JavaScript is disabled in your browser. Please enable JavaScript to view this website.
AB75854

Anti-UBE2I / UBC9 antibody [EP2938Y]

  • BOND RX™ Validated
  • RabMAb
  • Recombinant
  • 20ul selling size
  • What is this?

4

(8 Reviews)

|

(50 Publications)

Rabbit Recombinant Monoclonal UBE2I / UBC9 antibody. Suitable for IHC-P, IP, WB, ICC/IF, Flow Cyt (Intra) and reacts with Human, Mouse, Rat samples. Cited in 50 publications.

View Alternative Names

UBC9, UBCE9, UBE2I, SUMO-conjugating enzyme UBC9, RING-type E3 SUMO transferase UBC9, SUMO-protein ligase, Ubiquitin carrier protein 9, Ubiquitin carrier protein I, Ubiquitin-conjugating enzyme E2 I, Ubiquitin-protein ligase I, p18

11 Images
Immunocytochemistry/ Immunofluorescence - Anti-UBE2I / UBC9 antibody [EP2938Y] (AB75854)
  • ICC/IF

Lab

Immunocytochemistry/ Immunofluorescence - Anti-UBE2I / UBC9 antibody [EP2938Y] (AB75854)

Immunocytochemistry/ Immunofluorescence analysis of Jurkat (human T cell leukemia T lymphocyte) cells labeling UBE2I / UBC9 with purified ab75854 at 1/100 dilution (10 μg/mL). Cells were fixed in 100% Methanol. Cells were counterstained with ab195889 Anti-alpha Tubulin antibody [DM1A] - Microtubule Marker (Alexa Fluor® 594) 1/200 (2.5 μg/mL). Goat anti rabbit IgG (Alexa Fluor® 488, ab150077) was used as the secondary antibody at 1/1000 (2 μg/mL) dilution. DAPI (blue) was used as nuclear counterstain. ab195889 Anti-alpha Tubulin antibody [DM1A] - Microtubule Marker (Alexa Fluor® 594) 1/200 (2.5 μg/mL) was used as the secondary antibody only control.

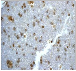
Immunohistochemistry (Formalin/PFA-fixed paraffin-embedded sections) - Anti-UBE2I / UBC9 antibody [EP2938Y] (AB75854)
  • IHC-P

Unknown

Immunohistochemistry (Formalin/PFA-fixed paraffin-embedded sections) - Anti-UBE2I / UBC9 antibody [EP2938Y] (AB75854)

ab75854, at 1/100 dilution, staining UBE2I / UBC9 in human brain, by Immunohistochemistry using formalin-fixed, paraffin-embedded tissue.

Perform heat mediated antigen retrieval before commencing with IHC staining protocol.

Flow Cytometry (Intracellular) - Anti-UBE2I / UBC9 antibody [EP2938Y] (AB75854)
  • Flow Cyt (Intra)

Unknown

Flow Cytometry (Intracellular) - Anti-UBE2I / UBC9 antibody [EP2938Y] (AB75854)

Overlay histogram showing HepG2 cells stained with ab75854 (red line). The cells were fixed with 80% methanol (5 min) and then permeabilized with 0.1% PBS-Tween for 20 min. The cells were then incubated in 1x PBS / 10% normal goat serum / 0.3M glycine to block non-specific protein-protein interactions followed by the antibody (ab75854, 1/100 dilution) for 30 min at 22°C. The secondary antibody used was DyLight® 488 goat anti-rabbit IgG (H+L) (ab96899) at 1/500 dilution for 30 min at 22°C. Isotype control antibody (black line) was rabbit IgG (monoclonal) (1μg/1x106 cells) used under the same conditions. Acquisition of >5,000 events was performed.

