JavaScript is disabled in your browser. Please enable JavaScript to view this website.
AB203192

Anti-UBL7 antibody

Be the first to review this product! Submit a review

|

(1 Publication)

Rabbit Polyclonal UBL7 antibody. Suitable for IHC-P and reacts with Rat samples. Cited in 1 publication. Immunogen corresponding to Synthetic Peptide within Human UBL7 aa 1-100 conjugated to Keyhole Limpet Haemocyanin.

View Alternative Names

BMSCUBP, SB132, UBL7, Ubiquitin-like protein 7, Bone marrow stromal cell ubiquitin-like protein, Ubiquitin-like protein SB132, BMSC-UbP

2 Images
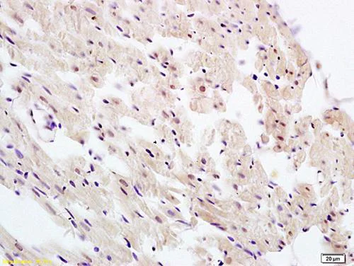
Immunohistochemistry (Formalin/PFA-fixed paraffin-embedded sections) - Anti-UBL7 antibody (AB203192)
  • IHC-P

Supplier Data

Immunohistochemistry (Formalin/PFA-fixed paraffin-embedded sections) - Anti-UBL7 antibody (AB203192)

Immunohistochemical analysis of formalin-fixed paraffin-embedded rat heart tissue, labeling UBL7 using ab203192 at a 1/100 dilution, followed by conjugation to the secondary antibody and DAB staining.

Immunohistochemistry (Formalin/PFA-fixed paraffin-embedded sections) - Anti-UBL7 antibody (AB203192)
  • IHC-P

Supplier Data

Immunohistochemistry (Formalin/PFA-fixed paraffin-embedded sections) - Anti-UBL7 antibody (AB203192)

Immunohistochemical analysis of formalin-fixed paraffin-embedded rat brain tissue, labeling UBL7 using ab203192 at a 1/100 dilution, followed by conjugation to the secondary antibody and DAB staining.

Key facts

Host species

Rabbit

Clonality

Polyclonal

Isotype

IgG

Carrier free

No

Reacts with

Rat

Applications

IHC-P

applications

Immunogen

Synthetic Peptide within Human UBL7 aa 1-100 conjugated to Keyhole Limpet Haemocyanin. The exact immunogen used to generate this antibody is proprietary information.

Q96S82

Reactivity data

{ "title": "Reactivity Data", "filters": { "stats": ["", "Species", "Dilution Info", "Notes"], "tabs": { "all-applications": {"fullname" : "All Applications", "shortname": "All Applications"}, "IHCP" : {"fullname" : "Immunohistochemistry (Formalin/PFA-fixed paraffin-embedded sections)", "shortname":"IHC-P"} }, "product-promise": { "all": "all", "testedAndGuaranteed": "tested", "guaranteed": "expected", "predicted": "predicted", "notRecommended": "not-recommended" } }, "values": { "Rat": { "IHCP-species-checked": "testedAndGuaranteed", "IHCP-species-dilution-info": "1/100 - 1/500", "IHCP-species-notes": "<p>Use at 1/50 - 1/200 with fluorescent detection methods.</p> Perform heat-mediated antigen retrieval with citrate buffer pH 6 before commencing with IHC staining protocol." } } }

Properties and storage information

Form
Liquid
Purification technique
Affinity purification Protein A
Storage buffer
pH: 7.4 Preservative: 0.02% Proclin 300 Constituents: 50% Glycerol (glycerin, glycerine), 48.98% TBS, 1X, 1% BSA
Shipped at conditions
Blue Ice
Appropriate short-term storage duration
1-2 weeks
Appropriate short-term storage conditions
+4°C
Appropriate long-term storage conditions
-20°C
Aliquoting information
Upon delivery aliquot
Storage information
Avoid freeze / thaw cycle

Supplementary information

This supplementary information is collated from multiple sources and compiled automatically.

UBL7 also known as FAM165B or ubiquitin-like protein 7 is a protein closely involved in cellular protein homeostasis. It has a molecular mass of approximately 19.5 kDa. You will often find UBL7 expressed in various tissues throughout the body highlighting its broad distribution. The protein functions within cells to oversee ubiquitin-proteasome system aspects which are central to maintaining cellular health and function.
Biological function summary

UBL7 plays an important role in the post-translational modification process where it impacts protein stability and degradation timing. UBL7 is not generally known as part of large protein complexes but influences multiple cellular processes by modifying how proteins are tagged for degradation or retention. This modulation process supports cellular adaptation to changing environmental and metabolic conditions.

Pathways

The protein UBL7 integrates into the ubiquitin-proteasome pathway which manages protein degradation and turnover. This pathway is essential for regulating protein quantities within cells. UBL7 interacts with specific components of this pathway influencing the function of proteins such as ubiquitin and related conjugation enzymes. Its role helps fine-tune the protein degradation process ensuring proteins are appropriately tagged for recycling or destruction.

UBL7 associations have appeared in studies examining neurodegenerative diseases and cancer progression. Aberrations in UBL7 function or expression can lead to disrupted protein homeostasis a factor implicated in the development of these conditions. In neurodegenerative diseases its interactions with ubiquitin and proteasome components suggest a potential connection to misfolding protein accumulations. Additionally in cancer UBL7's function connects it to p53 where alterations can contribute to tumorigenesis due to impaired regulation of cell cycle and apoptosis pathways.

Product protocols

For this product, it's our understanding that no specific protocols are required. You can visit:

Target data

Interferon-stimulated protein that positively regulates RNA virus-triggered innate immune signaling. Mechanistically, promotes 'Lys-27'-linked polyubiquitination of MAVS through TRIM21 leading to enhanced the IFN signaling pathway.
See full target information UBL7

Publications (1)

Recent publications for all applications. Explore the full list and refine your search

BMC pharmacology & toxicology 26:4 PubMed39762913

2025

Effects of different antiplatelet therapy drugs on platelet activation and platelet-leukocyte aggregate formation in early septic ARDS.

Applications

Unspecified application

Species

Unspecified reactive species

Lu Wang,Liang-Yu Mi,Xiang-Yu Chen,Huai-Wu He,Yun Long
View all publications

Product promise

We are committed to supporting your work with high-quality reagents, and we're here for you every step of the way. In the unlikely event that one of our products does not perform as expected, you're protected by our Product Promise.
For full details, please see our Terms & Conditions

Please note: All products are 'FOR RESEARCH USE ONLY. NOT FOR USE IN DIAGNOSTIC OR THERAPEUTIC PROCEDURES'.

For licensing inquiries, please contact partnerships@abcam.com