JavaScript is disabled in your browser. Please enable JavaScript to view this website.
AB190283

Anti-UBQLN2 antibody [6H9]

Be the first to review this product! Submit a review

|

(6 Publications)

Mouse Monoclonal UBQLN2 antibody. Suitable for WB, ICC/IF and reacts with Mouse, Human, Rat samples. Cited in 6 publications. Immunogen corresponding to Recombinant Fragment Protein within Human UBQLN2.

View Alternative Names

N4BP4, PLIC2, HRIHFB2157, UBQLN2, Ubiquilin-2, Chap1, DSK2 homolog, Protein linking IAP with cytoskeleton 2, Ubiquitin-like product Chap1/Dsk2, PLIC-2, hPLIC-2

6 Images
Immunocytochemistry/ Immunofluorescence - Anti-UBQLN2 antibody [6H9] (AB190283)
  • ICC/IF

Supplier Data

Immunocytochemistry/ Immunofluorescence - Anti-UBQLN2 antibody [6H9] (AB190283)

Immunofluorescent analysis of HeLa cells labeling UBQLN2 with ab190283 at 1/1000 dilution. Vimentin is stained in red.

Immunocytochemistry/ Immunofluorescence - Anti-UBQLN2 antibody [6H9] (AB190283)
  • ICC/IF

Supplier Data

Immunocytochemistry/ Immunofluorescence - Anti-UBQLN2 antibody [6H9] (AB190283)

NIH/3T3 (mouse embyro fibroblast cell line) cells stained for UBQLN2 (green) using ab190283 at 1/1000 dilution in ICC/IF. Costained with chicken pAb to lamin A/C at 1/5,000 dilution (red). The blue is DAPI staining of nuclear DNA.

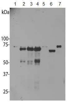
Western blot - Anti-UBQLN2 antibody [6H9] (AB190283)
  • WB

Supplier Data

Western blot - Anti-UBQLN2 antibody [6H9] (AB190283)

All lanes:

Western blot - Anti-UBQLN2 antibody [6H9] (ab190283) at 1/1000 dilution

Lane 1:

NIH/3T3 (mouse embyro fibroblast cell line) cell lysate

Lane 2:

C6 (rat glial tumor cell line) cell lysate

Lane 3:

HEK-293 (human epithelial cell line from embryonic kidney) cell lysate

Lane 4:

HeLa (human epithelial cell line from cervix adenocarcinoma) cell lysate

Lane 5:

SH-SY5Y (human neuroblastoma cell line from bone marrow) cell lysate

Lane 6:

Rat whole brain lysate

Lane 7:

Mouse whole brain lysate

Predicted band size: 66 kDa

false

Western blot - Anti-UBQLN2 antibody [6H9] (AB190283)
  • WB

Supplier Data

Western blot - Anti-UBQLN2 antibody [6H9] (AB190283)

All lanes:

Western blot - Anti-UBQLN2 antibody [6H9] (ab190283) at 1/1000 dilution

Lane 1:

Primary mouse neuron and glia cell cultures

Lane 2:

Primary mouse neuron and glia cells transduced with Human ubiquilin 2 wild type

Lane 3:

Primary mouse neuron and glia cells transduced with ubiquilin 2 P506T mutant

Lane 4:

Primary mouse neuron and glia cells transduced with ubiquilin 2 P497S mutant

Lane 5:

Primary mouse neuron and glia cell cultures transduced with enhanced GFP control

Lane 6:

HeLa cell lysate

Lane 7:

3T3 cell lysate

Predicted band size: 66 kDa

false

Western blot - Anti-UBQLN2 antibody [6H9] (AB190283)
  • WB

Lab

Western blot - Anti-UBQLN2 antibody [6H9] (AB190283)

Western blot : Anti-UBQLN2 antibody [6H9] (ab190283) staining at 1/1000 dilution, shown in green; Rabbit Anti-GAPDH antibody [EPR16891] (ab181602) loading control staining at 1/20000 dilution, shown in magenta. In Western blot, ab190283 was shown to bind specifically to UBQLN2. A band was observed at 73 kDa in wild-type A549 cell lysates with no signal observed at this size in UBQLN2 knockout cell line. To generate this image, wild-type and UBQLN2 knockout A549 cell lysates were analysed. First, samples were run on an SDS-PAGE gel then transferred onto a nitrocellulose membrane. Membranes were blocked in 3 % milk in TBS-0.1 % Tween® 20 (TBS-T) before incubation with primary antibodies overnight at 4 °C. Blots were washed four times in TBS-T, incubated with secondary antibodies for 1 h at room temperature, washed again four times then imaged. Secondary antibodies used were Goat anti-Mouse IgG H&L 800CW and Goat anti-Rabbit IgG H&L 680RD at 1/20000 dilution.