Immunoprecipitation - Anti-UBE2I / UBC9 antibody [EP2938Y] (AB75854)
  • IP

Unknown

Immunoprecipitation - Anti-UBE2I / UBC9 antibody [EP2938Y] (AB75854)

UBE2I / UBC9 was immunoprecipitated using 0.5mg Jurkat whole cell extract, 5µg of Rabbit polyclonal to UBE2I / UBC9 and 50µl of protein G magnetic beads (+). No antibody was added to the control (-).
The antibody was incubated under agitation with Protein G beads for 10min, Jurkat whole cell extract lysate diluted in RIPA buffer was added to each sample and incubated for a further 10min under agitation.
Proteins were eluted by addition of 40µl SDS loading buffer and incubated for 10min at 70oC; 10µl of each sample was separated on a SDS PAGE gel, transferred to a nitrocellulose membrane, blocked with 5% BSA and probed with ab75854.
Secondary : Clean blot (HRP conjugate) at 1/1000 dilution.
Band : 18kDa : UBE2I / UBC9; non specific - 60kDa : We are unsure as to the identity of this extra band.

All lanes:

Immunoprecipitation - Anti-UBE2I / UBC9 antibody [EP2938Y] (ab75854)

Predicted band size: 18 kDa

false

Immunohistochemistry (Formalin/PFA-fixed paraffin-embedded sections) - Anti-UBE2I / UBC9 antibody [EP2938Y] (AB75854)
  • IHC-P

Supplier Data

Immunohistochemistry (Formalin/PFA-fixed paraffin-embedded sections) - Anti-UBE2I / UBC9 antibody [EP2938Y] (AB75854)

Immunohistochemical analysis of paraffin-embedded Mouse cerebrum labelling UBE2I / UBC9 with ab75854 at 1/2000 (0.227 ug/ml) dilution, followed by a ready to use LeicaDS9800 (Bond™ Polymer Refine Detection).

Nuclear staining on the mouse cerebrum
The section was incubated with ab75854 for 30 mins at room temperature.
The immunostaining was performed on a Leica Biosystems BOND RX instrument.

Counterstained with Hematoxylin.

Secondary antibody only control : Secondary antibody is a ready to use LeicaDS9800 (Bond™ Polymer Refine Detection).

Heat mediated antigen retrieval was performed with Citrate buffer (pH 6.0, Epitope Retrieval Solution 1) for 20 mins.

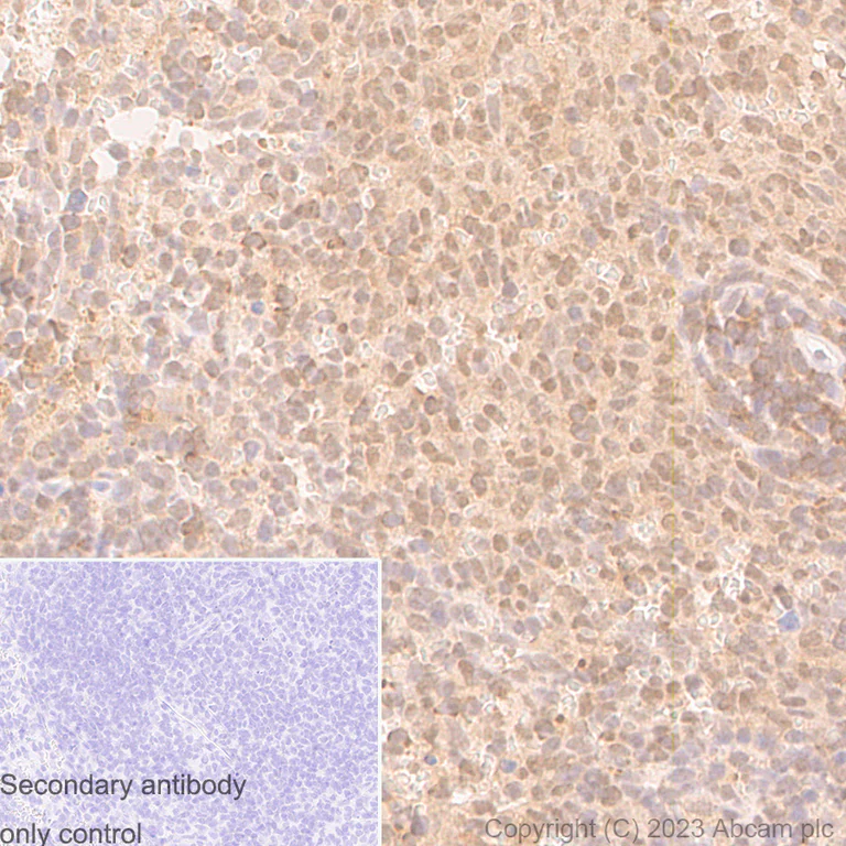
Immunohistochemistry (Formalin/PFA-fixed paraffin-embedded sections) - Anti-UBE2I / UBC9 antibody [EP2938Y] (AB75854)
  • IHC-P

