JavaScript is disabled in your browser. Please enable JavaScript to view this website.
AB108936

Anti-Ube2L3/UBCH7 antibody [EPR4368]

Be the first to review this product! Submit a review

|

(5 Publications)

Rabbit Recombinant Monoclonal Ube2L3/UBCH7 antibody. Suitable for IHC-P, WB, ICC/IF and reacts with Human, Mouse, Rat samples. Cited in 5 publications.

View Alternative Names

UBCE7, UBCH7, UBE2L3, Ubiquitin-conjugating enzyme E2 L3, E2 ubiquitin-conjugating enzyme L3, L-UBC, UbcH7, Ubiquitin carrier protein L3, Ubiquitin-conjugating enzyme E2-F1, Ubiquitin-protein ligase L3

3 Images
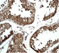
Immunohistochemistry (Formalin/PFA-fixed paraffin-embedded sections) - Anti-Ube2L3/UBCH7 antibody [EPR4368] (AB108936)
  • IHC-P

Unknown

Immunohistochemistry (Formalin/PFA-fixed paraffin-embedded sections) - Anti-Ube2L3/UBCH7 antibody [EPR4368] (AB108936)

ab108936 at a 1/100 dilution staining Ube2L3/UBCH7 in paraffin-embedded Human testis tissue

Perform heat mediated antigen retrieval before commencing with IHC staining protocol.

Immunocytochemistry/ Immunofluorescence - Anti-Ube2L3/UBCH7 antibody [EPR4368] (AB108936)
  • ICC/IF

Unknown

Immunocytochemistry/ Immunofluorescence - Anti-Ube2L3/UBCH7 antibody [EPR4368] (AB108936)

ab108936 at a 1/100 dilution staining Ube2L3/UBCH7 in HeLa cells

Western blot - Anti-Ube2L3/UBCH7 antibody [EPR4368] (AB108936)
  • WB

Unknown

Western blot - Anti-Ube2L3/UBCH7 antibody [EPR4368] (AB108936)

All lanes:

Western blot - Anti-Ube2L3/UBCH7 antibody [EPR4368] (ab108936) at 1/1000 dilution

Lane 1:

HeLa cell lysate at 10 µg

Lane 2:

LNCaP cell lysate at 10 µg

Lane 3:

Jurkat cell lysate at 10 µg

Lane 4:

K562 cell lysate at 10 µg

Predicted band size: 18 kDa

false

  • Carrier free

    Anti-Ube2L3/UBCH7 antibody [EPR4368] - BSA and Azide free

Key facts

Host species

Rabbit

Clonality

Monoclonal

Clone number

EPR4368

Isotype

IgG

Carrier free

No

Reacts with

Human

Applications

IHC-P, WB, ICC/IF

applications

Immunogen

The exact immunogen used to generate this antibody is proprietary information.

