JavaScript is disabled in your browser. Please enable JavaScript to view this website.
AB128098

Anti-UBE2E3 antibody [OTI4B4]

Be the first to review this product! Submit a review

|

(2 Publications)

Mouse Monoclonal UBE2E3 antibody. Suitable for IHC-P, WB, ICC/IF, Flow Cyt (Intra) and reacts with Human, Transfected cell line samples. Cited in 2 publications. Immunogen corresponding to Recombinant Full Length Protein corresponding to Human UBE2E3.

View Alternative Names

UBCE4, UBCH9, UBE2E3, Ubiquitin-conjugating enzyme E2 E3, E2 ubiquitin-conjugating enzyme E3, UbcH9, Ubiquitin carrier protein E3, Ubiquitin-conjugating enzyme E2-23 kDa, Ubiquitin-protein ligase E3

7 Images
Flow Cytometry (Intracellular) - Anti-UBE2E3 antibody [OTI4B4] (AB128098)
  • Flow Cyt (Intra)

Unknown

Flow Cytometry (Intracellular) - Anti-UBE2E3 antibody [OTI4B4] (AB128098)

Flow cytometry (Intracellular) analysis of HeLa (Human epithelial cell line from cervix adenocarcinoma) cells, using anti-UBE2E3 antibody (ab128098) in Red at 1/100 dilution, compared to a nonspecific negative control antibody in Blue.

Immunocytochemistry/ Immunofluorescence - Anti-UBE2E3 antibody [OTI4B4] (AB128098)
  • ICC/IF

Unknown

Immunocytochemistry/ Immunofluorescence - Anti-UBE2E3 antibody [OTI4B4] (AB128098)

HepG2 (human liver hepatocellular carcinoma cell line) cells stained for UBE2E3 using ab128098 at a 1/100 dilution in ICC/IF.

Flow Cytometry (Intracellular) - Anti-UBE2E3 antibody [OTI4B4] (AB128098)
  • Flow Cyt (Intra)

Unknown

Flow Cytometry (Intracellular) - Anti-UBE2E3 antibody [OTI4B4] (AB128098)

Flow cytometry analysis (Intracellular) of HEK-293T (Human epithelial cell line from embryonic kidney transformed with large T antigen) cells transfected with either UBE2E3 overexpressing plasmid (Red) or empty vector control plasmid (Blue) and immunostained by anti-UBE2E3 antibody (ab128098) at 1/100 dilution.

Flow Cytometry (Intracellular) - Anti-UBE2E3 antibody [OTI4B4] (AB128098)
  • Flow Cyt (Intra)

Unknown

Flow Cytometry (Intracellular) - Anti-UBE2E3 antibody [OTI4B4] (AB128098)

Flow cytometry analysis (Intracellular) of Jurkat (Human T cell leukemia cell line from peripheral blood) cells, using anti-UBE2E3 antibody (ab128098) in Red at 1/100 dilution, compared to a nonspecific negative control antibody in Blue.

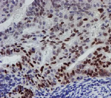
Immunohistochemistry (Formalin/PFA-fixed paraffin-embedded sections) - Anti-UBE2E3 antibody [OTI4B4] (AB128098)
  • IHC-P

Unknown

Immunohistochemistry (Formalin/PFA-fixed paraffin-embedded sections) - Anti-UBE2E3 antibody [OTI4B4] (AB128098)

Paraffin-embedded human endometrium adenocarcinoma tissue stained for UBE2E3 with ab128098 at a 1/150 dilution in immunohistochemical analysis. Heat-induced epitope retrieval by 10 mM citric buffer, pH 6.0, 100°C for 10 minutes.

