JavaScript is disabled in your browser. Please enable JavaScript to view this website.
AB179434

Anti-Ubiquitin (linkage-specific K63) antibody [EPR8590-448]

5

(6 Reviews)

|

(134 Publications)

Anti-Ubiquitin (linkage-specific K63) antibody [EPR8590-448] (ab179434) is a rabbit monoclonal antibody detecting Ubiquitin in Western Blot, Flow Cytometry (Intra), IHC-P. Suitable for Human, Mouse, Rat.

- Biophysical QC for unrivalled batch-batch consistency
- Over 80 publications

View Alternative Names

Polyubiquitin-C, UBC

7 Images
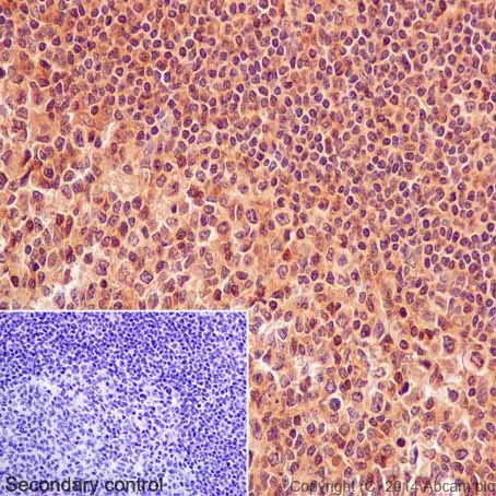
Immunohistochemistry (Formalin/PFA-fixed paraffin-embedded sections) - Anti-Ubiquitin (linkage-specific K63) antibody [EPR8590-448] (AB179434)
  • IHC-P

Lab

Immunohistochemistry (Formalin/PFA-fixed paraffin-embedded sections) - Anti-Ubiquitin (linkage-specific K63) antibody [EPR8590-448] (AB179434)

Immunohistochemical staining of paraffin embedded human tonsil with purified ab179434 at a dilution of 1/500. The secondary antibody used is a HRP conjugated goat anti-rabbit (ab97051 1/500). The sample is counter-stained with hematoxylin. Antigen retrieval was perfomed using Tris-EDTA buffer pH 9.0. PBS was used instead of the primary antibody as the negative control and is shown in the inset.

Flow Cytometry (Intracellular) - Anti-Ubiquitin (linkage-specific K63) antibody [EPR8590-448] (AB179434)
  • Flow Cyt (Intra)

Unknown

Flow Cytometry (Intracellular) - Anti-Ubiquitin (linkage-specific K63) antibody [EPR8590-448] (AB179434)

Intracellular Flow Cytometry analysis of HeLa (human cervix adenocarcinoma) cells labelling Ubiquitin (linkage-specific K63) with purified ab179434 at 1/210 (red). Cells were fixed with 4% paraformaldehyde and permeabilised with 90% methanol. An Alexa Fluor®488-conjugated goat anti-rabbit IgG (1/2000) was used as the secondary antibody. Black - Isotype control, rabbit monoclonal IgG. Blue - Unlabelled control, cells without incubation with primary and secondary antibodies.

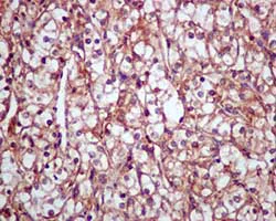
Immunohistochemistry (Formalin/PFA-fixed paraffin-embedded sections) - Anti-Ubiquitin (linkage-specific K63) antibody [EPR8590-448] (AB179434)
  • IHC-P

Supplier Data

Immunohistochemistry (Formalin/PFA-fixed paraffin-embedded sections) - Anti-Ubiquitin (linkage-specific K63) antibody [EPR8590-448] (AB179434)

Immunohistochemical analysis of paraffin-embedded human kidney carcinoma tissue labeling K63-linkage specific polyubiquitin with unpurified ab179434 at 1/100 dilution.

