JavaScript is disabled in your browser. Please enable JavaScript to view this website.
AB109227

Anti-UBA52 antibody [EPR4546]

Be the first to review this product! Submit a review

|

(13 Publications)

Rabbit Recombinant Monoclonal UBA52 antibody. Suitable for IHC-P, WB, ICC/IF, Flow Cyt (Intra) and reacts with Human samples. Cited in 13 publications.

View Alternative Names

UBCEP2, UBA52, Ubiquitin-ribosomal protein eL40 fusion protein, CEP52, Ubiquitin A-52 residue ribosomal protein fusion product 1

4 Images
Immunohistochemistry (Formalin/PFA-fixed paraffin-embedded sections) - Anti-UBA52 antibody [EPR4546] (AB109227)
  • IHC-P

Unknown

Immunohistochemistry (Formalin/PFA-fixed paraffin-embedded sections) - Anti-UBA52 antibody [EPR4546] (AB109227)

Immunohistochemical analysis of paraffin-embedded Human brain tissue using 1/500 ab109227.

Perform heat mediated antigen retrieval with citrate buffer pH 6 before commencing with IHC staining protocol.

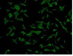
Immunocytochemistry/ Immunofluorescence - Anti-UBA52 antibody [EPR4546] (AB109227)
  • ICC/IF

Unknown

Immunocytochemistry/ Immunofluorescence - Anti-UBA52 antibody [EPR4546] (AB109227)

Immunofluorescent staining of SH-SY-5Y cells using ab109227 at 1/250

Flow Cytometry (Intracellular) - Anti-UBA52 antibody [EPR4546] (AB109227)
  • Flow Cyt (Intra)

Unknown

Flow Cytometry (Intracellular) - Anti-UBA52 antibody [EPR4546] (AB109227)

Intracellular Flow Cytometry analysis of HepG2 (Human hepatocellular carcinoma epithelial cell) cells labeling UBA52 (red) with purified ab109227 at a 1/2500 dilution (1ug/mL). Cells were fixed with 4% paraformaldehyde and permeabilized with 90% methanol. A goat anti rabbit IgG (Alexa Fluorr® 488) (ab150077) was used as the secondary antibody at a 1/2000 dilution. Black - Rabbit monoclonal IgG (Black) (ab172730). Blue (unlabeled control) - Cell without incubation with primary antibody and secondary antibody (Blue).

Western blot - Anti-UBA52 antibody [EPR4546] (AB109227)
  • WB

Unknown

Western blot - Anti-UBA52 antibody [EPR4546] (AB109227)

All lanes:

Western blot - Anti-UBA52 antibody [EPR4546] (ab109227) at 1/1000 dilution

Lane 1:

Fetal kidney tissue lysate at 10 µg

Lane 2:

Human placenta tissue lysate at 10 µg

Lane 3:

293T cell lysate at 10 µg

Lane 4:

JAR cell lysate at 10 µg

Predicted band size: 15 kDa

Observed band size: 10 kDa

false

  • HRP

    HRP Anti-UBA52 antibody [EPR4546]

  • Carrier free

    Anti-UBA52 antibody [EPR4546] - BSA and Azide free

Key facts

Host species

Rabbit

Clonality

Monoclonal

Clone number

EPR4546

Isotype

IgG

Carrier free

No

Reacts with

Human

Applications

WB, IHC-P, ICC/IF, Flow Cyt (Intra)

applications

Immunogen

The exact immunogen used to generate this antibody is proprietary information.

