JavaScript is disabled in your browser. Please enable JavaScript to view this website.
AB248515

Anti-Ube1L + E1 Ubiquitin Activating Enzyme 1/UBA1 antibody [EPR4269(2)] - BSA and Azide free

Be the first to review this product! Submit a review

|

(0 Publication)

Rabbit Recombinant Monoclonal Ube1L antibody. Carrier free. Suitable for IHC-P, WB, Flow Cyt (Intra) and reacts with Human samples.

View Alternative Names

UBE1L, UBE2, UBA7, Ubiquitin-like modifier-activating enzyme 7, Ubiquitin-activating enzyme 7, D8, Ubiquitin-activating enzyme E1 homolog

3 Images
Immunohistochemistry (Formalin/PFA-fixed paraffin-embedded sections) - Anti-Ube1L + E1 Ubiquitin Activating Enzyme 1/UBA1 antibody [EPR4269(2)] - BSA and Azide free (AB248515)
  • IHC-P

Unknown

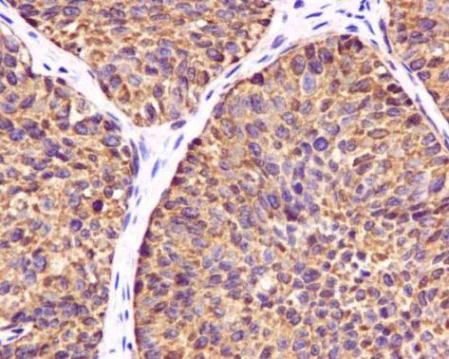
Immunohistochemistry (Formalin/PFA-fixed paraffin-embedded sections) - Anti-Ube1L + E1 Ubiquitin Activating Enzyme 1/UBA1 antibody [EPR4269(2)] - BSA and Azide free (AB248515)

This data was developed using ab133479, the same antibody clone in a different buffer formulation.

Immunohistochemical analysis of paraffin-embedded Human urinary bladder carcinoma tissue labelled with ab133479 at 1/100 dilution.

Perform heat mediated antigen retrieval with citrate buffer pH 6 before commencing with IHC staining protocol.

Flow Cytometry (Intracellular) - Anti-Ube1L + E1 Ubiquitin Activating Enzyme 1/UBA1 antibody [EPR4269(2)] - BSA and Azide free (AB248515)
  • Flow Cyt (Intra)

Lab

Flow Cytometry (Intracellular) - Anti-Ube1L + E1 Ubiquitin Activating Enzyme 1/UBA1 antibody [EPR4269(2)] - BSA and Azide free (AB248515)

This data was developed using ab133479, the same antibody clone in a different buffer formulation.

Overlay histogram showing HeLa cells stained with ab133479 (red line). The cells were fixed with 80% methanol (5 min) and then permeabilized with 0.1% PBS-Tween for 20 min. The cells were then incubated in 1x PBS / 10% normal goat serum / 0.3M glycine to block non-specific protein-protein interactions followed by the antibody (ab133479, 1/1000 dilution) for 30 min at 22°C. The secondary antibody used was Alexa Fluor® 488 goat anti-rabbit IgG (H&L) (ab150077) at 1/2000 dilution for 30 min at 22°C. Isotype control antibody (black line) was rabbit IgG (monoclonal) (0.1µg/1x106 cells) used under the same conditions. Unlabelled sample (blue line) was also used as a control. Acquisition of >5,000 events were collected using a 20mW Argon ion laser (488nm) and 525/30 bandpass filter.

Western blot - Anti-Ube1L + E1 Ubiquitin Activating Enzyme 1/UBA1 antibody [EPR4269(2)] - BSA and Azide free (AB248515)
  • WB

Unknown

Western blot - Anti-Ube1L + E1 Ubiquitin Activating Enzyme 1/UBA1 antibody [EPR4269(2)] - BSA and Azide free (AB248515)

This data was developed using ab133479, the same antibody clone in a different buffer formulation.

