JavaScript is disabled in your browser. Please enable JavaScript to view this website.
AB33893

Anti-Ubiquitin antibody [EP296Y]

  • BOND RX™ Validated
  • 20ul selling size
  • RabMAb
  • Recombinant
  • What is this?

1

(1 Review)

|

(8 Publications)

Rabbit Recombinant Monoclonal UBB antibody. Suitable for IHC-P, WB and reacts with Mouse, Human samples. Cited in 8 publications.
4 Images
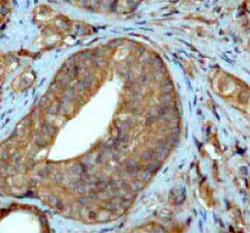
Immunohistochemistry (Formalin/PFA-fixed paraffin-embedded sections) - Anti-Ubiquitin antibody [EP296Y] (AB33893)
  • IHC-P

Unknown

Immunohistochemistry (Formalin/PFA-fixed paraffin-embedded sections) - Anti-Ubiquitin antibody [EP296Y] (AB33893)

ab33893 at a 1 : 250 dilution staining Ubiquitin in human prostate adenocarcinoma using Immunohistochemistry Paraffin Embedded Tissue.

Perform heat mediated antigen retrieval with citrate buffer pH 6 before commencing with IHC staining protocol.

Immunohistochemistry (Formalin/PFA-fixed paraffin-embedded sections) - Anti-Ubiquitin antibody [EP296Y] (AB33893)
  • IHC-P

Unknown

Immunohistochemistry (Formalin/PFA-fixed paraffin-embedded sections) - Anti-Ubiquitin antibody [EP296Y] (AB33893)

IHC image of Ubiquitin staining in mouse Alzheimer brain formalin fixed paraffin embedded tissue section performed on a Leica Bond™ system using the standard protocol F. The section was pre-treated using heat mediated antigen retrieval with sodium citrate buffer (pH6 epitope retrieval solution 1) for 20 mins. The section was then incubated with ab33893 1in500 for 15 mins at room temperature and detected using an HRP conjugated compact polymer system. DAB was used as the chromogen. The section was then counterstained with haematoxylin and mounted with DPX.

For other IHC staining systems (automated and non-automated) customers should optimize variable parameters such as antigen retrieval conditions primary antibody concentration and antibody incubation times.

Western blot - Anti-Ubiquitin antibody [EP296Y] (AB33893)
  • WB

Lab

Western blot - Anti-Ubiquitin antibody [EP296Y] (AB33893)

This blot was produced using a 4-12% Bis-tris gel under the MES buffer system. The gel was run at 200V for 35 minutes before being transferred onto a nitrocellulose membrane at 30V for 70 minutes. ab33893 and ab8245 (loading control to GAPDH) were diluted 1/1000 and 1/10 000 respectively and incubated overnight at 4°C. Blots were developed with goat anti-rabbit IgG (H + L) and goat anti-mouse IgG (H + L) secondary antibodies at 1/10 000 dilution for 1 h at room temperature before imaging using the Licor Odyssey CLx.

All lanes:

Western blot - Anti-Ubiquitin antibody [EP296Y] (ab33893) at 1/1000 dilution

Lane 1:

MCF-7 Whole cell lysate at 20 µg

Lane 2:

MCF-7 Whole cell lysate + (50 uM 90 min) at 20 µg

Lane 3:

Mouse brain tissue lysate at 20 µg

Predicted band size: 26 kDa

false

Western blot - Anti-Ubiquitin antibody [EP296Y] (AB33893)
  • WB

Unknown

Western blot - Anti-Ubiquitin antibody [EP296Y] (AB33893)

All lanes:

Western blot - Anti-Ubiquitin antibody [EP296Y] (ab33893) at 1/2000 dilution

All lanes:

HeLa (Human cervix adenocarcinoma epithelial cell) whole cell lysate

Predicted band size: 26 kDa

Observed band size: 8.5 kDa

false

  • Carrier free

    Anti-Ubiquitin antibody [EP296Y] - BSA and Azide free

Key facts

Host species

Rabbit

Clonality

Monoclonal

Clone number

EP296Y

Isotype

IgG

Carrier free

No

Reacts with

Mouse, Human

Applications

IHC-P, WB

applications

Immunogen

The exact immunogen used to generate this antibody is proprietary information.