Reactivity data

{ "title": "Reactivity Data", "filters": { "stats": ["", "Species", "Dilution Info", "Notes"], "tabs": { "all-applications": {"fullname" : "All Applications", "shortname": "All Applications"}, "IHCP" : {"fullname" : "Immunohistochemistry (Formalin/PFA-fixed paraffin-embedded sections)", "shortname":"IHC-P"}, "WB" : {"fullname" : "Western blot", "shortname":"WB"}, "ICCIF" : {"fullname" : "Immunocytochemistry/ Immunofluorescence", "shortname":"ICC/IF"}, "FlowCytIntra" : {"fullname" : "Flow Cytometry (Intracellular)", "shortname":"Flow Cyt (Intra)"} }, "product-promise": { "all": "all", "testedAndGuaranteed": "tested", "guaranteed": "expected", "predicted": "predicted", "notRecommended": "not-recommended" } }, "values": { "Human": { "IHCP-species-checked": "testedAndGuaranteed", "IHCP-species-dilution-info": "1/500 - 1/1000", "IHCP-species-notes": "<p>Perform antigen retrieval before commencing with IHC staining protocol.</p> Perform heat-mediated antigen retrieval with citrate buffer pH 6 before commencing with IHC staining protocol.", "WB-species-checked": "testedAndGuaranteed", "WB-species-dilution-info": "1/1000 - 1/10000", "WB-species-notes": "<p></p>", "ICCIF-species-checked": "testedAndGuaranteed", "ICCIF-species-dilution-info": "1/250 - 1/500", "ICCIF-species-notes": "<p></p>", "FlowCytIntra-species-checked": "testedAndGuaranteed", "FlowCytIntra-species-dilution-info": "1/2500", "FlowCytIntra-species-notes": "<p></p>" }, "Mouse": { "IHCP-species-checked": "predicted", "IHCP-species-dilution-info": "", "IHCP-species-notes": "", "WB-species-checked": "predicted", "WB-species-dilution-info": "", "WB-species-notes": "", "ICCIF-species-checked": "predicted", "ICCIF-species-dilution-info": "", "ICCIF-species-notes": "", "FlowCytIntra-species-checked": "predicted", "FlowCytIntra-species-dilution-info": "", "FlowCytIntra-species-notes": "" }, "Rat": { "IHCP-species-checked": "predicted", "IHCP-species-dilution-info": "", "IHCP-species-notes": "", "WB-species-checked": "predicted", "WB-species-dilution-info": "", "WB-species-notes": "", "ICCIF-species-checked": "predicted", "ICCIF-species-dilution-info": "", "ICCIF-species-notes": "", "FlowCytIntra-species-checked": "predicted", "FlowCytIntra-species-dilution-info": "", "FlowCytIntra-species-notes": "" } } }

Product details

Patented technology
Our RabMAb® technology is a patented hybridoma-based technology for making rabbit monoclonal antibodies. For details on our patents, please refer to RabMAb® patents.

What are the advantages of a recombinant monoclonal antibody?
This product is a recombinant monoclonal antibody, which offers several advantages including:

  • - High batch-to-batch consistency and reproducibility
  • - Improved sensitivity and specificity
  • - Long-term security of supply
  • - Animal-free batch production

For more information, read more on recombinant antibodies.

Properties and storage information

Form
Liquid
Purification technique
Affinity purification Protein A
Storage buffer
pH: 7.2 - 7.4 Preservative: 0.01% Sodium azide Constituents: PBS, 40% Glycerol (glycerin, glycerine), 0.05% BSA
Shipped at conditions
Blue Ice
Appropriate short-term storage conditions
+4°C
Appropriate long-term storage conditions
-20°C
Storage information
Stable for 12 months at -20°C

Supplementary information

This supplementary information is collated from multiple sources and compiled automatically.

UBA52 also known as Ubiquitin A-52 Residue Ribosomal Protein Fusion Product 1 is a protein fusion of ubiquitin and ribosomal protein L40. It has a mass of approximately 15 kDa. UBA52 expresses widely in various tissues including the liver brain and heart playing a role in protein synthesis and ubiquitination. The ubiquitin domain of UBA52 gets translated and cleaved to participate in the ubiquitin-proteasome system while the ribosomal component integrates into the 60S subunit of the ribosome.
Biological function summary

UBA52 functions as both a ribosomal protein and a source of ubiquitin. This dual role enables it to participate in protein synthesis as part of the ribosome. Additionally it provides ubiquitin required for post-translational modification of proteins affecting protein stability and degradation. UBA52 is part of the ribosome complex and contributes to efficient protein translation while its ubiquitin segment influences protein turnover and cellular response to stress.

