JavaScript is disabled in your browser. Please enable JavaScript to view this website.
AB248773

Anti-Ubiquitin antibody [EPR8590] - BSA and Azide free

Be the first to review this product! Submit a review

|

(1 Publication)

Rabbit Recombinant Monoclonal UBC antibody. Carrier free. Suitable for IHC-P, WB and reacts with Human, Mouse samples. Cited in 1 publication.

View Alternative Names

Polyubiquitin-C, UBC

3 Images
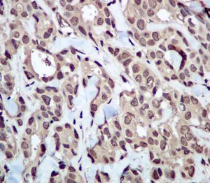
Immunohistochemistry (Formalin/PFA-fixed paraffin-embedded sections) - Anti-Ubiquitin antibody [EPR8590] - BSA and Azide free (AB248773)
  • IHC-P

Unknown

Immunohistochemistry (Formalin/PFA-fixed paraffin-embedded sections) - Anti-Ubiquitin antibody [EPR8590] - BSA and Azide free (AB248773)

This data was developed using ab137025, the same antibody clone in a different buffer formulation.

Immunohistochemical analysis of paraffin-embedded Human breast carcinoma tissue labelling Ubiquitin with ab137025 at 1/100 dilution.

Perform heat mediated antigen retrieval with citrate buffer pH 6 before commencing with IHC staining protocol.

Western blot - Anti-Ubiquitin antibody [EPR8590] - BSA and Azide free (AB248773)
  • WB

Lab

Western blot - Anti-Ubiquitin antibody [EPR8590] - BSA and Azide free (AB248773)

This data was developed using ab137025, the same antibody clone in a different buffer formulation.

This blot was produced using a 4-12% Bis-tris gel under the MES buffer system. The gel was run at 200V for 35 minutes before being transferred onto a nitrocellulose membrane at 30V for 70 minutes. ab137025 and ab8245 (loading control to GAPDH) were diluted 1/200 and 1/10 000 respectively and incubated overnight at 4°C. Blots were developed with goat anti-rabbit IgG (H + L) and goat anti-mouse IgG (H + L) secondary antibodies at 1/10 000 dilution for 1 h at room temperature before imaging using the Licor Odyssey CLx.

All lanes:

Western blot - Anti-Ubiquitin antibody [EPR8590] (<a href='/en-us/products/primary-antibodies/ubiquitin-antibody-epr8590-ab137025'>ab137025</a>) at 1/200 dilution

Lane 1:

MCF-7 cell lysate at 20 µg

Lane 2:

MCF-7 Whole cell lysate + M132 (50 uM 90 min) at 20 µg

Lane 3:

Mouse brain tissue lysate at 20 µg

Predicted band size: 26 kDa

false

Western blot - Anti-Ubiquitin antibody [EPR8590] - BSA and Azide free (AB248773)
  • WB

Unknown

Western blot - Anti-Ubiquitin antibody [EPR8590] - BSA and Azide free (AB248773)

This data was developed using ab137025, the same antibody clone in a different buffer formulation.

All lanes:

Western blot - Anti-Ubiquitin antibody [EPR8590] (<a href='/en-us/products/primary-antibodies/ubiquitin-antibody-epr8590-ab137025'>ab137025</a>) at 1/1000 dilution

Lane 1:

Fetal brain cell lysate at 10 µg

Lane 2:

HepG2 cell lysate at 10 µg

Lane 3:

Jurkat cell lysate at 10 µg

Lane 4:

293T cell lysate at 10 µg

Secondary

All lanes:

HRP labelled goat anti-rabbit at 1/2000 dilution

Predicted band size: 26 kDa

false

Key facts

Host species

Rabbit

Clonality

Monoclonal

Clone number

EPR8590

Isotype

IgG

Carrier free

Yes

Reacts with

Mouse, Human

Applications

IHC-P, WB

applications

Immunogen

The exact immunogen used to generate this antibody is proprietary information.

Specificity

This antibody recognizes Ubiquitin, polyubiquitin and ubiquitinated proteins.

