JavaScript is disabled in your browser. Please enable JavaScript to view this website.
AB271929

Anti-Ubiquitin (linkage-specific K63) antibody [EPR8590-448] - BSA and Azide free

Be the first to review this product! Submit a review

|

(0 Publication)

Rabbit Recombinant Monoclonal UBC Linkage-specific K63 antibody. Carrier free. Suitable for WB, IHC-P, Flow Cyt (Intra) and reacts with Rat, Mouse, Recombinant fragment, Human samples.

View Alternative Names

Polyubiquitin-C, UBC

3 Images
Immunohistochemistry (Formalin/PFA-fixed paraffin-embedded sections) - Anti-Ubiquitin (linkage-specific K63) antibody [EPR8590-448] - BSA and Azide free (AB271929)
  • IHC-P

Supplier Data

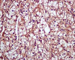
Immunohistochemistry (Formalin/PFA-fixed paraffin-embedded sections) - Anti-Ubiquitin (linkage-specific K63) antibody [EPR8590-448] - BSA and Azide free (AB271929)

Immunohistochemical analysis of paraffin-embedded human kidney carcinoma tissue labeling K63-linkage specific polyubiquitin with unpurified ab179434 at 1/100 dilution.

This data was developed using the same antibody clone in a different buffer formulation containing PBS, BSA, glycerol, and sodium azide (ab179434).

Immunohistochemistry (Formalin/PFA-fixed paraffin-embedded sections) - Anti-Ubiquitin (linkage-specific K63) antibody [EPR8590-448] - BSA and Azide free (AB271929)
  • IHC-P

Lab

Immunohistochemistry (Formalin/PFA-fixed paraffin-embedded sections) - Anti-Ubiquitin (linkage-specific K63) antibody [EPR8590-448] - BSA and Azide free (AB271929)

Immunohistochemical staining of paraffin embedded human tonsil with purified ab179434 at a dilution of 1/500. The secondary antibody used is a HRP conjugated goat anti-rabbit (ab97051, 1/500). The sample is counter-stained with hematoxylin. Antigen retrieval was perfomed using Tris-EDTA buffer, pH 9.0. PBS was used instead of the primary antibody as the negative control, and is shown in the inset.

This data was developed using the same antibody clone in a different buffer formulation containing PBS, BSA, glycerol, and sodium azide (ab179434).

Flow Cytometry (Intracellular) - Anti-Ubiquitin (linkage-specific K63) antibody [EPR8590-448] - BSA and Azide free (AB271929)
  • Flow Cyt (Intra)

Unknown

Flow Cytometry (Intracellular) - Anti-Ubiquitin (linkage-specific K63) antibody [EPR8590-448] - BSA and Azide free (AB271929)

Intracellular Flow Cytometry analysis of HeLa (human cervix adenocarcinoma) cells labelling Ubiquitin (linkage-specific K63) with purified ab179434 at 1/210 (red). Cells were fixed with 4% paraformaldehyde and permeabilised with 90% methanol. An Alexa Fluor®488-conjugated goat anti-rabbit IgG (1/2000) was used as the secondary antibody. Black - Isotype control, rabbit monoclonal IgG. Blue - Unlabelled control, cells without incubation with primary and secondary antibodies.

This data was developed using the same antibody clone in a different buffer formulation containing PBS, BSA, glycerol, and sodium azide (ab179434).

  • Unconjugated

    Anti-Ubiquitin (linkage-specific K63) antibody [EPR8590-448]

  • 775 Alexa Fluor® 750

    Alexa Fluor® 750 Anti-Ubiquitin (linkage-specific K63) antibody [EPR8590-448]

  • 665 Alexa Fluor® 647

    Alexa Fluor® 647 Anti-Ubiquitin (linkage-specific K63) antibody [EPR8590-448]

  • 519 Alexa Fluor® 488

    Alexa Fluor® 488 Anti-Ubiquitin (linkage-specific K63) antibody [EPR8590-448]

  • 578 PE

    PE Anti-Ubiquitin (linkage-specific K63) antibody [EPR8590-448]

  • 660 APC

    APC Anti-Ubiquitin (linkage-specific K63) antibody [EPR8590-448]

  • HRP

    HRP Anti-Ubiquitin (linkage-specific K63) antibody [EPR8590-448]

  • 565 Alexa Fluor® 555

    Alexa Fluor® 555 Anti-Ubiquitin (linkage-specific K63) antibody [EPR8590-448]

  • 617 Alexa Fluor® 594

    Alexa Fluor® 594 Anti-Ubiquitin (linkage-specific K63) antibody [EPR8590-448]

  • 603 Alexa Fluor® 568

    Alexa Fluor® 568 Anti-Ubiquitin (linkage-specific K63) antibody [EPR8590-448]

Key facts

Host species

Rabbit

Clonality

Monoclonal

Clone number

EPR8590-448

Isotype

IgG

Carrier free

Yes

Reacts with

Mouse, Rat, Human

Applications

IHC-P, Flow Cyt (Intra), WB

applications

Immunogen

The exact immunogen used to generate this antibody is proprietary information.

