JavaScript is disabled in your browser. Please enable JavaScript to view this website.
AB3341

Anti-Ubiquilin/UBQLN1 antibody

4

(1 Review)

|

(8 Publications)

Rabbit Polyclonal Ubiquilin/UBQLN1 antibody. Suitable for IHC-P, WB and reacts with Mouse, Human, Chinese hamster samples. Cited in 8 publications.

View Alternative Names

Plic1, Ubiquilin-1, Protein linking IAP with cytoskeleton 1, PLIC-1

4 Images
Immunohistochemistry (Formalin/PFA-fixed paraffin-embedded sections) - Anti-Ubiquilin/UBQLN1 antibody (AB3341)
  • IHC-P

Supplier Data

Immunohistochemistry (Formalin/PFA-fixed paraffin-embedded sections) - Anti-Ubiquilin/UBQLN1 antibody (AB3341)

Immunohistochemistry analysis of Ubiquilin showing staining in the nucleus and weak staining in the cytoplasm of paraffin-embedded human brain tissue (right) compared to a negative control without primary antibody (left). To expose target proteins, antigen retrieval was performed using 10mM sodium citrate (pH 6.0), microwaved for 8-15 min. Following antigen retrieval, tissues were blocked in 3% H2O2-methanol for 15 min at room temperature, washed with ddH2O and PBS, and then probed with ab3341 diluted in 3% BSA-PBS at a dilution of 1 : 100 for 1 hour at 37°C in a humidified chamber. Tissues were washed extensively in PBST and detection was performed using an HRP-conjugated secondary antibody followed by colorimetric detection using a DAB kit. Tissues were counterstained with hematoxylin and dehydrated with ethanol and xylene to prep for mounting.

Immunohistochemistry (Formalin/PFA-fixed paraffin-embedded sections) - Anti-Ubiquilin/UBQLN1 antibody (AB3341)
  • IHC-P

Supplier Data

Immunohistochemistry (Formalin/PFA-fixed paraffin-embedded sections) - Anti-Ubiquilin/UBQLN1 antibody (AB3341)

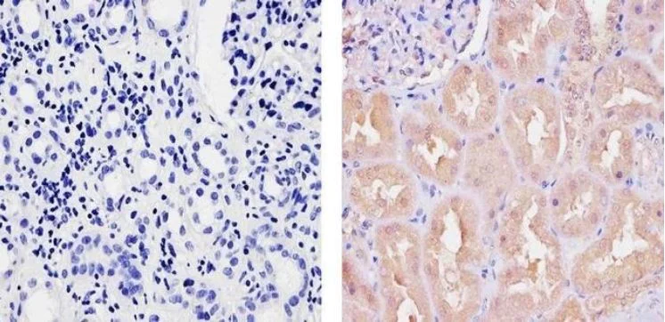
Immunohistochemistry analysis of Ubiquilin showing staining in the cytoplasm and nucleus of paraffin-embedded human kidney tissue (right) compared to a negative control without primary antibody (left). To expose target proteins, antigen retrieval was performed using 10mM sodium citrate (pH 6.0), microwaved for 8-15 min. Following antigen retrieval, tissues were blocked in 3% H2O2-methanol for 15 min at room temperature, washed with ddH2O and PBS, and then probed with ab3341 diluted in 3% BSA-PBS at a dilution of 1 : 100 for 1 hour at 37°C in a humidified chamber. Tissues were washed extensively in PBST and detection was performed using an HRP-conjugated secondary antibody followed by colorimetric detection using a DAB kit. Tissues were counterstained with hematoxylin and dehydrated with ethanol and xylene to prep for mounting.