Specificity

The antibody recognizes only mono-ubiquitinated molecules.

Reactivity data

{ "title": "Reactivity Data", "filters": { "stats": ["", "Species", "Dilution Info", "Notes"], "tabs": { "all-applications": {"fullname" : "All Applications", "shortname": "All Applications"}, "IHCP" : {"fullname" : "Immunohistochemistry (Formalin/PFA-fixed paraffin-embedded sections)", "shortname":"IHC-P"}, "IP" : {"fullname" : "Immunoprecipitation", "shortname":"IP"}, "FlowCyt" : {"fullname" : "Flow Cytometry", "shortname":"Flow Cyt"}, "WB" : {"fullname" : "Western blot", "shortname":"WB"}, "ICCIF" : {"fullname" : "Immunocytochemistry/ Immunofluorescence", "shortname":"ICC/IF"} }, "product-promise": { "all": "all", "testedAndGuaranteed": "tested", "guaranteed": "expected", "predicted": "predicted", "notRecommended": "not-recommended" } }, "values": { "Human": { "IHCP-species-checked": "testedAndGuaranteed", "IHCP-species-dilution-info": "1/250 - 1/500", "IHCP-species-notes": "<p></p>", "IP-species-checked": "notRecommended", "IP-species-dilution-info": "", "IP-species-notes": "<p></p>", "FlowCyt-species-checked": "notRecommended", "FlowCyt-species-dilution-info": "", "FlowCyt-species-notes": "<p></p>", "WB-species-checked": "testedAndGuaranteed", "WB-species-dilution-info": "1/1000 - 1/10000", "WB-species-notes": "<p></p>", "ICCIF-species-checked": "notRecommended", "ICCIF-species-dilution-info": "", "ICCIF-species-notes": "<p></p>" }, "Mouse": { "IHCP-species-checked": "testedAndGuaranteed", "IHCP-species-dilution-info": "1/250 - 1/500", "IHCP-species-notes": "<p></p>", "IP-species-checked": "notRecommended", "IP-species-dilution-info": "", "IP-species-notes": "<p></p>", "FlowCyt-species-checked": "notRecommended", "FlowCyt-species-dilution-info": "", "FlowCyt-species-notes": "<p></p>", "WB-species-checked": "testedAndGuaranteed", "WB-species-dilution-info": "1/1000 - 1/10000", "WB-species-notes": "<p></p>", "ICCIF-species-checked": "notRecommended", "ICCIF-species-dilution-info": "", "ICCIF-species-notes": "<p></p>" }, "Rat": { "IHCP-species-checked": "predicted", "IHCP-species-dilution-info": "", "IHCP-species-notes": "", "IP-species-checked": "notRecommended", "IP-species-dilution-info": "", "IP-species-notes": "", "FlowCyt-species-checked": "notRecommended", "FlowCyt-species-dilution-info": "", "FlowCyt-species-notes": "", "WB-species-checked": "predicted", "WB-species-dilution-info": "", "WB-species-notes": "", "ICCIF-species-checked": "notRecommended", "ICCIF-species-dilution-info": "", "ICCIF-species-notes": "" } } }

Product details

Patented technology
Our RabMAb® technology is a patented hybridoma-based technology for making rabbit monoclonal antibodies. For details on our patents, please refer to RabMAb® patents.

What are the advantages of a recombinant monoclonal antibody?
This product is a recombinant monoclonal antibody, which offers several advantages including:

  • - High batch-to-batch consistency and reproducibility
  • - Improved sensitivity and specificity
  • - Long-term security of supply
  • - Animal-free batch production

For more information, read more on recombinant antibodies.