Reactivity data

{ "title": "Reactivity Data", "filters": { "stats": ["", "Species", "Dilution Info", "Notes"], "tabs": { "all-applications": {"fullname" : "All Applications", "shortname": "All Applications"}, "WB" : {"fullname" : "Western blot", "shortname":"WB"}, "IHCP" : {"fullname" : "Immunohistochemistry (Formalin/PFA-fixed paraffin-embedded sections)", "shortname":"IHC-P"}, "FlowCytIntra" : {"fullname" : "Flow Cytometry (Intracellular)", "shortname":"Flow Cyt (Intra)"} }, "product-promise": { "all": "all", "testedAndGuaranteed": "tested", "guaranteed": "expected", "predicted": "predicted", "notRecommended": "not-recommended" } }, "values": { "Human": { "WB-species-checked": "testedAndGuaranteed", "WB-species-dilution-info": "", "WB-species-notes": "<p></p>", "IHCP-species-checked": "testedAndGuaranteed", "IHCP-species-dilution-info": "", "IHCP-species-notes": "<p></p>", "FlowCytIntra-species-checked": "testedAndGuaranteed", "FlowCytIntra-species-dilution-info": "", "FlowCytIntra-species-notes": "<p></p>" }, "Mouse": { "WB-species-checked": "testedAndGuaranteed", "WB-species-dilution-info": "", "WB-species-notes": "<p></p>", "IHCP-species-checked": "guaranteed", "IHCP-species-dilution-info": "", "IHCP-species-notes": "", "FlowCytIntra-species-checked": "guaranteed", "FlowCytIntra-species-dilution-info": "", "FlowCytIntra-species-notes": "" }, "Rat": { "WB-species-checked": "testedAndGuaranteed", "WB-species-dilution-info": "", "WB-species-notes": "<p></p>", "IHCP-species-checked": "guaranteed", "IHCP-species-dilution-info": "", "IHCP-species-notes": "", "FlowCytIntra-species-checked": "guaranteed", "FlowCytIntra-species-dilution-info": "", "FlowCytIntra-species-notes": "" }, "Recombinant fragment": { "WB-species-checked": "testedAndGuaranteed", "WB-species-dilution-info": "", "WB-species-notes": "<p></p>", "IHCP-species-checked": "notRecommended", "IHCP-species-dilution-info": "", "IHCP-species-notes": "", "FlowCytIntra-species-checked": "notRecommended", "FlowCytIntra-species-dilution-info": "", "FlowCytIntra-species-notes": "" } } }

Product details

ab271929 is the carrier-free version of ab179434.

Patented technology
Our RabMAb® technology is a patented hybridoma-based technology for making rabbit monoclonal antibodies. For details on our patents, please refer to RabMAb® patents.

What are the advantages of a recombinant monoclonal antibody?
This product is a recombinant monoclonal antibody, which offers several advantages including:

  • - High batch-to-batch consistency and reproducibility
  • - Improved sensitivity and specificity
  • - Long-term security of supply
  • - Animal-free batch production

For more information, read more on recombinant antibodies.

Conjugation ready
Our carrier-free antibodies are typically supplied in a PBS-only formulation, purified and free of BSA, sodium azide and glycerol. This conjugation-ready format is designed for use with fluorochromes, metal isotopes, oligonucleotides, and enzymes, which makes them ideal for antibody labelling, functional and cell-based assays, flow-based assays (e.g. mass cytometry) and Multiplex Imaging applications.

Use our conjugation kits for antibody conjugates that are ready-to-use in as little as 20 minutes with 1 minute hands-on-time and 100% antibody recovery: available for fluorescent dyes, HRP, biotin and gold.

Compatibility
This product is compatible with the Maxpar® Antibody Labeling Kit from Fluidigm, without the need for antibody preparation. Maxpar® is a trademark of Fluidigm Canada Inc.

Properties and storage information

Form
Liquid
Purification technique
Affinity purification Protein A
Storage buffer
pH: 7.2 - 7.4 Constituents: PBS
Shipped at conditions
Blue Ice
Appropriate short-term storage conditions
+4°C
Appropriate long-term storage conditions
+4°C
Storage information
Do Not Freeze

Supplementary information

This supplementary information is collated from multiple sources and compiled automatically.

