JavaScript is disabled in your browser. Please enable JavaScript to view this website.
AB247755

Anti-Ube2L6 antibody [EPR4267(2)] - BSA and Azide free

Be the first to review this product! Submit a review

|

(1 Publication)

Rabbit Recombinant Monoclonal Ube2L6 antibody. Carrier free. Suitable for IHC-P, WB and reacts with Human samples. Cited in 1 publication.

View Alternative Names

UBCH8, UBE2L6, Ubiquitin/ISG15-conjugating enzyme E2 L6, E2 ubiquitin-conjugating enzyme L6, Retinoic acid-induced gene B protein, UbcH8, Ubiquitin carrier protein L6, Ubiquitin-protein ligase L6, RIG-B

3 Images
Immunohistochemistry (Formalin/PFA-fixed paraffin-embedded sections) - Anti-Ube2L6 antibody [EPR4267(2)] - BSA and Azide free (AB247755)
  • IHC-P

Unknown

Immunohistochemistry (Formalin/PFA-fixed paraffin-embedded sections) - Anti-Ube2L6 antibody [EPR4267(2)] - BSA and Azide free (AB247755)

This data was developed using ab109086, the same antibody clone in a different buffer formulation.

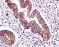
ab109086 at 1/250 dilution staining Ube2L6 in Human uterus by Immunohistochemistry, Paraffin-embedded tissue.

Perform heat mediated antigen retrieval with citrate buffer pH 6 before commencing with IHC staining protocol.

Immunohistochemistry (Formalin/PFA-fixed paraffin-embedded sections) - Anti-Ube2L6 antibody [EPR4267(2)] - BSA and Azide free (AB247755)
  • IHC-P

Unknown

Immunohistochemistry (Formalin/PFA-fixed paraffin-embedded sections) - Anti-Ube2L6 antibody [EPR4267(2)] - BSA and Azide free (AB247755)

This data was developed using ab109086, the same antibody clone in a different buffer formulation.

ab109086 at 1/250 dilution staining Ube2L6 in Human kidney by Immunohistochemistry, Paraffin-embedded tissue.

Perform heat mediated antigen retrieval with citrate buffer pH 6 before commencing with IHC staining protocol.

Western blot - Anti-Ube2L6 antibody [EPR4267(2)] - BSA and Azide free (AB247755)
  • WB

Unknown

Western blot - Anti-Ube2L6 antibody [EPR4267(2)] - BSA and Azide free (AB247755)

This data was developed using ab109086, the same antibody clone in a different buffer formulation.

All lanes:

Western blot - Anti-Ube2L6 antibody [EPR4267(2)] (<a href='/en-us/products/primary-antibodies/ube2l6-antibody-epr42672-ab109086'>ab109086</a>) at 1/1000 dilution

Lane 1:

Human fetal thymus tissue lysate at 10 µg

Lane 2:

Human lymph node tissue lysate at 10 µg

Lane 3:

Daudi cell lysate at 10 µg

Lane 4:

MOLT4 cell lysate at 10 µg

Predicted band size: 18 kDa

false

Key facts

Host species

Rabbit

Clonality

Monoclonal

Clone number

EPR4267(2)

Isotype

IgG

Carrier free

Yes

Reacts with

Human

Applications

WB, IHC-P

applications

Immunogen

The exact immunogen used to generate this antibody is proprietary information.

Reactivity data

{ "title": "Reactivity Data", "filters": { "stats": ["", "Species", "Dilution Info", "Notes"], "tabs": { "all-applications": {"fullname" : "All Applications", "shortname": "All Applications"}, "IHCP" : {"fullname" : "Immunohistochemistry (Formalin/PFA-fixed paraffin-embedded sections)", "shortname":"IHC-P"}, "FlowCyt" : {"fullname" : "Flow Cytometry", "shortname":"Flow Cyt"}, "WB" : {"fullname" : "Western blot", "shortname":"WB"} }, "product-promise": { "all": "all", "testedAndGuaranteed": "tested", "guaranteed": "expected", "predicted": "predicted", "notRecommended": "not-recommended" } }, "values": { "Human": { "IHCP-species-checked": "testedAndGuaranteed", "IHCP-species-dilution-info": "", "IHCP-species-notes": "<p>Antigen retrieval is recommended.</p>", "FlowCyt-species-checked": "notRecommended", "FlowCyt-species-dilution-info": "", "FlowCyt-species-notes": "<p></p>", "WB-species-checked": "testedAndGuaranteed", "WB-species-dilution-info": "", "WB-species-notes": "<p></p>" } } }

Product details

ab247755 is the carrier-free version of ab109086.