All lanes:

Western blot - Anti-Ube1L + E1 Ubiquitin Activating Enzyme 1/UBA1 antibody [EPR4269(2)] (<a href='/en-us/products/primary-antibodies/ube1l-e1-ubiquitin-activating-enzyme-1-uba1-antibody-epr42692-ab133479'>ab133479</a>) at 1/10000 dilution

Lane 1:

HL60 cell lysate at 10 µg

Lane 2:

HepG2 cell lysate at 10 µg

Lane 3:

HeLa cell lysate at 10 µg

Lane 4:

Fetal liver tissue lysate at 10 µg

Secondary

All lanes:

HRP labelled goat anti-rabbit at 1/2000 dilution

false

  • Unconjugated

    Anti-Ube1L + E1 Ubiquitin Activating Enzyme 1/UBA1 antibody [EPR4269(2)]

Key facts

Host species

Rabbit

Clonality

Monoclonal

Clone number

EPR4269(2)

Isotype

IgG

Carrier free

Yes

Reacts with

Human

Applications

Flow Cyt (Intra), WB, IHC-P

applications

Immunogen

The exact immunogen used to generate this antibody is proprietary information.

Reactivity data

{ "title": "Reactivity Data", "filters": { "stats": ["", "Species", "Dilution Info", "Notes"], "tabs": { "all-applications": {"fullname" : "All Applications", "shortname": "All Applications"}, "IHCP" : {"fullname" : "Immunohistochemistry (Formalin/PFA-fixed paraffin-embedded sections)", "shortname":"IHC-P"}, "WB" : {"fullname" : "Western blot", "shortname":"WB"}, "FlowCytIntra" : {"fullname" : "Flow Cytometry (Intracellular)", "shortname":"Flow Cyt (Intra)"} }, "product-promise": { "all": "all", "testedAndGuaranteed": "tested", "guaranteed": "expected", "predicted": "predicted", "notRecommended": "not-recommended" } }, "values": { "Human": { "IHCP-species-checked": "testedAndGuaranteed", "IHCP-species-dilution-info": "", "IHCP-species-notes": "<p></p> Perform heat-mediated antigen retrieval with citrate buffer pH 6 before commencing with IHC staining protocol.", "WB-species-checked": "testedAndGuaranteed", "WB-species-dilution-info": "", "WB-species-notes": "<p></p>", "FlowCytIntra-species-checked": "testedAndGuaranteed", "FlowCytIntra-species-dilution-info": "", "FlowCytIntra-species-notes": "<p></p>" }, "Mouse": { "IHCP-species-checked": "predicted", "IHCP-species-dilution-info": "", "IHCP-species-notes": "", "WB-species-checked": "predicted", "WB-species-dilution-info": "", "WB-species-notes": "", "FlowCytIntra-species-checked": "predicted", "FlowCytIntra-species-dilution-info": "", "FlowCytIntra-species-notes": "" }, "Rat": { "IHCP-species-checked": "predicted", "IHCP-species-dilution-info": "", "IHCP-species-notes": "", "WB-species-checked": "predicted", "WB-species-dilution-info": "", "WB-species-notes": "", "FlowCytIntra-species-checked": "predicted", "FlowCytIntra-species-dilution-info": "", "FlowCytIntra-species-notes": "" } } }

Product details

ab248515 is the carrier-free version of ab133479.

Patented technology
Our RabMAb® technology is a patented hybridoma-based technology for making rabbit monoclonal antibodies. For details on our patents, please refer to RabMAb® patents.

What are the advantages of a recombinant monoclonal antibody?
This product is a recombinant monoclonal antibody, which offers several advantages including:

  • - High batch-to-batch consistency and reproducibility
  • - Improved sensitivity and specificity
  • - Long-term security of supply
  • - Animal-free batch production

For more information, read more on recombinant antibodies.

Conjugation ready
Our carrier-free antibodies are typically supplied in a PBS-only formulation, purified and free of BSA, sodium azide and glycerol. This conjugation-ready format is designed for use with fluorochromes, metal isotopes, oligonucleotides, and enzymes, which makes them ideal for antibody labelling, functional and cell-based assays, flow-based assays (e.g. mass cytometry) and Multiplex Imaging applications.