Ubiquitin is a small regulatory protein found in almost all tissues of eukaryotic organisms. It has a molecular weight of approximately 8.6 kilodaltons. It functions mechanically by attaching to proteins through a process called ubiquitination which involves the formation of an isopeptide bond. Ubiquitin molecules can form polyubiquitin chains through different lysine residues such as K48 and K63 that determine their function. These chains label substrate proteins for various fates including degradation. Ubiquitin is expressed ubiquitously in cells reflecting its essential role in maintaining protein homeostasis.
Biological function summary

The ubiquitin system plays a critical role in regulating protein turnover and quality control within cells. It is part of a larger complex known as the ubiquitin-proteasome system (UPS) which is responsible for degrading proteins that need to be turned over. This process is essential for cell cycle control response to oxidative stress and DNA repair. Ubiquitin's role in tagging proteins for degradation or signaling allows cells to respond quickly to changes in their environment and maintain balance.

Pathways

Ubiquitin functions in several important biological pathways including the Wnt and NF-kB pathways. In the Wnt signaling pathway ubiquitination modulates the stability of key components thereby affecting the pathway's overall activity. In the NF-kB signaling pathway ubiquitin labels inhibitor proteins for degradation which releases and activates NF-kB. These pathways highlight ubiquitin's interaction with proteins such as beta-catenin in Wnt and IkB in NF-kB illustrating how it regulates diverse cellular processes.

The dysfunction of the ubiquitin system is linked to neurodegenerative diseases and cancers. Ubiquitin-related defects in protein degradation can lead to the buildup of unwanted proteins contributing to conditions like Parkinson's disease. Connections with cancer are evident as ubiquitin controls cell cycle proteins and aberrant ubiquitination may drive tumor growth and progression. The protein p53 known to be controlled by ubiquitination plays a significant role in cancer related mechanisms when dysregulated. Understanding and targeting ubiquitin-related pathways may provide new therapeutic opportunities for treating these conditions.

Product protocols

For this product, it's our understanding that no specific protocols are required. You can visit:

Target data

Ubiquitin. Exists either covalently attached to another protein, or free (unanchored). When covalently bound, it is conjugated to target proteins via an isopeptide bond either as a monomer (monoubiquitin), a polymer linked via different Lys residues of the ubiquitin (polyubiquitin chains) or a linear polymer linked via the initiator Met of the ubiquitin (linear polyubiquitin chains). Polyubiquitin chains, when attached to a target protein, have different functions depending on the Lys residue of the ubiquitin that is linked : Lys-6-linked may be involved in DNA repair; Lys-11-linked is involved in ERAD (endoplasmic reticulum-associated degradation) and in cell-cycle regulation; Lys-29-linked is involved in proteotoxic stress response and cell cycle; Lys-33-linked is involved in kinase modification; Lys-48-linked is involved in protein degradation via the proteasome; Lys-63-linked is involved in endocytosis, DNA-damage responses as well as in signaling processes leading to activation of the transcription factor NF-kappa-B. Linear polymer chains formed via attachment by the initiator Met lead to cell signaling. Ubiquitin is usually conjugated to Lys residues of target proteins, however, in rare cases, conjugation to Cys or Ser residues has been observed. When polyubiquitin is free (unanchored-polyubiquitin), it also has distinct roles, such as in activation of protein kinases, and in signaling. During ubiquitination, the acceptor ubiquitin is positioned in the active site via direct interaction with the E2 ubiquitin-conjugating enzymes such as UBE2R2 (PubMed : 38326650).
See full target information UBC Linkage-specific K63

Product promise

We are committed to supporting your work with high-quality reagents, and we're here for you every step of the way. In the unlikely event that one of our products does not perform as expected, you're protected by our Product Promise.
For full details, please see our Terms & Conditions

Associated Products

Select an associated product type
Alternative Product
Primary Antibodies

AB204274

Alexa Fluor® 488 Anti-Ubiquitin (linkage-specific K48) antibody [EP8589]

primary-antibodies

alexa-fluor-488-ubiquitin-linkage-specific-k48-antibody-ep8589-ab204274

0

(0 reviews)

Alternative Product
Primary Antibodies

AB204476

Alexa Fluor® 647 Anti-Ubiquitin (linkage-specific K48) antibody [EP8589]

primary-antibodies

alexa-fluor-647-ubiquitin-linkage-specific-k48-antibody-ep8589-ab204476

0

(0 reviews)

Alternative Product
Primary Antibodies

AB137025

Anti-Ubiquitin antibody [EPR8590]

primary-antibodies

ubiquitin-antibody-epr8590-ab137025

0

(0 reviews)