Western blot - Anti-UBE2E3 antibody [OTI4B4] (AB128098)
  • WB

Unknown

Western blot - Anti-UBE2E3 antibody [OTI4B4] (AB128098)

All lanes:

Western blot - Anti-UBE2E3 antibody [OTI4B4] (ab128098) at 1/2000 dilution

Lane 1:

HEK-293T (Human epithelial cell line from embryonic kidney transformed with large T antigen) cells were transfected with pCMV6-ENTRY control cDNA at 5 µg

Lane 2:

HEK-293T cells were transfected with pCMV6-ENTRY UBE2E3 cDNA at 5 µg

Predicted band size: 22 kDa

false

Western blot - Anti-UBE2E3 antibody [OTI4B4] (AB128098)
  • WB

Supplier Data

Western blot - Anti-UBE2E3 antibody [OTI4B4] (AB128098)

All lanes:

Western blot - Anti-UBE2E3 antibody [OTI4B4] (ab128098) at 1/200 dilution

All lanes:

HepG2 (Human liver hepatocellular carcinoma cell line) extracts at 10 µg

Predicted band size: 105 kDa,22 kDa

Observed band size: 105 kDa,50 kDa

false

Key facts

Host species

Mouse

Clonality

Monoclonal

Clone number

OTI4B4

Isotype

IgG1

Carrier free

No

Reacts with

Human

Applications

Flow Cyt (Intra), ICC/IF, IHC-P, WB

applications

Immunogen

Recombinant Full Length Protein corresponding to Human UBE2E3.

Q969T4

Reactivity data

{ "title": "Reactivity Data", "filters": { "stats": ["", "Species", "Dilution Info", "Notes"], "tabs": { "all-applications": {"fullname" : "All Applications", "shortname": "All Applications"}, "IHCP" : {"fullname" : "Immunohistochemistry (Formalin/PFA-fixed paraffin-embedded sections)", "shortname":"IHC-P"}, "WB" : {"fullname" : "Western blot", "shortname":"WB"}, "ICCIF" : {"fullname" : "Immunocytochemistry/ Immunofluorescence", "shortname":"ICC/IF"}, "FlowCytIntra" : {"fullname" : "Flow Cytometry (Intracellular)", "shortname":"Flow Cyt (Intra)"} }, "product-promise": { "all": "all", "testedAndGuaranteed": "tested", "guaranteed": "expected", "predicted": "predicted", "notRecommended": "not-recommended" } }, "values": { "Human": { "IHCP-species-checked": "testedAndGuaranteed", "IHCP-species-dilution-info": "1/150", "IHCP-species-notes": "<p></p>", "WB-species-checked": "testedAndGuaranteed", "WB-species-dilution-info": "1/2000", "WB-species-notes": "<p></p>", "ICCIF-species-checked": "testedAndGuaranteed", "ICCIF-species-dilution-info": "1/100", "ICCIF-species-notes": "<p></p>", "FlowCytIntra-species-checked": "testedAndGuaranteed", "FlowCytIntra-species-dilution-info": "1/100", "FlowCytIntra-species-notes": "<p><a href='/en-us/products/primary-antibodies/mouse-igg1-kappa-monoclonal-15-6e10a7-isotype-control-ab170190'>ab170190</a> - Mouse monoclonal IgG1, is suitable for use as an isotype control with this antibody.</p>" }, "Transfected cell line": { "IHCP-species-checked": "notRecommended", "IHCP-species-dilution-info": "", "IHCP-species-notes": "", "WB-species-checked": "notRecommended", "WB-species-dilution-info": "", "WB-species-notes": "", "ICCIF-species-checked": "notRecommended", "ICCIF-species-dilution-info": "", "ICCIF-species-notes": "", "FlowCytIntra-species-checked": "testedAndGuaranteed", "FlowCytIntra-species-dilution-info": "1/100", "FlowCytIntra-species-notes": "<p><a href='/en-us/products/primary-antibodies/mouse-igg1-kappa-monoclonal-15-6e10a7-isotype-control-ab170190'>ab170190</a> - Mouse monoclonal IgG1, is suitable for use as an isotype control with this antibody.</p>" } } }

Product details

Clone OTI4B4 (formerly 4B4).

Properties and storage information

Form
Liquid
Purification technique
Affinity purification
Purification notes
Purified from cell culture supernatant by affinity chromatography.
Storage buffer
pH: 7.3 Preservative: 0.02% Sodium azide Constituents: PBS, 50% Glycerol (glycerin, glycerine), 1% BSA
Shipped at conditions
Blue Ice
Appropriate short-term storage duration
1-2 weeks
Appropriate short-term storage conditions
+4°C
Appropriate long-term storage conditions
-20°C
Aliquoting information
Upon delivery aliquot
Storage information
Avoid freeze / thaw cycle

Supplementary information

This supplementary information is collated from multiple sources and compiled automatically.

