JavaScript is disabled in your browser. Please enable JavaScript to view this website.
AB140601

Anti-Ubiquitin (linkage-specific K48) antibody [EP8589]

5

(10 Reviews)

|

(227 Publications)

Anti-Ubiquitin (linkage-specific K48) antibody [EP8589] (ab140601) is a rabbit monoclonal antibody detecting Ubiquitin in Western Blot, Flow Cytometry (Intra), IHC-P, ICC/IF. Suitable for Human, Mouse, Rat,.

- Biophysical QC for unrivalled batch-batch consistency
- Over 120 publications

View Alternative Names

Polyubiquitin-C, UBC

11 Images
Western blot - Anti-Ubiquitin (linkage-specific K48) antibody [EP8589] (AB140601)
  • WB

Lab

Western blot - Anti-Ubiquitin (linkage-specific K48) antibody [EP8589] (AB140601)

Blocking and diluting buffer : 5% NFDM/TBST. This image is produced useing purified ab140601.

All lanes:

Western blot - Anti-Ubiquitin (linkage-specific K48) antibody [EP8589] (ab140601) at 1/1000 dilution

All lanes:

K48-linked-Ub2-7recombinant protein lysate at 15 µg

Secondary

All lanes:

Western blot - Goat Anti-Rabbit IgG H&L (HRP) (<a href='/en-us/products/secondary-antibodies/goat-rabbit-igg-h-l-hrp-ab97051'>ab97051</a>) at 1/20000 dilution

Predicted band size: 26 kDa,35 kDa,38 kDa,40 kDa,58 kDa,79 kDa

Observed band size: 26 kDa,38 kDa,39 kDa,42 kDa,78 kDa

false

Immunocytochemistry/ Immunofluorescence - Anti-Ubiquitin (linkage-specific K48) antibody [EP8589] (AB140601)
  • ICC/IF

Lab

Immunocytochemistry/ Immunofluorescence - Anti-Ubiquitin (linkage-specific K48) antibody [EP8589] (AB140601)

Purified ab140601 staining Ubiquitin (linkage-specific K48) in MCF7 (Human breast adenocarcinoma cell line) cells by ICC/IF (Immunocytochemistry/immunofluorescence). Cells were fixed with 4% Paraformaldehyde and permeabilized with 0.1% Triton X-100. Samples were incubated with primary antibody at a dilution of 1/500. A goat anti rabbit IgG (Alexa Fluor® 488) (ab150077) was used as the secondary antibody at a dilution of 1/1000. ab195889 was used as a counterstain for primary antibody ab133645 at 1/2000. DAPI was used as a nuclear counterstain and PBS as a negative control.

Flow Cytometry (Intracellular) - Anti-Ubiquitin (linkage-specific K48) antibody [EP8589] (AB140601)
  • Flow Cyt (Intra)

Unknown

Flow Cytometry (Intracellular) - Anti-Ubiquitin (linkage-specific K48) antibody [EP8589] (AB140601)

Overlay histogram showing HeLa cells stained with ab140601 (red line). The cells were fixed with 80% methanol (5 min) and then permeabilized with 0.1% PBS-Tween for 20 min. The cells were then incubated in 1x PBS / 10% normal goat serum / 0.3M glycine to block non-specific protein-protein interactions followed by the antibody (ab140601, 1/100 dilution) for 30 min at 22°C. The secondary antibody used was Alexa Fluor® 488 goat anti-rabbit IgG (H&L) (ab150077) at 1/2000 dilution for 30 min at 22°C. Isotype control antibody (black line) was rabbit IgG (monoclonal) (1μg/1x106 cells) used under the same conditions. Unlabelled sample (blue line) was also used as a control. Acquisition of >5,000 events were collected using a 20mW Argon ion laser (488nm) and 525/30 bandpass filter.