Western blot - Anti-Ubiquitin (linkage-specific K63) antibody [EPR8590-448] (AB179434)
  • WB

Lab

Western blot - Anti-Ubiquitin (linkage-specific K63) antibody [EPR8590-448] (AB179434)

Blocking buffer : 5% NFDM/TBST

Dilution buffer : 5% NFDM/TBST

All lanes:

Western blot - Anti-Ubiquitin (linkage-specific K63) antibody [EPR8590-448] (ab179434) at 1/1000 dilution

Lane 1:

HEK-293 (human epithelial cell line from embryonic kidney) cell lysate at 20 µg

Lane 2:

HeLa (human epithelial cell line from cervix adenocarcinoma) cell lysate at 20 µg

Secondary

All lanes:

HRP goat anti-rabbit (H+L) at 1/1000 dilution

Predicted band size: 26 kDa

Observed band size: 16-300 kDa

false

Western blot - Anti-Ubiquitin (linkage-specific K63) antibody [EPR8590-448] (AB179434)
  • WB

Lab

Western blot - Anti-Ubiquitin (linkage-specific K63) antibody [EPR8590-448] (AB179434)

Blocking buffer : 5% NFDM/TBST

Dilution buffer : 5% NFDM/TBST

All lanes:

Western blot - Anti-Ubiquitin (linkage-specific K63) antibody [EPR8590-448] (ab179434) at 1/1000 dilution

Lane 1:

Mouse brain tissue lysate at 20 µg

Lane 2:

Rat brain tissue lysate at 20 µg

Secondary

All lanes:

HRP goat anti-rabbit (H+L) at 1/1000 dilution

Predicted band size: 26 kDa

Observed band size: 16-300 kDa

false

Western blot - Anti-Ubiquitin (linkage-specific K63) antibody [EPR8590-448] (AB179434)
  • WB

Lab

Western blot - Anti-Ubiquitin (linkage-specific K63) antibody [EPR8590-448] (AB179434)

Blocking buffer : 5% NFDM/TBST

Dilution buffer : 5% NFDM/TBST

All lanes:

Western blot - Anti-Ubiquitin (linkage-specific K63) antibody [EPR8590-448] (ab179434) at 1/5000 dilution

Lane 1:

K6-linked-Ub2 recombinant protein at 20 µg

Lane 2:

K11-linked-Ub2 recombinant protein at 20 µg

Lane 3:

K29-linked-Ub2 recombinant protein at 20 µg

Lane 4:

K33-linked-Ub2 recombinant protein at 20 µg

Lane 5:

K48-linked-Ub2 recombinant protein at 20 µg

Lane 6:

K63-linked-Ub2 recombinant protein at 20 µg

Secondary

All lanes:

HRP goat anti-rabbit (H+L) at 1/1000 dilution

Predicted band size: 26 kDa

Observed band size: 16-70 kDa

false

Western blot - Anti-Ubiquitin (linkage-specific K63) antibody [EPR8590-448] (AB179434)
  • WB

Supplier Data

Western blot - Anti-Ubiquitin (linkage-specific K63) antibody [EPR8590-448] (AB179434)

All lanes:

Western blot - Anti-Ubiquitin (linkage-specific K63) antibody [EPR8590-448] (ab179434) at 1/1000 dilution

Lane 1:

Ubiquitin recombinant protein at 0.02 µg

Lane 2:

K6-linked-Ub2 recombinant protein at 0.02 µg

Lane 3:

K11-linked-Ub2 recombinant protein at 0.02 µg

Lane 4:

K27-linked-Ub2 recombinant protein at 0.02 µg

Lane 5:

K29-linked-Ub2 recombinant protein at 0.02 µg

Lane 6:

K33-linked-Ub2 recombinant protein at 0.02 µg

Lane 7:

K48-linked-Ub2-7 recombinant protein at 0.02 µg

Lane 8:

K63-linked-Ub2-7 recombinant protein at 0.02 µg

Predicted band size: 26 kDa

false

  • Carrier free

    Anti-Ubiquitin (linkage-specific K63) antibody [EPR8590-448] - Low endotoxin, Azide free