UBE2E3 also known as Ubiquitin-conjugating enzyme E2 E3 is a 24 kDa protein that plays an important role in the ubiquitination process facilitating the transfer of ubiquitin to specific substrate proteins. This enzyme is part of the ubiquitin-proteasome system which regulates protein degradation and turnover within the cell. UBE2E3 is expressed in various tissues with significant levels noted in heart liver and brain tissues suggesting its involvement in multiple cellular processes across different bodily systems.
Biological function summary

The Ubiquitin-conjugating enzyme E2 E3 collaborates with E3 ubiquitin ligases to form an enzyme complex important in tagging defective or unneeded proteins for degradation. This tagging involves the covalent attachment of ubiquitin molecules enabling the proteasome to recognize and subsequently break down these proteins. Such a mechanism is fundamental in maintaining protein homeostasis and regulating cellular functions including cell cycle progression and signal transduction. The interaction with different E3 ligases allows UBE2E3 to target a range of substrates based on cellular context and needs.

Pathways

UBE2E3 plays an important role in the proteasome-mediated degradation pathway and is closely associated with the cell cycle pathway. In these pathways UBE2E3 works alongside proteins such as SCF ubiquitin ligases forming a specific tagging and degradation process that controls the levels of proteins involved in cell proliferation and division. Through these pathways UBE2E3 ensures the timely degradation of cyclins and other regulatory proteins preventing abnormal cell growth and ensuring uninterrupted cell cycle transitions.

Aberrations in UBE2E3 function have links to cancer and neurodegenerative disorders. In cancer altered activity of UBE2E3 can lead to the inappropriate stabilization of oncogenic proteins promoting uncontrolled cell division. Moreover UBE2E3's interaction with specific E3 ligases like Mdm2 highlights its role in modulating p53 tumor suppressor stability which is important in cancer development. In neurodegenerative disorders such as Alzheimer's disease dysregulated ubiquitination processes involving UBE2E3 contribute to protein aggregation and neuronal cell death potentially interacting with proteins like tau implicated in disease progression.

Product protocols

For this product, it's our understanding that no specific protocols are required. You can visit:

Target data

Accepts ubiquitin from the E1 complex and catalyzes its covalent attachment to other proteins. In vitro catalyzes 'Lys-11'- and 'Lys-48'-, as well as 'Lys-63'-linked polyubiquitination. Participates in the regulation of transepithelial sodium transport in renal cells.
See full target information UBE2E3

Publications (2)

Recent publications for all applications. Explore the full list and refine your search

PloS one 15:e0240746 PubMed33057364

2020

Genes regulating membrane-associated E-cadherin and proliferation in adenomatous polyposis coli mutant colon cancer cells: High content siRNA screen.

Applications

Unspecified application

Species

Unspecified reactive species

Lauren E King,Hui-Hua Zhang,Cathryn M Gould,Daniel W Thomas,Lachlan W Whitehead,Kaylene J Simpson,Antony W Burgess,Maree C Faux

International journal of oncology 53:973-986 PubMed30015880

2018

NLRP3 in human glioma is correlated with increased WHO grade, and regulates cellular proliferation, apoptosis and metastasis via epithelial-mesenchymal transition and the PTEN/AKT signaling pathway.

Applications

Unspecified application

Species

Unspecified reactive species

Xiao-Feng Yin,Qiong Zhang,Zhuo-Yu Chen,Hai-Fang Wang,Xin Li,Hong-Xia Wang,Hai-Xia Li,Chun-Min Kang,Shuai Chu,Kai-Fei Li,Yao Li,Yu-Rong Qiu
View all publications

Product promise

We are committed to supporting your work with high-quality reagents, and we're here for you every step of the way. In the unlikely event that one of our products does not perform as expected, you're protected by our Product Promise.
For full details, please see our Terms & Conditions

Please note: All products are 'FOR RESEARCH USE ONLY. NOT FOR USE IN DIAGNOSTIC OR THERAPEUTIC PROCEDURES'.

For licensing inquiries, please contact partnerships@abcam.com