JavaScript is disabled in your browser. Please enable JavaScript to view this website.
AB236056

Anti-UBE2M/UBC12 antibody [EPR5333] - BSA and Azide free

Be the first to review this product! Submit a review

|

(1 Publication)

Rabbit Recombinant Monoclonal UBE2M/UBC12 antibody. Carrier free. Suitable for IHC-P, WB, ICC/IF, Flow Cyt (Intra) and reacts with Human, Mouse, Rat samples. Cited in 1 publication.

View Alternative Names

UBC12, UBE2M, NEDD8-conjugating enzyme Ubc12, NEDD8 carrier protein, Ubiquitin-conjugating enzyme E2 M

4 Images
Immunohistochemistry (Formalin/PFA-fixed paraffin-embedded sections) - Anti-UBE2M/UBC12 antibody [EPR5333] - BSA and Azide free (AB236056)
  • IHC-P

Unknown

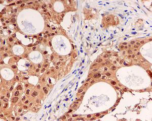
Immunohistochemistry (Formalin/PFA-fixed paraffin-embedded sections) - Anti-UBE2M/UBC12 antibody [EPR5333] - BSA and Azide free (AB236056)

Immunohistochemical analysis of paraffin-embedded Human lung carcinoma tissue using ab109507 at a dilution of 1/100.

This data was developed using the same antibody clone in a different buffer formulation containing PBS, BSA, glycerol, and sodium azide (ab109507).

Heat mediated antigen retrieval was performed with citrate buffer pH 6 before commencing with IHC staining protocol.

Flow Cytometry (Intracellular) - Anti-UBE2M/UBC12 antibody [EPR5333] - BSA and Azide free (AB236056)
  • Flow Cyt (Intra)

Unknown

Flow Cytometry (Intracellular) - Anti-UBE2M/UBC12 antibody [EPR5333] - BSA and Azide free (AB236056)

Overlay histogram showing Ramos cells stained with ab109507 (red line). The cells were fixed with 4% paraformaldehyde (10 min) and then permeabilized with 0.1% PBS-Tween for 20 min. The cells were then incubated in 1x PBS / 10% normal goat serum / 0.3M glycine to block non-specific protein-protein interactions followed by the antibody (ab109507, 1/1000 dilution) for 30 min at 22°C. The secondary antibody used was Alexa Fluor® 488 goat anti-rabbit IgG (H&L) (ab150077) at 1/2000 dilution for 30 min at 22°C. Isotype control antibody (black line) was rabbit IgG (monoclonal) (0.1μg/1x106 cells) used under the same conditions. Unlabelled sample (blue line) was also used as a control. Acquisition of >5,000 events were collected using a 20mW Argon ion laser (488nm) and 525/30 bandpass filter. This antibody gave a positive signal in Ramos cells fixed with 80% methanol (5 min)/permeabilized with 0.1% PBS-Tween for 20 min used under the same conditions. This data was developed using the same antibody clone in a different buffer formulation containing PBS, BSA, glycerol, and sodium azide (ab109507).

Immunohistochemistry (Formalin/PFA-fixed paraffin-embedded sections) - Anti-UBE2M/UBC12 antibody [EPR5333] - BSA and Azide free (AB236056)
  • IHC-P

Unknown

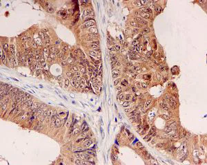
Immunohistochemistry (Formalin/PFA-fixed paraffin-embedded sections) - Anti-UBE2M/UBC12 antibody [EPR5333] - BSA and Azide free (AB236056)

Immunohistochemical analysis of paraffin-embedded human colonic adenocarcinoma tissue using ab109507 at a dilution of 1/100.

This data was developed using the same antibody clone in a different buffer formulation containing PBS, BSA, glycerol, and sodium azide (ab109507).

Heat mediated antigen retrieval was performed with citrate buffer pH 6 before commencing with IHC staining protocol.