Immunohistochemistry (Formalin/PFA-fixed paraffin-embedded sections) - Anti-Ubiquilin/UBQLN1 antibody (AB3341)
  • IHC-P

Supplier Data

Immunohistochemistry (Formalin/PFA-fixed paraffin-embedded sections) - Anti-Ubiquilin/UBQLN1 antibody (AB3341)

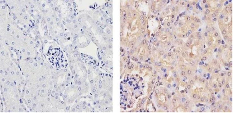
Immunohistochemistry analysis of Ubiquilin showing staining in the cytoplasm and nucleus of paraffin-embedded mouse kidney tissue (right) compared to a negative control without primary antibody (left). To expose target proteins, antigen retrieval was performed using 10mM sodium citrate (pH 6.0), microwaved for 8-15 min. Following antigen retrieval, tissues were blocked in 3% H2O2-methanol for 15 min at room temperature, washed with ddH2O and PBS, and then probed with ab3341 diluted in 3% BSA-PBS at a dilution of 1 : 20 for 1 hour at 37°C in a humidified chamber. Tissues were washed extensively in PBST and detection was performed using an HRP-conjugated secondary antibody followed by colorimetric detection using a DAB kit. Tissues were counterstained with hematoxylin and dehydrated with ethanol and xylene to prep for mounting.

Western blot - Anti-Ubiquilin/UBQLN1 antibody (AB3341)
  • WB

Unknown

Western blot - Anti-Ubiquilin/UBQLN1 antibody (AB3341)

All lanes:

Western blot - Anti-Ubiquilin/UBQLN1 antibody (ab3341)

All lanes:

CHO (Chinese hamster ovary cell line) whole cell lysate

Predicted band size: 63 kDa

false

Key facts

Host species

Rabbit

Clonality

Polyclonal

Isotype

IgG

Carrier free

No

Reacts with

Mouse, Human, Chinese hamster

Applications

WB, IHC-P

applications

Immunogen

The exact immunogen used to generate this antibody is proprietary information.

Reactivity data

{ "title": "Reactivity Data", "filters": { "stats": ["", "Species", "Dilution Info", "Notes"], "tabs": { "all-applications": {"fullname" : "All Applications", "shortname": "All Applications"}, "IHCP" : {"fullname" : "Immunohistochemistry (Formalin/PFA-fixed paraffin-embedded sections)", "shortname":"IHC-P"}, "WB" : {"fullname" : "Western blot", "shortname":"WB"} }, "product-promise": { "all": "all", "testedAndGuaranteed": "tested", "guaranteed": "expected", "predicted": "predicted", "notRecommended": "not-recommended" } }, "values": { "Human": { "IHCP-species-checked": "testedAndGuaranteed", "IHCP-species-dilution-info": "1/20 - 1/100", "IHCP-species-notes": "<p></p> Perform heat-mediated antigen retrieval with citrate buffer pH 6 before commencing with IHC staining protocol.", "WB-species-checked": "guaranteed", "WB-species-dilution-info": "", "WB-species-notes": "" }, "Mouse": { "IHCP-species-checked": "testedAndGuaranteed", "IHCP-species-dilution-info": "1/20 - 1/100", "IHCP-species-notes": "<p></p> Perform heat-mediated antigen retrieval with citrate buffer pH 6 before commencing with IHC staining protocol.", "WB-species-checked": "guaranteed", "WB-species-dilution-info": "", "WB-species-notes": "" }, "Chinese hamster": { "IHCP-species-checked": "guaranteed", "IHCP-species-dilution-info": "", "IHCP-species-notes": "", "WB-species-checked": "testedAndGuaranteed", "WB-species-dilution-info": "1 µg/mL", "WB-species-notes": "<p>By Western blot, this antibody detects an ~63 kDa protein representing Ubiquilin from CHO cell extract.</p>" } } }

Properties and storage information

Form
Liquid
Purification technique
Affinity purification Immunogen
Storage buffer
Constituents: 99% PBS, 0.1% BSA
Shipped at conditions
Blue Ice
Appropriate short-term storage duration
1-2 weeks
Appropriate short-term storage conditions
+4°C
Appropriate long-term storage conditions
-20°C
Aliquoting information
Upon delivery aliquot
Storage information
Avoid freeze / thaw cycle

Supplementary information

This supplementary information is collated from multiple sources and compiled automatically.