Reactivity data

{ "title": "Reactivity Data", "filters": { "stats": ["", "Species", "Dilution Info", "Notes"], "tabs": { "all-applications": {"fullname" : "All Applications", "shortname": "All Applications"}, "IHCP" : {"fullname" : "Immunohistochemistry (Formalin/PFA-fixed paraffin-embedded sections)", "shortname":"IHC-P"}, "FlowCyt" : {"fullname" : "Flow Cytometry", "shortname":"Flow Cyt"}, "WB" : {"fullname" : "Western blot", "shortname":"WB"}, "ICCIF" : {"fullname" : "Immunocytochemistry/ Immunofluorescence", "shortname":"ICC/IF"} }, "product-promise": { "all": "all", "testedAndGuaranteed": "tested", "guaranteed": "expected", "predicted": "predicted", "notRecommended": "not-recommended" } }, "values": { "Human": { "IHCP-species-checked": "testedAndGuaranteed", "IHCP-species-dilution-info": "1/100 - 1/250", "IHCP-species-notes": "<p>Heat up to 98 degrees C, below boiling, and then let cool for 10-20 min.</p> Perform heat-mediated antigen retrieval before commencing with IHC staining protocol.", "FlowCyt-species-checked": "notRecommended", "FlowCyt-species-dilution-info": "", "FlowCyt-species-notes": "<p></p>", "WB-species-checked": "testedAndGuaranteed", "WB-species-dilution-info": "1/1000 - 1/10000", "WB-species-notes": "<p></p>", "ICCIF-species-checked": "testedAndGuaranteed", "ICCIF-species-dilution-info": "1/100 - 1/250", "ICCIF-species-notes": "<p></p>" }, "Mouse": { "IHCP-species-checked": "predicted", "IHCP-species-dilution-info": "", "IHCP-species-notes": "", "FlowCyt-species-checked": "notRecommended", "FlowCyt-species-dilution-info": "", "FlowCyt-species-notes": "", "WB-species-checked": "guaranteed", "WB-species-dilution-info": "", "WB-species-notes": "<p></p>", "ICCIF-species-checked": "predicted", "ICCIF-species-dilution-info": "", "ICCIF-species-notes": "" }, "Rat": { "IHCP-species-checked": "predicted", "IHCP-species-dilution-info": "", "IHCP-species-notes": "", "FlowCyt-species-checked": "notRecommended", "FlowCyt-species-dilution-info": "", "FlowCyt-species-notes": "", "WB-species-checked": "guaranteed", "WB-species-dilution-info": "", "WB-species-notes": "<p></p>", "ICCIF-species-checked": "predicted", "ICCIF-species-dilution-info": "", "ICCIF-species-notes": "" } } }

Product details

Patented technology
Our RabMAb® technology is a patented hybridoma-based technology for making rabbit monoclonal antibodies. For details on our patents, please refer to RabMAb® patents.

What are the advantages of a recombinant monoclonal antibody?
This product is a recombinant monoclonal antibody, which offers several advantages including:

  • - High batch-to-batch consistency and reproducibility
  • - Improved sensitivity and specificity
  • - Long-term security of supply
  • - Animal-free batch production

For more information, read more on recombinant antibodies.

Properties and storage information

Form
Liquid
Purity
Tissue culture supernatant
Storage buffer
pH: 7.2 - 7.4 Preservative: 0.05% Sodium azide Constituents: 50% Tissue culture supernatant, 40% Glycerol (glycerin, glycerine), 9.85% Tris glycine, 0.1% BSA
Shipped at conditions
Blue Ice
Appropriate short-term storage conditions
+4°C
Appropriate long-term storage conditions
-20°C
Storage information
Stable for 12 months at -20°C

Supplementary information

This supplementary information is collated from multiple sources and compiled automatically.

Ube2L3 also known as UBCH7 is an E2 ubiquitin-conjugating enzyme with a molecular weight of approximately 21 kDa. This enzyme participates mechanically in the ubiquitination process where it transfers ubiquitin from an E1 activating enzyme to an E3 ligase mediating protein degradation through the proteasome. Ube2L3 is expressed ubiquitously in various tissues showing higher abundance in the brain heart and skeletal muscle.
Biological function summary

Ube2L3 plays essential roles in protein turnover and cell cycle regulation by functioning within multi-protein complexes. It helps facilitate the attachment of ubiquitin to specific target proteins marking them for degradation. These activities are important for maintaining protein homeostasis and regulation of cell division apoptosis and signal transduction. Ube2L3's role in these biological processes makes it an important component of cellular function and physiology.

Pathways

Ube2L3 is involved in the ubiquitin-proteasome pathway and is also associated with the NF-kB signaling pathway. Its function in these pathways highlights its role in regulating immune responses and inflammatory processes. Interaction with other proteins like E3 ligases including Parkin and Mdm2 shows its involvement in protein quality control and cellular stress responses. Ube2L3's modulation of these pathways is significant for proper cellular responses to environmental cues and stressors.

Ube2L3 associates with conditions like autoimmune diseases and certain cancers. Research links dysfunction in Ube2L3's activity to systemic lupus erythematosus (SLE) where immune regulation is disrupted. Furthermore studies indicate that alterations in its protein interactions particularly with E3 ligases such as Mdm2 might contribute to tumorigenesis by affecting p53 regulation. Understanding these connections helps in elucidating the roles of Ube2L3 in disease mechanisms and may support the development of targeted therapies.