Immunohistochemistry (Formalin/PFA-fixed paraffin-embedded sections) - Anti-Ubiquitin (linkage-specific K48) antibody [EP8589] (AB140601)
  • IHC-P

Lab

Immunohistochemistry (Formalin/PFA-fixed paraffin-embedded sections) - Anti-Ubiquitin (linkage-specific K48) antibody [EP8589] (AB140601)

Purified ab140601 staining Ubiquitin (linkage-specific K48) in human endometrium carcinoma tissue sections by Immunohistochemistry (IHC-P - paraformaldehyde-fixed paraffin-embedded sections). Tissue was fixed with paraformaldehyde and antigen retrieval was by heat mediation in a EDTA buffer. Samples were incubated with primary antibody at a dilution of 1/250. A goat anti-rabbit IgG H&L (HRP) ab97051 was used as the secondary antibody at a dilution of 1/500.

Negative control 1 : PBS in place of primary antibody.

Immunocytochemistry/ Immunofluorescence - Anti-Ubiquitin (linkage-specific K48) antibody [EP8589] (AB140601)
  • ICC/IF

Unknown

Immunocytochemistry/ Immunofluorescence - Anti-Ubiquitin (linkage-specific K48) antibody [EP8589] (AB140601)

ICC/IF image of ab140601 stained MCF-7 cells. The cells were 100% methanol fixed (5 min) and then incubated in 1%BSA / 10% normal goat serum / 0.3M glycine in 0.1% PBS-Tween for 1h to permeabilise the cells and block non-specific protein-protein interactions. The cells were then incubated with the antibody ab140601 at 10μg/ml overnight at +4°C. The secondary antibody (green) was DyLight® 488 goat anti- rabbit (ab96899) IgG (H+L) used at a 1/250 dilution for 1h. Alexa Fluor® 594 WGA was used to label plasma membranes (red) at a 1/200 dilution for 1h. DAPI was used to stain the cell nuclei (blue) at a concentration of 1.43μM.

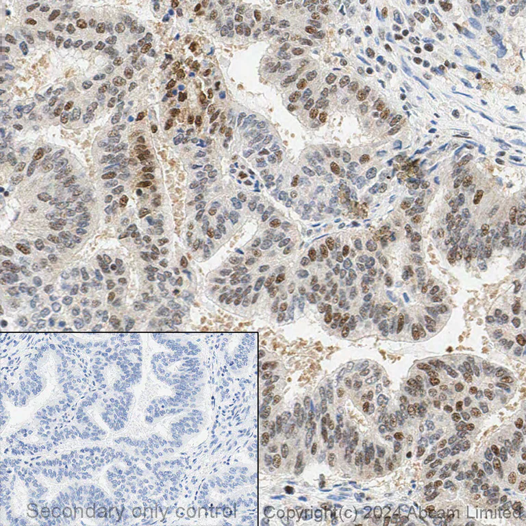
Immunohistochemistry - Anti-Ubiquitin (linkage-specific K48) antibody [EP8589] (AB140601)
  • IHC

Lab

Immunohistochemistry - Anti-Ubiquitin (linkage-specific K48) antibody [EP8589] (AB140601)

Immunohistochemical analysis of formalin fixed paraffin embedded human endometrial carcinoma labelling Ubiquitin (linkage-specific K48) with ab140601 at a concentration of 1µg/ml. The immunostaining was performed on a Ventana DISCOVERY ULTRA (Roche Tissue Diagnostics) instrument with a OptiView DAB IHC Detection Kit. Heat mediated antigen retrieval was performed with DISCOVERY cell conditioning solution (CC1) 100°C, pH 8.5 for 32 mins.

ab140601 anti-Ubiquitin (linkage-specific K48) [EP8589] was incubated for 16mins at 37°C. Sections were counterstained with Hematoxylin II. Image inset shows absence of staining in secondary antibody only control.