Reactivity data

{ "title": "Reactivity Data", "filters": { "stats": ["", "Species", "Dilution Info", "Notes"], "tabs": { "all-applications": {"fullname" : "All Applications", "shortname": "All Applications"}, "IHCP" : {"fullname" : "Immunohistochemistry (Formalin/PFA-fixed paraffin-embedded sections)", "shortname":"IHC-P"}, "IP" : {"fullname" : "Immunoprecipitation", "shortname":"IP"}, "WB" : {"fullname" : "Western blot", "shortname":"WB"} }, "product-promise": { "all": "all", "testedAndGuaranteed": "tested", "guaranteed": "expected", "predicted": "predicted", "notRecommended": "not-recommended" } }, "values": { "Human": { "IHCP-species-checked": "testedAndGuaranteed", "IHCP-species-dilution-info": "", "IHCP-species-notes": "<p></p>", "IP-species-checked": "notRecommended", "IP-species-dilution-info": "", "IP-species-notes": "<p></p>", "WB-species-checked": "testedAndGuaranteed", "WB-species-dilution-info": "", "WB-species-notes": "<p></p>" }, "Mouse": { "IHCP-species-checked": "guaranteed", "IHCP-species-dilution-info": "", "IHCP-species-notes": "", "IP-species-checked": "notRecommended", "IP-species-dilution-info": "", "IP-species-notes": "<p></p>", "WB-species-checked": "testedAndGuaranteed", "WB-species-dilution-info": "", "WB-species-notes": "<p></p>" }, "Rat": { "IHCP-species-checked": "predicted", "IHCP-species-dilution-info": "", "IHCP-species-notes": "", "IP-species-checked": "notRecommended", "IP-species-dilution-info": "", "IP-species-notes": "", "WB-species-checked": "predicted", "WB-species-dilution-info": "", "WB-species-notes": "" } } }

Product details

ab248773 is the carrier-free version of ab137025.

Patented technology
Our RabMAb® technology is a patented hybridoma-based technology for making rabbit monoclonal antibodies. For details on our patents, please refer to RabMAb® patents.

What are the advantages of a recombinant monoclonal antibody?
This product is a recombinant monoclonal antibody, which offers several advantages including:

  • - High batch-to-batch consistency and reproducibility
  • - Improved sensitivity and specificity
  • - Long-term security of supply
  • - Animal-free batch production

For more information, read more on recombinant antibodies.

Conjugation ready
Our carrier-free antibodies are typically supplied in a PBS-only formulation, purified and free of BSA, sodium azide and glycerol. This conjugation-ready format is designed for use with fluorochromes, metal isotopes, oligonucleotides, and enzymes, which makes them ideal for antibody labelling, functional and cell-based assays, flow-based assays (e.g. mass cytometry) and Multiplex Imaging applications.

Use our conjugation kits for antibody conjugates that are ready-to-use in as little as 20 minutes with 1 minute hands-on-time and 100% antibody recovery: available for fluorescent dyes, HRP, biotin and gold.

Compatibility
This product is compatible with the Maxpar® Antibody Labeling Kit from Fluidigm, without the need for antibody preparation. Maxpar® is a trademark of Fluidigm Canada Inc.

Properties and storage information

Form
Liquid
Purification technique
Affinity purification Protein A
Storage buffer
pH: 7.2 - 7.4 Constituents: PBS
Shipped at conditions
Blue Ice
Appropriate short-term storage conditions
+4°C
Appropriate long-term storage conditions
+4°C
Storage information
Do Not Freeze

Supplementary information

This supplementary information is collated from multiple sources and compiled automatically.

Ubiquitin is a small regulatory protein found in almost all tissues of eukaryotic organisms. It has a molecular weight of approximately 8.6 kilodaltons. It functions mechanically by attaching to proteins through a process called ubiquitination which involves the formation of an isopeptide bond. Ubiquitin molecules can form polyubiquitin chains through different lysine residues such as K48 and K63 that determine their function. These chains label substrate proteins for various fates including degradation. Ubiquitin is expressed ubiquitously in cells reflecting its essential role in maintaining protein homeostasis.
Biological function summary

The ubiquitin system plays a critical role in regulating protein turnover and quality control within cells. It is part of a larger complex known as the ubiquitin-proteasome system (UPS) which is responsible for degrading proteins that need to be turned over. This process is essential for cell cycle control response to oxidative stress and DNA repair. Ubiquitin's role in tagging proteins for degradation or signaling allows cells to respond quickly to changes in their environment and maintain balance.

