JavaScript is disabled in your browser. Please enable JavaScript to view this website.
AB75781

Anti-UBF1 antibody [EP2741Y]

Be the first to review this product! Submit a review

|

(6 Publications)

Rabbit Recombinant Monoclonal UBF1 antibody. Suitable for IHC-P, WB, Flow Cyt (Intra) and reacts with Human samples. Cited in 6 publications.

View Alternative Names

UBF, UBF1, UBTF, Nucleolar transcription factor 1, Autoantigen NOR-90, Upstream-binding factor 1, UBF-1

3 Images
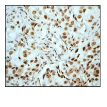
Immunohistochemistry (Formalin/PFA-fixed paraffin-embedded sections) - Anti-UBF1 antibody [EP2741Y] (AB75781)
  • IHC-P

Unknown

Immunohistochemistry (Formalin/PFA-fixed paraffin-embedded sections) - Anti-UBF1 antibody [EP2741Y] (AB75781)

Immunohistochemical analysis of paraffin-embedded human breast carcinoma using ab75781 at 1/100-1/250 dilution.

Perform heat mediated antigen retrieval with citrate buffer pH 6 before commencing with IHC staining protocol.

Flow Cytometry (Intracellular) - Anti-UBF1 antibody [EP2741Y] (AB75781)
  • Flow Cyt (Intra)

Unknown

Flow Cytometry (Intracellular) - Anti-UBF1 antibody [EP2741Y] (AB75781)

Overlay histogram showing A431 cells stained with ab75781 (red line). The cells were fixed with 80% methanol (5 min) and then permeabilized with 0.1% PBS-Tween for 20 min. The cells were then incubated in 1x PBS / 10% normal goat serum / 0.3M glycine to block non-specific protein-protein interactions followed by the antibody (ab75781, 1/50 dilution) for 30 min at 22°C. The secondary antibody used was Alexa Fluor® 488 goat anti-rabbit IgG (H&L) (ab150077) at 1/2000 dilution for 30 min at 22°C. Isotype control antibody (black line) was rabbit IgG (monoclonal) (1μg/1x106 cells) used under the same conditions. Unlabelled sample (blue line) was also used as a control. Acquisition of >5,000 events were collected using a 20mW Argon ion laser (488nm) and 525/30 bandpass filter.

Western blot - Anti-UBF1 antibody [EP2741Y] (AB75781)
  • WB

Unknown

Western blot - Anti-UBF1 antibody [EP2741Y] (AB75781)

All lanes:

Western blot - Anti-UBF1 antibody [EP2741Y] (ab75781) at 1/500 dilution

Lane 1:

molecular weight marker at 10 µg

Lane 2:

mouse liver lysate at 40 µg

Secondary

Lane 1:

HRP labelled goat anti-rabbit at 1/50000 dilution

Lane 2:

HRP labelled goat anti-rabbit at 1/2000 dilution

Predicted band size: 89 kDa

Observed band size: 89 kDa

false

  • Carrier free

    Anti-UBF1 antibody [EP2741Y] - BSA and Azide free

Key facts

Host species

Rabbit

Clonality

Monoclonal

Clone number

EP2741Y

Isotype

IgG

Carrier free

No

Reacts with

Human

Applications

WB, IHC-P, Flow Cyt (Intra)

applications

Immunogen

The exact immunogen used to generate this antibody is proprietary information.