Customers are encouraged to optimise antigen retrieval conditions, antibody concentration, incubation times and temperature for best results in their own IHC assay workflow (automated and manual)

Western blot - Anti-Ubiquitin (linkage-specific K48) antibody [EP8589] (AB140601)
  • WB

Supplier Data

Western blot - Anti-Ubiquitin (linkage-specific K48) antibody [EP8589] (AB140601)

Observed band is above 60kDa

All lanes:

Western blot - Anti-Ubiquitin (linkage-specific K48) antibody [EP8589] (ab140601) at 1/200 dilution

Lane 1:

HEK293 at 10 µg

Lane 2:

Jurkat at 10 µg

Secondary

All lanes:

Goat Anti-Rabbit IgG, (H+L), Peroxidase conjugated at 1/1000 dilution

Predicted band size: 26 kDa

false

Western blot - Anti-Ubiquitin (linkage-specific K48) antibody [EP8589] (AB140601)
  • WB

Lab

Western blot - Anti-Ubiquitin (linkage-specific K48) antibody [EP8589] (AB140601)

Blocking and diluting buffer : 5% NFDM/TBST. This image is produced useing purified ab140601.

All lanes:

Western blot - Anti-Ubiquitin (linkage-specific K48) antibody [EP8589] (ab140601) at 200 µg

Lane 1:

Jurkat (Human T cell leukemia T lymphocyte) whole cell lysate at 20 µg

Lane 2:

293 (Human embryonic kidney epithelial cell) whole cell lysate at 20 µg

Lane 3:

Mouse heart lysate at 20 µg

Lane 4:

Rat heart lysate at 20 µg

Lane 5:

C2C12 (Mouse myoblasts myoblast) whole cell lysate at 20 µg

Lane 6:

C6 (Rat glial tumor glial cell) whole cell lysate at 20 µg

Secondary

All lanes:

Western blot - Goat Anti-Rabbit IgG H&L (HRP) (<a href='/en-us/products/secondary-antibodies/goat-rabbit-igg-h-l-hrp-ab97051'>ab97051</a>) at 1/20000 dilution

Predicted band size: 26 kDa

false

Western blot - Anti-Ubiquitin (linkage-specific K48) antibody [EP8589] (AB140601)
  • WB

Supplier Data

Western blot - Anti-Ubiquitin (linkage-specific K48) antibody [EP8589] (AB140601)

Observed band is above 60kDa

All lanes:

Western blot - Anti-Ubiquitin (linkage-specific K48) antibody [EP8589] (ab140601) at 1/200 dilution

Lane 1:

PC-12 at 20 µg

Lane 2:

C6 at 20 µg

Lane 3:

L6 at 20 µg

Lane 4:

C2C12 at 20 µg

Lane 5:

Neuro-2a at 20 µg

Lane 6:

NIH3T3 at 20 µg

Lane 7:

SP2/0 at 20 µg

Lane 8:

Raw264.7 at 20 µg

Lane 9:

B16-F0 at 20 µg

Secondary

All lanes:

Goat Anti-Rabbit IgG, (H+L), Peroxidase conjugated at 1/1000 dilution

Predicted band size: 26 kDa

false

Western blot - Anti-Ubiquitin (linkage-specific K48) antibody [EP8589] (AB140601)
  • WB

Unknown

Western blot - Anti-Ubiquitin (linkage-specific K48) antibody [EP8589] (AB140601)

All lanes:

Western blot - Anti-Ubiquitin (linkage-specific K48) antibody [EP8589] (ab140601) at 1/1000 dilution

Lane 1:

K6-linked-Ub2 recombinant protein at 0.01 µg

Lane 2:

K27-linked-Ub2 recombinant protein at 0.01 µg

Lane 3:

K29-linked-Ub2 recombinant protein at 0.01 µg

Lane 4:

K11-linked-Ub2 recombinant protein at 0.01 µg

Lane 5:

K48-linked-Ub2-7recombinant protein at 0.01 µg

Lane 6:

K63-linked-Ub2-7 recombinant protein at 0.01 µg

Lane 7:

K33-linked-Ub2 recombinant protein at 0.01 µg

Lane 8:

monoubiquitin recombinant protein at 0.01 µg

Secondary

All lanes:

HRP labelled goat anti-rabbit at 1/2000 dilution

Predicted band size: 26 kDa

Observed band size: 17-60 kDa

false

Western blot - Anti-Ubiquitin (linkage-specific K48) antibody [EP8589] (AB140601)
  • WB

CiteAb

Western blot - Anti-Ubiquitin (linkage-specific K48) antibody [EP8589] (AB140601)

Ubiquitin (linkage-specific K48) western blot using anti-Ubiquitin (linkage-specific K48) antibody [EP8589] ab140601. Publication image and figure legend from Sambri, I., D'Alessio, R., et al., 2017, EMBO Mol Med, PubMed 27881461.

ab140601 was used in this publication in western blot. This may not be the same as the application(s) guaranteed by Abcam. For a full list of applications guaranteed by Abcam for ab140601 please see the product overview.