All lanes:

Western blot - Anti-UBQLN2 antibody [6H9] (ab190283) at 1/1000 dilution

Lane 1:

Wild-type A549 cell lysate at 20 µg

Lane 2:

UBQLN2 knockout A549 cell lysate at 20 µg

Lane 3:

HAP1 cell lysate at 20 µg

Lane 4:

HEK293 Nuclear cell lysate at 20 µg

Secondary

All lanes:

Goat anti-Mouse IgG H&L 800CW and Goat anti-Rabbit IgG H&L 680RD at 1/20000 dilution

Observed band size: 73 kDa

false

Western blot - Anti-UBQLN2 antibody [6H9] (AB190283)
  • WB

Lab

Western blot - Anti-UBQLN2 antibody [6H9] (AB190283)

ab190283 was shown to react with UBQLN2 in wild-type HAP1 cells in Western blot with loss of signal observed in a UBQLN2 knockout cell line. Wild-type HAP1 and UBQLN2 knockout cell lysates were subjected to SDS-PAGE. Membranes were blocked in 5% milk in TBST for 1 hr before incubation with ab190283 overnight at 4 °C at a 1/2000 dilution. Blots were incubated with secondary antibodies at 0.2ug/mL before imaging.

This data was provided by YCharOS Inc., an open science company with the mission of characterizing commercially available antibody reagents for all human proteins. Abcam and YCharOS are working together to help address the reproducibility crisis by enabling the life science community to better evaluate commercially available antibodies.

All lanes:

Western blot - Anti-UBQLN2 antibody [6H9] (ab190283) at 1/2000 dilution

Lane 1:

Wild-type HAP1 lysate at 20 µg

Lane 2:

UBQLN2 knock-out HAP1 lysate at 20 µg

Observed band size: 66 kDa

false

Key facts

Host species

Mouse

Clonality

Monoclonal

Clone number

6H9

Isotype

IgG1

Light chain type

kappa

Carrier free

No

Reacts with

Mouse, Rat, Human

Applications

WB, ICC/IF

applications

Immunogen

Recombinant Fragment Protein within Human UBQLN2. The exact immunogen used to generate this antibody is proprietary information.

Q9UHD9

Reactivity data

{ "title": "Reactivity Data", "filters": { "stats": ["", "Species", "Dilution Info", "Notes"], "tabs": { "all-applications": {"fullname" : "All Applications", "shortname": "All Applications"}, "WB" : {"fullname" : "Western blot", "shortname":"WB"}, "ICCIF" : {"fullname" : "Immunocytochemistry/ Immunofluorescence", "shortname":"ICC/IF"} }, "product-promise": { "all": "all", "testedAndGuaranteed": "tested", "guaranteed": "expected", "predicted": "predicted", "notRecommended": "not-recommended" } }, "values": { "Human": { "WB-species-checked": "testedAndGuaranteed", "WB-species-dilution-info": "1/1000 - 1/2000", "WB-species-notes": "<p></p>", "ICCIF-species-checked": "testedAndGuaranteed", "ICCIF-species-dilution-info": "1/1000", "ICCIF-species-notes": "<p></p>" }, "Mouse": { "WB-species-checked": "testedAndGuaranteed", "WB-species-dilution-info": "1/1000 - 1/2000", "WB-species-notes": "<p></p>", "ICCIF-species-checked": "testedAndGuaranteed", "ICCIF-species-dilution-info": "1/1000", "ICCIF-species-notes": "<p></p>" }, "Rat": { "WB-species-checked": "testedAndGuaranteed", "WB-species-dilution-info": "1/1000 - 1/2000", "WB-species-notes": "<p></p>", "ICCIF-species-checked": "guaranteed", "ICCIF-species-dilution-info": "", "ICCIF-species-notes": "" } } }