Reactivity data

{ "title": "Reactivity Data", "filters": { "stats": ["", "Species", "Dilution Info", "Notes"], "tabs": { "all-applications": {"fullname" : "All Applications", "shortname": "All Applications"}, "IHCP" : {"fullname" : "Immunohistochemistry (Formalin/PFA-fixed paraffin-embedded sections)", "shortname":"IHC-P"}, "IP" : {"fullname" : "Immunoprecipitation", "shortname":"IP"}, "WB" : {"fullname" : "Western blot", "shortname":"WB"}, "FlowCytIntra" : {"fullname" : "Flow Cytometry (Intracellular)", "shortname":"Flow Cyt (Intra)"} }, "product-promise": { "all": "all", "testedAndGuaranteed": "tested", "guaranteed": "expected", "predicted": "predicted", "notRecommended": "not-recommended" } }, "values": { "Human": { "IHCP-species-checked": "testedAndGuaranteed", "IHCP-species-dilution-info": "1/100 - 1/250", "IHCP-species-notes": "<p></p>", "IP-species-checked": "notRecommended", "IP-species-dilution-info": "", "IP-species-notes": "<p></p>", "WB-species-checked": "testedAndGuaranteed", "WB-species-dilution-info": "1/500", "WB-species-notes": "<p></p>", "FlowCytIntra-species-checked": "testedAndGuaranteed", "FlowCytIntra-species-dilution-info": "1/30 - 1/50", "FlowCytIntra-species-notes": "<p><a href='/en-us/products/primary-antibodies/rabbit-igg-monoclonal-epr25a-isotype-control-ab172730'>ab172730</a> - Rabbit monoclonal IgG, is suitable for use as an isotype control with this antibody.</p>" }, "Mouse": { "IHCP-species-checked": "predicted", "IHCP-species-dilution-info": "", "IHCP-species-notes": "", "IP-species-checked": "notRecommended", "IP-species-dilution-info": "", "IP-species-notes": "", "WB-species-checked": "predicted", "WB-species-dilution-info": "", "WB-species-notes": "", "FlowCytIntra-species-checked": "predicted", "FlowCytIntra-species-dilution-info": "", "FlowCytIntra-species-notes": "" } } }

Product details

Patented technology
Our RabMAb® technology is a patented hybridoma-based technology for making rabbit monoclonal antibodies. For details on our patents, please refer to RabMAb® patents.

What are the advantages of a recombinant monoclonal antibody?
This product is a recombinant monoclonal antibody, which offers several advantages including:

  • - High batch-to-batch consistency and reproducibility
  • - Improved sensitivity and specificity
  • - Long-term security of supply
  • - Animal-free batch production

For more information, read more on recombinant antibodies.

Species reactivity
Rat: We have preliminary internal testing data to indicate this antibody may not react with this species.
Please contact us for more information.

Properties and storage information

Form
Liquid
Purification technique
Affinity purification Protein A
Storage buffer
pH: 7.2 - 7.4 Preservative: 0.05% Sodium azide Constituents: 50% Tissue culture supernatant, 40% Glycerol (glycerin, glycerine), 9.85% Tris glycine, 0.1% BSA
Shipped at conditions
Blue Ice
Appropriate short-term storage conditions
+4°C
Appropriate long-term storage conditions
-20°C
Aliquoting information
Upon delivery aliquot
Storage information
Avoid freeze / thaw cycle

Supplementary information

This supplementary information is collated from multiple sources and compiled automatically.

UBF1 also known as Upstream Binding Factor 1 is a transcription factor with a mass of approximately 97 kDa. It plays a mechanical role in facilitating the transcription of ribosomal RNA (rRNA) by binding to the core promoter element of rRNA genes. This action stimulates the recruitment of RNA polymerase I to the rDNA promoter site. UBF1 expresses in the nucleolus of eukaryotic cells where it functions as part of a nucleolar complex. Its presence is important for the structural organization and function of the nucleolus.
Biological function summary

UBF1 is essential for the regulation of ribosomal biogenesis. It binds to the rDNA enhancer and the rDNA promoter as part of the transcription initiation complex helping to modulate the synthesis of rRNA. UBF1 works synergistically with other nucleolar proteins such as SL1 and TIF-IA. This complex behavior influences cellular growth and proliferation. The interaction of UBF1 acting either alone or in combination with factors like SL1 controls the transcription rate of rRNA impacting the overall protein synthesis capacity of the cell.

Pathways

UBF1 plays a significant role in the cellular growth and ribosome biogenesis pathways due to its fundamental participation in rRNA transcription. It interacts closely with components of the RNA polymerase I transcription machinery. UBF1 also links to the mTOR signaling pathway which is pivotal for cell growth regulation. Interactions with other proteins such as RRN3 help mediate the link between transcriptional regulation by UBF1 and these broader signaling pathways.

