JavaScript is disabled in your browser. Please enable JavaScript to view this website.
AB96333

Anti-Ubiquinol-Cytochrome C Reductase Core Protein I antibody

4

(1 Review)

|

(5 Publications)

Rabbit Polyclonal Ubiquinol-Cytochrome C Reductase Core Protein I antibody. Suitable for IHC-P, WB and reacts with Mouse, Human samples. Cited in 5 publications. Immunogen corresponding to Recombinant Fragment Protein within Human UQCRC1 aa 1-200.

View Alternative Names

Complex III subunit 1, Core protein I, Ubiquinol-cytochrome-c reductase complex core protein 1, UQCRC1

2 Images
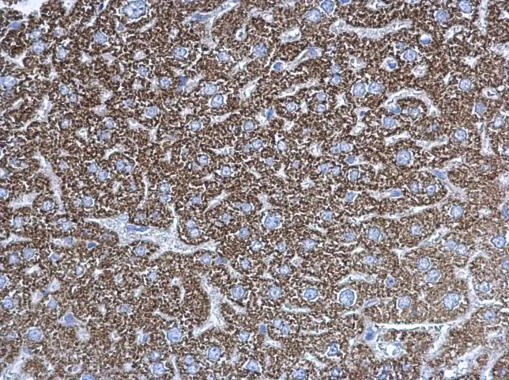
Immunohistochemistry (Formalin/PFA-fixed paraffin-embedded sections) - Anti-Ubiquinol-Cytochrome C Reductase Core Protein I antibody (AB96333)
  • IHC-P

Supplier Data

Immunohistochemistry (Formalin/PFA-fixed paraffin-embedded sections) - Anti-Ubiquinol-Cytochrome C Reductase Core Protein I antibody (AB96333)

Immunohistochemical analysis of PFA fixed, paraffin-embedded mouse liver tissue labeling Ubiquinol-Cytochrome C Reductase Core Protein 1 with ab96333 at 1/500 dilution.

Western blot - Anti-Ubiquinol-Cytochrome C Reductase Core Protein I antibody (AB96333)
  • WB

Unknown

Western blot - Anti-Ubiquinol-Cytochrome C Reductase Core Protein I antibody (AB96333)

7.5% SDS PAGE

All lanes:

Western blot - Anti-Ubiquinol-Cytochrome C Reductase Core Protein I antibody (ab96333) at 1/1000 dilution

All lanes:

HepG2 whole cell lysate at 30 µg

Predicted band size: 53 kDa

false

Key facts

Host species

Rabbit

Clonality

Polyclonal

Isotype

IgG

Carrier free

No

Reacts with

Mouse, Human

Applications

IHC-P, WB

applications

Immunogen

Recombinant Fragment Protein within Human UQCRC1 aa 1-200. The exact immunogen used to generate this antibody is proprietary information.

P31930

Reactivity data

{ "title": "Reactivity Data", "filters": { "stats": ["", "Species", "Dilution Info", "Notes"], "tabs": { "all-applications": {"fullname" : "All Applications", "shortname": "All Applications"}, "IHCP" : {"fullname" : "Immunohistochemistry (Formalin/PFA-fixed paraffin-embedded sections)", "shortname":"IHC-P"}, "WB" : {"fullname" : "Western blot", "shortname":"WB"} }, "product-promise": { "all": "all", "testedAndGuaranteed": "tested", "guaranteed": "expected", "predicted": "predicted", "notRecommended": "not-recommended" } }, "values": { "Human": { "IHCP-species-checked": "guaranteed", "IHCP-species-dilution-info": "", "IHCP-species-notes": "", "WB-species-checked": "testedAndGuaranteed", "WB-species-dilution-info": "1/500 - 1/3000", "WB-species-notes": "<p></p>" }, "Mouse": { "IHCP-species-checked": "testedAndGuaranteed", "IHCP-species-dilution-info": "", "IHCP-species-notes": "<p></p>", "WB-species-checked": "testedAndGuaranteed", "WB-species-dilution-info": "1/500 - 1/3000", "WB-species-notes": "<p></p>" }, "Rat": { "IHCP-species-checked": "predicted", "IHCP-species-dilution-info": "", "IHCP-species-notes": "", "WB-species-checked": "predicted", "WB-species-dilution-info": "", "WB-species-notes": "" }, "Cow": { "IHCP-species-checked": "predicted", "IHCP-species-dilution-info": "", "IHCP-species-notes": "", "WB-species-checked": "predicted", "WB-species-dilution-info": "", "WB-species-notes": "" }, "Monkey": { "IHCP-species-checked": "predicted", "IHCP-species-dilution-info": "", "IHCP-species-notes": "", "WB-species-checked": "predicted", "WB-species-dilution-info": "", "WB-species-notes": "" } } }

Properties and storage information

Form
Liquid
Purification technique
Affinity purification Immunogen
Storage buffer
pH: 7 Preservative: 0.01% Thimerosal (merthiolate) Constituents: PBS, 20% Glycerol (glycerin, glycerine)
Shipped at conditions
Blue Ice
Appropriate short-term storage conditions
+4°C
Appropriate long-term storage conditions
-20°C
Aliquoting information
Upon delivery aliquot
Storage information
Avoid freeze / thaw cycle

Supplementary information

This supplementary information is collated from multiple sources and compiled automatically.

