JavaScript is disabled in your browser. Please enable JavaScript to view this website.
AB33044

Anti-UBE2I / UBC9 antibody

4

(1 Review)

|

(16 Publications)

Rabbit Polyclonal UBE2I / UBC9 antibody. Suitable for IHC-P, IP, ICC/IF, WB and reacts with Human, Mouse, Rat samples. Cited in 16 publications.

View Alternative Names

UBC9, UBCE9, UBE2I, SUMO-conjugating enzyme UBC9, RING-type E3 SUMO transferase UBC9, SUMO-protein ligase, Ubiquitin carrier protein 9, Ubiquitin carrier protein I, Ubiquitin-conjugating enzyme E2 I, Ubiquitin-protein ligase I, p18

5 Images
Immunocytochemistry/ Immunofluorescence - Anti-UBE2I / UBC9 antibody (AB33044)
  • ICC/IF

Unknown

Immunocytochemistry/ Immunofluorescence - Anti-UBE2I / UBC9 antibody (AB33044)

ICC/IF image of ab33044 stained human HeLa cells. The cells were PFA fixed (10 min), permabilised in TBS-T (20 min) and incubated with the antibody (ab33044, 1μg/ml) for 1h at room temperature. 1%BSA / 10% normal goat serum / 0.3M glycine was used to quench autofluorescence and block non-specific protein-protein interactions. The secondary antibody (green) was Alexa Fluor® 488 goat anti-rabbit IgG (H+L) used at a 1/1000 dilution for 1h. Alexa Fluor® 594 WGA was used to label plasma membranes (red). DAPI was used to stain the cell nuclei (blue).

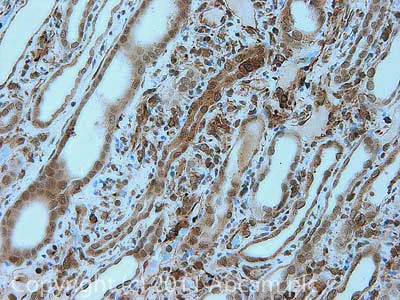
Immunohistochemistry (Formalin/PFA-fixed paraffin-embedded sections) - Anti-UBE2I / UBC9 antibody (AB33044)
  • IHC-P

Unknown

Immunohistochemistry (Formalin/PFA-fixed paraffin-embedded sections) - Anti-UBE2I / UBC9 antibody (AB33044)

IHC image of ab33044 staining UBE2I / UBC9 in Human kidney formalin fixed paraffin embedded tissue section, performed on a Leica BondTM system using the standard protocol F. The section was pre-treated using heat mediated antigen retrieval with sodium citrate buffer (pH6, epitope retrieval solution 1) for 20 mins. The section was then incubated with ab33044, 5µg/ml, for 15 mins at room temperature and detected using an HRP conjugated compact polymer system. DAB was used as the chromogen. The section was then counterstained with haematoxylin and mounted with DPX.

For other IHC staining systems (automated and non-automated) customers should optimize variable parameters such as antigen retrieval conditions, primary antibody concentration and antibody incubation times.

Immunoprecipitation - Anti-UBE2I / UBC9 antibody (AB33044)
  • IP

Unknown

Immunoprecipitation - Anti-UBE2I / UBC9 antibody (AB33044)

UBE2I / UBC9 was immunoprecipitated using 0.5mg Hela whole cell extract, 5µg of Rabbit polyclonal to UBE2I / UBC9 and 50µl of protein G magnetic beads (+). No antibody was added to the control (-).
The antibody was incubated under agitation with Protein G beads for 10min, Hela whole cell extract lysate diluted in RIPA buffer was added to each sample and incubated for a further 10min under agitation.
Proteins were eluted by addition of 40µl SDS loading buffer and incubated for 10min at 70oC; 10µl of each sample was separated on a SDS PAGE gel, transferred to a nitrocellulose membrane, blocked with 5% BSA and probed with ab33044.
Secondary : Clean blot (HRP conjugate) at 1/1000 dilution.
Band : 18kDa : UBE2I / UBC9.