Lysosomal-driven deregulation of α-synuclein and CSPα degradationWB analysis of LC3 and p62 (an autophagy substrate) was performed on WT and MPS-IIIA brain samples at the indicated ages. WB quantitation is shown.α-Synuclein was immunoblotted in WT and MPS-IIIA in both total and synaptosomal brain fractions at the indicated ages after sequential extraction with detergents with increased strength. Soluble (Sol.), lowly insoluble (L. Insol.), and highly insoluble (H. Insol.) forms correspond to the protein solubilized in Triton X-100, 10% SDS and 8 M urea, respectively.Co-immunofluorescence analysis of α-synuclein with SMI-32 in WT and MPS-IIIA hippocampal neurons (DIV14). α-Synuclein synaptic puncta present in a neurite tract of 10 μm is shown in a representative enlarged image. Quantification of α-synuclein synaptic puncta was calculated from 30 different enlarged images.Confocal analysis of α-synuclein (green) and LAMP1 (red) in WT and MPS-IIIA hippocampal neurons (DIV14). Enlarged merge images are also shown. Co-localization was quantified using the MCC (ImageJ) and displayed as percentage (MCC × 100) of α-synuclein co-localizing with LAMP1 (15 different images taken from 4 to 5 coverslips for each group).CSPα was immunoblotted in WT and MPS-IIIA total brain lysates at the indicated ages after sequential extraction with detergents with increased strength as in (B).Co-immunofluorescence analysis of CSPα and SMI-32 in DIV14 hippocampal neurons. CSPα synaptic puncta was quantified as in (C).CSPα protein levels were evaluated by immunoblot analysis in WT and MPS-IIIA hippocampal neurons (DIV14) at different times after cycloheximide treatment and expressed as percentage of remaining protein at T0 (100%). The proteasome was inhibited as indicated. WB quantification is shown.Palmitoylation-dependent shift in the molecular weight of CSPα was evaluated in WT and MPS-IIIA brain samples at the indicated ages by immunoblot CSPα in boiled samples prepared without exposure to sulfhydryl agents (β-mercaptoethanol or dithiothreitol).The protein levels of RPN10 (the regulatory subunit of 26S proteasome) and ubiquitinated proteins formed by Lys48 (K48) residue linkage (involved in protein degradation via the proteasome) were evaluated in WT and MPS-IIIA brain samples at the indicated ages by WB analysis. WB quantitation is shown.Proteasome activity was evaluated by measuring the chymotrypsin-like activity in WT and MPS-IIIA mouse brain samples at different ages. Proteasome activity was expressed as percentage of WT activity.Data information : Data are means ± s.e.m.; N = 3 (biological triplicate) in WB quantitations. *p < 0.05, **p < 0.001, Student's t-test : MPS-IIIA at each age vs. WT (A, I, J); MPS-IIIA vs. WT (C, D, F); either WT or MPS-IIIA + prot. inhib. (at each time point) vs. MPS-IIIA (G). Scale bars : 10 μm (C, D, F).Source data are available online for this figure.

false

  • Carrier free

    Anti-Ubiquitin (linkage-specific K48) antibody [EP8589] - Low endotoxin, Azide free

  • Carrier free

    Anti-Ubiquitin (linkage-specific K48) antibody [EP8589] - BSA and Azide free

  • 519 Alexa Fluor® 488

    Alexa Fluor® 488 Anti-Ubiquitin (linkage-specific K48) antibody [EP8589]

  • 665 Alexa Fluor® 647

    Alexa Fluor® 647 Anti-Ubiquitin (linkage-specific K48) antibody [EP8589]