Properties and storage information

Form
Liquid
Purification technique
Affinity purification Protein A
Storage buffer
pH: 7.2 - 7.4 Preservative: 0.01% Sodium azide Constituents: PBS, 50% Tissue culture supernatant, 40% Glycerol (glycerin, glycerine), 0.05% BSA
Shipped at conditions
Blue Ice
Appropriate short-term storage conditions
+4°C
Appropriate long-term storage conditions
-20°C
Aliquoting information
Upon delivery aliquot
Storage information
Avoid freeze / thaw cycle

Supplementary information

This supplementary information is collated from multiple sources and compiled automatically.

Ubiquitin is a small regulatory protein found in almost all tissues of eukaryotic organisms. It has a molecular weight of approximately 8.6 kilodaltons. It functions mechanically by attaching to proteins through a process called ubiquitination which involves the formation of an isopeptide bond. Ubiquitin molecules can form polyubiquitin chains through different lysine residues such as K48 and K63 that determine their function. These chains label substrate proteins for various fates including degradation. Ubiquitin is expressed ubiquitously in cells reflecting its essential role in maintaining protein homeostasis.
Biological function summary

The ubiquitin system plays a critical role in regulating protein turnover and quality control within cells. It is part of a larger complex known as the ubiquitin-proteasome system (UPS) which is responsible for degrading proteins that need to be turned over. This process is essential for cell cycle control response to oxidative stress and DNA repair. Ubiquitin's role in tagging proteins for degradation or signaling allows cells to respond quickly to changes in their environment and maintain balance.

Pathways

Ubiquitin functions in several important biological pathways including the Wnt and NF-kB pathways. In the Wnt signaling pathway ubiquitination modulates the stability of key components thereby affecting the pathway's overall activity. In the NF-kB signaling pathway ubiquitin labels inhibitor proteins for degradation which releases and activates NF-kB. These pathways highlight ubiquitin's interaction with proteins such as beta-catenin in Wnt and IkB in NF-kB illustrating how it regulates diverse cellular processes.

The dysfunction of the ubiquitin system is linked to neurodegenerative diseases and cancers. Ubiquitin-related defects in protein degradation can lead to the buildup of unwanted proteins contributing to conditions like Parkinson's disease. Connections with cancer are evident as ubiquitin controls cell cycle proteins and aberrant ubiquitination may drive tumor growth and progression. The protein p53 known to be controlled by ubiquitination plays a significant role in cancer related mechanisms when dysregulated. Understanding and targeting ubiquitin-related pathways may provide new therapeutic opportunities for treating these conditions.

Product protocols

For this product, it's our understanding that no specific protocols are required. You can visit:

Target data

Ubiquitin. Exists either covalently attached to another protein, or free (unanchored). When covalently bound, it is conjugated to target proteins via an isopeptide bond either as a monomer (monoubiquitin), a polymer linked via different Lys residues of the ubiquitin (polyubiquitin chains) or a linear polymer linked via the initiator Met of the ubiquitin (linear polyubiquitin chains). Polyubiquitin chains, when attached to a target protein, have different functions depending on the Lys residue of the ubiquitin that is linked : Lys-6-linked may be involved in DNA repair; Lys-11-linked is involved in ERAD (endoplasmic reticulum-associated degradation) and in cell-cycle regulation; Lys-29-linked is involved in proteotoxic stress response and cell cycle; Lys-33-linked is involved in kinase modification; Lys-48-linked is involved in protein degradation via the proteasome; Lys-63-linked is involved in endocytosis, DNA-damage responses as well as in signaling processes leading to activation of the transcription factor NF-kappa-B. Linear polymer chains formed via attachment by the initiator Met lead to cell signaling. Ubiquitin is usually conjugated to Lys residues of target proteins, however, in rare cases, conjugation to Cys or Ser residues has been observed. When polyubiquitin is free (unanchored-polyubiquitin), it also has distinct roles, such as in activation of protein kinases, and in signaling.
See full target information UBB

Publications (8)

Recent publications for all applications. Explore the full list and refine your search

Nucleic acids research 51:1050-1066 PubMed36660824

2023

A bio-orthogonal linear ubiquitin probe identifies STAT3 as a direct substrate of OTULIN in glioblastoma.