Ubiquinol-Cytochrome C Reductase Core Protein I also known as Core Protein I of the cytochrome c reductase complex functions as part of the mitochondrial electron transport chain. It has a molecular weight of around 52 kDa. The protein plays an integral role within the inner mitochondrial membrane primarily performing mechanical roles in electron transfer. Ubiquinol-Cytochrome C Reductase Core Protein I also goes by its abbreviated symbol UQCRC1 and is expressed broadly across tissues with high energy demands.
Biological function summary

UQCRC1 acts as a core component of Complex III also referred to as Cytochrome bc1 complex. This complex sits centrally within the mitochondrial respiratory chain catalyzing the transfer of electrons from ubiquinol to cytochrome c. By facilitating this electron transfer UQCRC1 aids in generating a proton gradient across the inner mitochondrial membrane essential for ATP synthesis during oxidative phosphorylation.

Pathways

UQCRC1 finds itself prominently embedded in the oxidative phosphorylation and electron transport chain pathways. It directly interacts with other proteins such as cytochrome c and cytochrome reductase emphasizing its cooperative function in maintaining cellular energy balance. The seamless integration of UQCRC1 into these pathways highlights its importance in sustaining efficient mitochondrial operation a critical element for cellular respiration.

UQCRC1 shows connections to conditions involving mitochondrial dysfunction such as Leigh syndrome and mitochondrial myopathy. These disorders sometimes exhibit impaired electron transport impacting ATP production. Proteins like cytochrome c and other cytochrome reductase components often participate in these disorder pathways indicating potential targets for therapeutic interventions that aim to restore or augment mitochondrial function.

Product protocols

For this product, it's our understanding that no specific protocols are required. You can visit:

Target data

Component of the ubiquinol-cytochrome c oxidoreductase, a multisubunit transmembrane complex that is part of the mitochondrial electron transport chain which drives oxidative phosphorylation. The respiratory chain contains 3 multisubunit complexes succinate dehydrogenase (complex II, CII), ubiquinol-cytochrome c oxidoreductase (cytochrome b-c1 complex, complex III, CIII) and cytochrome c oxidase (complex IV, CIV), that cooperate to transfer electrons derived from NADH and succinate to molecular oxygen, creating an electrochemical gradient over the inner membrane that drives transmembrane transport and the ATP synthase. The cytochrome b-c1 complex catalyzes electron transfer from ubiquinol to cytochrome c, linking this redox reaction to translocation of protons across the mitochondrial inner membrane, with protons being carried across the membrane as hydrogens on the quinol. In the process called Q cycle, 2 protons are consumed from the matrix, 4 protons are released into the intermembrane space and 2 electrons are passed to cytochrome c (By similarity). The 2 core subunits UQCRC1/QCR1 and UQCRC2/QCR2 are homologous to the 2 mitochondrial-processing peptidase (MPP) subunits beta-MPP and alpha-MPP respectively, and they seem to have preserved their MPP processing properties (By similarity). May be involved in the in situ processing of UQCRFS1 into the mature Rieske protein and its mitochondrial targeting sequence (MTS)/subunit 9 when incorporated into complex III (Probable). Seems to play an important role in the maintenance of proper mitochondrial function in nigral dopaminergic neurons (PubMed : 33141179).
See full target information UQCRC1

Publications (5)

Recent publications for all applications. Explore the full list and refine your search

Frontiers in genetics 10:1393 PubMed32082360

2020

RNase H1 Regulates Mitochondrial Transcription and Translation the Degradation of 7S RNA.

Applications

Unspecified application

Species

Unspecified reactive species

Aurelio Reyes,Joanna Rusecka,Katarzyna Tońska,Massimo Zeviani

Scientific reports 9:13236 PubMed31520000

2019

The redox metabolic pathways function to limit Anaplasma phagocytophilum infection and multiplication while preserving fitness in tick vector cells.

Applications

Unspecified application

Species

Unspecified reactive species

Pilar Alberdi,Alejandro Cabezas-Cruz,Pedro Espinosa Prados,Margarita Villar Rayo,Sara Artigas-Jerónimo,José de la Fuente

Cellular and molecular life sciences : CMLS 76:1381-1396 PubMed30666338

2019

Critical role of UQCRC1 in embryo survival, brain ischemic tolerance and normal cognition in mice.

Applications

Unspecified application

Species

Unspecified reactive species

Weiran Shan,Jun Li,Wenhao Xu,Hong Li,Zhiyi Zuo

Cell death & disease 5:e1367 PubMed25118927

2014

Autophagy promotes paclitaxel resistance of cervical cancer cells: involvement of Warburg effect activated hypoxia-induced factor 1-α-mediated signaling.

Applications

WB

Species

Human

X Peng,F Gong,Y Chen,Y Jiang,J Liu,M Yu,S Zhang,M Wang,G Xiao,H Liao

Journal of proteomics 77:59-67 PubMed22820535

2012

Identification of differentially expressed proteins between bull X and Y spermatozoa.

Applications

WB

Species

Unspecified reactive species

Xiaoli Chen,Huabin Zhu,Chengjiang Wu,Weidong Han,Haisheng Hao,Xueming Zhao,Weihua Du,Tong Qin,Yan Liu,Dong Wang
View all publications

Product promise

We are committed to supporting your work with high-quality reagents, and we're here for you every step of the way. In the unlikely event that one of our products does not perform as expected, you're protected by our Product Promise.
For full details, please see our Terms & Conditions

Please note: All products are 'FOR RESEARCH USE ONLY. NOT FOR USE IN DIAGNOSTIC OR THERAPEUTIC PROCEDURES'.

For licensing inquiries, please contact partnerships@abcam.com