All lanes:

Immunoprecipitation - Anti-UBE2I / UBC9 antibody (ab33044)

Predicted band size: 18 kDa

false

Western blot - Anti-UBE2I / UBC9 antibody (AB33044)
  • WB

Project

Western blot - Anti-UBE2I / UBC9 antibody (AB33044)

All lanes:

Western blot - Anti-UBE2I / UBC9 antibody (ab33044) at 1 µg/mL

Lane 1:

HeLa (Human epithelial carcinoma cell line) Whole Cell Lysate at 20 µg

Lane 2:

Western blot - Jurkat whole cell lysate (<a href='/en-us/products/cell-lysates/jurkat-whole-cell-lysate-ab7899'>ab7899</a>) at 20 µg

Lane 3:

Western blot - A-431 whole cell lysate (<a href='/en-us/products/cell-lysates/a-431-whole-cell-lysate-ab7909'>ab7909</a>) at 20 µg

Secondary

All lanes:

IR Dye 680 Conjugated Goat Anti-Rabbit IgG (H+L) at 1/15000 dilution

Predicted band size: 18 kDa

Observed band size: 18 kDa

false

Western blot - Anti-UBE2I / UBC9 antibody (AB33044)
  • WB

Project

Western blot - Anti-UBE2I / UBC9 antibody (AB33044)

All lanes:

Western blot - Anti-UBE2I / UBC9 antibody (ab33044) at 1 µg/mL

Lane 1:

Western blot - NIH/3T3 whole cell lysate (<a href='/en-us/products/cell-lysates/nih-3t3-whole-cell-lysate-ab7179'>ab7179</a>) at 10 µg

Lane 2:

MEF1 (Mouse embryonic fibroblast cell line) Whole Cell Lysate at 10 µg

Lane 3:

Testis (Mouse) Tissue Lysate - normal tissue at 10 µg

Lane 4:

PC12 (Rat adrenal pheochromocytoma cell line) Whole Cell Lysate at 10 µg

Secondary

All lanes:

IRDye 680 Conjugated Goat Anti-Rabbit IgG (H+L) at 1/10000 dilution

Predicted band size: 18 kDa

Observed band size: 100 kDa,18 kDa

false

Key facts

Host species

Rabbit

Clonality

Polyclonal

Isotype

IgG

Carrier free

No

Reacts with

Mouse, Rat, Human

Applications

WB, IHC-P, IP, ICC/IF

applications

Immunogen

The exact immunogen used to generate this antibody is proprietary information.

Reactivity data

{ "title": "Reactivity Data", "filters": { "stats": ["", "Species", "Dilution Info", "Notes"], "tabs": { "all-applications": {"fullname" : "All Applications", "shortname": "All Applications"}, "IHCP" : {"fullname" : "Immunohistochemistry (Formalin/PFA-fixed paraffin-embedded sections)", "shortname":"IHC-P"}, "IP" : {"fullname" : "Immunoprecipitation", "shortname":"IP"}, "ICCIF" : {"fullname" : "Immunocytochemistry/ Immunofluorescence", "shortname":"ICC/IF"}, "WB" : {"fullname" : "Western blot", "shortname":"WB"} }, "product-promise": { "all": "all", "testedAndGuaranteed": "tested", "guaranteed": "expected", "predicted": "predicted", "notRecommended": "not-recommended" } }, "values": { "Human": { "IHCP-species-checked": "testedAndGuaranteed", "IHCP-species-dilution-info": "5 µg/mL", "IHCP-species-notes": "<p></p>", "IP-species-checked": "testedAndGuaranteed", "IP-species-dilution-info": "", "IP-species-notes": "<p></p>", "ICCIF-species-checked": "testedAndGuaranteed", "ICCIF-species-dilution-info": "1 µg/mL", "ICCIF-species-notes": "<p></p>", "WB-species-checked": "testedAndGuaranteed", "WB-species-dilution-info": "1 µg/mL", "WB-species-notes": "<p></p>" }, "Mouse": { "IHCP-species-checked": "guaranteed", "IHCP-species-dilution-info": "5 µg/mL", "IHCP-species-notes": "<p></p>", "IP-species-checked": "guaranteed", "IP-species-dilution-info": "", "IP-species-notes": "<p></p>", "ICCIF-species-checked": "guaranteed", "ICCIF-species-dilution-info": "1 µg/mL", "ICCIF-species-notes": "<p></p>", "WB-species-checked": "testedAndGuaranteed", "WB-species-dilution-info": "1 µg/mL", "WB-species-notes": "<p></p>" }, "Rat": { "IHCP-species-checked": "guaranteed", "IHCP-species-dilution-info": "5 µg/mL", "IHCP-species-notes": "<p></p>", "IP-species-checked": "guaranteed", "IP-species-dilution-info": "", "IP-species-notes": "<p></p>", "ICCIF-species-checked": "guaranteed", "ICCIF-species-dilution-info": "1 µg/mL", "ICCIF-species-notes": "<p></p>", "WB-species-checked": "testedAndGuaranteed", "WB-species-dilution-info": "1 µg/mL", "WB-species-notes": "<p></p>" }, "Chicken": { "IHCP-species-checked": "predicted", "IHCP-species-dilution-info": "", "IHCP-species-notes": "", "IP-species-checked": "predicted", "IP-species-dilution-info": "", "IP-species-notes": "", "ICCIF-species-checked": "predicted", "ICCIF-species-dilution-info": "", "ICCIF-species-notes": "", "WB-species-checked": "predicted", "WB-species-dilution-info": "", "WB-species-notes": "" }, "Xenopus laevis": { "IHCP-species-checked": "predicted", "IHCP-species-dilution-info": "", "IHCP-species-notes": "", "IP-species-checked": "predicted", "IP-species-dilution-info": "", "IP-species-notes": "", "ICCIF-species-checked": "predicted", "ICCIF-species-dilution-info": "", "ICCIF-species-notes": "", "WB-species-checked": "predicted", "WB-species-dilution-info": "", "WB-species-notes": "" }, "Zebrafish": { "IHCP-species-checked": "predicted", "IHCP-species-dilution-info": "", "IHCP-species-notes": "", "IP-species-checked": "predicted", "IP-species-dilution-info": "", "IP-species-notes": "", "ICCIF-species-checked": "predicted", "ICCIF-species-dilution-info": "", "ICCIF-species-notes": "", "WB-species-checked": "predicted", "WB-species-dilution-info": "", "WB-species-notes": "" } } }