  • 617 Alexa Fluor® 594

    Alexa Fluor® 594 Anti-Ubiquitin (linkage-specific K48) antibody [EP8589]

  • 578 PE

    PE Anti-Ubiquitin (linkage-specific K48) antibody [EP8589]

  • 603 Alexa Fluor® 568

    Alexa Fluor® 568 Anti-Ubiquitin (linkage-specific K48) antibody [EP8589]

  • 565 Alexa Fluor® 555

    Alexa Fluor® 555 Anti-Ubiquitin (linkage-specific K48) antibody [EP8589]

  • 660 APC

    APC Anti-Ubiquitin (linkage-specific K48) antibody [EP8589]

  • 775 Alexa Fluor® 750

    Alexa Fluor® 750 Anti-Ubiquitin (linkage-specific K48) antibody [EP8589]

Key facts

Host species

Rabbit

Clonality

Monoclonal

Clone number

EP8589

Isotype

IgG

Carrier free

No

Reacts with

Mouse, Rat, Human

Applications

IHC-P, ICC/IF, WB, Flow Cyt (Intra)

applications

Immunogen

The exact immunogen used to generate this antibody is proprietary information.

Specificity

This antibody only recognizes polyubiquitin chains formed by Lys-48 (K48) residue linkage. This antibody can detect the target in mouse and rat cell lines and induced tissues.

Reactivity data

{ "title": "Reactivity Data", "filters": { "stats": ["", "Species", "Dilution Info", "Notes"], "tabs": { "all-applications": {"fullname" : "All Applications", "shortname": "All Applications"}, "WB" : {"fullname" : "Western blot", "shortname":"WB"}, "ICCIF" : {"fullname" : "Immunocytochemistry/ Immunofluorescence", "shortname":"ICC/IF"}, "FlowCytIntra" : {"fullname" : "Flow Cytometry (Intracellular)", "shortname":"Flow Cyt (Intra)"}, "IHCP" : {"fullname" : "Immunohistochemistry (Formalin/PFA-fixed paraffin-embedded sections)", "shortname":"IHC-P"} }, "product-promise": { "all": "all", "testedAndGuaranteed": "tested", "guaranteed": "expected", "predicted": "predicted", "notRecommended": "not-recommended" } }, "values": { "Human": { "WB-species-checked": "testedAndGuaranteed", "WB-species-dilution-info": "1/200 - 1/10000", "WB-species-notes": "<p></p>", "ICCIF-species-checked": "testedAndGuaranteed", "ICCIF-species-dilution-info": "1/500", "ICCIF-species-notes": "<p></p>", "FlowCytIntra-species-checked": "testedAndGuaranteed", "FlowCytIntra-species-dilution-info": "1/20 - 1/1000", "FlowCytIntra-species-notes": "<p><a href='/en-us/products/primary-antibodies/rabbit-igg-monoclonal-epr25a-isotype-control-ab172730'>ab172730</a> - Rabbit monoclonal IgG, is suitable for use as an isotype control with this antibody.</p>", "IHCP-species-checked": "testedAndGuaranteed", "IHCP-species-dilution-info": "1/250", "IHCP-species-notes": "<p></p> Perform heat-mediated antigen retrieval with Tris/EDTA buffer pH 9.0 before commencing with IHC staining protocol." }, "Mouse": { "WB-species-checked": "testedAndGuaranteed", "WB-species-dilution-info": "1/200 - 1/10000", "WB-species-notes": "<p></p>", "ICCIF-species-checked": "guaranteed", "ICCIF-species-dilution-info": "", "ICCIF-species-notes": "", "FlowCytIntra-species-checked": "guaranteed", "FlowCytIntra-species-dilution-info": "", "FlowCytIntra-species-notes": "", "IHCP-species-checked": "notRecommended", "IHCP-species-dilution-info": "", "IHCP-species-notes": "<p></p>" }, "Rat": { "WB-species-checked": "testedAndGuaranteed", "WB-species-dilution-info": "1/200 - 1/10000", "WB-species-notes": "<p></p>", "ICCIF-species-checked": "guaranteed", "ICCIF-species-dilution-info": "", "ICCIF-species-notes": "", "FlowCytIntra-species-checked": "guaranteed", "FlowCytIntra-species-dilution-info": "", "FlowCytIntra-species-notes": "", "IHCP-species-checked": "notRecommended", "IHCP-species-dilution-info": "", "IHCP-species-notes": "<p></p>" } } }

