JavaScript is disabled in your browser. Please enable JavaScript to view this website.
AB201979

Anti-UBE2C antibody [1F5D3]

Be the first to review this product! Submit a review

|

(3 Publications)

Mouse Monoclonal UBE2C antibody. Suitable for WB, IHC-P and reacts with Recombinant full length protein - Human, Human samples. Cited in 3 publications. Immunogen corresponding to Recombinant Full Length Protein corresponding to Human UBE2C.

View Alternative Names

UBCH10, UBE2C, Ubiquitin-conjugating enzyme E2 C, (E3-independent) E2 ubiquitin-conjugating enzyme C, E2 ubiquitin-conjugating enzyme C, UbcH10, Ubiquitin carrier protein C, Ubiquitin-protein ligase C

4 Images
Western blot - Anti-UBE2C antibody [1F5D3] (AB201979)
  • WB

Supplier Data

Western blot - Anti-UBE2C antibody [1F5D3] (AB201979)

All lanes:

Western blot - Anti-UBE2C antibody [1F5D3] (ab201979) at 1/500 dilution

All lanes:

recombinant UBE2C protein

Predicted band size: 20 kDa

false

Western blot - Anti-UBE2C antibody [1F5D3] (AB201979)
  • WB

Supplier Data

Western blot - Anti-UBE2C antibody [1F5D3] (AB201979)

All lanes:

Western blot - Anti-UBE2C antibody [1F5D3] (ab201979) at 1/500 dilution

Lane 1:

Non-transfected HEK293 cell lysate

Lane 2:

UBE2C transfected HEK293 cell lysate

Predicted band size: 20 kDa

false

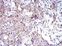
Immunohistochemistry (Formalin/PFA-fixed paraffin-embedded sections) - Anti-UBE2C antibody [1F5D3] (AB201979)
  • IHC-P

Supplier Data

Immunohistochemistry (Formalin/PFA-fixed paraffin-embedded sections) - Anti-UBE2C antibody [1F5D3] (AB201979)

Immunohistochemical analysis of paraffin-embedded human liver cancer tissues labeling UBE2C using ab201979 at 1/200 dilution followed by DAB staining.

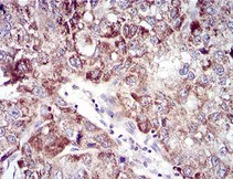
Immunohistochemistry (Formalin/PFA-fixed paraffin-embedded sections) - Anti-UBE2C antibody [1F5D3] (AB201979)
  • IHC-P

Supplier Data

Immunohistochemistry (Formalin/PFA-fixed paraffin-embedded sections) - Anti-UBE2C antibody [1F5D3] (AB201979)

Immunohistochemical analysis of paraffin-embedded human esophageal cancer tissues labeling UBE2C using ab201979 at 1/200 dilution followed by DAB staining.

Key facts

Host species

Mouse

Clonality

Monoclonal

Clone number

1F5D3

Isotype

IgG2a

Carrier free

No

Reacts with

Human

Applications

WB, IHC-P

applications

Immunogen

Recombinant Full Length Protein corresponding to Human UBE2C.

O00762

Reactivity data

{ "title": "Reactivity Data", "filters": { "stats": ["", "Species", "Dilution Info", "Notes"], "tabs": { "all-applications": {"fullname" : "All Applications", "shortname": "All Applications"}, "WB" : {"fullname" : "Western blot", "shortname":"WB"}, "IHCP" : {"fullname" : "Immunohistochemistry (Formalin/PFA-fixed paraffin-embedded sections)", "shortname":"IHC-P"} }, "product-promise": { "all": "all", "testedAndGuaranteed": "tested", "guaranteed": "expected", "predicted": "predicted", "notRecommended": "not-recommended" } }, "values": { "Human": { "WB-species-checked": "guaranteed", "WB-species-dilution-info": "", "WB-species-notes": "", "IHCP-species-checked": "testedAndGuaranteed", "IHCP-species-dilution-info": "1/200 - 1/1000", "IHCP-species-notes": "<p></p>" }, "Mouse": { "WB-species-checked": "predicted", "WB-species-dilution-info": "", "WB-species-notes": "", "IHCP-species-checked": "predicted", "IHCP-species-dilution-info": "", "IHCP-species-notes": "" }, "Cow": { "WB-species-checked": "predicted", "WB-species-dilution-info": "", "WB-species-notes": "", "IHCP-species-checked": "predicted", "IHCP-species-dilution-info": "", "IHCP-species-notes": "" }, "Recombinant full length protein - Human": { "WB-species-checked": "testedAndGuaranteed", "WB-species-dilution-info": "1/500 - 1/2000", "WB-species-notes": "<p></p>", "IHCP-species-checked": "notRecommended", "IHCP-species-dilution-info": "", "IHCP-species-notes": "" } } }

Properties and storage information

Form
Liquid
Purification technique
Affinity purification Protein G
Purification notes
Purified from tissue culture supernatant.
Storage buffer
Preservative: 0.05% Sodium azide Constituents: 99% PBS
Shipped at conditions
Blue Ice
Appropriate short-term storage duration
1-2 weeks
Appropriate short-term storage conditions
+4°C
Appropriate long-term storage conditions
-20°C
Aliquoting information
Upon delivery aliquot
Storage information
Avoid freeze / thaw cycle

Supplementary information

This supplementary information is collated from multiple sources and compiled automatically.

