JavaScript is disabled in your browser. Please enable JavaScript to view this website.
AB247818

Anti-Ube2N / Ubc13 antibody [EPR5162] - BSA and Azide free

Be the first to review this product! Submit a review

|

(1 Publication)

Rabbit Recombinant Monoclonal Ube2N / Ubc13 antibody. Carrier free. Suitable for IHC-P, WB and reacts with Human samples. Cited in 1 publication.

View Alternative Names

BLU, UBE2N, Ubiquitin-conjugating enzyme E2 N, Bendless-like ubiquitin-conjugating enzyme, E2 ubiquitin-conjugating enzyme N, Ubc13, UbcH13, Ubiquitin carrier protein N, Ubiquitin-protein ligase N

2 Images
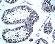
Immunohistochemistry (Formalin/PFA-fixed paraffin-embedded sections) - Anti-Ube2N / Ubc13 antibody [EPR5162] - BSA and Azide free (AB247818)
  • IHC-P

Unknown

Immunohistochemistry (Formalin/PFA-fixed paraffin-embedded sections) - Anti-Ube2N / Ubc13 antibody [EPR5162] - BSA and Azide free (AB247818)

This data was developed using ab109286, the same antibody clone in a different buffer formulation.

Immunohistochemical analysis of paraffin-embedded Human testis tissue using ab109286 at 1/100 dilution.

Perform heat mediated antigen retrieval via the pressure cooker method before commencing with IHC staining protocol.

Western blot - Anti-Ube2N / Ubc13 antibody [EPR5162] - BSA and Azide free (AB247818)
  • WB

Unknown

Western blot - Anti-Ube2N / Ubc13 antibody [EPR5162] - BSA and Azide free (AB247818)

This data was developed using ab109286, the same antibody clone in a different buffer formulation.

All lanes:

Western blot - Anti-Ube2N / Ubc13 antibody [EPR5162] (<a href='/en-us/products/primary-antibodies/ube2n-ubc13-antibody-epr5162-ab109286'>ab109286</a>) at 1/1000 dilution

Lane 1:

Jurkat cell lysate at 10 µg

Lane 2:

Daudi cell lysate at 10 µg

Lane 3:

Human heart lysate at 10 µg

Predicted band size: 17 kDa

false

Key facts

Host species

Rabbit

Clonality

Monoclonal

Clone number

EPR5162

Isotype

IgG

Carrier free

Yes

Reacts with

Human

Applications

IHC-P, WB

applications

Immunogen

The exact immunogen used to generate this antibody is proprietary information.

Reactivity data

{ "title": "Reactivity Data", "filters": { "stats": ["", "Species", "Dilution Info", "Notes"], "tabs": { "all-applications": {"fullname" : "All Applications", "shortname": "All Applications"}, "IHCP" : {"fullname" : "Immunohistochemistry (Formalin/PFA-fixed paraffin-embedded sections)", "shortname":"IHC-P"}, "IP" : {"fullname" : "Immunoprecipitation", "shortname":"IP"}, "FlowCyt" : {"fullname" : "Flow Cytometry", "shortname":"Flow Cyt"}, "WB" : {"fullname" : "Western blot", "shortname":"WB"} }, "product-promise": { "all": "all", "testedAndGuaranteed": "tested", "guaranteed": "expected", "predicted": "predicted", "notRecommended": "not-recommended" } }, "values": { "Human": { "IHCP-species-checked": "testedAndGuaranteed", "IHCP-species-dilution-info": "", "IHCP-species-notes": "<p></p>", "IP-species-checked": "notRecommended", "IP-species-dilution-info": "", "IP-species-notes": "<p></p>", "FlowCyt-species-checked": "notRecommended", "FlowCyt-species-dilution-info": "", "FlowCyt-species-notes": "<p></p>", "WB-species-checked": "testedAndGuaranteed", "WB-species-dilution-info": "", "WB-species-notes": "<p></p>" }, "Mouse": { "IHCP-species-checked": "predicted", "IHCP-species-dilution-info": "", "IHCP-species-notes": "", "IP-species-checked": "notRecommended", "IP-species-dilution-info": "", "IP-species-notes": "", "FlowCyt-species-checked": "notRecommended", "FlowCyt-species-dilution-info": "", "FlowCyt-species-notes": "", "WB-species-checked": "predicted", "WB-species-dilution-info": "", "WB-species-notes": "" }, "Rat": { "IHCP-species-checked": "predicted", "IHCP-species-dilution-info": "", "IHCP-species-notes": "", "IP-species-checked": "notRecommended", "IP-species-dilution-info": "", "IP-species-notes": "", "FlowCyt-species-checked": "notRecommended", "FlowCyt-species-dilution-info": "", "FlowCyt-species-notes": "", "WB-species-checked": "predicted", "WB-species-dilution-info": "", "WB-species-notes": "" } } }

Product details

ab247818 is the carrier-free version of ab109286.

Patented technology
Our RabMAb® technology is a patented hybridoma-based technology for making rabbit monoclonal antibodies. For details on our patents, please refer to RabMAb® patents.

What are the advantages of a recombinant monoclonal antibody?
This product is a recombinant monoclonal antibody, which offers several advantages including:

  • - High batch-to-batch consistency and reproducibility
  • - Improved sensitivity and specificity
  • - Long-term security of supply
  • - Animal-free batch production

For more information, read more on recombinant antibodies.