Properties and storage information

Form
Liquid
Purification technique
Affinity purification Protein G
Storage buffer
Preservative: 0.03% Sodium azide Constituents: PBS, 50% Glycerol (glycerin, glycerine)
Shipped at conditions
Blue Ice
Appropriate short-term storage duration
1-2 weeks
Appropriate short-term storage conditions
+4°C
Appropriate long-term storage conditions
-20°C
Aliquoting information
Upon delivery aliquot
Storage information
Avoid freeze / thaw cycle

Supplementary information

This supplementary information is collated from multiple sources and compiled automatically.

UBQLN2 also known as ubiquitin-like protein UBQLN2 or ubiquilin-2 functions as part of the ubiquitin-proteasome system. It helps in shuttling ubiquitinated proteins to the proteasome for degradation. UBQLN2 has a molecular mass of approximately 66 kDa. Diverse tissues express UBQLN2 including brain kidney and skeletal muscle indicating its widespread importance in various cellular processes.
Biological function summary

UBQLN2 interacts with other proteins involved in protein quality control. It participates in complexes that manage protein homeostasis by assisting in the degradation of misfolded or damaged proteins. This action prevents the accumulation of toxic protein aggregates. UBQLN2's role in the cellular protein degradation pathway highlights its importance in maintaining cellular function and integrity.

Pathways

UBQLN2 engages in the endoplasmic reticulum-associated degradation (ERAD) pathway which ensures the elimination of misfolded proteins from the ER. It also links to the autophagy-lysosome pathway. UBQLN2 interacts with VCP/p97 in these pathways an important protein that assists in extracting ubiquitinated proteins for degradation. Through these interactions UBQLN2 contributes a pivotal role in maintaining cellular homeostasis.

Researchers have linked UBQLN2 mutations to amyotrophic lateral sclerosis (ALS) and frontotemporal dementia (FTD). Abnormalities in UBQLN2 may lead to the accumulation of protein aggregates harmful to neuronal cells. Connections between UBQLN2 and other proteins such as TARDBP (TDP-43) further emphasize its relevance as TDP-43 pathology is common in these neurodegenerative disorders. Understanding UBQLN2's function provides insight into potential therapeutic targets for these diseases.

Product protocols

For this product, it's our understanding that no specific protocols are required. You can visit:

Target data

Plays an important role in the regulation of different protein degradation mechanisms and pathways including ubiquitin-proteasome system (UPS), autophagy and the endoplasmic reticulum-associated protein degradation (ERAD) pathway. Mediates the proteasomal targeting of misfolded or accumulated proteins for degradation by binding (via UBA domain) to their polyubiquitin chains and by interacting (via ubiquitin-like domain) with the subunits of the proteasome (PubMed : 10983987). Plays a role in the ERAD pathway via its interaction with ER-localized proteins FAF2/UBXD8 and HERPUD1 and may form a link between the polyubiquitinated ERAD substrates and the proteasome (PubMed : 18307982, PubMed : 24215460). Involved in the regulation of macroautophagy and autophagosome formation; required for maturation of autophagy-related protein LC3 from the cytosolic form LC3-I to the membrane-bound form LC3-II and may assist in the maturation of autophagosomes to autolysosomes by mediating autophagosome-lysosome fusion (PubMed : 19148225, PubMed : 20529957). Negatively regulates the endocytosis of GPCR receptors : AVPR2 and ADRB2, by specifically reducing the rate at which receptor-arrestin complexes concentrate in clathrin-coated pits (CCPs) (PubMed : 18199683).
See full target information UBQLN2

Publications (6)

Recent publications for all applications. Explore the full list and refine your search

F1000Research 12:355 PubMed37359784

2023

The identification of high-preforming antibodies for Ubiquilin-2 for use in Western Blot, immunoprecipitation, and immunofluorescence.

Applications

WB, ICC, IP

Species

Human, Human, Human

Ian McDowell,Riham Ayoubi,Maryam Fotouhi,Kathleen Southern,Peter S McPherson,Carl Laflamme

eLife 12: PubMed37039476

2023

Axon guidance genes modulate neurotoxicity of ALS-associated UBQLN2.