Use our conjugation kits for antibody conjugates that are ready-to-use in as little as 20 minutes with 1 minute hands-on-time and 100% antibody recovery: available for fluorescent dyes, HRP, biotin and gold.

Compatibility
This product is compatible with the Maxpar® Antibody Labeling Kit from Fluidigm, without the need for antibody preparation. Maxpar® is a trademark of Fluidigm Canada Inc.

Properties and storage information

Form
Liquid
Purification technique
Affinity purification Protein A
Storage buffer
pH: 7.2 - 7.4 Constituents: PBS
Shipped at conditions
Blue Ice
Appropriate short-term storage conditions
+4°C
Appropriate long-term storage conditions
+4°C
Storage information
Do Not Freeze

Supplementary information

This supplementary information is collated from multiple sources and compiled automatically.

Ube1L also known as E1 Ubiquitin Activating Enzyme 1 or UBA1 is a protein that plays a critical role mechanically in the ubiquitination process. This process involves the tagging of proteins for degradation by the proteasome which is essential for regulating protein turnover in cells. Ube1L has an approximate mass of 117 kDa and is expressed in various tissues across the body including the liver and muscle. The enzyme catalyzes the first step in the ubiquitination pathway by activating ubiquitin molecules in an ATP-dependent manner which is necessary for transferring ubiquitin to substrate proteins.
Biological function summary

Ube1L is essential for maintaining protein homeostasis within the cell by regulating the degradation of misfolded damaged or unneeded proteins. It operates as part of the ubiquitin-proteasome system a complex assembly of various enzymes and proteins that coordinate the target-specific degradation of proteins. This ubiquitin-proteasome system helps control protein levels to ensure cellular functions such as DNA repair cell cycle progression and apoptosis occur smoothly.

Pathways

Ube1L is integral in the ubiquitin-dependent catabolic pathway and the NF-κB signaling pathway. In the ubiquitin-dependent catabolic pathway Ube1L works alongside proteins like UbcH5B and Ubc13 to transfer ubiquitin to substrates that are marked for destruction. Then in the NF-κB signaling pathway Ube1L indirectly regulates transcription factors which influences immune response and inflammation through the conjugation and deconjugation of ubiquitin on inhibitor proteins like IκB.

Disruptions in Ube1L function associate with cancer and neurodegenerative disorders such as amyotrophic lateral sclerosis (ALS). Cancer cells often exploit the dysregulation of the ubiquitin-proteasome system to avoid apoptosis and grow uncontrollably. Ube1L’s interaction with proteins like p53 a tumor suppressor highlights its role in cancer pathogenesis. In ALS abnormal protein accumulations that result from inefficient ubiquitination link back to Ube1L's function and its interaction with proteins like TDP-43 has been studied to understand its contribution to disease progression.

Product protocols

For this product, it's our understanding that no specific protocols are required. You can visit:

Target data

E1-activating enzyme that catalyzes the covalent conjugation of the ubiquitin-like protein product of ISG15 to additional interferon stimulated proteins (ISGs) as well as other cellular proteins such as P53 in a process termed protein ISGylation (PubMed : 27545325). Plays an essential role in antiviral immunity together with ISG15 by restricting the replication of many viruses including rabies virus, influenza virus, sindbis virus, rotavirus or human cytomegalovirus (PubMed : 16254333, PubMed : 19073728, PubMed : 29056542, PubMed : 29743376, PubMed : 37722521). For example, ISG15 modification of influenza A protein NS1 disrupts the association of the NS1 with importin-alpha leading to NS1 nuclear import inhibition (PubMed : 20133869). ISGylation of human cytomegalovirs protein UL26 regulates its stability and inhibits its activities to suppress NF-kappa-B signaling (PubMed : 27564865).
See full target information UBA7

Additional targets

UBA1

Product promise

We are committed to supporting your work with high-quality reagents, and we're here for you every step of the way. In the unlikely event that one of our products does not perform as expected, you're protected by our Product Promise.
For full details, please see our Terms & Conditions

Please note: All products are 'FOR RESEARCH USE ONLY. NOT FOR USE IN DIAGNOSTIC OR THERAPEUTIC PROCEDURES'.

For licensing inquiries, please contact partnerships@abcam.com