Properties and storage information

Form
Liquid
Purification technique
Affinity purification Immunogen
Storage buffer
pH: 7.4 Preservative: 0.02% Sodium azide Constituents: PBS, 1% BSA
Shipped at conditions
Blue Ice
Appropriate short-term storage duration
1-2 weeks
Appropriate short-term storage conditions
+4°C
Appropriate long-term storage conditions
-20°C
Aliquoting information
Upon delivery aliquot
Storage information
Avoid freeze / thaw cycle

Supplementary information

This supplementary information is collated from multiple sources and compiled automatically.

UBE2I also known as UBC9 is a small ubiquitin-related modifier (SUMO) conjugating enzyme. It plays an important role in the SUMOylation process which modifies proteins by attaching sumo proteins to them altering their function. This protein has a molecular mass of approximately 18 kDa. UBE2I is expressed broadly across various tissues demonstrating its significance in cellular processes.
Biological function summary

The SUMO conjugating enzyme UBE2I is part of the SUMOylation complex which includes the SUMO E1 enzyme and SUMO E3 ligase. It facilitates the attachment of SUMO proteins to target proteins which can influence protein stability localization and interaction with other proteins. This modification usually regulates important cellular functions such as transcription DNA repair and cell cycle progression.

Pathways

Proteins modified by UBE2I participate in significant biological pathways such as the DNA damage response and cell cycle regulation. In the DNA damage response UBE2I works with proteins such as p53 and BRCA1 to maintain genomic stability. In cell cycle pathways interactions with proteins like cyclin D1 and CDK inhibitors help control cellular proliferation by SUMOylating key regulatory proteins.

UBE2I has been implicated in cancer and neurodegenerative diseases. Altered SUMOylation by UBE2I can lead to the dysfunction of tumor suppressor proteins like p53 contributing to cancer development. In neurodegenerative diseases abnormal SUMOylation might affect proteins like tau which can lead to the progression of conditions such as Alzheimer's disease. The role of UBE2I in these disorders highlights it as a potential therapeutic target in addressing these conditions.

Product protocols

For this product, it's our understanding that no specific protocols are required. You can visit:

Target data

Accepts the ubiquitin-like proteins SUMO1, SUMO2, SUMO3, SUMO4 and SUMO1P1/SUMO5 from the UBLE1A-UBLE1B E1 complex and catalyzes their covalent attachment to other proteins with the help of an E3 ligase such as RANBP2, CBX4 and ZNF451. Can catalyze the formation of poly-SUMO chains. Necessary for sumoylation of FOXL2 and KAT5. Essential for nuclear architecture and chromosome segregation. Sumoylates p53/TP53 at 'Lys-386'. Mediates sumoylation of ERCC6 which is essential for its transcription-coupled nucleotide excision repair activity (PubMed : 26620705).
See full target information UBE2I

Publications (16)

Recent publications for all applications. Explore the full list and refine your search

Scientific reports 15:21497 PubMed40593246

2025

Dynamic changes in sumoylation related proteins SUMO1, SENP1, and UBC9 during the peri implantation period in mice.

Applications

Unspecified application

Species

Unspecified reactive species

Ezgi Golal,Cemre Nur Balci,Nuray Acar

Alzheimer's & dementia : the journal of the Alzheimer's Association 21:e70030 PubMed40047257

2025

Genetic and pharmacologic enhancement of SUMO2 conjugation prevents and reverses cognitive impairment and synaptotoxicity in a preclinical model of Alzheimer's disease.