  • Carrier free

    Anti-Ubiquitin (linkage-specific K63) antibody [EPR8590-448] - BSA and Azide free

  • 665 Alexa Fluor® 647

    Alexa Fluor® 647 Anti-Ubiquitin (linkage-specific K63) antibody [EPR8590-448]

  • 519 Alexa Fluor® 488

    Alexa Fluor® 488 Anti-Ubiquitin (linkage-specific K63) antibody [EPR8590-448]

  • 578 PE

    PE Anti-Ubiquitin (linkage-specific K63) antibody [EPR8590-448]

  • 660 APC

    APC Anti-Ubiquitin (linkage-specific K63) antibody [EPR8590-448]

  • HRP

    HRP Anti-Ubiquitin (linkage-specific K63) antibody [EPR8590-448]

  • 565 Alexa Fluor® 555

    Alexa Fluor® 555 Anti-Ubiquitin (linkage-specific K63) antibody [EPR8590-448]

  • 617 Alexa Fluor® 594

    Alexa Fluor® 594 Anti-Ubiquitin (linkage-specific K63) antibody [EPR8590-448]

  • 603 Alexa Fluor® 568

    Alexa Fluor® 568 Anti-Ubiquitin (linkage-specific K63) antibody [EPR8590-448]

  • 775 Alexa Fluor® 750

    Alexa Fluor® 750 Anti-Ubiquitin (linkage-specific K63) antibody [EPR8590-448]

Key facts

Host species

Rabbit

Clonality

Monoclonal

Clone number

EPR8590-448

Isotype

IgG

Carrier free

No

Reacts with

Mouse, Rat, Human

Applications

Flow Cyt (Intra), WB, IHC-P

applications

Immunogen

The exact immunogen used to generate this antibody is proprietary information.

Reactivity data

{ "title": "Reactivity Data", "filters": { "stats": ["", "Species", "Dilution Info", "Notes"], "tabs": { "all-applications": {"fullname" : "All Applications", "shortname": "All Applications"}, "WB" : {"fullname" : "Western blot", "shortname":"WB"}, "FlowCytIntra" : {"fullname" : "Flow Cytometry (Intracellular)", "shortname":"Flow Cyt (Intra)"}, "IHCP" : {"fullname" : "Immunohistochemistry (Formalin/PFA-fixed paraffin-embedded sections)", "shortname":"IHC-P"} }, "product-promise": { "all": "all", "testedAndGuaranteed": "tested", "guaranteed": "expected", "predicted": "predicted", "notRecommended": "not-recommended" } }, "values": { "Human": { "WB-species-checked": "testedAndGuaranteed", "WB-species-dilution-info": "1/1000", "WB-species-notes": "<p></p>", "FlowCytIntra-species-checked": "testedAndGuaranteed", "FlowCytIntra-species-dilution-info": "1/210", "FlowCytIntra-species-notes": "<p></p>", "IHCP-species-checked": "testedAndGuaranteed", "IHCP-species-dilution-info": "1/250 - 1/500", "IHCP-species-notes": "<p><strong>For unpurified, use 1/100 - 1/250.</strong></p> Perform heat-mediated antigen retrieval with Tris/EDTA buffer pH 9.0 before commencing with IHC staining protocol." }, "Mouse": { "WB-species-checked": "testedAndGuaranteed", "WB-species-dilution-info": "1/1000", "WB-species-notes": "<p></p>", "FlowCytIntra-species-checked": "guaranteed", "FlowCytIntra-species-dilution-info": "", "FlowCytIntra-species-notes": "", "IHCP-species-checked": "guaranteed", "IHCP-species-dilution-info": "", "IHCP-species-notes": "" }, "Rat": { "WB-species-checked": "testedAndGuaranteed", "WB-species-dilution-info": "1/1000", "WB-species-notes": "<p></p>", "FlowCytIntra-species-checked": "guaranteed", "FlowCytIntra-species-dilution-info": "", "FlowCytIntra-species-notes": "", "IHCP-species-checked": "guaranteed", "IHCP-species-dilution-info": "", "IHCP-species-notes": "" }, "Recombinant full length protein": { "WB-species-checked": "testedAndGuaranteed", "WB-species-dilution-info": "1/1000", "WB-species-notes": "<p></p>", "FlowCytIntra-species-checked": "notRecommended", "FlowCytIntra-species-dilution-info": "", "FlowCytIntra-species-notes": "", "IHCP-species-checked": "notRecommended", "IHCP-species-dilution-info": "", "IHCP-species-notes": "" } } }

