JavaScript is disabled in your browser. Please enable JavaScript to view this website.
AB248243

Anti-Ube2B antibody [EPR7199] - BSA and Azide free

Be the first to review this product! Submit a review

|

(1 Publication)

Rabbit Recombinant Monoclonal UBE2B antibody. Carrier free. Suitable for IHC-P, WB and reacts with Human samples. Cited in 1 publication.

View Alternative Names

RAD6B, UBCH1, UBE2B, Ubiquitin-conjugating enzyme E2 B, E2 ubiquitin-conjugating enzyme B, RAD6 homolog B, Ubiquitin carrier protein B, Ubiquitin-conjugating enzyme E2-17 kDa, Ubiquitin-protein ligase B, HR6B, hHR6B

3 Images
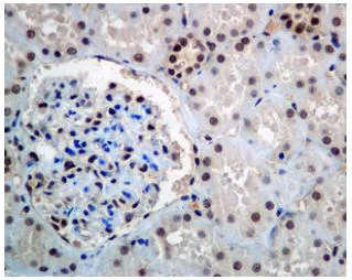
Immunohistochemistry (Formalin/PFA-fixed paraffin-embedded sections) - Anti-Ube2B antibody [EPR7199] - BSA and Azide free (AB248243)
  • IHC-P

Unknown

Immunohistochemistry (Formalin/PFA-fixed paraffin-embedded sections) - Anti-Ube2B antibody [EPR7199] - BSA and Azide free (AB248243)

This data was developed using ab128951, the same antibody clone in a different buffer formulation.

ab128951, at a 1/100 dilution, staining Ube2B in paraffin embedded Human kidney tissue by Immunohistochemistry.

Perform heat mediated antigen retrieval with citrate buffer pH 6 before commencing with IHC staining protocol.

Western blot - Anti-Ube2B antibody [EPR7199] - BSA and Azide free (AB248243)
  • WB

Unknown

Western blot - Anti-Ube2B antibody [EPR7199] - BSA and Azide free (AB248243)

This data was developed using ab128951, the same antibody clone in a different buffer formulation.

All lanes:

Western blot - Anti-Ube2B antibody [EPR7199] (<a href='/en-us/products/primary-antibodies/ube2b-antibody-epr7199-ab128951'>ab128951</a>) at 1/1000 dilution

Lane 1:

Jurkat cell lysate at 10 µg

Lane 2:

HepG2 cell lysate at 10 µg

Lane 3:

A375 cell lysate at 10 µg

Lane 4:

K-562 cell lysate at 10 µg

Secondary

All lanes:

HRP labelled goat anti-rabbit at 1/2000 dilution

Predicted band size: 17 kDa

Observed band size: 17 kDa

false

OI-RD Scanning - Anti-Ube2B antibody [EPR7199] - BSA and Azide free (AB248243)
  • OI-RD Scanning

Unknown

OI-RD Scanning - Anti-Ube2B antibody [EPR7199] - BSA and Azide free (AB248243)

We have systematically measured KD (the equilibrium dissociation constant between the antibody and its antigen), of more than 840 recombinant antibodies to assess not only their individual KD values but also to see the average affinity of antibody. Based on the comparison with published literature values for mouse monoclonal antibodies, Recombinant antibodies appear to be on average 1-2 order of magnitude higher affinity.

Key facts

Host species

Rabbit

Clonality

Monoclonal

Clone number

EPR7199

Isotype

IgG

Carrier free

Yes

Reacts with

Human

Applications

WB, IHC-P

applications

Immunogen

The exact immunogen used to generate this antibody is proprietary information.

Reactivity data

{ "title": "Reactivity Data", "filters": { "stats": ["", "Species", "Dilution Info", "Notes"], "tabs": { "all-applications": {"fullname" : "All Applications", "shortname": "All Applications"}, "IHCP" : {"fullname" : "Immunohistochemistry (Formalin/PFA-fixed paraffin-embedded sections)", "shortname":"IHC-P"}, "IP" : {"fullname" : "Immunoprecipitation", "shortname":"IP"}, "FlowCyt" : {"fullname" : "Flow Cytometry", "shortname":"Flow Cyt"}, "WB" : {"fullname" : "Western blot", "shortname":"WB"} }, "product-promise": { "all": "all", "testedAndGuaranteed": "tested", "guaranteed": "expected", "predicted": "predicted", "notRecommended": "not-recommended" } }, "values": { "Human": { "IHCP-species-checked": "testedAndGuaranteed", "IHCP-species-dilution-info": "", "IHCP-species-notes": "<p></p>", "IP-species-checked": "notRecommended", "IP-species-dilution-info": "", "IP-species-notes": "<p></p>", "FlowCyt-species-checked": "notRecommended", "FlowCyt-species-dilution-info": "", "FlowCyt-species-notes": "<p></p>", "WB-species-checked": "testedAndGuaranteed", "WB-species-dilution-info": "", "WB-species-notes": "<p></p>" } } }

Product details

ab248243 is the carrier-free version of ab128951.

Species reactivity
Mouse, Rat: We have preliminary internal testing data to indicate this antibody may not react with these species.
Please contact us for more information.

Patented technology
Our RabMAb® technology is a patented hybridoma-based technology for making rabbit monoclonal antibodies. For details on our patents, please refer to RabMAb® patents.

