C
Aliquoting information
Upon delivery aliquot
Storage information
Avoid freeze / thaw cycle

Supplementary information

This supplementary information is collated from multiple sources and compiled automatically.

UBA5 also known as Ubiquitin-like modifier-activating enzyme 5 is an E1 enzyme that plays a mechanical role in activating ubiquitin-fold modifier 1 (UFM1) for protein modification. It has a molecular mass of about 44 kDa and performs its function in the nucleus and cytoplasm within human cells. The expression of UBA5 is not limited to specific tissues; instead it shows widespread expression across many tissues supporting an important role in various cellular processes.
Biological function summary

UBA5 is implicated in the UFM1 conjugation system. This process modifies specific proteins and affects protein stability interaction and degradation. UBA5 operates in complex with UFC1 an E2 enzyme enabling the transfer of UFM1 to target proteins. Its activity is essential for maintaining cellular homeostasis particularly in the endoplasmic reticulum stress response through protein modification and regulation tasks.

Pathways

The UBA5-UFM1 axis integrates into the cellular stress response pathway and the endoplasmic reticulum-associated degradation (ERAD) pathway. Through these pathways UBA5 collaborates with proteins like UFL1 further connecting these pathways by tagging proteins with UFM1 to mark them for degradation or functional modification. The coordination between UBA5 and UFL1 supports efficient protein quality control and maintains cellular equilibrium under stress conditions.

The dysfunction or altered expression of UBA5 associates with neurodevelopmental disorders and some cancers. Changes in UBA5 activity can lead to imbalances in protein homeostasis contributing to pathogenic mechanisms in neurodevelopmental disorders where other proteins like EIF4A1 also play a role. In cancer alterations in UBA5 expression may influence tumor progression as seen in cases where UBA5 levels affect pathways that involve p53 an important tumor suppressor protein.

Product protocols

For this product, it's our understanding that no specific protocols are required. You can visit:

Target data

E1-like enzyme which specifically catalyzes the first step in ufmylation (PubMed : 15071506, PubMed : 18442052, PubMed : 20368332, PubMed : 25219498, PubMed : 26929408, PubMed : 27545674, PubMed : 27545681, PubMed : 27653677, PubMed : 30412706, PubMed : 30626644, PubMed : 34588452). Activates UFM1 by first adenylating its C-terminal glycine residue with ATP, and thereafter linking this residue to the side chain of a cysteine residue in E1, yielding a UFM1-E1 thioester and free AMP (PubMed : 20368332, PubMed : 26929408, PubMed : 27653677, PubMed : 30412706). Activates UFM1 via a trans-binding mechanism, in which UFM1 interacts with distinct sites in both subunits of the UBA5 homodimer (PubMed : 27653677). Trans-binding also promotes stabilization of the UBA5 homodimer, and enhances ATP-binding (PubMed : 29295865). Transfer of UFM1 from UBA5 to the E2-like enzyme UFC1 also takes place using a trans mechanism (PubMed : 27653677, PubMed : 34588452). Ufmylation plays a key role in various processes, such as ribosome recycling, response to DNA damage, interferon response or reticulophagy (also called ER-phagy) (PubMed : 30412706, PubMed : 32160526, PubMed : 35394863). Ufmylation is essential for erythroid differentiation of both megakaryocytes and erythrocytes (By similarity).
See full target information UBA5

Publications (6)

Recent publications for all applications. Explore the full list and refine your search

Genes 16: PubMed39858578

2025

Systematic Analysis of UFMylation Family Genes in Tissues of Mice with Metabolic Dysfunction-Associated Steatotic Liver Disease.

Applications

Unspecified application

Species

Unspecified reactive species

Mingdi Jiang,Chenlu Zhang,Zhengyao Zhang,Yingying Duan,Shuaiyong Qi,Qingyu Zeng,Jiabao Wang,Jiawen Zhang,Yu Jiang,Ying Wang,Yi Chen,Jiang Liu

Cell death & disease 15:544 PubMed39085203

2024

Eg5 UFMylation promotes spindle organization during mitosis.

Applications

Unspecified application

Species

Unspecified reactive species

Guangxu Li,Yuanjiang Huang,Wenbo Han,Liyi Wei,Hongjing Huang,Yingbao Zhu,Qiao Xiao,Zujia Wang,Wen Huang,Ranhui Duan

Cell 187:2446-2464.e22 PubMed38582079

2024

Human iPSC 4R tauopathy model uncovers modifiers of tau propagation.

Applications

Unspecified application

Species

Unspecified reactive species

Celeste Parra Bravo,Alice Maria Giani,Jesus Madero-Perez,Zeping Zhao,Yuansong Wan,Avi J Samelson,Man Ying Wong,Alessandro Evangelisti,Ethan Cordes,Li Fan,Pearly Ye,Daphne Zhu,Tatyana Pozner,Maria Mercedes,Tark Patel,Allan Yarahmady,Gillian K Carling,Fredrik H Sterky,Virginia M Y Lee,Edward B Lee,Michael DeTure,Dennis W Dickson,Manu Sharma,Sue-Ann Mok,Wenjie Luo,Mingrui Zhao,Martin Kampmann,Shiaoching Gong,Li Gan

Cell death & disease 14:584 PubMed37660122

2023

Ufmylation on UFBP1 alleviates non-alcoholic fatty liver disease by modulating hepatic endoplasmic reticulum stress.

Applications

Unspecified application

Species

Unspecified reactive species

Ziming Mao,Xiaowen Ma,Yu Jing,Minyan Shen,Xirui Ma,Jing Zhu,Huifang Liu,Guangya Zhang,Fengling Chen

Science advances 6:eaax8214 PubMed32537488

2020

STK38 promotes ATM activation by acting as a reader of histone H4 ufmylation.

Applications

Unspecified application

Species

Unspecified reactive species

Bo Qin,Jia Yu,Somaira Nowsheen,Fei Zhao,Liewei Wang,Zhenkun Lou

Nature communications 10:1242 PubMed30886146

2019

UFL1 promotes histone H4 ufmylation and ATM activation.

Applications

Unspecified application

Species

Unspecified reactive species

Bo Qin,Jia Yu,Somaira Nowsheen,Minghui Wang,Xinyi Tu,Tongzheng Liu,Honglin Li,Liewei Wang,Zhenkun Lou
View all publications

Product promise

We are committed to supporting your work with high-quality reagents, and we're here for you every step of the way. In the unlikely event that one of our products does not perform as expected, you're protected by our Product Promise.
For full details, please see our Terms & Conditions

Please note: All products are 'FOR RESEARCH USE ONLY. NOT FOR USE IN DIAGNOSTIC OR THERAPEUTIC PROCEDURES'.

For licensing inquiries, please contact partnerships@abcam.com