Immunocytochemistry/ Immunofluorescence - Anti-UBE2M/UBC12 antibody [EPR5333] - BSA and Azide free (AB236056)
  • ICC/IF

Lab

Immunocytochemistry/ Immunofluorescence - Anti-UBE2M/UBC12 antibody [EPR5333] - BSA and Azide free (AB236056)

Immunocytochemistry/ Immunofluorescence analysis of Ramos (human Burkitt's lymphoma B lymphocyte) cells labeling UBE2M/UBC12 with purified ab109507 at 1/250 dilution (8 μg/mL). Cells were fixed in 4% Paraformaldehyde and permeabilized with 0.1% tritonX-100. Cells were counterstained with None. Goat anti rabbit IgG (Alexa Fluor® 488, ab150077) was used as the secondary antibody at 1/1000 (2 μg/mL) dilution. DAPI (blue) was used as nuclear counterstain.

This data was developed using the same antibody clone in a different buffer formulation containing PBS, BSA, glycerol, and sodium azide (ab109507).

Key facts

Host species

Rabbit

Clonality

Monoclonal

Clone number

EPR5333

Isotype

IgG

Carrier free

Yes

Reacts with

Human

Applications

WB, IHC-P, Flow Cyt (Intra), ICC/IF

applications

Immunogen

The exact immunogen used to generate this antibody is proprietary information.

Reactivity data

{ "title": "Reactivity Data", "filters": { "stats": ["", "Species", "Dilution Info", "Notes"], "tabs": { "all-applications": {"fullname" : "All Applications", "shortname": "All Applications"}, "IHCP" : {"fullname" : "Immunohistochemistry (Formalin/PFA-fixed paraffin-embedded sections)", "shortname":"IHC-P"}, "WB" : {"fullname" : "Western blot", "shortname":"WB"}, "ICCIF" : {"fullname" : "Immunocytochemistry/ Immunofluorescence", "shortname":"ICC/IF"}, "FlowCytIntra" : {"fullname" : "Flow Cytometry (Intracellular)", "shortname":"Flow Cyt (Intra)"} }, "product-promise": { "all": "all", "testedAndGuaranteed": "tested", "guaranteed": "expected", "predicted": "predicted", "notRecommended": "not-recommended" } }, "values": { "Human": { "IHCP-species-checked": "testedAndGuaranteed", "IHCP-species-dilution-info": "", "IHCP-species-notes": "<p></p>", "WB-species-checked": "guaranteed", "WB-species-dilution-info": "", "WB-species-notes": "<p></p>", "ICCIF-species-checked": "testedAndGuaranteed", "ICCIF-species-dilution-info": "", "ICCIF-species-notes": "<p></p>", "FlowCytIntra-species-checked": "testedAndGuaranteed", "FlowCytIntra-species-dilution-info": "", "FlowCytIntra-species-notes": "<p><a href='/en-us/products/primary-antibodies/rabbit-igg-monoclonal-epr25a-isotype-control-ab172730'>ab172730</a> - Rabbit monoclonal IgG, is suitable for use as an isotype control with this antibody.</p>" }, "Mouse": { "IHCP-species-checked": "predicted", "IHCP-species-dilution-info": "", "IHCP-species-notes": "", "WB-species-checked": "guaranteed", "WB-species-dilution-info": "", "WB-species-notes": "<p></p>", "ICCIF-species-checked": "predicted", "ICCIF-species-dilution-info": "", "ICCIF-species-notes": "", "FlowCytIntra-species-checked": "predicted", "FlowCytIntra-species-dilution-info": "", "FlowCytIntra-species-notes": "" }, "Rat": { "IHCP-species-checked": "predicted", "IHCP-species-dilution-info": "", "IHCP-species-notes": "", "WB-species-checked": "guaranteed", "WB-species-dilution-info": "", "WB-species-notes": "<p></p>", "ICCIF-species-checked": "predicted", "ICCIF-species-dilution-info": "", "ICCIF-species-notes": "", "FlowCytIntra-species-checked": "predicted", "FlowCytIntra-species-dilution-info": "", "FlowCytIntra-species-notes": "" } } }

Product details

ab236056 is the carrier-free version of ab109507.

Patented technology
Our RabMAb® technology is a patented hybridoma-based technology for making rabbit monoclonal antibodies. For details on our patents, please refer to RabMAb® patents.

What are the advantages of a recombinant monoclonal antibody?
This product is a recombinant monoclonal antibody, which offers several advantages including:

  • - High batch-to-batch consistency and reproducibility
  • - Improved sensitivity and specificity
  • - Long-term security of supply
  • - Animal-free batch production

For more information, read more on recombinant antibodies.