Supplier Data

Immunohistochemistry (Formalin/PFA-fixed paraffin-embedded sections) - Anti-UBE2I / UBC9 antibody [EP2938Y] (AB75854)

Immunohistochemical analysis of paraffin-embedded Rat spleen labelling UBE2I / UBC9 with ab75854 at 1/2000 (0.227 ug/ml) dilution, followed by a ready to use LeicaDS9800 (Bond™ Polymer Refine Detection).

Positive staining on the Rat spleen
The section was incubated with ab75854 for 30 mins at room temperature.
The immunostaining was performed on a Leica Biosystems BOND RX instrument.

Counterstained with Hematoxylin.

Secondary antibody only control : Secondary antibody is a ready to use LeicaDS9800 (Bond™ Polymer Refine Detection).

Heat mediated antigen retrieval was performed with Citrate buffer (pH 6.0, Epitope Retrieval Solution 1) for 20 mins.

Immunohistochemistry (Formalin/PFA-fixed paraffin-embedded sections) - Anti-UBE2I / UBC9 antibody [EP2938Y] (AB75854)
  • IHC-P

Supplier Data

Immunohistochemistry (Formalin/PFA-fixed paraffin-embedded sections) - Anti-UBE2I / UBC9 antibody [EP2938Y] (AB75854)

Immunohistochemical analysis of paraffin-embedded Rat cerebrum labelling UBE2I / UBC9 with ab75854 at 1/2000 (0.227 ug/ml) dilution, followed by a ready to use LeicaDS9800 (Bond™ Polymer Refine Detection).

Nuclear staining on the Rat cerebrum
The section was incubated with ab75854 for 30 mins at room temperature.
The immunostaining was performed on a Leica Biosystems BOND RX instrument.

Counterstained with Hematoxylin.

Secondary antibody only control : Secondary antibody is a ready to use LeicaDS9800 (Bond™ Polymer Refine Detection).

Heat mediated antigen retrieval was performed with Citrate buffer (pH 6.0, Epitope Retrieval Solution 1) for 20 mins.

Immunohistochemistry (Formalin/PFA-fixed paraffin-embedded sections) - Anti-UBE2I / UBC9 antibody [EP2938Y] (AB75854)
  • IHC-P

Supplier Data

Immunohistochemistry (Formalin/PFA-fixed paraffin-embedded sections) - Anti-UBE2I / UBC9 antibody [EP2938Y] (AB75854)

Immunohistochemical analysis of paraffin-embedded Mouse skeletal mucle with ab75854 at 1/2000 (0.227 ug/ml) dilution, followed by a ready to use LeicaDS9800 (Bond™ Polymer Refine Detection).

Low expression tissue : Negligible staining on Mouse skeletal muscle.

The section was incubated with aab75854 for 30 mins at room temperature.

The immunostaining was performed on a Leica Biosystems BOND RX instrument.

Counterstained with Hematoxylin.

Heat mediated antigen retrieval was performed with Citrate buffer (pH 6.0, Epitope Retrieval Solution 1) for 20 mins.