Product protocols

For this product, it's our understanding that no specific protocols are required. You can visit:

Target data

Ubiquitin-conjugating enzyme E2 that specifically acts with HECT-type and RBR family E3 ubiquitin-protein ligases. Does not function with most RING-containing E3 ubiquitin-protein ligases because it lacks intrinsic E3-independent reactivity with lysine; in contrast, it has activity with the RBR family E3 enzymes, such as PRKN, RNF31 and ARIH1, that function like RING-HECT hybrids. Accepts ubiquitin from the E1 complex and catalyzes its covalent attachment to other proteins. Mediates ubiquitination by the CUL9-RBX1 complex (PubMed : 38605244). In vitro catalyzes 'Lys-11'-linked polyubiquitination. Involved in the selective degradation of short-lived and abnormal proteins. Down-regulated during the S-phase it is involved in progression through the cell cycle. Regulates nuclear hormone receptors transcriptional activity. May play a role in myelopoiesis.
See full target information UBE2L3

Publications (5)

Recent publications for all applications. Explore the full list and refine your search

International journal of molecular sciences 21: PubMed32825184

2020

HP1γ Sensitizes Cervical Cancer Cells to Cisplatin through the Suppression of UBE2L3.

Applications

Unspecified application

Species

Unspecified reactive species

Sang Ah Yi,Go Woon Kim,Jung Yoo,Jeung-Whan Han,So Hee Kwon

Cell death and differentiation 27:2537-2551 PubMed32203172

2020

HPV-mediated nuclear export of HP1γ drives cervical tumorigenesis by downregulation of p53.

Applications

Unspecified application

Species

Unspecified reactive species

Sang Ah Yi,Dong Hoon Lee,Go Woon Kim,Hyun-Wook Ryu,Jong Woo Park,Jaecheol Lee,Jihoon Han,Jee Hun Park,Hwamok Oh,Jieun Lee,Junjeong Choi,Hyun-Soo Kim,Hyeok Gu Kang,Da-Hyun Kim,Kyung-Hee Chun,Jueng Soo You,Jeung-Whan Han,So Hee Kwon

Journal of viral hepatitis 25:1363-1371 PubMed29969176

2018

UBE2L3, a susceptibility gene that plays oncogenic role in hepatitis B-related hepatocellular carcinoma.

Applications

Unspecified application

Species

Unspecified reactive species

Yao Liu,Ci Song,Hengli Ni,Weijuan Jiao,Wenjuan Gan,Xiaoqiang Dong,Jibin Liu,Liguo Zhu,Xiangjun Zhai,Zhibin Hu,Jianming Li

Oncotarget 8:84193-84203 PubMed29137415

2017

Ubiquitin conjugating enzyme E2 L3 promoted tumor growth of NSCLC through accelerating p27kip1 ubiquitination and degradation.

Applications

Unspecified application

Species

Unspecified reactive species

Xingjie Ma,Junjie Zhao,Fan Yang,Haitao Liu,Weibo Qi

PLoS pathogens 12:e1005584 PubMed27082114

2016

HTLV-1 Tax Functions as a Ubiquitin E3 Ligase for Direct IKK Activation via Synthesis of Mixed-Linkage Polyubiquitin Chains.

Applications

Unspecified application

Species

Unspecified reactive species

Chong Wang,Wenying Long,Chao Peng,Lin Hu,Qiong Zhang,Ailing Wu,Xiaoqing Zhang,Xiaotao Duan,Catherine C L Wong,Yuetsu Tanaka,Zongping Xia
View all publications

Product promise

We are committed to supporting your work with high-quality reagents, and we're here for you every step of the way. In the unlikely event that one of our products does not perform as expected, you're protected by our Product Promise.
For full details, please see our Terms & Conditions

Please note: All products are 'FOR RESEARCH USE ONLY. NOT FOR USE IN DIAGNOSTIC OR THERAPEUTIC PROCEDURES'.

For licensing inquiries, please contact partnerships@abcam.com