Applications

Unspecified application

Species

Unspecified reactive species

Luana Fioriti,Nadeeja Wijesekara,Elentina K Argyrousi,Shinsuke Matsuzaki,Hironori Takamura,Kanayo Satoh,Kyung Han,Hiroto Yamauchi,Agnieszka Staniszewski,Erica Acquarone,Franca Orsini,Annacarla Martucci,Taiichi Katayama,Ottavio Arancio,Paul E Fraser

Cell death & disease 15:674 PubMed39277582

2024

Impaired SUMOylation of FoxA1 promotes nonalcoholic fatty liver disease through down-regulation of Sirt6.

Applications

Unspecified application

Species

Unspecified reactive species

Dongmei Zou,Jinwen Liao,Min Xiao,Liang Liu,Dongling Dai,Mingguo Xu

Molecular cell 84:3271-3287.e8 PubMed39178863

2024

Histone chaperone HIRA, promyelocytic leukemia protein, and p62/SQSTM1 coordinate to regulate inflammation during cell senescence.

Applications

Unspecified application

Species

Unspecified reactive species

Nirmalya Dasgupta,Xue Lei,Christina Huan Shi,Rouven Arnold,Marcos G Teneche,Karl N Miller,Adarsh Rajesh,Andrew Davis,Valesca Anschau,Alexandre R Campos,Rebecca Gilson,Aaron Havas,Shanshan Yin,Zong Ming Chua,Tianhui Liu,Jessica Proulx,Michael Alcaraz,Mohammed Iqbal Rather,Josue Baeza,David C Schultz,Kevin Y Yip,Shelley L Berger,Peter D Adams

Science advances 10:eadn8963 PubMed38838144

2024

Nucleoporin Nup358 drives the differentiation of myeloid-biased multipotent progenitors by modulating HDAC3 nuclear translocation.

Applications

Unspecified application

Species

Unspecified reactive species

Valeria Guglielmi,Davina Lam,Maximiliano A D'Angelo

Viruses 15: PubMed37766305

2023

The Gene Transcriptional Activation and Protein Degradation Mediated by Transactivator Tas of Prototype Foamy Virus.

Applications

Unspecified application

Species

Unspecified reactive species

Yongping Ma,Jie Wei,Jing Song,Zhongxiang Hu,Ruifen Zhang,Zhi Li,Yan Sun

Science advances 6:eaaz0361 PubMed32232156

2020

DUSP6 SUMOylation protects cells from oxidative damage via direct regulation of Drp1 dephosphorylation.

Applications

Unspecified application

Species

Unspecified reactive species

Ruining Ma,Lina Ma,Weiji Weng,Yingping Wang,Huiqing Liu,Rongjun Guo,Yingwei Gao,Jun Tu,Tian-Le Xu,Jinke Cheng,Michael X Zhu,Aiwu Zhou,Yong Li

Development (Cambridge, England) 146: PubMed31704792

2019

Loss of the E2 SUMO-conjugating enzyme in oocytes during ovarian folliculogenesis causes infertility in mice.

Applications

Unspecified application

Species

Unspecified reactive species

Amanda Rodriguez,Shawn M Briley,Bethany K Patton,Swamy K Tripurani,Kimal Rajapakshe,Cristian Coarfa,Aleksander Rajkovic,Alexandra Andrieux,Anne Dejean,Stephanie A Pangas

Frontiers in cellular neuroscience 13:486 PubMed31749687

2019

Super Resolution Microscopy of SUMO Proteins in Neurons.

Applications

Unspecified application

Species

Unspecified reactive species

Luca Colnaghi,Luca Russo,Carmina Natale,Elena Restelli,Alfredo Cagnotto,Mario Salmona,Roberto Chiesa,Luana Fioriti

Molecular cell 75:823-834.e5 PubMed31302001

2019

SENP1-Sirt3 Signaling Controls Mitochondrial Protein Acetylation and Metabolism.

Applications

Unspecified application

Species

Unspecified reactive species

Tianshi Wang,Ying Cao,Quan Zheng,Jun Tu,Wei Zhou,Jianli He,Jie Zhong,Yalan Chen,Jiqiu Wang,Rong Cai,Yong Zuo,Bo Wei,Qiuju Fan,Jie Yang,Yicheng Wu,Jing Yi,Dali Li,Mingyao Liu,Chuangui Wang,Aiwu Zhou,Yu Li,Xuefeng Wu,Wen Yang,Y Eugene Chin,Guoqiang Chen,Jinke Cheng
View all publications

Product promise

We are committed to supporting your work with high-quality reagents, and we're here for you every step of the way. In the unlikely event that one of our products does not perform as expected, you're protected by our Product Promise.
For full details, please see our Terms & Conditions

Please note: All products are 'FOR RESEARCH USE ONLY. NOT FOR USE IN DIAGNOSTIC OR THERAPEUTIC PROCEDURES'.

For licensing inquiries, please contact partnerships@abcam.com