JavaScript is disabled in your browser. Please enable JavaScript to view this website.
AB247745

Anti-UBF1 antibody [EPR2742] - BSA and Azide free

Be the first to review this product! Submit a review

|

(1 Publication)

Rabbit Recombinant Monoclonal UBF1 antibody. Carrier free. Suitable for IHC-P, WB and reacts with Human, Mouse, Rat samples. Cited in 1 publication.

View Alternative Names

UBF, UBF1, UBTF, Nucleolar transcription factor 1, Autoantigen NOR-90, Upstream-binding factor 1, UBF-1

3 Images
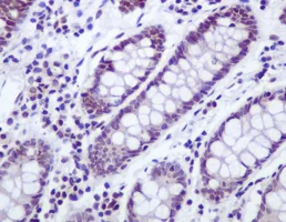
Immunohistochemistry (Formalin/PFA-fixed paraffin-embedded sections) - Anti-UBF1 antibody [EPR2742] - BSA and Azide free (AB247745)
  • IHC-P

Unknown

Immunohistochemistry (Formalin/PFA-fixed paraffin-embedded sections) - Anti-UBF1 antibody [EPR2742] - BSA and Azide free (AB247745)

This data was developed using ab109011, the same antibody clone in a different buffer formulation.

ab109011 at 1/50 dilution staining UBF1 in Human colon by Immunohistochemistry, Paraffin-embedded tissue.

Perform heat mediated antigen retrieval before commencing with IHC staining protocol.

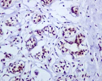
Immunohistochemistry (Formalin/PFA-fixed paraffin-embedded sections) - Anti-UBF1 antibody [EPR2742] - BSA and Azide free (AB247745)
  • IHC-P

Unknown

Immunohistochemistry (Formalin/PFA-fixed paraffin-embedded sections) - Anti-UBF1 antibody [EPR2742] - BSA and Azide free (AB247745)

This data was developed using ab109011, the same antibody clone in a different buffer formulation.

ab109011 at 1/50 dilution staining UBF1 in Human breast by Immunohistochemistry, Paraffin-embedded tissue

Perform heat mediated antigen retrieval before commencing with IHC staining protocol.

Western blot - Anti-UBF1 antibody [EPR2742] - BSA and Azide free (AB247745)
  • WB

Unknown

Western blot - Anti-UBF1 antibody [EPR2742] - BSA and Azide free (AB247745)

This data was developed using ab109011, the same antibody clone in a different buffer formulation.

All lanes:

Western blot - Anti-UBF1 antibody [EPR2742] (<a href='/en-us/products/primary-antibodies/ubf1-antibody-epr2742-ab109011'>ab109011</a>) at 1/1000 dilution

Lane 1:

HeLa cell lysate at 10 µg

Lane 2:

A431 cell lysate at 10 µg

Lane 3:

MCF7 cell lysate at 10 µg

Lane 4:

JAR cell lysate at 10 µg

Predicted band size: 89 kDa

false

Key facts

Host species

Rabbit

Clonality

Monoclonal

Clone number

EPR2742

Isotype

IgG

Carrier free

Yes

Reacts with

Human

Applications

WB, IHC-P

applications

Immunogen

The exact immunogen used to generate this antibody is proprietary information.

Reactivity data

{ "title": "Reactivity Data", "filters": { "stats": ["", "Species", "Dilution Info", "Notes"], "tabs": { "all-applications": {"fullname" : "All Applications", "shortname": "All Applications"}, "IHCP" : {"fullname" : "Immunohistochemistry (Formalin/PFA-fixed paraffin-embedded sections)", "shortname":"IHC-P"}, "ICCIF" : {"fullname" : "Immunocytochemistry/ Immunofluorescence", "shortname":"ICC/IF"}, "IP" : {"fullname" : "Immunoprecipitation", "shortname":"IP"}, "FlowCyt" : {"fullname" : "Flow Cytometry", "shortname":"Flow Cyt"}, "WB" : {"fullname" : "Western blot", "shortname":"WB"} }, "product-promise": { "all": "all", "testedAndGuaranteed": "tested", "guaranteed": "expected", "predicted": "predicted", "notRecommended": "not-recommended" } }, "values": { "Human": { "IHCP-species-checked": "testedAndGuaranteed", "IHCP-species-dilution-info": "", "IHCP-species-notes": "<p>For antigen retrieval, heat up to 98°C, below boiling, and then let cool for 10-20 minutes.</p>", "ICCIF-species-checked": "notRecommended", "ICCIF-species-dilution-info": "", "ICCIF-species-notes": "<p></p>", "IP-species-checked": "notRecommended", "IP-species-dilution-info": "", "IP-species-notes": "<p></p>", "FlowCyt-species-checked": "notRecommended", "FlowCyt-species-dilution-info": "", "FlowCyt-species-notes": "<p></p>", "WB-species-checked": "testedAndGuaranteed", "WB-species-dilution-info": "", "WB-species-notes": "<p></p>" }, "Mouse": { "IHCP-species-checked": "predicted", "IHCP-species-dilution-info": "", "IHCP-species-notes": "", "ICCIF-species-checked": "notRecommended", "ICCIF-species-dilution-info": "", "ICCIF-species-notes": "", "IP-species-checked": "notRecommended", "IP-species-dilution-info": "", "IP-species-notes": "", "FlowCyt-species-checked": "notRecommended", "FlowCyt-species-dilution-info": "", "FlowCyt-species-notes": "", "WB-species-checked": "guaranteed", "WB-species-dilution-info": "", "WB-species-notes": "<p></p>" }, "Rat": { "IHCP-species-checked": "predicted", "IHCP-species-dilution-info": "", "IHCP-species-notes": "", "ICCIF-species-checked": "notRecommended", "ICCIF-species-dilution-info": "", "ICCIF-species-notes": "", "IP-species-checked": "notRecommended", "IP-species-dilution-info": "", "IP-species-notes": "", "FlowCyt-species-checked": "notRecommended", "FlowCyt-species-dilution-info": "", "FlowCyt-species-notes": "", "WB-species-checked": "guaranteed", "WB-species-dilution-info": "", "WB-species-notes": "<p></p>" } } }

Product details

ab247745 is the carrier-free version of ab109011.