Immunohistochemistry (Formalin/PFA-fixed paraffin-embedded sections) - Anti-UBE2I / UBC9 antibody [EP2938Y] (AB75854)
  • IHC-P

Supplier Data

Immunohistochemistry (Formalin/PFA-fixed paraffin-embedded sections) - Anti-UBE2I / UBC9 antibody [EP2938Y] (AB75854)

Immunohistochemical analysis of paraffin-embedded Rat skeletal mucle with ab75854 at 1/2000 (0.227 ug/ml) dilution, followed by a ready to use LeicaDS9800 (Bond™ Polymer Refine Detection).

Low expression tissue : Negligible staining on Rat skeletal muscle.

The section was incubated with aab75854 for 30 mins at room temperature.

The immunostaining was performed on a Leica Biosystems BOND RX instrument.

Counterstained with Hematoxylin.

Heat mediated antigen retrieval was performed with Citrate buffer (pH 6.0, Epitope Retrieval Solution 1) for 20 mins.

Western blot - Anti-UBE2I / UBC9 antibody [EP2938Y] (AB75854)
  • WB

Unknown

Western blot - Anti-UBE2I / UBC9 antibody [EP2938Y] (AB75854)

All lanes:

Western blot - Anti-UBE2I / UBC9 antibody [EP2938Y] (ab75854) at 1/10000 dilution

Lane 1:

U937 cell lysate at 10 µg

Lane 2:

HeLa cell lysate at 10 µg

Lane 3:

Jurkat cell lysate at 10 µg

Lane 4:

HUVEC cell lysate at 10 µg

Secondary

All lanes:

Goat anti-rabbit HRP at 1/1000 dilution

Predicted band size: 18 kDa

Observed band size: 18 kDa

false

Western blot - Anti-UBE2I / UBC9 antibody [EP2938Y] (AB75854)
  • WB

Supplier Data

Western blot - Anti-UBE2I / UBC9 antibody [EP2938Y] (AB75854)

Diluting and blocking buffer : 5% NFDM/TBST 5% NFDM/TBST

Low expression control : mouse skeletal muscle, rat parathyroid. rat skeletal muscle.

In Western blot, anti-GAPDH antibody (ab181602) loading control staining at 1/200000 dilution.

All lanes:

Western blot - Anti-UBE2I / UBC9 antibody [EP2938Y] (ab75854) at 1/1000 dilution

Lane 1:

Mouse brain tissue lysate at 20 µg

Lane 2:

Mouse spleen tissue lysate at 20 µg

Lane 3:

Mouse skeletal muscle tissue lysate at 20 µg

Lane 4:

Rat brain tissue lysate at 20 µg

Lane 5:

Rat spleen tissue lysate at 20 µg

Lane 6:

Rat parathyroid tissue lysate at 20 µg

Lane 7:

Rat skeletal muscle tissue lysate at 20 µg

Lane 8:

U-937 (human histiocytic lymphoma monocyte) whole cell lysate at 20 µg

Secondary

All lanes:

Western blot - Goat Anti-Rabbit IgG H&L (HRP) (<a href='/en-us/products/secondary-antibodies/goat-rabbit-igg-h-l-hrp-ab97051'>ab97051</a>) at 1/20000 dilution

Predicted band size: 18 kDa

Observed band size: 18 kDa

false

Exposure time: 3s

  • 665 Alexa Fluor® 647

    Alexa Fluor® 647 Anti-UBE2I / UBC9 antibody [EP2938Y]

  • Carrier free

    Anti-UBE2I / UBC9 antibody [EP2938Y] - BSA and Azide free

Key facts

Host species

Rabbit

Clonality

Monoclonal

Clone number

EP2938Y

Isotype

IgG

Carrier free

No

Reacts with

Mouse, Rat, Human

Applications

ICC/IF, WB, IP, IHC-P, Flow Cyt (Intra)

applications

Immunogen

The exact immunogen used to generate this antibody is proprietary information.