Applications

Unspecified application

Species

Unspecified reactive species

Sang Hwa Kim,Kye D Nichols,Eric N Anderson,Yining Liu,Nandini Ramesh,Weiyan Jia,Connor J Kuerbis,Mark Scalf,Lloyd M Smith,Udai Bhan Pandey,Randal S Tibbetts

Nature communications 13:2306 PubMed35484142

2022

Heterozygous frameshift variants in HNRNPA2B1 cause early-onset oculopharyngeal muscular dystrophy.

Applications

Unspecified application

Species

Unspecified reactive species

Hong Joo Kim,Payam Mohassel,Sandra Donkervoort,Lin Guo,Kevin O'Donovan,Maura Coughlin,Xaviere Lornage,Nicola Foulds,Simon R Hammans,A Reghan Foley,Charlotte M Fare,Alice F Ford,Masashi Ogasawara,Aki Sato,Aritoshi Iida,Pinki Munot,Gautam Ambegaonkar,Rahul Phadke,Dominic G O'Donovan,Rebecca Buchert,Mona Grimmel,Ana Töpf,Irina T Zaharieva,Lauren Brady,Ying Hu,Thomas E Lloyd,Andrea Klein,Maja Steinlin,Alice Kuster,Sandra Mercier,Pascale Marcorelles,Yann Péréon,Emmanuelle Fleurence,Adnan Manzur,Sarah Ennis,Rosanna Upstill-Goddard,Luca Bello,Cinzia Bertolin,Elena Pegoraro,Leonardo Salviati,Courtney E French,Andriy Shatillo,F Lucy Raymond,Tobias B Haack,Susana Quijano-Roy,Johann Böhm,Isabelle Nelson,Tanya Stojkovic,Teresinha Evangelista,Volker Straub,Norma B Romero,Jocelyn Laporte,Francesco Muntoni,Ichizo Nishino,Mark A Tarnopolsky,James Shorter,Carsten G Bönnemann,J Paul Taylor

Cell reports. Medicine 2:100360 PubMed34467244

2021

Secreted retrovirus-like GAG-domain-containing protein PEG10 is regulated by UBE3A and is involved in Angelman syndrome pathophysiology.

Applications

Unspecified application

Species

Unspecified reactive species

Nikhil J Pandya,Congwei Wang,Veronica Costa,Paul Lopatta,Sonja Meier,F Isabella Zampeta,A Mattijs Punt,Edwin Mientjes,Philip Grossen,Tania Distler,Manuel Tzouros,Yasmina Martí,Balazs Banfai,Christoph Patsch,Soren Rasmussen,Marius Hoener,Marco Berrera,Thomas Kremer,Tom Dunkley,Martin Ebeling,Ben Distel,Ype Elgersma,Ravi Jagasia

Cancer medicine 9:4083-4094 PubMed32293796

2020

Prognostic and predicted significance of Ubqln2 in patients with hepatocellular carcinoma.

Applications

Unspecified application

Species

Unspecified reactive species

Yuan-Deng Luo,Hong-Qiang Yu,Xiao-Yu Liu,Deng Huang,Hai-Su Dai,Lei Fang,Yu-Jun Zhang,Jie-Juan Lai,Yan Jiang,Ling Shuai,Lei-Da Zhang,Geng Chen,Ping Bie,Chuan-Ming Xie

Scientific reports 5:13416 PubMed26293199

2015

Distinct partitioning of ALS associated TDP-43, FUS and SOD1 mutants into cellular inclusions.

Applications

Unspecified application

Species

Unspecified reactive species

Natalie E Farrawell,Isabella A Lambert-Smith,Sadaf T Warraich,Ian P Blair,Darren N Saunders,Danny M Hatters,Justin J Yerbury
View all publications

Product promise

We are committed to supporting your work with high-quality reagents, and we're here for you every step of the way. In the unlikely event that one of our products does not perform as expected, you're protected by our Product Promise.
For full details, please see our Terms & Conditions

Please note: All products are 'FOR RESEARCH USE ONLY. NOT FOR USE IN DIAGNOSTIC OR THERAPEUTIC PROCEDURES'.

For licensing inquiries, please contact partnerships@abcam.com