Pathways

UBA52 plays roles in protein translation and ubiquitin-mediated proteolysis. These pathways are essential for maintaining cellular homeostasis. In the context of protein synthesis UBA52 associates with other ribosomal proteins and supports the assembly of the ribosome facilitating mRNA translation. In the ubiquitin-proteasome pathway UBA52 contributes ubiquitin moieties used to tag proteins for degradation working with E2 and E3 ligases such as UBE2K and HUWE1 important for regulated proteolysis.

UBA52 is linked to conditions involving protein synthesis defects and improper protein degradation including cancer and neurodegenerative disorders. Changes in UBA52 expression or mutations can disrupt ribosome function affecting cellular proliferation and survival in cancers. Additionally impaired ubiquitin signaling has implications in neurodegenerative diseases where protein aggregates form due to faulty degradation. UBA52's connection to pathways with proteins like p53 in cancer and Parkin in neurodegeneration further illustrates its relevance across different pathologies.

Product protocols

For this product, it's our understanding that no specific protocols are required. You can visit:

Target data

Ubiquitin. Exists either covalently attached to another protein, or free (unanchored). When covalently bound, it is conjugated to target proteins via an isopeptide bond either as a monomer (monoubiquitin), a polymer linked via different Lys residues of the ubiquitin (polyubiquitin chains) or a linear polymer linked via the initiator Met of the ubiquitin (linear polyubiquitin chains). Polyubiquitin chains, when attached to a target protein, have different functions depending on the Lys residue of the ubiquitin that is linked : Lys-6-linked may be involved in DNA repair; Lys-11-linked is involved in ERAD (endoplasmic reticulum-associated degradation) and in cell-cycle regulation; Lys-29-linked is involved in proteotoxic stress response and cell cycle; Lys-33-linked is involved in kinase modification; Lys-48-linked is involved in protein degradation via the proteasome; Lys-63-linked is involved in endocytosis, DNA-damage responses as well as in signaling processes leading to activation of the transcription factor NF-kappa-B. Linear polymer chains formed via attachment by the initiator Met lead to cell signaling. Ubiquitin is usually conjugated to Lys residues of target proteins, however, in rare cases, conjugation to Cys or Ser residues has been observed. When polyubiquitin is free (unanchored-polyubiquitin), it also has distinct roles, such as in activation of protein kinases, and in signaling.. Large ribosomal subunit protein eL40. Component of the 60S subunit of the ribosome (PubMed : 23169626, PubMed : 23636399, PubMed : 32669547, PubMed : 39048817, PubMed : 39103523). Ribosomal protein L40 is essential for translation of a subset of cellular transcripts, and especially for cap-dependent translation of vesicular stomatitis virus mRNAs (PubMed : 23169626, PubMed : 23636399, PubMed : 32669547, PubMed : 39048817, PubMed : 39103523).
See full target information UBA52

Publications (13)

Recent publications for all applications. Explore the full list and refine your search

Physiological reports 12:e70157 PubMed39667820

2024

Trim13-induced ubiquitination of RPS27A inhibits the progression of lung cancer by depending on the inactivation of NF-κB signaling pathway.

Applications

Unspecified application

Species

Unspecified reactive species

Lailing Li,Hui Zhou,Yayun Cui,Ke Xu

Theranostics 14:5903-5925 PubMed39346531

2024

Selenoprotein S maintains intestinal homeostasis in ulcerative colitis by inhibiting necroptosis of colonic epithelial cells through modulation of macrophage polarization.

Applications

Unspecified application

Species

Unspecified reactive species

Yujie Yao,Tong Xu,Xiaojing Li,Xu Shi,Hao Wu,Ziwei Zhang,Shiwen Xu

Autophagy 21:424-446 PubMed39193909

2024

MLKL-USP7-UBA52 signaling is indispensable for autophagy in brain through maintaining ubiquitin homeostasis.