Product details

What is this antibody validated in?
Anti-Ubiquitin (linkage-specific K63) antibody [EPR8590-448] (ab179434) is a rabbit recombinant monoclonal antibody and is validated for use in Western Blot (WB), Flow Cytometry (Intra), Flow Cytometry (Flow Cyt), Immunohistochemistry (IHC-P) in Human, Mouse, Rat samples.

What is the molecular weight of Ubiquitin?
Anti-Ubiquitin (linkage-specific K63) [EPR8590-448] (ab179434) specifically detects a band for Ubiquitin (UniProt: P0CG48) at a molecular weight of 77kDa.

Trusted by the scientific community
Anti-Ubiquitin (linkage-specific K63) [EPR8590-448] (ab179434) was first used in a scientific publication in 2013 and has been cited over 80 times in peer-reviewed journals.

Reviewed by scientists
Anti-Ubiquitin (linkage-specific K63) [EPR8590-448] (ab179434) has over 5 independent reviews from customers.

Trial sizes available!
Test your antibody or perform pre-screening before committing to a larger quantity. Sold in 10µl. Discover our selection of trial-size antibodies.

Other related products
We have a range of other formats of antibody clone [EPR8590-448] also available for your convenience: ab179434, Alexa Fluor® 647 - ab192489, Carrier free - ab271929, PE - ab305677, APC - ab305678, HRP - ab305679, Alkaline Phosphatase - ab308969, Alexa Fluor® 594 - ab310741, Alexa Fluor® 555 - ab312270, Alexa Fluor® 568 - ab312761, Alexa Fluor® 750 - ab321221

Patented technology
Our RabMAb® technology is a patented hybridoma-based technology for making rabbit monoclonal antibodies. For details on our patents, please refer to RabMAb® patents.

What are the advantages of a recombinant monoclonal antibody?
This product is a recombinant monoclonal antibody, which offers several advantages including:

  • - High batch-to-batch consistency and reproducibility
  • - Improved sensitivity and specificity
  • - Long-term security of supply
  • - Animal-free batch production

For more information, read more on recombinant antibodies.

Properties and storage information

Form
Liquid
Purification technique
Affinity purification Protein A
Storage buffer
Preservative: 0.01% Sodium azide Constituents: PBS, 40% Glycerol (glycerin, glycerine), 0.05% BSA
Shipped at conditions
Blue Ice
Appropriate short-term storage duration
1-2 weeks
Appropriate short-term storage conditions
+4°C
Appropriate long-term storage conditions
-20°C
Aliquoting information
Upon delivery aliquot
Storage information
Avoid freeze / thaw cycle

Supplementary information

This supplementary information is collated from multiple sources and compiled automatically.

Ubiquitin is a small regulatory protein found in almost all tissues of eukaryotic organisms. It has a molecular weight of approximately 8.6 kilodaltons. It functions mechanically by attaching to proteins through a process called ubiquitination which involves the formation of an isopeptide bond. Ubiquitin molecules can form polyubiquitin chains through different lysine residues such as K48 and K63 that determine their function. These chains label substrate proteins for various fates including degradation. Ubiquitin is expressed ubiquitously in cells reflecting its essential role in maintaining protein homeostasis.
Biological function summary

The ubiquitin system plays a critical role in regulating protein turnover and quality control within cells. It is part of a larger complex known as the ubiquitin-proteasome system (UPS) which is responsible for degrading proteins that need to be turned over. This process is essential for cell cycle control response to oxidative stress and DNA repair. Ubiquitin's role in tagging proteins for degradation or signaling allows cells to respond quickly to changes in their environment and maintain balance.