Product details

Anti-Ubiquitin (linkage-specific K48) antibody [EP8589] (ab140601) was developed by Abcam using patented rabbit monoclonal antibody technology and is validated for use in Flow Cyt (Intra), ICC/IF, IHC-P, WB in human, mouse, rat, recombinant fragment samples.

Anti-Ubiquitin (linkage-specific K48) antibody [EP8589] (ab140601) has been cited over 129 times in peer reviewed journals and is trusted by the scientific community.

Abcam's high quality manufacturing and validation processes ensure Anti-Ubiquitin (linkage-specific K48) antibody [EP8589] (ab140601) has high sensitivity and specificity alongside high lot-to-lot consistency and reproducibility.

Anti-Ubiquitin (linkage-specific K48) antibody [EP8589] (ab140601) has 10 independent reviews from customers.

Anti-Ubiquitin (linkage-specific K48) antibody [EP8589] (ab140601) specifically detects Ubiquitin -K48 (UniProt ID: P0CG48; Molecular weight: 9kDa) and is sold in a convenient trial size to enable initial testing (20 µL) and larger sizes for subsequent scaling up experiments (100 µL and 1 mL).

Conjugation-ready, carrier free format available for antibody clone EP8589 - ab271911.

Antibody clone EP8589 is also available pre-conjugated to a variety of labels for your convenience - Alexa Fluor® 488, Alexa Fluor® 647, Alexa Fluor® 594, PE, APC, Alexa Fluor® 555, Alexa Fluor® 568, Alexa Fluor® 750 (ab204274, ab204476, ab206366, ab303017, ab303018, ab312065, ab312542, ab321118).

Patented technology
Our RabMAb® technology is a patented hybridoma-based technology for making rabbit monoclonal antibodies. For details on our patents, please refer to RabMAb® patents.

What are the advantages of a recombinant monoclonal antibody?
This product is a recombinant monoclonal antibody, which offers several advantages including:

  • - High batch-to-batch consistency and reproducibility
  • - Improved sensitivity and specificity
  • - Long-term security of supply
  • - Animal-free batch production

For more information, read more on recombinant antibodies.

Properties and storage information

Form
Liquid
Purification technique
Affinity purification Protein A
Storage buffer
Preservative: 0.01% Sodium azide Constituents: PBS, 40% Glycerol (glycerin, glycerine), 0.05% BSA
Shipped at conditions
Blue Ice
Appropriate short-term storage conditions
+4°C
Appropriate long-term storage conditions
-20°C
Aliquoting information
Upon delivery aliquot
Storage information
Avoid freeze / thaw cycle

Supplementary information

This supplementary information is collated from multiple sources and compiled automatically.

Ubiquitin is a small regulatory protein found in almost all tissues of eukaryotic organisms. It has a molecular weight of approximately 8.6 kilodaltons. It functions mechanically by attaching to proteins through a process called ubiquitination which involves the formation of an isopeptide bond. Ubiquitin molecules can form polyubiquitin chains through different lysine residues such as K48 and K63 that determine their function. These chains label substrate proteins for various fates including degradation. Ubiquitin is expressed ubiquitously in cells reflecting its essential role in maintaining protein homeostasis.
Biological function summary

The ubiquitin system plays a critical role in regulating protein turnover and quality control within cells. It is part of a larger complex known as the ubiquitin-proteasome system (UPS) which is responsible for degrading proteins that need to be turned over. This process is essential for cell cycle control response to oxidative stress and DNA repair. Ubiquitin's role in tagging proteins for degradation or signaling allows cells to respond quickly to changes in their environment and maintain balance.

