JavaScript is disabled in your browser. Please enable JavaScript to view this website.
AB325178

Anti-UBP43/USP18 antibody [EPR26174-540]

  • RabMAb
  • Recombinant
  • 20ul selling size
  • KO Validated
  • What is this?

Be the first to review this product! Submit a review

|

(0 Publication)

Rabbit Recombinant Monoclonal UBP43/USP18 antibody. Suitable for IP, ICC/IF, WB and reacts with Human samples.

View Alternative Names

ISG43, USP18, Ubl carboxyl-terminal hydrolase 18, 43 kDa ISG15-specific protease, ISG15-specific-processing protease, Ubl thioesterase 18, hUBP43

5 Images
Immunocytochemistry/ Immunofluorescence - Anti-UBP43/USP18 antibody [EPR26174-540] (AB325178)
  • ICC/IF

Supplier Data

Immunocytochemistry/ Immunofluorescence - Anti-UBP43/USP18 antibody [EPR26174-540] (AB325178)

Immunofluorescent analysis of 4% Paraformaldehyde-fixed, 0.1% TritonX-100 permeabilized Parental A549 (human lung carcinoma epithelial cell); USP18 KO A549 (USP18 knockout human lung carcinoma epithelial cell) (ab267177); USP18 KO A549 treated with human IFNa (100 U/mL) for 14 hr cells labelling UBP43/USP18 with ab325178 at 1/100 dilution, followed by ab150081 Goat Anti-Rabbit IgG H&L (Alexa Fluor® 488) preadsorbed antibody at 1/1000 dilution (Green).

Confocal image showing cytoplasmic and nuclear staining in Parental A549 cells (shown in green) treated with human IFNa (100 U/mL) for 14 hr. The counterstain was observed in magenta. Nuclear DNA was labelled with DAPI (shown in blue). Image was taken with a confocal microscope (Leica-Microsystems, TCS SP8).

ab7291 Anti-alpha Tubulin mouse monoclonal antibody was used to counterstain tubulin at 1/1000 dilution (Magenta). The Nuclear counterstain was DAPI (Blue).

Secondary antibody only control : Secondary antibody is ab150081 Goat Anti-Rabbit IgG H&L (Alexa Fluor® 488) preadsorbed at 1/1000 dilution.

Immunoprecipitation - Anti-UBP43/USP18 antibody [EPR26174-540] (AB325178)
  • IP

Supplier Data

Immunoprecipitation - Anti-UBP43/USP18 antibody [EPR26174-540] (AB325178)

UBP43/USP18 was immunoprecipitated from 0.35 mg Wide-type A549 treated with 100U/ml IFN alpha (human) for 14 hours whole cell lysate with ab325178 at 1/30 dilution (2ug in 0.35mg lysates). Western blot was performed on the immunoprecipitate using ab325178 at 1000 dilution.

Blocking and dilution buffer and concentration : 5% NFDM/TBST

All lanes:

Immunoprecipitation - Anti-UBP43/USP18 antibody [EPR26174-540] (ab325178) at 1/1000 dilution

Lane 1:

Wide-type A549 treated with 100U/ml IFN alpha (human) for 14 hours whole cell lysate at 10 µg

Lane 2:

ab325178 at 1/30 IP in Wide-type A549 treated with 100U/ml IFN alpha (human) for 14 hours whole cell lysate

Lane 3:

Immunoprecipitation - Rabbit IgG, monoclonal [EPR25A] - Isotype Control (<a href='/en-us/products/primary-antibodies/rabbit-igg-monoclonal-epr25a-isotype-control-ab172730'>ab172730</a>)

Secondary

All lanes:

Immunoprecipitation - VeriBlot for IP Detection Reagent (HRP) (<a href='/en-us/products/reagents/veriblot-for-ip-detection-reagent-hrp-ab131366'>ab131366</a>) at 1/5000 dilution

Observed band size: 35 kDa,37 kDa

false

Exposure time: 24s

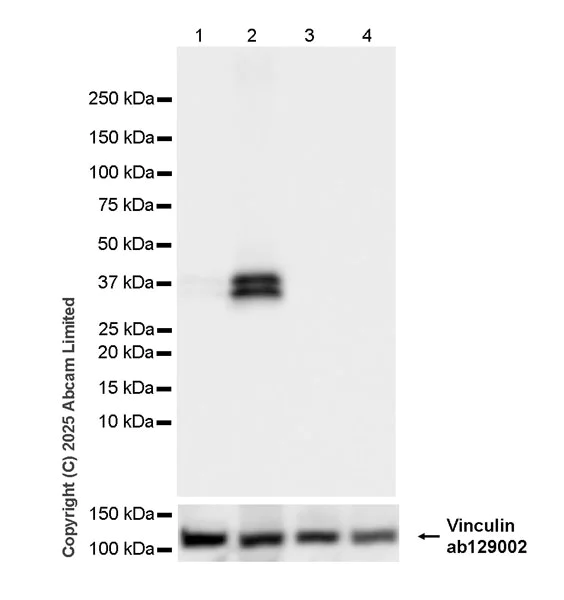
Western blot - Anti-UBP43/USP18 antibody [EPR26174-540] (AB325178)
  • WB

Supplier Data

Western blot - Anti-UBP43/USP18 antibody [EPR26174-540] (AB325178)

Blocking and diluting buffer and concentration : 5% NFDM/TBST.