Applications

Unspecified application

Species

Unspecified reactive species

Zhigang Zhang,Shuai Chen,Shirui Jun,Xirong Xu,Yuchuan Hong,Xifei Yang,Liangyu Zou,You-Qiang Song,Yu Chen,Jie Tu

Autophagy 20:1314-1334 PubMed38174993

2024

Targeting cancer-associated fibroblast autophagy renders pancreatic cancer eradicable with immunochemotherapy by inhibiting adaptive immune resistance.

Applications

Unspecified application

Species

Unspecified reactive species

Xiaozhen Zhang,Mengyi Lao,Hanshen Yang,Kang Sun,Yunfei Dong,Lihong He,Xinchi Jiang,Honghui Wu,Yangwei Jiang,Muchun Li,Honggang Ying,Xinyuan Liu,Jian Xu,Yan Chen,Hanjia Zhang,Ruhong Zhou,Jianqing Gao,Xueli Bai,Tingbo Liang

Cell death discovery 9:288 PubMed37543696

2023

Loss of Paip1 causes translation reduction and induces apoptotic cell death through ISR activation and Xrp1.

Applications

Unspecified application

Species

Unspecified reactive species

Maoguang Xue,Fei Cong,Wanling Zheng,Ruoqing Xu,Xiaoyu Liu,Hongcun Bao,Ying Ying Sung,Yongmei Xi,Feng He,Jun Ma,Xiaohang Yang,Wanzhong Ge

Cell & bioscience 12:9 PubMed35090552

2022

Ubiquitinated AIF is a major mediator of hypoxia-induced mitochondrial dysfunction and pulmonary artery smooth muscle cell proliferation.

Applications

Unspecified application

Species

Unspecified reactive species

Cui Ma,Xiaoying Wang,Siyu He,Lixin Zhang,June Bai,Lihui Qu,Jing Qi,Xiaodong Zheng,Xiangrui Zhu,Jian Mei,Xiaoyu Guan,Hao Yuan,Daling Zhu

Nucleic acids research 50:2240-2257 PubMed34283226

2021

Ribosome heterogeneity in Drosophila melanogaster gonads through paralog-switching.

Applications

Unspecified application

Species

Unspecified reactive species

Tayah Hopes,Karl Norris,Michaela Agapiou,Charley G P McCarthy,Philip A Lewis,Mary J O'Connell,Juan Fontana,Julie L Aspden

Cell death & disease 12:304 PubMed33753724

2021

Non-canonical role of wild-type SEC23B in the cellular stress response pathway.

Applications

Unspecified application

Species

Unspecified reactive species

Lamis Yehia,Darren Liu,Shuai Fu,Pranav Iyer,Charis Eng

American journal of translational research 11:7166-7185 PubMed31814919

2019

Degradation of CCNB1 mediated by APC11 through UBA52 ubiquitination promotes cell cycle progression and proliferation of non-small cell lung cancer cells.

Applications

Unspecified application

Species

Unspecified reactive species

Fajiu Wang,Xi Chen,Xiaobo Yu,Qiang Lin

Biology open 7: PubMed30135083

2018

() is essential for preimplantation embryo development.

Applications

Unspecified application

Species

Unspecified reactive species

Jiude Mao,Chad O'Gorman,Miriam Sutovsky,Michal Zigo,Kevin D Wells,Peter Sutovsky
View all publications

Product promise

We are committed to supporting your work with high-quality reagents, and we're here for you every step of the way. In the unlikely event that one of our products does not perform as expected, you're protected by our Product Promise.
For full details, please see our Terms & Conditions

Please note: All products are 'FOR RESEARCH USE ONLY. NOT FOR USE IN DIAGNOSTIC OR THERAPEUTIC PROCEDURES'.

For licensing inquiries, please contact partnerships@abcam.com