Reactivity data

{ "title": "Reactivity Data", "filters": { "stats": ["", "Species", "Dilution Info", "Notes"], "tabs": { "all-applications": {"fullname" : "All Applications", "shortname": "All Applications"}, "IHCP" : {"fullname" : "Immunohistochemistry (Formalin/PFA-fixed paraffin-embedded sections)", "shortname":"IHC-P"}, "IP" : {"fullname" : "Immunoprecipitation", "shortname":"IP"}, "WB" : {"fullname" : "Western blot", "shortname":"WB"}, "ICCIF" : {"fullname" : "Immunocytochemistry/ Immunofluorescence", "shortname":"ICC/IF"}, "FlowCytIntra" : {"fullname" : "Flow Cytometry (Intracellular)", "shortname":"Flow Cyt (Intra)"} }, "product-promise": { "all": "all", "testedAndGuaranteed": "tested", "guaranteed": "expected", "predicted": "predicted", "notRecommended": "not-recommended" } }, "values": { "Human": { "IHCP-species-checked": "testedAndGuaranteed", "IHCP-species-dilution-info": "1/100 - 1/250", "IHCP-species-notes": "<p></p> Perform heat-mediated antigen retrieval before commencing with IHC staining protocol.", "IP-species-checked": "testedAndGuaranteed", "IP-species-dilution-info": "", "IP-species-notes": "<p></p>", "WB-species-checked": "testedAndGuaranteed", "WB-species-dilution-info": "1/1000 - 1/10000", "WB-species-notes": "<p></p>", "ICCIF-species-checked": "testedAndGuaranteed", "ICCIF-species-dilution-info": "1/100", "ICCIF-species-notes": "<p></p>", "FlowCytIntra-species-checked": "testedAndGuaranteed", "FlowCytIntra-species-dilution-info": "1/50", "FlowCytIntra-species-notes": "<p><a href='/en-us/products/primary-antibodies/rabbit-igg-monoclonal-epr25a-isotype-control-ab172730'>ab172730</a> - Rabbit monoclonal IgG, is suitable for use as an isotype control with this antibody.</p>" }, "Mouse": { "IHCP-species-checked": "testedAndGuaranteed", "IHCP-species-dilution-info": "1/2000", "IHCP-species-notes": "<p></p>", "IP-species-checked": "guaranteed", "IP-species-dilution-info": "", "IP-species-notes": "", "WB-species-checked": "testedAndGuaranteed", "WB-species-dilution-info": "1/1000", "WB-species-notes": "<p></p>", "ICCIF-species-checked": "guaranteed", "ICCIF-species-dilution-info": "", "ICCIF-species-notes": "", "FlowCytIntra-species-checked": "guaranteed", "FlowCytIntra-species-dilution-info": "", "FlowCytIntra-species-notes": "" }, "Rat": { "IHCP-species-checked": "testedAndGuaranteed", "IHCP-species-dilution-info": "1/2000", "IHCP-species-notes": "<p></p>", "IP-species-checked": "guaranteed", "IP-species-dilution-info": "", "IP-species-notes": "", "WB-species-checked": "testedAndGuaranteed", "WB-species-dilution-info": "1/1000", "WB-species-notes": "<p></p>", "ICCIF-species-checked": "guaranteed", "ICCIF-species-dilution-info": "", "ICCIF-species-notes": "", "FlowCytIntra-species-checked": "guaranteed", "FlowCytIntra-species-dilution-info": "", "FlowCytIntra-species-notes": "" } } }

Product details

Patented technology
Our RabMAb® technology is a patented hybridoma-based technology for making rabbit monoclonal antibodies. For details on our patents, please refer to RabMAb® patents.

What are the advantages of a recombinant monoclonal antibody?
This product is a recombinant monoclonal antibody, which offers several advantages including:

  • - High batch-to-batch consistency and reproducibility
  • - Improved sensitivity and specificity
  • - Long-term security of supply
  • - Animal-free batch production

For more information, read more on recombinant antibodies.