Species reactivity
Mouse, Rat: We have preliminary internal testing data to indicate this antibody may not react with these species.
Please contact us for more information.

Patented technology
Our RabMAb® technology is a patented hybridoma-based technology for making rabbit monoclonal antibodies. For details on our patents, please refer to RabMAb® patents.

What are the advantages of a recombinant monoclonal antibody?
This product is a recombinant monoclonal antibody, which offers several advantages including:

  • - High batch-to-batch consistency and reproducibility
  • - Improved sensitivity and specificity
  • - Long-term security of supply
  • - Animal-free batch production

For more information, read more on recombinant antibodies.

Conjugation ready
Our carrier-free antibodies are typically supplied in a PBS-only formulation, purified and free of BSA, sodium azide and glycerol. This conjugation-ready format is designed for use with fluorochromes, metal isotopes, oligonucleotides, and enzymes, which makes them ideal for antibody labelling, functional and cell-based assays, flow-based assays (e.g. mass cytometry) and Multiplex Imaging applications.

Use our conjugation kits for antibody conjugates that are ready-to-use in as little as 20 minutes with 1 minute hands-on-time and 100% antibody recovery: available for fluorescent dyes, HRP, biotin and gold.

Compatibility
This product is compatible with the Maxpar® Antibody Labeling Kit from Fluidigm, without the need for antibody preparation. Maxpar® is a trademark of Fluidigm Canada Inc.

Properties and storage information

Form
Liquid
Purification technique
Affinity purification Protein A
Storage buffer
pH: 7.2 - 7.4 Constituents: PBS
Shipped at conditions
Blue Ice
Appropriate short-term storage conditions
+4°C
Appropriate long-term storage conditions
+4°C
Storage information
Do Not Freeze

Supplementary information

This supplementary information is collated from multiple sources and compiled automatically.

Ube2L6 also known as UbcH8 is an E2 ubiquitin-conjugating enzyme with a molecular weight of about 19 kDa. It functions in the ubiquitin-proteasome pathway by transferring ubiquitin from an E1 activating enzyme to an E3 ligase assisting in protein degradation. Ube2L6 is expressed in many tissues including spleen liver and lymph nodes highlighting its varied role in cellular processes.
Biological function summary

Ube2L6 contributes to protein quality control within the cell. The enzyme participates in the post-translational modification of proteins specifically tagging misfolded or damaged proteins with ubiquitin for degradation. It interacts with several E3 ligases and forms part of the larger ubiquitin-proteasome complex. This function helps maintain protein homeostasis.

Pathways

Ube2L6 plays a role in both the NF-kB signaling and type I interferon pathways. In the NF-kB signaling pathway it facilitates the degradation of inhibitory proteins allowing nuclear translocation of NF-kB and subsequent gene expression. It associates with proteins such as TRAF6 which is important for the activation of NF-kB. In type I interferon signaling Ube2L6 aids in the antiviral response by assisting in the modification of target proteins enhancing the immune defense.

Ube2L6 relates to cancer and autoimmune conditions. In cancer its correlation with TRAF6 can influence tumor cell survival and proliferation through the NF-kB pathway. Regarding autoimmune conditions aberrant function of Ube2L6 might affect immune system responses contributing to diseases like lupus. Its regulation becomes important for maintaining normal cellular functions and preventing disease progression.

Product protocols

For this product, it's our understanding that no specific protocols are required. You can visit:

Target data

Catalyzes the covalent attachment of ubiquitin or ISG15 to other proteins. Functions in the E6/E6-AP-induced ubiquitination of p53/TP53. Promotes ubiquitination and subsequent proteasomal degradation of FLT3.
See full target information UBE2L6

Publications (1)

Recent publications for all applications. Explore the full list and refine your search

Oncology letters 26:409 PubMed37600337

2023

Renal epithelioid angiomyolipoma: A case report.

Applications

Unspecified application

Species

Unspecified reactive species

Hongyun Li,Xuebei Zhang,Qingli Zhao,Jin Wang,Xiaoqing Yang,Shengliang Huang
View all publications

Product promise

We are committed to supporting your work with high-quality reagents, and we're here for you every step of the way. In the unlikely event that one of our products does not perform as expected, you're protected by our Product Promise.
For full details, please see our Terms & Conditions

Please note: All products are 'FOR RESEARCH USE ONLY. NOT FOR USE IN DIAGNOSTIC OR THERAPEUTIC PROCEDURES'.

For licensing inquiries, please contact partnerships@abcam.com