Pathways

Ubiquitin functions in several important biological pathways including the Wnt and NF-kB pathways. In the Wnt signaling pathway ubiquitination modulates the stability of key components thereby affecting the pathway's overall activity. In the NF-kB signaling pathway ubiquitin labels inhibitor proteins for degradation which releases and activates NF-kB. These pathways highlight ubiquitin's interaction with proteins such as beta-catenin in Wnt and IkB in NF-kB illustrating how it regulates diverse cellular processes.

The dysfunction of the ubiquitin system is linked to neurodegenerative diseases and cancers. Ubiquitin-related defects in protein degradation can lead to the buildup of unwanted proteins contributing to conditions like Parkinson's disease. Connections with cancer are evident as ubiquitin controls cell cycle proteins and aberrant ubiquitination may drive tumor growth and progression. The protein p53 known to be controlled by ubiquitination plays a significant role in cancer related mechanisms when dysregulated. Understanding and targeting ubiquitin-related pathways may provide new therapeutic opportunities for treating these conditions.

Product protocols

For this product, it's our understanding that no specific protocols are required. You can visit:

Target data

Ubiquitin. Exists either covalently attached to another protein, or free (unanchored). When covalently bound, it is conjugated to target proteins via an isopeptide bond either as a monomer (monoubiquitin), a polymer linked via different Lys residues of the ubiquitin (polyubiquitin chains) or a linear polymer linked via the initiator Met of the ubiquitin (linear polyubiquitin chains). Polyubiquitin chains, when attached to a target protein, have different functions depending on the Lys residue of the ubiquitin that is linked : Lys-6-linked may be involved in DNA repair; Lys-11-linked is involved in ERAD (endoplasmic reticulum-associated degradation) and in cell-cycle regulation; Lys-29-linked is involved in proteotoxic stress response and cell cycle; Lys-33-linked is involved in kinase modification; Lys-48-linked is involved in protein degradation via the proteasome; Lys-63-linked is involved in endocytosis, DNA-damage responses as well as in signaling processes leading to activation of the transcription factor NF-kappa-B. Linear polymer chains formed via attachment by the initiator Met lead to cell signaling. Ubiquitin is usually conjugated to Lys residues of target proteins, however, in rare cases, conjugation to Cys or Ser residues has been observed. When polyubiquitin is free (unanchored-polyubiquitin), it also has distinct roles, such as in activation of protein kinases, and in signaling. During ubiquitination, the acceptor ubiquitin is positioned in the active site via direct interaction with the E2 ubiquitin-conjugating enzymes such as UBE2R2 (PubMed : 38326650).
See full target information UBC

Publications (1)

Recent publications for all applications. Explore the full list and refine your search

NPJ precision oncology 7:95 PubMed37723227

2023

Targeted single-cell proteomic analysis identifies new liquid biopsy biomarkers associated with multiple myeloma.

Applications

Unspecified application

Species

Unspecified reactive species

Sonia M Setayesh,Libere J Ndacayisaba,Kate E Rappard,Valerie Hennes,Luz Yurany Moreno Rueda,Guilin Tang,Pei Lin,Robert Z Orlowski,David E Symer,Elisabet E Manasanch,Stephanie N Shishido,Peter Kuhn
View all publications

Product promise

We are committed to supporting your work with high-quality reagents, and we're here for you every step of the way. In the unlikely event that one of our products does not perform as expected, you're protected by our Product Promise.
For full details, please see our Terms & Conditions

Please note: All products are 'FOR RESEARCH USE ONLY. NOT FOR USE IN DIAGNOSTIC OR THERAPEUTIC PROCEDURES'.

For licensing inquiries, please contact partnerships@abcam.com