Pathways

Ubiquitin functions in several important biological pathways including the Wnt and NF-kB pathways. In the Wnt signaling pathway ubiquitination modulates the stability of key components thereby affecting the pathway's overall activity. In the NF-kB signaling pathway ubiquitin labels inhibitor proteins for degradation which releases and activates NF-kB. These pathways highlight ubiquitin's interaction with proteins such as beta-catenin in Wnt and IkB in NF-kB illustrating how it regulates diverse cellular processes.

The dysfunction of the ubiquitin system is linked to neurodegenerative diseases and cancers. Ubiquitin-related defects in protein degradation can lead to the buildup of unwanted proteins contributing to conditions like Parkinson's disease. Connections with cancer are evident as ubiquitin controls cell cycle proteins and aberrant ubiquitination may drive tumor growth and progression. The protein p53 known to be controlled by ubiquitination plays a significant role in cancer related mechanisms when dysregulated. Understanding and targeting ubiquitin-related pathways may provide new therapeutic opportunities for treating these conditions.

Product protocols

For this product, it's our understanding that no specific protocols are required. You can visit:

Target data

Ubiquitin. Exists either covalently attached to another protein, or free (unanchored). When covalently bound, it is conjugated to target proteins via an isopeptide bond either as a monomer (monoubiquitin), a polymer linked via different Lys residues of the ubiquitin (polyubiquitin chains) or a linear polymer linked via the initiator Met of the ubiquitin (linear polyubiquitin chains). Polyubiquitin chains, when attached to a target protein, have different functions depending on the Lys residue of the ubiquitin that is linked : Lys-6-linked may be involved in DNA repair; Lys-11-linked is involved in ERAD (endoplasmic reticulum-associated degradation) and in cell-cycle regulation; Lys-29-linked is involved in proteotoxic stress response and cell cycle; Lys-33-linked is involved in kinase modification; Lys-48-linked is involved in protein degradation via the proteasome; Lys-63-linked is involved in endocytosis, DNA-damage responses as well as in signaling processes leading to activation of the transcription factor NF-kappa-B. Linear polymer chains formed via attachment by the initiator Met lead to cell signaling. Ubiquitin is usually conjugated to Lys residues of target proteins, however, in rare cases, conjugation to Cys or Ser residues has been observed. When polyubiquitin is free (unanchored-polyubiquitin), it also has distinct roles, such as in activation of protein kinases, and in signaling. During ubiquitination, the acceptor ubiquitin is positioned in the active site via direct interaction with the E2 ubiquitin-conjugating enzymes such as UBE2R2 (PubMed : 38326650). As a monoubiquitin, its C-terminal glycine is recognized as a C-degron by Cul2-RING (CRL2) E3 ubiquitin-protein ligase complexes (PubMed : 39548056).
See full target information UBC Linkage-specific K48

Publications (227)

Recent publications for all applications. Explore the full list and refine your search

Journal of cell communication and signaling 19:e70046 PubMed40977851

2025

Tri-domain proteins 27 alleviates ischemia-reperfusion injury-induced acute kidney injury by promoting Gli-like transcription factor 1 expression via the inhibition of polycomb repressive complex 2 activity.

Applications

Unspecified application

Species

Unspecified reactive species

Chongxiang Xiong,Haishan Chen,Baoting Su,Li Zhang,Jingxiang Hu,Qiaowen Wang,Shougang Zhuang

Communications biology 8:1308 PubMed40883557

2025

TRIM2 inhibits apoptosis by ubiquitinating BNIP3 to protect the intestine against ischemia-reperfusion injury in mice.

Applications

Unspecified application

Species

Unspecified reactive species

Jinping Nie,Chao Mei,Aiping Wei,Yingjie Wang,Chenlu Fan,Yingjie Huang,Ming Jiang,Han Che,Tao Chen,Juan Tian,Yong Li,Xuan Huang,Xuekang Zhang

Cell communication and signaling : CCS 23:364 PubMed40760493

2025

Lactylation modification of HIF-1α enhances its stability by blocking VHL recognition.