Performed under reducing conditions.

In Western blot, ab325178 was shown to bind specifically to UBP43/USP18. Target of interest was observed at 35 kDa and 37kDa in wide-type A549 cell lysates (lane 2) with no signal observed at this size in USP18 knockout cell line (lane 3, 4) (lane 3, knockout cell line ab267178 / knockout cell lysate ab258752).

In Western blot, Anti-Vinculin antibody [EPR8185] (ab129002) staining at 1/10000 dilution.

All lanes:

Western blot - Anti-UBP43/USP18 antibody [EPR26174-540] (ab325178) at 1/1000 dilution

Lane 1:

Untreated wide-type A549 (human lung carcinoma epithelial cell) whole cell lysate at 50 µg

Lane 2:

Wide-type A549 treated with 100U/ml IFN alpha (human) for 14 hours whole cell lysate at 50 µg

Lane 3:

Untreated USP18 knockout A549 whole cell lysate at 50 µg

Lane 4:

USP18 knockout A549 treated with 100U/ml IFN alpha (human) for 14 hours whole cell lysate at 50 µg

Secondary

All lanes:

Western blot - Goat Anti-Rabbit IgG H&L (HRP) (<a href='/en-us/products/secondary-antibodies/goat-rabbit-igg-h-l-hrp-ab97051'>ab97051</a>) at 1/100000 dilution

Observed band size: 35 kDa,37 kDa,124 kDa

false

Exposure time: 3s

Western blot - Anti-UBP43/USP18 antibody [EPR26174-540] (AB325178)
  • WB

Supplier Data

Western blot - Anti-UBP43/USP18 antibody [EPR26174-540] (AB325178)

Blocking and diluting buffer and concentration : 5% NFDM/TBST.

In Western blot, Anti-Vinculin antibody [EPR8185] (ab129002) staining at 1/10000 dilution.

All lanes:

Western blot - Anti-UBP43/USP18 antibody [EPR26174-540] (ab325178) at 1/1000 dilution

Lane 1:

Untreated THP-1 (human monocytic leukemia monocyte) whole cell lysate at 50 µg

Lane 2:

THP-1 treated with 1 ug/ml LPS for 8 hours whole cell lysate at 50 µg

Lane 3:

Untreated HeLa (human cervical adenocarcinoma epithelial cell) whole cell lysate at 50 µg

Lane 4:

HeLa treated with 10ng/ml IFN alpha (human) for 16 hours whole cell lysate at 50 µg

Lane 5:

Untreated MCF7 (human breast adenocarcinoma epithelial cell) whole cell lysate at 50 µg

Lane 6:

MCF7 treated with 100U/ml IFN alpha (human) for 24 hours whole cell lysate at 50 µg

Secondary

All lanes:

Western blot - Goat Anti-Rabbit IgG H&L (HRP) (<a href='/en-us/products/secondary-antibodies/goat-rabbit-igg-h-l-hrp-ab97051'>ab97051</a>) at 1/100000 dilution

Observed band size: 35 kDa,37 kDa,124 kDa

false

Exposure time: 6s

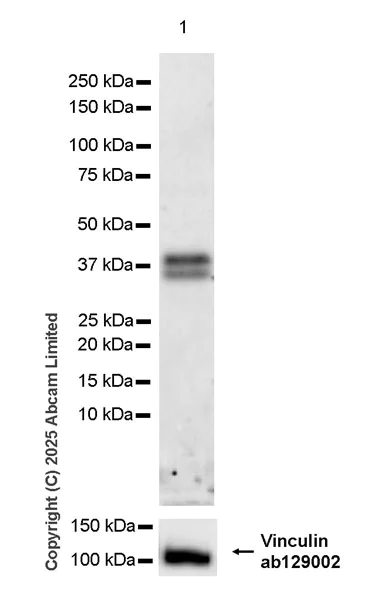
Western blot - Anti-UBP43/USP18 antibody [EPR26174-540] (AB325178)
  • WB

Supplier Data

Western blot - Anti-UBP43/USP18 antibody [EPR26174-540] (AB325178)

Blocking and diluting buffer and concentration : 5% NFDM/TBST.

In Western blot, Anti-Vinculin antibody [EPR8185] (ab129002) staining at 1/10000 dilution.