What are the advantages of a recombinant monoclonal antibody?
This product is a recombinant monoclonal antibody, which offers several advantages including:

  • - High batch-to-batch consistency and reproducibility
  • - Improved sensitivity and specificity
  • - Long-term security of supply
  • - Animal-free batch production

For more information, read more on recombinant antibodies.

Conjugation ready
Our carrier-free antibodies are typically supplied in a PBS-only formulation, purified and free of BSA, sodium azide and glycerol. This conjugation-ready format is designed for use with fluorochromes, metal isotopes, oligonucleotides, and enzymes, which makes them ideal for antibody labelling, functional and cell-based assays, flow-based assays (e.g. mass cytometry) and Multiplex Imaging applications.

Use our conjugation kits for antibody conjugates that are ready-to-use in as little as 20 minutes with 1 minute hands-on-time and 100% antibody recovery: available for fluorescent dyes, HRP, biotin and gold.

Compatibility
This product is compatible with the Maxpar® Antibody Labeling Kit from Fluidigm, without the need for antibody preparation. Maxpar® is a trademark of Fluidigm Canada Inc.

Properties and storage information

Form
Liquid
Purification technique
Affinity purification Protein A
Storage buffer
pH: 7.2 - 7.4 Constituents: PBS
Shipped at conditions
Blue Ice
Appropriate short-term storage conditions
+4°C
Appropriate long-term storage conditions
+4°C
Storage information
Do Not Freeze

Supplementary information

This supplementary information is collated from multiple sources and compiled automatically.

Ube2B also known as ubiquitin-conjugating enzyme E2 B plays a mechanical role in the ubiquitination process. This protein carries out its function by transferring ubiquitin from an E1 enzyme to target substrates often assisted by an E3 ligase. Ube2B is a smaller protein with a mass of around 22 kDa. It shows expression in a wide range of tissues including testis and brain suggesting tissue-specific roles.
Biological function summary

The activity of Ube2B is central to the ubiquitin-proteasome pathway where it marks proteins for degradation. Ube2B operates as part of the larger ubiquitination cascade and interacts with various E3 ligases such as RNF8 which helps to mediate its target protein selectivity. This highly regulated process ensures proper cellular protein balance and is critical for maintaining cellular homeostasis.

Pathways

Ube2B has important roles in the DNA damage response and cell cycle regulation. The ubiquitin-proteasome system facilitated by Ube2B regulates the turnover of key cell cycle proteins and supports timely progression through cell cycle phases. Ube2B works closely with proteins such as RAD18 during DNA repair processes facilitating the post-replication repair of DNA lesions.

The altered function or expression of Ube2B impacts specific conditions such as cancer and neurodegenerative diseases. In cancer dysregulation can lead to uncontrolled cell proliferation due to abnormal degradation of regulatory proteins. Similarly neurodegenerative disorders involve Ube2B through aggregation and clearance failures of proteins like tau or alpha-synuclein. Ube2B's interaction with these disease processes accentuates its significance in maintaining cellular health.

Product protocols

For this product, it's our understanding that no specific protocols are required. You can visit:

Target data

E2 ubiquitin-conjugating enzyme that accepts ubiquitin from the ubiquitin-activating enzyme E1 and transfers it to a E3 ubiquitin-protein ligase (PubMed : 16337599, PubMed : 17108083, PubMed : 17130289, PubMed : 1717990, PubMed : 20061386). In vitro catalyzes 'Lys-11'-, as well as 'Lys-48'- and 'Lys-63'-linked polyubiquitination (PubMed : 20061386). Together with the E3 enzyme BRE1 (RNF20 and/or RNF40), plays a role in transcription regulation by catalyzing the monoubiquitination of histone H2B at 'Lys-120' to form H2BK120ub1 (PubMed : 16337599). H2BK120ub1 gives a specific tag for epigenetic transcriptional activation, elongation by RNA polymerase II, telomeric silencing, and is also a prerequisite for H3K4me and H3K79me formation (PubMed : 16337599). May play a role in DNA repair (PubMed : 8062904). Associates to the E3 ligase RAD18 to form the UBE2B-RAD18 ubiquitin ligase complex involved in mono-ubiquitination of DNA-associated PCNA on 'Lys-164' (PubMed : 17108083, PubMed : 17130289). In association with the E3 enzyme UBR4, is involved in N-end rule-dependent protein degradation (PubMed : 38182926). May be involved in neurite outgrowth (By similarity).
See full target information UBE2B

Publications (1)

Recent publications for all applications. Explore the full list and refine your search

Open medicine (Warsaw, Poland) 18:20220613 PubMed36694627

2023

circ-IARS depletion inhibits the progression of non-small-cell lung cancer by circ-IARS/miR-1252-5p/HDGF ceRNA pathway.

Applications

Unspecified application

Species

Unspecified reactive species

Jinhua Yang,Chunping Yang,Ping Li
View all publications

Product promise

We are committed to supporting your work with high-quality reagents, and we're here for you every step of the way. In the unlikely event that one of our products does not perform as expected, you're protected by our Product Promise.
For full details, please see our Terms & Conditions

Please note: All products are 'FOR RESEARCH USE ONLY. NOT FOR USE IN DIAGNOSTIC OR THERAPEUTIC PROCEDURES'.

For licensing inquiries, please contact partnerships@abcam.com