Ubiquilin also known as UBQLN1 is a protein that plays a significant role in protein quality control processes. It has a molecular mass of approximately 62 kDa. Ubiquilin is widely expressed in various human tissues notably in the brain heart and skeletal muscle. It facilitates the delivery of misfolded proteins to the proteasome for degradation assisting in maintaining protein homeostasis. This function is essential in preventing the accumulation of dysfunctional proteins which could otherwise be toxic to cells.
Biological function summary

Ubiquilin/UBQLN1 serves as a shuttle factor a component in the intricate network regulating protein degradation. It associates with ubiquitinated proteins and guides them to proteasomes or autophagosomes for disposal. Moreover Ubiquilin forms a complex with heat shock proteins and proteasome components enhancing its role in managing cellular protein quality control. Its activity actively influences proteostasis ensuring the careful balance of protein synthesis and breakdown.

Pathways

Ubiquilin/UBQLN1 is integral to the ubiquitin-proteasome system and autophagy pathways. In these pathways Ubiquilin partners with proteins such as ubiquitin ligases and various adaptor proteins to mediate the clearance of misfolded or excess proteins therefore preventing cellular damage. Its interaction with the chaperone HSP70 is critical for delivering proteins tagged for degradation. Through these pathways Ubiquilin influences cellular stress responses and protein turnover maintaining cellular function and health.

Abnormalities in Ubiquilin/UBQLN1 have been associated with neurodegenerative diseases and cancer. Altered UBQLN1 function or expression contributes to Alzheimer's disease linked to protein aggregation and neuronal damage. Additionally mutations or dysregulation of UBQLN1 are observed in certain cancers where disrupted protein homeostasis promotes tumorigenesis. Here it's involvement with proteins like presenilin-1 and the amyloid precursor protein emphasizes its contributions to disease states making it a focus for therapeutic research.

Product protocols

For this product, it's our understanding that no specific protocols are required. You can visit:

Target data

Plays an important role in the regulation of different protein degradation mechanisms and pathways including ubiquitin-proteasome system (UPS), autophagy and endoplasmic reticulum-associated protein degradation (ERAD) pathway. Mediates the proteasomal targeting of misfolded or accumulated proteins for degradation by binding (via UBA domain) to their polyubiquitin chains and by interacting (via ubiquitin-like domain) with the subunits of the proteasome. Plays a role in the ERAD pathway via its interaction with ER-localized proteins UBXN4, VCP and HERPUD1 and may form a link between the polyubiquitinated ERAD substrates and the proteasome. Involved in the regulation of macroautophagy and autophagosome formation; required for maturation of autophagy-related protein LC3 from the cytosolic form LC3-I to the membrane-bound form LC3-II and may assist in the maturation of autophagosomes to autolysosomes by mediating autophagosome-lysosome fusion. Negatively regulates the TICAM1/TRIF-dependent toll-like receptor signaling pathway by decreasing the abundance of TICAM1 via the autophagic pathway. Promotes the ubiquitination and lysosomal degradation of ORAI1, consequently down-regulating the ORAI1-mediated Ca2+ mobilization. Suppresses the maturation and proteasomal degradation of amyloid beta A4 protein (A4) by stimulating the lysine 63 (K63)-linked polyubiquitination. Delays the maturation of A4 by sequestering it in the Golgi apparatus and preventing its transport to the cell surface for subsequent processing (By similarity). Links CD47 to the cytoskeleton (PubMed : 10549293). Ubiquitinates BCL2L10 and thereby stabilizes protein abundance (By similarity).. Isoform 1. Plays a role in unfolded protein response (UPR) by attenuating the induction of UPR-inducible genes, DDTI3/CHOP, HSPA5 and PDIA2 during ER stress (By similarity). Plays a key role in the regulation of the levels of PSEN1 by targeting its accumulation to aggresomes which may then be removed from cells by autophagocytosis (By similarity).. Isoform 2. Plays a role in unfolded protein response (UPR) by attenuating the induction of UPR-inducible genes, DDTI3/CHOP, HSPA5 and PDIA2 during ER stress.
See full target information Ubqln1

Publications (8)

Recent publications for all applications. Explore the full list and refine your search

Oncology reports 46: PubMed34528694

2021

Abnormally elevated ubiquilin‑1 expression in breast cancer regulates metastasis and stemness via AKT signaling.