Alternative Product
Primary Antibodies

AB134953

Anti-Ubiquitin antibody [EPR8830]

primary-antibodies

ubiquitin-antibody-epr8830-ab134953

4

(3 reviews)

Alternative Product
Primary Antibodies

AB140601

Anti-Ubiquitin (linkage-specific K48) antibody [EP8589]

primary-antibodies

ubiquitin-linkage-specific-k48-antibody-ep8589-ab140601

5

(10 reviews)

Alternative Product
Primary Antibodies

AB181537

Anti-Ubiquitin (linkage-specific K27) antibody [EPR17034]

primary-antibodies

ubiquitin-linkage-specific-k27-antibody-epr17034-ab181537

4

(1 reviews)

Alternative Product
Primary Antibodies

AB206366

Alexa Fluor® 594 Anti-Ubiquitin (linkage-specific K48) antibody [EP8589]

primary-antibodies

alexa-fluor-594-ubiquitin-linkage-specific-k48-antibody-ep8589-ab206366

0

(0 reviews)

Alternative Product
Primary Antibodies

AB230145

Anti-Ubiquitin antibody [EPR8830] - BSA and Azide free

primary-antibodies

ubiquitin-antibody-epr8830-bsa-and-azide-free-ab230145

0

(0 reviews)

Alternative Product
Primary Antibodies

AB221211

Anti-Ubiquitin (linkage-specific K48) antibody [EP8589] - Low endotoxin, Azide free

primary-antibodies

ubiquitin-linkage-specific-k48-antibody-ep8589-low-endotoxin-azide-free-ab221211

0

(0 reviews)

Alternative Version
Primary Antibodies

AB192489

Alexa Fluor® 647 Anti-Ubiquitin (linkage-specific K63) antibody [EPR8590-448]

primary-antibodies

alexa-fluor-647-ubiquitin-linkage-specific-k63-antibody-epr8590-448-ab192489

0

(0 reviews)

Alternative Version
Primary Antibodies

AB192539

Alexa Fluor® 488 Anti-Ubiquitin (linkage-specific K63) antibody [EPR8590-448]

primary-antibodies

alexa-fluor-488-ubiquitin-linkage-specific-k63-antibody-epr8590-448-ab192539

0

(0 reviews)

Alternative Version
Primary Antibodies

AB220794

Anti-Ubiquitin (linkage-specific K63) antibody [EPR8590-448] - Low endotoxin, Azide free

primary-antibodies

ubiquitin-linkage-specific-k63-antibody-epr8590-448-low-endotoxin-azide-free-ab220794

0

(0 reviews)

Alternative Version
Primary Antibodies

AB305677

PE Anti-Ubiquitin (linkage-specific K63) antibody [EPR8590-448]

primary-antibodies

pe-ubiquitin-linkage-specific-k63-antibody-epr8590-448-ab305677

0

(0 reviews)

Alternative Version
Primary Antibodies

AB305678

APC Anti-Ubiquitin (linkage-specific K63) antibody [EPR8590-448]

primary-antibodies

apc-ubiquitin-linkage-specific-k63-antibody-epr8590-448-ab305678

0

(0 reviews)

Alternative Version
Primary Antibodies

AB305679

HRP Anti-Ubiquitin (linkage-specific K63) antibody [EPR8590-448]

primary-antibodies

hrp-ubiquitin-linkage-specific-k63-antibody-epr8590-448-ab305679

0

(0 reviews)

Alternative Version
Primary Antibodies

AB312270

Alexa Fluor® 555 Anti-Ubiquitin (linkage-specific K63) antibody [EPR8590-448]

primary-antibodies

alexa-fluor-555-ubiquitin-linkage-specific-k63-antibody-epr8590-448-ab312270

0

(0 reviews)

Alternative Version
Primary Antibodies

AB310741

Alexa Fluor® 594 Anti-Ubiquitin (linkage-specific K63) antibody [EPR8590-448]

primary-antibodies

alexa-fluor-594-ubiquitin-linkage-specific-k63-antibody-epr8590-448-ab310741

0

(0 reviews)

Alternative Version
Primary Antibodies

AB312761

Alexa Fluor® 568 Anti-Ubiquitin (linkage-specific K63) antibody [EPR8590-448]

primary-antibodies

alexa-fluor-568-ubiquitin-linkage-specific-k63-antibody-epr8590-448-ab312761

0

(0 reviews)

Please note: All products are 'FOR RESEARCH USE ONLY. NOT FOR USE IN DIAGNOSTIC OR THERAPEUTIC PROCEDURES'.

For licensing inquiries, please contact partnerships@abcam.com