UBF1 links to various pathological conditions especially cancer and growth disorders. Aberrations in UBF1 expression or function can lead to unchecked cellular proliferation and tumorigenesis as seen in certain types of cancer. Its connection to the rRNA synthesis pathway implicates it in growth disorders associated with defective ribosome production. Altered interactions between UBF1 and other proteins like p53 play a role in these disease states either by disrupting normal cell cycle control or by enabling the continued presence of harmful mutations.

Product protocols

For this product, it's our understanding that no specific protocols are required. You can visit:

Target data

Recognizes the ribosomal RNA gene promoter and activates transcription mediated by RNA polymerase I (Pol I) through cooperative interactions with the transcription factor SL1/TIF-IB complex. It binds specifically to the upstream control element and can activate Pol I promoter escape.
See full target information UBTF

Publications (6)

Recent publications for all applications. Explore the full list and refine your search

Heliyon 10:e23167 PubMed38169774

2024

Inhibition of TAF1B impairs ribosome biosynthesis and suppresses cell proliferation in stomach adenocarcinoma through promoting c-MYC mRNA degradation.

Applications

Unspecified application

Species

Unspecified reactive species

Hang-Fei Chen,Zhang-Ping Li,Qi Wu,Chun Yu,Jing-Yi Yan,Yong-Feng Bai,Sheng-Mei Zhu,Mao-Xiang Qian,Ming Liu,Li-Feng Xu,Zheng Peng,Feng Zhang

Life (Basel, Switzerland) 11: PubMed34357041

2021

Localization of METTL16 at the Nuclear Periphery and the Nucleolus Is Cell Cycle-Specific and METTL16 Interacts with Several Nucleolar Proteins.

Applications

Unspecified application

Species

Unspecified reactive species

Lenka Stixová,Denisa Komůrková,Alena Svobodová Kovaříková,Paolo Fagherazzi,Eva Bártová

Chromosome research : an international journal on 27:41-55 PubMed30610403

2019

UVA irradiation strengthened an interaction between UBF1/2 proteins and H4K20 di-/tri-methylation.

Applications

Unspecified application

Species

Unspecified reactive species

Lenka Stixová,Denisa Komůrková,Alena Svobodová Kovaříková,Eva Bártová

Scientific reports 6:25866 PubMed27160357

2016

Hot spots of DNA double-strand breaks in human rDNA units are produced in vivo.

Applications

Unspecified application

Species

Unspecified reactive species

Nickolai A Tchurikov,Dmitry V Yudkin,Maria A Gorbacheva,Anastasia I Kulemzina,Irina V Grischenko,Daria M Fedoseeva,Dmitri V Sosin,Yuri V Kravatsky,Olga V Kretova

Folia biologica 61:49-59 PubMed26333121

2015

Ellagic Acid-Changed Epigenome of Ribosomal Genes and Condensed RPA194-Positive Regions of Nucleoli in Tumour Cells.

Applications

Unspecified application

Species

Unspecified reactive species

S Legartová,G Sbardella,S Kozubek,E Bártová

Physiological research 64:769-82 PubMed26047373

2015

CARM1 modulators affect epigenome of stem cells and change morphology of nucleoli.

Applications

Unspecified application

Species

Unspecified reactive species

M Franek,S Legartová,J Suchánková,C Milite,S Castellano,G Sbardella,S Kozubek,E Bártová
View all publications

Product promise

We are committed to supporting your work with high-quality reagents, and we're here for you every step of the way. In the unlikely event that one of our products does not perform as expected, you're protected by our Product Promise.
For full details, please see our Terms & Conditions

Please note: All products are 'FOR RESEARCH USE ONLY. NOT FOR USE IN DIAGNOSTIC OR THERAPEUTIC PROCEDURES'.

For licensing inquiries, please contact partnerships@abcam.com