Pathways

Ubiquitin functions in several important biological pathways including the Wnt and NF-kB pathways. In the Wnt signaling pathway ubiquitination modulates the stability of key components thereby affecting the pathway's overall activity. In the NF-kB signaling pathway ubiquitin labels inhibitor proteins for degradation which releases and activates NF-kB. These pathways highlight ubiquitin's interaction with proteins such as beta-catenin in Wnt and IkB in NF-kB illustrating how it regulates diverse cellular processes.

The dysfunction of the ubiquitin system is linked to neurodegenerative diseases and cancers. Ubiquitin-related defects in protein degradation can lead to the buildup of unwanted proteins contributing to conditions like Parkinson's disease. Connections with cancer are evident as ubiquitin controls cell cycle proteins and aberrant ubiquitination may drive tumor growth and progression. The protein p53 known to be controlled by ubiquitination plays a significant role in cancer related mechanisms when dysregulated. Understanding and targeting ubiquitin-related pathways may provide new therapeutic opportunities for treating these conditions.

Product protocols

For this product, it's our understanding that no specific protocols are required. You can visit:

Target data

Ubiquitin. Exists either covalently attached to another protein, or free (unanchored). When covalently bound, it is conjugated to target proteins via an isopeptide bond either as a monomer (monoubiquitin), a polymer linked via different Lys residues of the ubiquitin (polyubiquitin chains) or a linear polymer linked via the initiator Met of the ubiquitin (linear polyubiquitin chains). Polyubiquitin chains, when attached to a target protein, have different functions depending on the Lys residue of the ubiquitin that is linked : Lys-6-linked may be involved in DNA repair; Lys-11-linked is involved in ERAD (endoplasmic reticulum-associated degradation) and in cell-cycle regulation; Lys-29-linked is involved in proteotoxic stress response and cell cycle; Lys-33-linked is involved in kinase modification; Lys-48-linked is involved in protein degradation via the proteasome; Lys-63-linked is involved in endocytosis, DNA-damage responses as well as in signaling processes leading to activation of the transcription factor NF-kappa-B. Linear polymer chains formed via attachment by the initiator Met lead to cell signaling. Ubiquitin is usually conjugated to Lys residues of target proteins, however, in rare cases, conjugation to Cys or Ser residues has been observed. When polyubiquitin is free (unanchored-polyubiquitin), it also has distinct roles, such as in activation of protein kinases, and in signaling. During ubiquitination, the acceptor ubiquitin is positioned in the active site via direct interaction with the E2 ubiquitin-conjugating enzymes such as UBE2R2 (PubMed : 38326650). As a monoubiquitin, its C-terminal glycine is recognized as a C-degron by Cul2-RING (CRL2) E3 ubiquitin-protein ligase complexes (PubMed : 39548056).
See full target information UBC Linkage-specific K63

Publications (134)

Recent publications for all applications. Explore the full list and refine your search

International journal of molecular sciences 26: PubMed40943126

2025

NEDD4L-Mediated Ubiquitination of GPX4 Exacerbates Doxorubicin-Induced Cardiotoxicity.

Applications

Unspecified application

Species

Unspecified reactive species

Jiaxing Ke,Lingjia Li,Shuling Chen,Chenxin Liao,Feng Peng,Dajun Chai,Jinxiu Lin

Communications biology 8:1308 PubMed40883557

2025

TRIM2 inhibits apoptosis by ubiquitinating BNIP3 to protect the intestine against ischemia-reperfusion injury in mice.

Applications

Unspecified application

Species

Unspecified reactive species

Jinping Nie,Chao Mei,Aiping Wei,Yingjie Wang,Chenlu Fan,Yingjie Huang,Ming Jiang,Han Che,Tao Chen,Juan Tian,Yong Li,Xuan Huang,Xuekang Zhang

International journal of biological sciences 21:3705-3725 PubMed40520022

2025

ITLN1 exacerbates Crohn's colitis by driving ZBP1-dependent PANoptosis in intestinal epithelial cells through antagonizing TRIM8-mediated CAPN2 ubiquitination.