Applications

Unspecified application

Species

Unspecified reactive species

Chengyu Li,Chen Fu,Wenhan Zhou,Hongmin Li,Zhaojun Liu,Gang Wu,Tong He,Ming Shen,Honglin Liu

Acta neuropathologica communications 13:154 PubMed40653468

2025

Reciprocal regulation of GPNMB/HIF-1α for Inhibition of neuronal ferroptosis in delayed encephalopathy after acute carbon monoxide poisoning.

Applications

Unspecified application

Species

Unspecified reactive species

Zuolong Liu,Lanyue Sun,Nan Gao,Wei Li,Li Pang

General physiology and biophysics 44:327-336 PubMed40567075

2025

The regulatory role of Sigmar1 in CVB3-induced myocarditis.

Applications

Unspecified application

Species

Unspecified reactive species

Fan Yang,Liqin Hu,Feng Pan,Xumei Chen,Xiaowen Lai,Xiaoqin Liu

International journal of biological sciences 21:3705-3725 PubMed40520022

2025

ITLN1 exacerbates Crohn's colitis by driving ZBP1-dependent PANoptosis in intestinal epithelial cells through antagonizing TRIM8-mediated CAPN2 ubiquitination.

Applications

Unspecified application

Species

Unspecified reactive species

Jie Zhao,Yujiang Li,Pu Ying,Yan Zhou,Ziwei Xu,Dongmei Wang,Honggang Wang,Liming Tang

Cell communication and signaling : CCS 23:282 PubMed40514670

2025

Proteomic analysis of hydrogen peroxide-treated human chondrocytes shows endoplasmic reticulum stress, cytoskeleton remodeling, and altered secretome composition.

Applications

Unspecified application

Species

Unspecified reactive species

Thais Mingatos de Toledo,Hellen Paula Valerio,Amanda Teixeira de Melo,Renata Nascimento Gomes,Thatiana Corrêa de Melo,Marcus Vinicius Buri,Marcelo Medina de Souza,Deivid Martins Santos,Hugo Vigerelli,Miryam Paola Alvarez-Flores,Giuseppe Palmisano,Ana Marisa Chudzinski-Tavassi

iScience 28:112545 PubMed40491475

2025

Covalent inhibition of Ubc13 impairs global protein synthesis.

Applications

Unspecified application

Species

Unspecified reactive species

Anna Truong,Ruitian Hu,Baiyi Quan,Morgan A Bailey,Erin A Schroeder,Kayla Sylvester,Gaëlle Neveu,Björn F C Kafsack,Michael C Fitzgerald,Emily R Derbyshire

Journal of cachexia, sarcopenia and muscle 16:e13843 PubMed40464169

2025

MyoMed205 Counteracts Titin Hyperphosphorylation and the Expression of Contraction-Regulating Proteins in a Rat Model of HFpEF.

Applications

Unspecified application

Species

Unspecified reactive species

Beatrice Vahle,Antje Schauer,Antje Augstein,Maria-Elisa Prieto Jarabo,Janet Friedrich,Peggy Barthel,Anita Männel,Norman Mangner,Siegfried Labeit,T Scott Bowen,Axel Linke,Volker Adams

Cell communication and signaling : CCS 23:257 PubMed40450320

2025

The E3 ubiquitin ligase MARCH2 controls TNF-α mediated inflammation by autoubiquitination.

Applications

Unspecified application

Species

Unspecified reactive species

Kiramage Chathuranga,Pramodya Rathnapala,Asela Weerawardhana,Tae-Hwan Kim,Yebin Seong,W A Gayan Chathuranga,Ashan Subasinghe,D K Haluwana,Nuwan Gamage,Youn Jung Choi,Jae U Jung,Jong-Soo Lee
View all publications

Product promise

We are committed to supporting your work with high-quality reagents, and we're here for you every step of the way. In the unlikely event that one of our products does not perform as expected, you're protected by our Product Promise.
For full details, please see our Terms & Conditions

Please note: All products are 'FOR RESEARCH USE ONLY. NOT FOR USE IN DIAGNOSTIC OR THERAPEUTIC PROCEDURES'.

For licensing inquiries, please contact partnerships@abcam.com