UBE2C also known as ubiquitin-conjugating enzyme E2C or UBCH10 is an enzyme that plays a role in the ubiquitination process. Its molecular mass is approximately 20 kDa. UBE2C is an E2 ubiquitin-conjugating enzyme actively involved in marking proteins for degradation through the ubiquitin-proteasome system. It facilitates the transfer of ubiquitin to target proteins cooperating with E3 ligases. UBE2C shows expression in various tissues with high levels observed in proliferating cells such as those found in tumors.
Biological function summary

UBE2C is involved in cell cycle regulation by targeting specific proteins for ubiquitination and degradation. It collaborates with the anaphase-promoting complex/cyclosome (APC/C) an important E3 ligase complex ensuring the proper progression of the cell cycle especially during the metaphase-anaphase transition. Through this action UBE2C aids in maintaining genomic stability by preventing the accumulation of proteins that can interfere with cell division.

Pathways

The role of UBE2C is integral in the cell cycle and ubiquitin-proteasome pathways. The enzyme participates in the proper execution of the metaphase-anaphase transition and degradation of cell cycle regulators like cyclin B. UBE2C interacts with proteins such as CDC20 a co-activator of APC/C to ensure accurate coordination of cell division events. Its function in the ubiquitin-proteasome pathway emphasizes its role in maintaining protein homeostasis.

UBE2C's dysfunction or overexpression associates with cancer development and progression. Overexpression of UBE2C has been observed in various cancers including breast cancer and prostate cancer and may contribute to tumorigenesis by disrupting cell cycle control. UBE2C can interact with oncoproteins such as MYC further linking its dysregulation to cancer pathways. Understanding the relationships between UBE2C and cancer may offer insights into therapeutic targets for tumor treatment.

Product protocols

For this product, it's our understanding that no specific protocols are required. You can visit:

Target data

Accepts ubiquitin from the E1 complex and catalyzes its covalent attachment to other proteins. In vitro catalyzes 'Lys-11'- and 'Lys-48'-linked polyubiquitination. Acts as an essential factor of the anaphase promoting complex/cyclosome (APC/C), a cell cycle-regulated ubiquitin ligase that controls progression through mitosis. Acts by initiating 'Lys-11'-linked polyubiquitin chains on APC/C substrates, leading to the degradation of APC/C substrates by the proteasome and promoting mitotic exit.
See full target information UBE2C

Publications (3)

Recent publications for all applications. Explore the full list and refine your search

Scientific reports 9:17935 PubMed31784571

2019

Neddylation regulates excitatory synaptic transmission and plasticity.

Applications

Unspecified application

Species

Unspecified reactive species

Marisa M Brockmann,Michael Döngi,Ulf Einsfelder,Nils Körber,Damian Refojo,Valentin Stein

Pathology, research and practice 215:152557 PubMed31353228

2019

Combined elevation of AURKB and UBE2C predicts severe outcomes and therapy resistance in glioma.

Applications

Unspecified application

Species

Unspecified reactive species

Wahafu Alafate,Jie Zuo,Zhong Deng,Xiaoye Guo,Wei Wu,Wei Zhang,Wanfu Xie,Maode Wang,Jia Wang

Oncology letters 11:2300-2304 PubMed26998166

2016

High expression of UBE2C is associated with the aggressive progression and poor outcome of malignant glioma.

Applications

Unspecified application

Species

Unspecified reactive species

Ruimin Ma,Xixiong Kang,Guojun Zhang,Fang Fang,Yamei DU,Hong Lv
View all publications

Product promise

We are committed to supporting your work with high-quality reagents, and we're here for you every step of the way. In the unlikely event that one of our products does not perform as expected, you're protected by our Product Promise.
For full details, please see our Terms & Conditions

Associated Products

Select an associated product type
Alternative Product
Primary Antibodies

AB3935

Anti-UBE2C antibody

primary-antibodies

ube2c-antibody-ab3935

0

(0 reviews)

Alternative Product
Primary Antibodies

AB187181

Anti-UBE2C antibody

primary-antibodies

ube2c-antibody-ab187181

0

(0 reviews)

Alternative Product
Primary Antibodies

AB12290

Anti-UBE2C antibody

primary-antibodies

ube2c-antibody-ab12290

0

(0 reviews)

Alternative Product
Primary Antibodies

AB252940

Anti-UBE2C antibody [EPR23165-31]

primary-antibodies

ube2c-antibody-epr23165-31-ab252940

0

(0 reviews)

Please note: All products are 'FOR RESEARCH USE ONLY. NOT FOR USE IN DIAGNOSTIC OR THERAPEUTIC PROCEDURES'.

For licensing inquiries, please contact partnerships@abcam.com