Conjugation ready
Our carrier-free antibodies are typically supplied in a PBS-only formulation, purified and free of BSA, sodium azide and glycerol. This conjugation-ready format is designed for use with fluorochromes, metal isotopes, oligonucleotides, and enzymes, which makes them ideal for antibody labelling, functional and cell-based assays, flow-based assays (e.g. mass cytometry) and Multiplex Imaging applications.

Use our conjugation kits for antibody conjugates that are ready-to-use in as little as 20 minutes with 1 minute hands-on-time and 100% antibody recovery: available for fluorescent dyes, HRP, biotin and gold.

Compatibility
This product is compatible with the Maxpar® Antibody Labeling Kit from Fluidigm, without the need for antibody preparation. Maxpar® is a trademark of Fluidigm Canada Inc.

Properties and storage information

Form
Liquid
Purification technique
Affinity purification Protein A
Storage buffer
pH: 7.2 - 7.4 Constituents: PBS
Shipped at conditions
Blue Ice
Appropriate short-term storage conditions
+4°C
Appropriate long-term storage conditions
+4°C
Storage information
Do Not Freeze

Supplementary information

This supplementary information is collated from multiple sources and compiled automatically.

UBE2M also called UBC12 is an E2 enzyme involved in the process of neddylation which is a type of ubiquitin-like modification. The protein has a molecular mass of approximately 22 kDa. It activates and transfers NEDD8 a ubiquitin-like protein to specific substrates. UBE2M is expressed in various tissues with high expression levels in the liver muscle and kidney tissues. Its precise mechanical role is connecting to NEDD8 and collaborating with E3 ligases to modify substrates.
Biological function summary

E2 conjugating enzyme such as UBE2M functions in the regulation of the cell cycle signal transduction and other cellular processes. It is important in the neddylation pathway where it facilitates the covalent attachment of the NEDD8 molecule to Cullin proteins. UBE2M associates with the cullin-RING ligase complex assisting in the alteration of protein stability and function within cells. The proper operation of this enzyme is essential for maintaining cellular homeostasis.

Pathways

Neddylation modulates ubiquitination and acts as a regulator in protein degradation pathways. UBE2M occupies a central role in the neddylation pathway which intersects with the ubiquitin-proteasome system involving proteins like Cullin and NEDD8. Both neddylation and ubiquitination pathways share overlapping components and functions making UBE2M critical in selective protein degradation impacting processes such as DNA replication and repair and response to stress.

The incorrect function of UBE2M has links to cancer and neurodegenerative diseases. In cancer misregulation of the neddylation pathway can lead to unregulated cell growth and survival due to the aberrant degradation of key proteins. Abnormal UBE2M activity impacts the regulation of the tumor suppressor protein p53 through interaction with other neddylation-related proteins affecting cell cycle control. In neurodegenerative diseases alterations in protein homeostasis and aggregation occur related to the dysregulation of neddylation influencing proteins involved in neuronal function.

Product protocols

For this product, it's our understanding that no specific protocols are required. You can visit:

Target data

Accepts the ubiquitin-like protein NEDD8 from the UBA3-NAE1 E1 complex and catalyzes its covalent attachment to other proteins. The specific interaction with the E3 ubiquitin ligase RBX1, but not RBX2, suggests that the RBX1-UBE2M complex neddylates specific target proteins, such as CUL1, CUL2, CUL3 and CUL4. Involved in cell proliferation.
See full target information UBE2M

Publications (1)

Recent publications for all applications. Explore the full list and refine your search

Developmental cell 53:9-26.e4 PubMed32197068

2020

Glycolysis-Independent Glucose Metabolism Distinguishes TE from ICM Fate during Mammalian Embryogenesis.

Applications

Unspecified application

Species

Unspecified reactive species

Fangtao Chi,Mark S Sharpley,Raghavendra Nagaraj,Shubhendu Sen Roy,Utpal Banerjee
View all publications

Product promise

We are committed to supporting your work with high-quality reagents, and we're here for you every step of the way. In the unlikely event that one of our products does not perform as expected, you're protected by our Product Promise.
For full details, please see our Terms & Conditions

Please note: All products are 'FOR RESEARCH USE ONLY. NOT FOR USE IN DIAGNOSTIC OR THERAPEUTIC PROCEDURES'.

For licensing inquiries, please contact partnerships@abcam.com