Patented technology
Our RabMAb® technology is a patented hybridoma-based technology for making rabbit monoclonal antibodies. For details on our patents, please refer to RabMAb® patents.

What are the advantages of a recombinant monoclonal antibody?
This product is a recombinant monoclonal antibody, which offers several advantages including:

  • - High batch-to-batch consistency and reproducibility
  • - Improved sensitivity and specificity
  • - Long-term security of supply
  • - Animal-free batch production

For more information, read more on recombinant antibodies.

Conjugation ready
Our carrier-free antibodies are typically supplied in a PBS-only formulation, purified and free of BSA, sodium azide and glycerol. This conjugation-ready format is designed for use with fluorochromes, metal isotopes, oligonucleotides, and enzymes, which makes them ideal for antibody labelling, functional and cell-based assays, flow-based assays (e.g. mass cytometry) and Multiplex Imaging applications.

Use our conjugation kits for antibody conjugates that are ready-to-use in as little as 20 minutes with 1 minute hands-on-time and 100% antibody recovery: available for fluorescent dyes, HRP, biotin and gold.

Compatibility
This product is compatible with the Maxpar® Antibody Labeling Kit from Fluidigm, without the need for antibody preparation. Maxpar® is a trademark of Fluidigm Canada Inc.

Properties and storage information

Form
Liquid
Purification technique
Affinity purification
Storage buffer
pH: 7.2 - 7.4 Constituents: PBS
Shipped at conditions
Blue Ice
Appropriate short-term storage conditions
+4°C
Appropriate long-term storage conditions
+4°C
Storage information
Do Not Freeze

Supplementary information

This supplementary information is collated from multiple sources and compiled automatically.

UBF1 also known as Upstream Binding Factor 1 is a transcription factor with a mass of approximately 97 kDa. It plays a mechanical role in facilitating the transcription of ribosomal RNA (rRNA) by binding to the core promoter element of rRNA genes. This action stimulates the recruitment of RNA polymerase I to the rDNA promoter site. UBF1 expresses in the nucleolus of eukaryotic cells where it functions as part of a nucleolar complex. Its presence is important for the structural organization and function of the nucleolus.
Biological function summary

UBF1 is essential for the regulation of ribosomal biogenesis. It binds to the rDNA enhancer and the rDNA promoter as part of the transcription initiation complex helping to modulate the synthesis of rRNA. UBF1 works synergistically with other nucleolar proteins such as SL1 and TIF-IA. This complex behavior influences cellular growth and proliferation. The interaction of UBF1 acting either alone or in combination with factors like SL1 controls the transcription rate of rRNA impacting the overall protein synthesis capacity of the cell.

Pathways

UBF1 plays a significant role in the cellular growth and ribosome biogenesis pathways due to its fundamental participation in rRNA transcription. It interacts closely with components of the RNA polymerase I transcription machinery. UBF1 also links to the mTOR signaling pathway which is pivotal for cell growth regulation. Interactions with other proteins such as RRN3 help mediate the link between transcriptional regulation by UBF1 and these broader signaling pathways.

UBF1 links to various pathological conditions especially cancer and growth disorders. Aberrations in UBF1 expression or function can lead to unchecked cellular proliferation and tumorigenesis as seen in certain types of cancer. Its connection to the rRNA synthesis pathway implicates it in growth disorders associated with defective ribosome production. Altered interactions between UBF1 and other proteins like p53 play a role in these disease states either by disrupting normal cell cycle control or by enabling the continued presence of harmful mutations.

Product protocols

For this product, it's our understanding that no specific protocols are required. You can visit:

Target data

Recognizes the ribosomal RNA gene promoter and activates transcription mediated by RNA polymerase I (Pol I) through cooperative interactions with the transcription factor SL1/TIF-IB complex. It binds specifically to the upstream control element and can activate Pol I promoter escape.
See full target information UBTF

Publications (1)

Recent publications for all applications. Explore the full list and refine your search

Oncology letters 26:409 PubMed37600337

2023

Renal epithelioid angiomyolipoma: A case report.

Applications

Unspecified application

Species

Unspecified reactive species

Hongyun Li,Xuebei Zhang,Qingli Zhao,Jin Wang,Xiaoqing Yang,Shengliang Huang
View all publications

Product promise

We are committed to supporting your work with high-quality reagents, and we're here for you every step of the way. In the unlikely event that one of our products does not perform as expected, you're protected by our Product Promise.
For full details, please see our Terms & Conditions

Please note: All products are 'FOR RESEARCH USE ONLY. NOT FOR USE IN DIAGNOSTIC OR THERAPEUTIC PROCEDURES'.

For licensing inquiries, please contact partnerships@abcam.com