Applications

Unspecified application

Species

Unspecified reactive species

Xianli Du,Jing Pang,Bin Gu,Tian Si,Yan Chang,Tianqi Li,Min Wu,Zicheng Wang,Yuxia Wang,Jiannan Feng,Ning Wu,Jianghong Man,Huiyan Li,Ailing Li,Tong Zhang,Bo Wang,Xiaotao Duan

Molecular cell 66:503-516.e5 PubMed28525742

2017

Ubiquitin Modification by the E3 Ligase/ADP-Ribosyltransferase Dtx3L/Parp9.

Applications

Unspecified application

Species

Unspecified reactive species

Chun-Song Yang,Kasey Jividen,Adam Spencer,Natalia Dworak,Li Ni,Luke T Oostdyk,Mandovi Chatterjee,Beata Kuśmider,Brian Reon,Mahmut Parlak,Vera Gorbunova,Tarek Abbas,Erin Jeffery,Nicholas E Sherman,Bryce M Paschal

Nature communications 7:13122 PubMed27959342

2016

Ailanthone targets p23 to overcome MDV3100 resistance in castration-resistant prostate cancer.

Applications

Unspecified application

Species

Unspecified reactive species

Yundong He,Shihong Peng,Jinhua Wang,Huang Chen,Xiaonan Cong,Ang Chen,Meichun Hu,Min Qin,Haigang Wu,Shuman Gao,Liguo Wang,Xin Wang,Zhengfang Yi,Mingyao Liu

Glia 59:1732-43 PubMed21812036

2011

Disruption of astrocytic glutamine turnover by manganese is mediated by the protein kinase C pathway.

Applications

WB

Species

Human

Marta Sidoryk-Wegrzynowicz,Eunsook Lee,Ni Mingwei,Michael Aschner

Molecular and cellular neurosciences 44:297-306 PubMed20394820

2010

Serotonergic dystrophy induced by excess serotonin.

Applications

Unspecified application

Species

Unspecified reactive species

Elizabeth A Daubert,Daniel S Heffron,James W Mandell,Barry G Condron

Oncogene 29:2252-61 PubMed20101219

2010

NUB1 promotes cytoplasmic localization of p53 through cooperation of the NEDD8 and ubiquitin pathways.

Applications

WB

Species

Unspecified reactive species

G Liu,D P Xirodimas

The Journal of clinical investigation 119:650-60 PubMed19229105

2009

Parkin, PINK1, and DJ-1 form a ubiquitin E3 ligase complex promoting unfolded protein degradation.

Applications

Unspecified application

Species

Unspecified reactive species

Hui Xiong,Danling Wang,Linan Chen,Yeun Su Choo,Hong Ma,Chengyuan Tang,Kun Xia,Wei Jiang,Ze'ev Ronai,Xiaoxi Zhuang,Zhuohua Zhang

Molecular biology of the cell 20:410-8 PubMed18946085

2008

RanBP2 and SENP3 function in a mitotic SUMO2/3 conjugation-deconjugation cycle on Borealin.

Applications

Unspecified application

Species

Unspecified reactive species

Ulf R Klein,Markus Haindl,Erich A Nigg,Stefan Muller
View all publications

Product promise

We are committed to supporting your work with high-quality reagents, and we're here for you every step of the way. In the unlikely event that one of our products does not perform as expected, you're protected by our Product Promise.
For full details, please see our Terms & Conditions

Please note: All products are 'FOR RESEARCH USE ONLY. NOT FOR USE IN DIAGNOSTIC OR THERAPEUTIC PROCEDURES'.

For licensing inquiries, please contact partnerships@abcam.com