All lanes:

Western blot - Anti-UBP43/USP18 antibody [EPR26174-540] (ab325178) at 1/1000 dilution

All lanes:

Human tonsil tissue lysate at 50 µg

Secondary

All lanes:

Goat Anti-Rabbit IgG (HRP) with minimal cross-reactivity with human IgG at 1/2000 dilution

Observed band size: 35 kDa,37 kDa,124 kDa

false

Exposure time: 180s

Key facts

Host species

Rabbit

Clonality

Monoclonal

Clone number

EPR26174-540

Isotype

IgG

Carrier free

No

Reacts with

Human

Applications

IP, WB, ICC/IF

applications

Immunogen

The exact immunogen used to generate this antibody is proprietary information.

Reactivity data

{ "title": "Reactivity Data", "filters": { "stats": ["", "Species", "Dilution Info", "Notes"], "tabs": { "all-applications": {"fullname" : "All Applications", "shortname": "All Applications"}, "IP" : {"fullname" : "Immunoprecipitation", "shortname":"IP"}, "ICCIF" : {"fullname" : "Immunocytochemistry/ Immunofluorescence", "shortname":"ICC/IF"}, "WB" : {"fullname" : "Western blot", "shortname":"WB"} }, "product-promise": { "all": "all", "testedAndGuaranteed": "tested", "guaranteed": "expected", "predicted": "predicted", "notRecommended": "not-recommended" } }, "values": { "Human": { "IP-species-checked": "testedAndGuaranteed", "IP-species-dilution-info": "1/30", "IP-species-notes": "<p></p>", "ICCIF-species-checked": "testedAndGuaranteed", "ICCIF-species-dilution-info": "1/100", "ICCIF-species-notes": "<p></p>", "WB-species-checked": "testedAndGuaranteed", "WB-species-dilution-info": "1/1000", "WB-species-notes": "<p></p>" } } }

Product details

What are the advantages of a recombinant monoclonal antibody?
This product is a recombinant monoclonal antibody, which offers several advantages including:

  • - High batch-to-batch consistency and reproducibility
  • - Improved sensitivity and specificity
  • - Long-term security of supply
  • - Animal-free batch production

For more information, read more on recombinant antibodies.

Patented technology
Our RabMAb® technology is a patented hybridoma-based technology for making rabbit monoclonal antibodies. For details on our patents, please refer to RabMAb® patents.

Properties and storage information

Form
Liquid
Purification technique
Affinity purification Protein A
Storage buffer
pH: 7.2 - 7.4 Preservative: 0.01% Sodium azide Constituents: PBS, 40% Glycerol (glycerin, glycerine), 0.05% BSA
Shipped at conditions
Blue Ice
Appropriate short-term storage duration
1-2 weeks
Appropriate short-term storage conditions
+4°C
Appropriate long-term storage conditions
-20°C
Aliquoting information
Upon delivery aliquot
Storage information
Avoid freeze / thaw cycle

Product protocols

For this product, it's our understanding that no specific protocols are required. You can visit:

Target data

Interferon-induced ISG15-specific protease that plays a crucial role for maintaining a proper balance of ISG15-conjugated proteins in cells (PubMed : 11788588). Regulates protein ISGylation by efficiently cleaving ISG15 conjugates linked via isopeptide bonds. Regulates T-cell activation and T-helper 17 (Th17) cell differentiation by deubiquitinating TAK1, likely to keep TAK1-TAB complexes in steady conditions (PubMed : 23825189). In turn, restricts activation of NF-kappa-B, NFAT, and JNK as well as expression of IL2 in T-cells after TCR activation (PubMed : 23825189). Acts as a molecular adapter with USP20 to promote innate antiviral response through deubiquitinating STING1 (PubMed : 27801882). Involved also in the negative regulation of the inflammatory response triggered by type I interferon (PubMed : 27325888, PubMed : 28165510). Upon recruitment by STAT2 to the type I interferon receptor subunit IFNAR2 interferes with the assembly of the ternary interferon-IFNAR1-IFNAR2 complex and acts as a negative regulator of the type I interferon signaling pathway (PubMed : 28165510).. Isoform 2. Has enzymatic activity similar to isoform 1 and interferes with type I interferon signaling. Major deISGylation enzyme for nuclear proteins (PubMed : 22170061).
See full target information USP18

Product promise

We are committed to supporting your work with high-quality reagents, and we're here for you every step of the way. In the unlikely event that one of our products does not perform as expected, you're protected by our Product Promise.
For full details, please see our Terms & Conditions

Please note: All products are 'FOR RESEARCH USE ONLY. NOT FOR USE IN DIAGNOSTIC OR THERAPEUTIC PROCEDURES'.

For licensing inquiries, please contact partnerships@abcam.com