Applications

Unspecified application

Species

Unspecified reactive species

Xiaoyue Feng,Anna Cao,Tao Qin,Qingqing Zhang,Shujun Fan,Bo Wang,Bo Song,Xiaotang Yu,Lianhong Li

Journal of thoracic disease 12:5887-5895 PubMed33209421

2020

The impacts of ubiquilin 1 (UBQLN1) knockdown on cells viability, proliferation, and apoptosis are mediated by p53 in A549 lung cancer cells.

Applications

Unspecified application

Species

Unspecified reactive species

Xinghua Zhang,Yunshu Su,Huiqing Lin,Xiaoli Yao

Molecular neurobiology 57:937-948 PubMed31620993

2019

Attenuation of Ischemic Stroke-Caused Brain Injury by a Monoamine Oxidase Inhibitor Involves Improved Proteostasis and Reduced Neuroinflammation.

Applications

Unspecified application

Species

Unspecified reactive species

Yanying Liu,Shelley Feng,Kalpana Subedi,Hongmin Wang

The Journal of clinical investigation 128:5294-5306 PubMed30204128

2018

Inadequate ubiquitination-proteasome coupling contributes to myocardial ischemia-reperfusion injury.

Applications

Unspecified application

Species

Unspecified reactive species

Chengjun Hu,Yihao Tian,Hongxin Xu,Bo Pan,Erin M Terpstra,Penglong Wu,Hongmin Wang,Faqian Li,Jinbao Liu,Xuejun Wang

Journal of Alzheimer's disease : JAD 59:575-590 PubMed28598849

2017

Overexpression of Ubiquilin-1 Alleviates Alzheimer's Disease-Caused Cognitive and Motor Deficits and Reduces Amyloid-β Accumulation in Mice.

Applications

WB

Species

Unspecified reactive species

Oludotun O Adegoke,Fangfang Qiao,Yanying Liu,Kirsty Longley,Shelley Feng,Hongmin Wang

Neurobiology of disease 48:391-8 PubMed22766032

2012

Association of UBQLN1 mutation with Brown-Vialetto-Van Laere syndrome but not typical ALS.

Applications

Unspecified application

Species

Unspecified reactive species

Paloma González-Pérez,Yubing Lu,Ru-Ju Chian,Peter C Sapp,Rudolph E Tanzi,Lars Bertram,Diane McKenna-Yasek,Fen-Biao Gao,Robert H Brown

Neuropharmacology 59:167-71 PubMed20470805

2010

Early developmental alterations in GABAergic protein expression in fragile X knockout mice.

Applications

WB

Species

Mouse

Daniel C Adusei,Laura K K Pacey,Duke Chen,David R Hampson

The Journal of biological chemistry 281:32240-53 PubMed16945923

2006

Ubiquilin 1 modulates amyloid precursor protein trafficking and Abeta secretion.

Applications

ICC/IF

Species

Mouse

Mikko Hiltunen,Alice Lu,Anne V Thomas,Donna M Romano,Minji Kim,Phill B Jones,Zhongcong Xie,Maria Z Kounnas,Steven L Wagner,Oksana Berezovska,Bradley T Hyman,Giuseppina Tesco,Lars Bertram,Rudolph E Tanzi
View all publications

Product promise

We are committed to supporting your work with high-quality reagents, and we're here for you every step of the way. In the unlikely event that one of our products does not perform as expected, you're protected by our Product Promise.
For full details, please see our Terms & Conditions

Please note: All products are 'FOR RESEARCH USE ONLY. NOT FOR USE IN DIAGNOSTIC OR THERAPEUTIC PROCEDURES'.

For licensing inquiries, please contact partnerships@abcam.com