Applications

Unspecified application

Species

Unspecified reactive species

Jie Zhao,Yujiang Li,Pu Ying,Yan Zhou,Ziwei Xu,Dongmei Wang,Honggang Wang,Liming Tang

iScience 28:112545 PubMed40491475

2025

Covalent inhibition of Ubc13 impairs global protein synthesis.

Applications

Unspecified application

Species

Unspecified reactive species

Anna Truong,Ruitian Hu,Baiyi Quan,Morgan A Bailey,Erin A Schroeder,Kayla Sylvester,Gaëlle Neveu,Björn F C Kafsack,Michael C Fitzgerald,Emily R Derbyshire

Cell communication and signaling : CCS 23:257 PubMed40450320

2025

The E3 ubiquitin ligase MARCH2 controls TNF-α mediated inflammation by autoubiquitination.

Applications

Unspecified application

Species

Unspecified reactive species

Kiramage Chathuranga,Pramodya Rathnapala,Asela Weerawardhana,Tae-Hwan Kim,Yebin Seong,W A Gayan Chathuranga,Ashan Subasinghe,D K Haluwana,Nuwan Gamage,Youn Jung Choi,Jae U Jung,Jong-Soo Lee

Communications biology 8:728 PubMed40348811

2025

Ubiquitin-activating enzyme1 (TgUAE1) acts as a key regulator of Toxoplasma gondii lytic cycle and homeostasis.

Applications

Unspecified application

Species

Unspecified reactive species

Qi-Xin Zhou,Dai-Qiang Lu,Si-Yu Tian,Yao Lv,Ming-Wei Chen,Xin Tian,Yan-Tao Wu,Fang-Jun Luo,Feng Tan,Ya-Ni Mou

Scientific reports 15:11054 PubMed40169639

2025

Broad-spectrum ubiquitin-specific protease inhibition as a mechanism for the cytotoxicity of YM155 in cancers.

Applications

Unspecified application

Species

Unspecified reactive species

Xiang Li,Na He,Yan Lv,Haiyue Wang,Ming Zhang,Heiyan Zhai,Zhen Yang,Yi Yang,Dagang Guo,Zhixiang Cao,Yiyou Chen

Cell biology and toxicology 41:55 PubMed40045003

2025

Neutrophil-derived heparin-binding protein increases endothelial permeability in acute lung injury by promoting TRIM21 and the ubiquitination of P65.

Applications

Unspecified application

Species

Unspecified reactive species

Jian Zhang,Yong Cao,Wenqi Shu,Senxiao Dong,Yini Sun,Xiaochun Ma

Nature communications 16:1438 PubMed39920137

2025

Aspirin inhibits proteasomal degradation and promotes α-synuclein aggregate clearance through K63 ubiquitination.

Applications

Unspecified application

Species

Unspecified reactive species

Jing Gao,Yang Liu,Chenfang Si,Rui Guo,Shouqiao Hou,Xiaosong Liu,Houfang Long,Di Liu,Daichao Xu,Zai-Rong Zhang,Cong Liu,Bing Shan,Christoph W Turck,Kaiwen He,Yaoyang Zhang

Autophagy 21:1212-1227 PubMed39878121

2025

Limiting cap-dependent translation increases 20S proteasomal degradation and protects the proteomic integrity in autophagy-deficient skeletal muscle.

Applications

Unspecified application

Species

Unspecified reactive species

Han Dong,Yifan Lyu,Chien-Yung Huang,Shih-Yin Tsai
View all publications

Product promise

We are committed to supporting your work with high-quality reagents, and we're here for you every step of the way. In the unlikely event that one of our products does not perform as expected, you're protected by our Product Promise.
For full details, please see our Terms & Conditions

Please note: All products are 'FOR RESEARCH USE ONLY. NOT FOR USE IN DIAGNOSTIC OR THERAPEUTIC PROCEDURES'.

For licensing inquiries, please contact partnerships@abcam.com