Conjugation ready
Our carrier-free antibodies are typically supplied in a PBS-only formulation, purified and free of BSA, sodium azide and glycerol. This conjugation-ready format is designed for use with fluorochromes, metal isotopes, oligonucleotides, and enzymes, which makes them ideal for antibody labelling, functional and cell-based assays, flow-based assays (e.g. mass cytometry) and Multiplex Imaging applications.

Use our conjugation kits for antibody conjugates that are ready-to-use in as little as 20 minutes with 1 minute hands-on-time and 100% antibody recovery: available for fluorescent dyes, HRP, biotin and gold.

Compatibility
This product is compatible with the Maxpar® Antibody Labeling Kit from Fluidigm, without the need for antibody preparation. Maxpar® is a trademark of Fluidigm Canada Inc.

Properties and storage information

Form
Liquid
Purification technique
Affinity purification Protein A
Storage buffer
pH: 7.2 - 7.4 Constituents: PBS
Shipped at conditions
Blue Ice
Appropriate short-term storage conditions
+4°C
Appropriate long-term storage conditions
+4°C
Storage information
Do Not Freeze

Supplementary information

This supplementary information is collated from multiple sources and compiled automatically.

Ube2N also known as Ubc13 is a ubiquitin-conjugating enzyme with a molecular mass of around 17 kDa. It plays an important role in the ubiquitination process by forming a complex with Uev1A which assists in catalyzing the attachment of ubiquitin to substrate proteins. Expression of Ube2N is found in various tissues particularly in those with high rates of protein modification and signal regulation. Mechanically Ube2N works by forming polyubiquitin chains linked through lysine 63 on ubiquitin molecules a step essential for signaling rather than protein degradation.
Biological function summary

Ube2N has a significant role in DNA repair and immune response. It teams up with other proteins as part of larger complexes like the E2/E3 ligase complexes facilitating non-degradative polyubiquitin chains that activate signaling pathways. These chains contribute to the repair of DNA double-strand breaks by involving in the activation of DNA repair proteins and maintaining genomic integrity. Furthermore Ube2N is pivotal in modulating the immune response by activating NF-kB a transcription factor important for immune and inflammatory responses.

Pathways

Ube2N's activities impact the important signaling pathways such as NF-kB and DNA damage response pathways. In the NF-kB pathway K63-linked polyubiquitination by Ube2N leads to the activation of IKK complex subsequently mobilizing NF-kB to the nucleus to initiate transcription of immune genes. In DNA damage response Ube2N interacts with proteins like Ubc13 and Rnf8 to enhance DNA repair processes. These interactions highlight Ube2N's connection within a network of proteins maintaining cell health.

Ube2N is linked to cancer progression and immune system dysfunctions. Abnormal activity or expression of Ube2N can lead to unchecked cellular proliferation seen in various types of cancer. Additionally Ube2N associates with immune disorders where deregulated NF-kB activity contributes to chronic inflammation and auto-immune conditions. Its interaction partners like Uev1A can also play a role in the dysregulated pathways contributing to these diseases.

Product protocols

For this product, it's our understanding that no specific protocols are required. You can visit:

Target data

The UBE2V1-UBE2N and UBE2V2-UBE2N heterodimers catalyze the synthesis of non-canonical 'Lys-63'-linked polyubiquitin chains. This type of polyubiquitination does not lead to protein degradation by the proteasome. Mediates transcriptional activation of target genes. Plays a role in the control of progress through the cell cycle and differentiation. Plays a role in the error-free DNA repair pathway and contributes to the survival of cells after DNA damage. Acts together with the E3 ligases, HLTF and SHPRH, in the 'Lys-63'-linked poly-ubiquitination of PCNA upon genotoxic stress, which is required for DNA repair. Appears to act together with E3 ligase RNF5 in the 'Lys-63'-linked polyubiquitination of JKAMP thereby regulating JKAMP function by decreasing its association with components of the proteasome and ERAD. Promotes TRIM5 capsid-specific restriction activity and the UBE2V1-UBE2N heterodimer acts in concert with TRIM5 to generate 'Lys-63'-linked polyubiquitin chains which activate the MAP3K7/TAK1 complex which in turn results in the induction and expression of NF-kappa-B and MAPK-responsive inflammatory genes. Together with RNF135 and UB2V1, catalyzes the viral RNA-dependent 'Lys-63'-linked polyubiquitination of RIGI to activate the downstream signaling pathway that leads to interferon beta production (PubMed : 28469175, PubMed : 31006531). UBE2V1-UBE2N together with TRAF3IP2 E3 ubiquitin ligase mediate 'Lys-63'-linked polyubiquitination of TRAF6, a component of IL17A-mediated signaling pathway.
See full target information UBE2N

Publications (1)

Recent publications for all applications. Explore the full list and refine your search

Oncology letters 26:409 PubMed37600337

2023

Renal epithelioid angiomyolipoma: A case report.

Applications

Unspecified application

Species

Unspecified reactive species

Hongyun Li,Xuebei Zhang,Qingli Zhao,Jin Wang,Xiaoqing Yang,Shengliang Huang
View all publications

Product promise

We are committed to supporting your work with high-quality reagents, and we're here for you every step of the way. In the unlikely event that one of our products does not perform as expected, you're protected by our Product Promise.
For full details, please see our Terms & Conditions

Please note: All products are 'FOR RESEARCH USE ONLY. NOT FOR USE IN DIAGNOSTIC OR THERAPEUTIC PROCEDURES'.

For licensing inquiries, please contact partnerships@abcam.com