Properties and storage information

Form
Liquid
Purification technique
Affinity purification Protein A
Storage buffer
pH: 7.2 - 7.4 Preservative: 0.01% Sodium azide Constituents: PBS, 40% Glycerol (glycerin, glycerine), 0.05% BSA
Shipped at conditions
Blue Ice
Appropriate short-term storage duration
1-2 weeks
Appropriate short-term storage conditions
+4°C
Appropriate long-term storage conditions
-20°C
Aliquoting information
Upon delivery aliquot
Storage information
Stable for 12 months at -20°C

Supplementary information

This supplementary information is collated from multiple sources and compiled automatically.

UBE2I also known as UBC9 is a small ubiquitin-related modifier (SUMO) conjugating enzyme. It plays an important role in the SUMOylation process which modifies proteins by attaching sumo proteins to them altering their function. This protein has a molecular mass of approximately 18 kDa. UBE2I is expressed broadly across various tissues demonstrating its significance in cellular processes.
Biological function summary

The SUMO conjugating enzyme UBE2I is part of the SUMOylation complex which includes the SUMO E1 enzyme and SUMO E3 ligase. It facilitates the attachment of SUMO proteins to target proteins which can influence protein stability localization and interaction with other proteins. This modification usually regulates important cellular functions such as transcription DNA repair and cell cycle progression.

Pathways

Proteins modified by UBE2I participate in significant biological pathways such as the DNA damage response and cell cycle regulation. In the DNA damage response UBE2I works with proteins such as p53 and BRCA1 to maintain genomic stability. In cell cycle pathways interactions with proteins like cyclin D1 and CDK inhibitors help control cellular proliferation by SUMOylating key regulatory proteins.

UBE2I has been implicated in cancer and neurodegenerative diseases. Altered SUMOylation by UBE2I can lead to the dysfunction of tumor suppressor proteins like p53 contributing to cancer development. In neurodegenerative diseases abnormal SUMOylation might affect proteins like tau which can lead to the progression of conditions such as Alzheimer's disease. The role of UBE2I in these disorders highlights it as a potential therapeutic target in addressing these conditions.

Product protocols

For this product, it's our understanding that no specific protocols are required. You can visit:

Target data

Accepts the ubiquitin-like proteins SUMO1, SUMO2, SUMO3, SUMO4 and SUMO1P1/SUMO5 from the UBLE1A-UBLE1B E1 complex and catalyzes their covalent attachment to other proteins with the help of an E3 ligase such as RANBP2, CBX4 and ZNF451. Can catalyze the formation of poly-SUMO chains. Necessary for sumoylation of FOXL2 and KAT5. Essential for nuclear architecture and chromosome segregation. Sumoylates p53/TP53 at 'Lys-386'. Mediates sumoylation of ERCC6 which is essential for its transcription-coupled nucleotide excision repair activity (PubMed : 26620705).
See full target information UBE2I

Publications (50)

Recent publications for all applications. Explore the full list and refine your search

Scientific reports 15:9123 PubMed40097547

2025

Elevated UBC9 expression and its oncogenic role in colorectal cancer progression and chemoresistance.

Applications

Unspecified application

Species

Unspecified reactive species

Feng Li,Yongmei Dai,Chenchen Tang,Lu Peng,Haijian Huang,Yuluo Chen,Yining Xu,Xuequn Chen,Qingshui Wang,Yao Lin

Journal of endocrinological investigation 48:1101-1119 PubMed40025314

2025

UBC9: a novel therapeutic target in papillary thyroid carcinoma.

Applications

Unspecified application

Species

Unspecified reactive species

Hui Zhang,Jingjing Wu,Huaiyuan Hu,Heng Tang,Kemeng Tan,Mengxue Hu,Genbao Zhu

The EMBO journal 43:4542-4577 PubMed39192031

2024

Heterochromatin formation and remodeling by IRTKS condensates counteract cellular senescence.

Applications

Unspecified application

Species

Unspecified reactive species

Jia Xie,Zhao-Ning Lu,Shi-Hao Bai,Xiao-Fang Cui,He-Yuan Lian,Chen-Yi Xie,Na Wang,Lan Wang,Ze-Guang Han

Nature communications 14:3887 PubMed37393345

2023

SUMOylation of Rho-associated protein kinase 2 induces goblet cell metaplasia in allergic airways.

Applications

Unspecified application

Species

Unspecified reactive species

Dan Tan,Meiping Lu,Yuqing Cai,Weibo Qi,Fugen Wu,Hangyang Bao,Meiyu Qv,Qiangqiang He,Yana Xu,Xiangzhi Wang,Tingyu Shen,Jiahao Luo,Yangxun He,Junsong Wu,Lanfang Tang,Muhammad Qasim Barkat,Chengyun Xu,Ximei Wu

The Journal of clinical investigation 133: PubMed36626227

2023

UBC9 deficiency enhances immunostimulatory macrophage activation and subsequent antitumor T cell response in prostate cancer.

Applications

Unspecified application

Species

Unspecified reactive species

Jun Xiao,Fei Sun,Ya-Nan Wang,Bo Liu,Peng Zhou,Fa-Xi Wang,Hai-Feng Zhou,Yue Ge,Tian-Tian Yue,Jia-Hui Luo,Chun-Liang Yang,Shan-Jie Rong,Ze-Zhong Xiong,Sheng Ma,Qi Zhang,Yang Xun,Chun-Guang Yang,Yang Luan,Shao-Gang Wang,Cong-Yi Wang,Zhi-Hua Wang

Molecular medicine reports 27: PubMed36601740

2023

Role of SUMOylation of STAT1 in tubular epithelial‑mesenchymal transition induced by high glucose.

Applications

Unspecified application

Species

Unspecified reactive species

Cunyang Gu,Feng Gao,Shiqi Zhang,Lihua Kang,Wei Zhang,Xiaojuan Feng,Jinxi Liu,Yuexin Tian,Qun Wei,Yunxia Du,Yujia Xing,Qingjuan Liu,Shuxia Liu

Oxidative medicine and cellular longevity 2022:8002566 PubMed35707278

2022

Ginkgolic acid improves bleomycin-induced pulmonary fibrosis by inhibiting SMAD4 SUMOylation.

Applications

Unspecified application

Species

Unspecified reactive species

Lan Yu,Xiyun Bian,Chunyan Zhang,Zhouying Wu,Na Huang,Jie Yang,Wen Jin,Zongqi Feng,Dongfang Li,Xue Huo,Ting Wu,Zhongmin Jiang,Xiaozhi Liu,Dejun Sun

Oxidative medicine and cellular longevity 2022:6503504 PubMed35669854

2022

Mild Hypothermia Promotes Ischemic Tolerance and Survival of Neural Stem Cell Grafts by Enhancing Global SUMOylation.

Applications

Unspecified application

Species

Unspecified reactive species

Heng Cai,Xiaofang Ma,Dading Lu,Liangyu Chen,Xiyun Bian,Nan Zhang,Wei Tang,Xiaozhi Liu,Zhiqing Li

Oxidative medicine and cellular longevity 2022:5954437 PubMed35615575

2022

Increased PD-L1 Restricts Liver Injury in Nonalcoholic Fatty Liver Disease.

Applications

Unspecified application

Species

Unspecified reactive species

Gang Dong,Xiaoquan Huang,Rongxin Chen,Ling Wu,Siyu Jiang,Shiyao Chen

Aging 14:3529-3539 PubMed35460552

2022

NRIP1 aggravates lung injury caused by in mice by increasing PIAS1 ubiquitination.

Applications

Unspecified application

Species

Unspecified reactive species

Miaoyi Huang,Jianying Li,Jie Bai,Xusheng Du,Hua Guo,Bo Wang,Jiru Xu
View all publications

Product promise

We are committed to supporting your work with high-quality reagents, and we're here for you every step of the way. In the unlikely event that one of our products does not perform as expected, you're protected by our Product Promise.
For full details, please see our Terms & Conditions

Please note: All products are 'FOR RESEARCH USE ONLY. NOT FOR USE IN DIAGNOSTIC OR THERAPEUTIC PROCEDURES'.

For licensing inquiries, please contact partnerships@abcam.com